JavaScript is disabled in your browser. Please enable JavaScript to view this website.
AB322733

Anti-MIF antibody [RM1231]

  • 20ul selling size
  • BOND RX™ Validated
  • Recombinant
  • RabMAb
  • KO Validated
  • What is this?

Be the first to review this product! Submit a review

|

(0 Publication)

Rabbit Recombinant Multiclonal MIF antibody. Suitable for Flow Cyt (Intra), WB, IHC-P, ICC/IF, IP and reacts with Human, Mouse, Rat samples.

View Alternative Names

GLIF, MMIF, MIF, Macrophage migration inhibitory factor, Glycosylation-inhibiting factor, L-dopachrome isomerase, L-dopachrome tautomerase, Phenylpyruvate tautomerase, GIF

16 Images
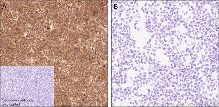
Immunohistochemistry (Formalin/PFA-fixed paraffin-embedded sections) - Anti-MIF antibody [RM1231] (AB322733)
  • IHC-P

Supplier Data

Immunohistochemistry (Formalin/PFA-fixed paraffin-embedded sections) - Anti-MIF antibody [RM1231] (AB322733)

Immunohistochemical analysis of paraffin-embedded A Wild-type HAP1 (chronic myelogenous leukemia cell) cell pellet B MIF knockout HAP1 cell pellet tissue labeling MIF with ab322733 at 1/500 (1.016 ug/ml) dilution, followed by a ready to use LeicaDS9800 (Bond™ Polymer Refine Detection).

Positive staining on (A) wild-type HAP1 cell pellet, no staining on (B) MIF knockout HAP1 cell pellet. The section was incubated with ab322733 for 30 mins at room temperature.
The immunostaining was performed on a Leica Biosystems BOND® RX instrument

Counterstained with Hematoxylin.

Secondary antibody only control : Secondary antibody is a ready to use LeicaDS9800 (Bond™ Polymer Refine Detection).

Heat mediated antigen retrieval was performed with Tris-EDTA buffer (pH 9.0, Epitope Retrieval Solution2) for 20 mins

Immunocytochemistry/ Immunofluorescence - Anti-MIF antibody [RM1231] (AB322733)
  • ICC/IF

Supplier Data

Immunocytochemistry/ Immunofluorescence - Anti-MIF antibody [RM1231] (AB322733)

Immunofluorescent analysis of 4% Paraformaldehyde-fixed, 0.1% TritonX-100 permeabilized MIF KO HAP1(MIF knockout human chronic myelogenous leukemia near-haploid cell line) cells labelling MIF with ab322733 at 1/100 (5.08 ug/ml) dilution, followed by ab150081 Goat Anti-Rabbit IgG H&L (Alexa Fluor® 488) preadsorbed antibody at 1/1000 2ug/ml dilution (Green).

Confocal image showing cytoplasmic and nuclear staining in parental HAP1 cell line (shown in green). The counterstain was observed in magenta. Nuclear DNA was labelled with DAPI (shown in blue). Image was taken with a confocal microscope (Leica-Microsystems, TCS SP8).

ab195889 Anti-alpha Tubulin mouse monoclonal antibody - Microtubule Marker (Alexa Fluor® 594) was used to counterstain tubulin at 1/200 2.5ug/ml dilution (Magenta). The Nuclear counterstain was DAPI (Blue).

Secondary antibody only control : Secondary antibody is ab150081 Goat Anti-Rabbit IgG H&L (Alexa Fluor® 488) preadsorbed at 1/1000 2ug/ml dilution.

Flow Cytometry (Intracellular) - Anti-MIF antibody [RM1231] (AB322733)
  • Flow Cyt (Intra)

Supplier Data

Flow Cytometry (Intracellular) - Anti-MIF antibody [RM1231] (AB322733)

Flow cytometric analysis of 4% paraformaldehyde fixed 90% methanol permeabilized parental HAP1(Green) / MIF KO HAP1(MIF knockout human chronic myelogenous leukemia near-haploid cell line, Magenta) cells labelling MIF with ab322733 at 1/500 dilution (0.1ug) / Magenta and Green compared with a Rabbit monoclonal IgG (ab172730) (Black) and Grey isotype control and an unlabelled control (cells without incubation with primary antibody and secondary antibody).

Goat Anti-Rabbit IgG (Alexa Fluor® 488, ab150081) at 1/5000 dilution was used as the secondary antibody.

For ab322733, positive staining occurred in HAP1 cells and no staining in MIF KO HAP1. The control batch (ab7202) showed similar staining pattern. In addition, ab322733 showed stronger staining than ab7207 in HAP1 cells.

Immunohistochemistry (Formalin/PFA-fixed paraffin-embedded sections) - Anti-MIF antibody [RM1231] (AB322733)
  • IHC-P

Supplier Data

Immunohistochemistry (Formalin/PFA-fixed paraffin-embedded sections) - Anti-MIF antibody [RM1231] (AB322733)

Immunohistochemical analysis of paraffin-embedded Human kidney tissue labeling MIF with ab322733 at 1/500 (1.016 ug/ml) dilution, followed by a ready to use LeicaDS9800 (Bond™ Polymer Refine Detection).

Positive staining on human kidney in (A) ab322733 and (B) ab7207.
The image on (A) ab322733 and (B) ab7207 are treated with Anti-MIF antibody at 1/500 dilution. The section was incubated with ab322733 or ab7207 for 30 mins at room temperature.
The immunostaining was performed on a Leica Biosystems BOND® RX instrument

Counterstained with Hematoxylin.

Secondary antibody only control : Secondary antibody is a ready to use LeicaDS9800 (Bond™ Polymer Refine Detection).

Heat mediated antigen retrieval was performed with Tris-EDTA buffer (pH 9.0, Epitope Retrieval Solution2) for 20 mins

Immunocytochemistry/ Immunofluorescence - Anti-MIF antibody [RM1231] (AB322733)
  • ICC/IF

Supplier Data

Immunocytochemistry/ Immunofluorescence - Anti-MIF antibody [RM1231] (AB322733)

Immunofluorescent analysis of 4% Paraformaldehyde-fixed, 0.1% TritonX-100 permeabilized C6 (rat glial tumor glial cell) cells labelling MIF with ab322733 at 1/100 (5.08 ug/ml) dilution, followed by ab150081 Goat Anti-Rabbit IgG H&L (Alexa Fluor® 488) preadsorbed antibody at 1/1000 2ug/ml dilution (Green).

Confocal image showing cytoplasmic and nuclear staining in C6 cell line (shown in green). The counterstain was observed in magenta. Nuclear DNA was labelled with DAPI (shown in blue). Image was taken with a confocal microscope (Leica-Microsystems, TCS SP8).

ab195889 Anti-alpha Tubulin mouse monoclonal antibody - Microtubule Marker (Alexa Fluor® 594) was used to counterstain tubulin at 1/200 2.5ug/ml dilution (Magenta). The Nuclear counterstain was DAPI (Blue).

Secondary antibody only control : Secondary antibody is ab150081 Goat Anti-Rabbit IgG H&L (Alexa Fluor® 488) preadsorbed at 1/1000 2ug/ml dilution.

Immunocytochemistry/ Immunofluorescence - Anti-MIF antibody [RM1231] (AB322733)
  • ICC/IF

Supplier Data

Immunocytochemistry/ Immunofluorescence - Anti-MIF antibody [RM1231] (AB322733)

Immunofluorescent analysis of 4% Paraformaldehyde-fixed, 0.1% TritonX-100 permeabilized RAW 264.7 (mouse Abelson murine leukemia virus-induced tumor macrophage) cells labelling MIF with ab322733 at 1/100 (5.08 ug/ml) dilution, followed by ab150081 Goat Anti-Rabbit IgG H&L (Alexa Fluor® 488) preadsorbed antibody at 1/1000 2ug/ml dilution (Green).

Confocal image showing cytoplasmic and nuclear staining in RAW 264.7 cell line (shown in green). The counterstain was observed in magenta. Nuclear DNA was labelled with DAPI (shown in blue). Image was taken with a confocal microscope (Leica-Microsystems, TCS SP8).

ab195889 Anti-alpha Tubulin mouse monoclonal antibody - Microtubule Marker (Alexa Fluor® 594) was used to counterstain tubulin at 1/200 2.5ug/ml dilution (Magenta). The Nuclear counterstain was DAPI (Blue).

Secondary antibody only control : Secondary antibody is ab150081 Goat Anti-Rabbit IgG H&L (Alexa Fluor® 488) preadsorbed at 1/1000 2ug/ml dilution.

Flow Cytometry (Intracellular) - Anti-MIF antibody [RM1231] (AB322733)
  • Flow Cyt (Intra)

Supplier Data

Flow Cytometry (Intracellular) - Anti-MIF antibody [RM1231] (AB322733)

Flow cytometric analysis of 4% paraformaldehyde fixed 90% methanol permeabilized RAW 264.7 (mouse Abelson murine leukemia virus-induced tumor macrophage) cells labelling MIF with ab322733 at 1/500 dilution (0.1ug) (Red) compared with a Rabbit monoclonal IgG (ab172730) (Black) isotype control and an unlabelled control (cells without incubation with primary antibody and secondary antibody).

Goat Anti-Rabbit IgG (Alexa Fluor® 488, ab150081) at 1/5000 dilution was used as the secondary antibody.

For ab322733, positive staining occurred in RAW 264.7 cells. The control batch (ab7202) showed similar staining pattern. In addition, ab322733 showed stronger staining than ab7207 in RAW 264.7 cells.

Flow Cytometry (Intracellular) - Anti-MIF antibody [RM1231] (AB322733)
  • Flow Cyt (Intra)

Supplier Data

Flow Cytometry (Intracellular) - Anti-MIF antibody [RM1231] (AB322733)

Flow cytometric analysis of 4% paraformaldehyde fixed 90% methanol permeabilized C6 (rat glial tumor glial cell) cells labelling MIF with ab322733 at 1/500 dilution (0.1ug) (Red) compared with a Rabbit monoclonal IgG (ab172730) (Black) isotype control and an unlabelled control (cells without incubation with primary antibody and secondary antibody).

Goat Anti-Rabbit IgG (Alexa Fluor® 488, ab150081) at 1/5000 dilution was used as the secondary antibody.

For ab322733, positive staining occurred in C6 cells. The control batch (ab7202) showed similar staining pattern. In addition, ab322733 showed stronger staining than ab7207 in C6 cells.

Immunohistochemistry (Formalin/PFA-fixed paraffin-embedded sections) - Anti-MIF antibody [RM1231] (AB322733)
  • IHC-P

Supplier Data

Immunohistochemistry (Formalin/PFA-fixed paraffin-embedded sections) - Anti-MIF antibody [RM1231] (AB322733)

Immunohistochemical analysis of paraffin-embedded Rat kidney tissue labeling MIF with ab322733 at 1/500 (1.016 ug/ml) dilution, followed by a ready to use LeicaDS9800 (Bond™ Polymer Refine Detection).

Positive staining on rat kidney in (A) ab322733 and (B) ab7207.
The image on (A) ab322733 and (B) ab7207 are treated with Anti-MIF antibody at 1/500 dilution. The section was incubated with ab322733 or ab7207 for 30 mins at room temperature.
The immunostaining was performed on a Leica Biosystems BOND® RX instrument

Counterstained with Hematoxylin.

Secondary antibody only control : Secondary antibody is a ready to use LeicaDS9800 (Bond™ Polymer Refine Detection).

Heat mediated antigen retrieval was performed with Tris-EDTA buffer (pH 9.0, Epitope Retrieval Solution2) for 20 mins

Immunohistochemistry (Formalin/PFA-fixed paraffin-embedded sections) - Anti-MIF antibody [RM1231] (AB322733)
  • IHC-P

Supplier Data

Immunohistochemistry (Formalin/PFA-fixed paraffin-embedded sections) - Anti-MIF antibody [RM1231] (AB322733)

Immunohistochemical analysis of paraffin-embedded Mouse kidney tissue labeling MIF with ab322733 at 1/500 (1.016 ug/ml) dilution, followed by a ready to use LeicaDS9800 (Bond™ Polymer Refine Detection).

Positive staining on mouse kidney in (A) ab322733 and (B) ab7207.
The image on (A) ab322733 and (B) ab7207 are treated with Anti-MIF antibody at 1/500 dilution. The section was incubated with ab322733 or ab7207 for 30 mins at room temperature.
The immunostaining was performed on a Leica Biosystems BOND® RX instrument

Counterstained with Hematoxylin.

Secondary antibody only control : Secondary antibody is a ready to use LeicaDS9800 (Bond™ Polymer Refine Detection).

Heat mediated antigen retrieval was performed with Tris-EDTA buffer (pH 9.0, Epitope Retrieval Solution2) for 20 mins

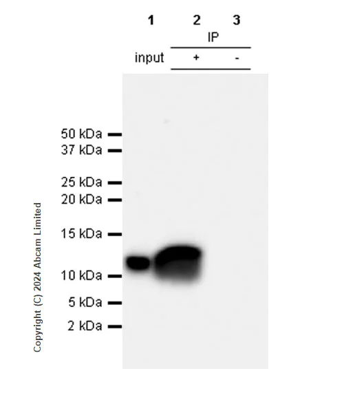
Immunoprecipitation - Anti-MIF antibody [RM1231] (AB322733)
  • IP

Supplier Data

Immunoprecipitation - Anti-MIF antibody [RM1231] (AB322733)

MIF was immunoprecipitated from 0.35 mg RAW 264.7 (mouse macrophage cell line transformed with Abelson murine leukemia virus) whole cell lysate with ab322733 at 1/30 dilution (2ug in 0.35mg lysates). Western blot was performed on the immunoprecipitate using ab322733 at 1/1000 dilution. VeriBlot for IP secondary antibody(HRP)(ab131366) was used at 1/5000 dilution.

Lane 1 : RAW 264.7 (mouse macrophage cell line transformed with Abelson murine leukemia virus) whole cell lysate
Lane 2 : ab322733 IP in RAW 264.7 (mouse macrophage cell line transformed with Abelson murine leukemia virus) whole cell lysate
Lane 3 : Rabbit monoclonal IgG (ab172730) instead of ab322733 in RAW 264.7 whole cell lysate

Blocking and dilution buffer and concentration : 5% NFDM/TBST

All lanes:

Immunoprecipitation - Anti-MIF antibody [RM1231] (ab322733) at 1/30 dilution

All lanes:

RAW 264.7 (mouse macrophage cell line transformed with Abelson murine leukemia virus) whole cell lysate

Secondary

All lanes:

Immunoprecipitation - VeriBlot for IP Detection Reagent (HRP) (<a href='/en-us/products/reagents/veriblot-for-ip-detection-reagent-hrp-ab131366'>ab131366</a>) at 1/5000 dilution

false

Exposure time: 10s

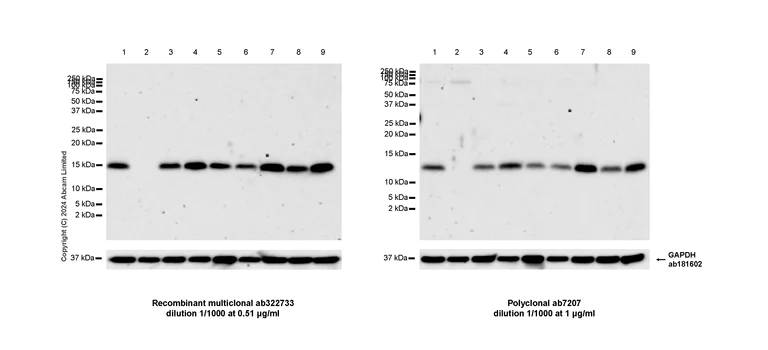
Western blot - Anti-MIF antibody [RM1231] (AB322733)
  • WB

Supplier Data

Western blot - Anti-MIF antibody [RM1231] (AB322733)

Blocking and diluting buffer and concentration : 5% NFDM/TBST.

In Western blot, ab322733 and ab7207 were shown to bind specifically to MIF. Target of interest was observed at 13 kDa in wild-type HAP1 cell lysates (lane 1) with no signal observed at this size in MIF knockout cell line (lane 2).

Recombinant multiclonal ab322733 showed higher sensitivity than polyclonal ab7207.

In Western blot, Anti-GAPDH antibody [EPR16891] - Loading Control (ab181602) staining at 1/200000 dilution.

All lanes:

Western blot - Anti-MIF antibody [RM1231] (ab322733) at 1/1000 dilution

Lane 1:

Wild-type HAP1 (human chronic myelogenous leukemia near-haploid cell) whole cell lysate at 20 µg

Lane 2:

MIF knockout HAP1 whole cell lysate at 20 µg

Lane 3:

HeLa (human cervical adenocarcinoma epithelial cell) whole cell lysate at 20 µg

Lane 4:

293T (human embryonic kidney epithelial cell) whole cell lysate at 20 µg

Lane 5:

U-87 MG (human glioblastoma-astrocytoma epithelial cell) whole cell lysate at 20 µg

Lane 6:

THP-1 (human monocytic leukemia monocyte) whole cell lysate at 20 µg

Lane 7:

Jurkat (human T cell leukemia T lymphocyte from peripheral blood) whole cell lysate at 20 µg

Lane 8:

NR8383 (rat alveolar macrophage) whole cell lysate at 20 µg

Lane 9:

J774A.1 (mouse reticulum cell sarcoma monocyte/macrophage ) whole cell lysate at 20 µg

Secondary

All lanes:

Western blot - Goat Anti-Rabbit IgG H&L (HRP) (<a href='/en-us/products/secondary-antibodies/goat-rabbit-igg-h-l-hrp-ab97051'>ab97051</a>) at 1/100000 dilution

Observed band size: 13 kDa,36 kDa

false

Exposure time: 180s

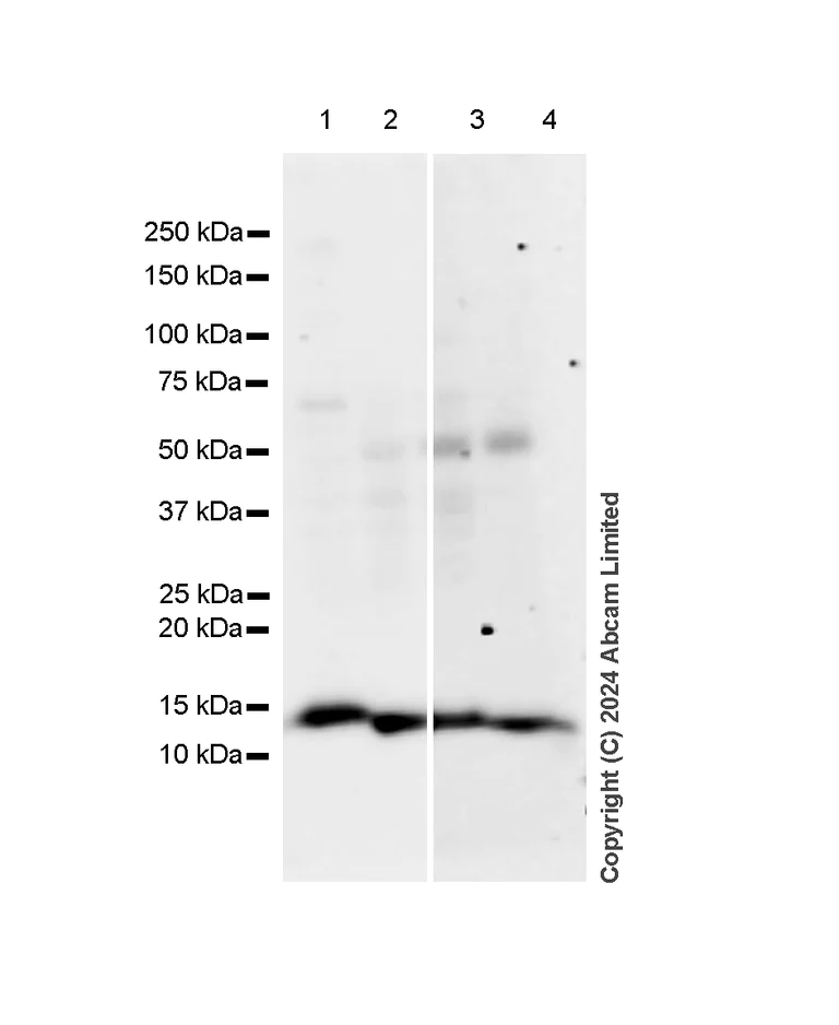
Western blot - Anti-MIF antibody [RM1231] (AB322733)
  • WB

Supplier Data

Western blot - Anti-MIF antibody [RM1231] (AB322733)

Blocking and diluting buffer and concentration : 5% NFDM/TBST.

Exposure time : Lane 1-2 : 48 seconds Lane 3-4 : 103 seconds

All lanes:

Western blot - Anti-MIF antibody [RM1231] (ab322733) at 1/1000 dilution

Lane 1:

Humen cerebellum tissue lysate at 20 µg

Lane 2:

Humen liver tissue lysate at 20 µg

Lane 3:

Human skeletal muscle tissue lysate at 20 µg

Lane 4:

Human spleen tissue lysate at 20 µg

Secondary

All lanes:

Western blot - Goat Anti-Rabbit IgG H&L (HRP) (<a href='/en-us/products/secondary-antibodies/goat-rabbit-igg-h-l-hrp-ab97051'>ab97051</a>) at 1/20000 dilution

Observed band size: 13 kDa

false

Western blot - Anti-MIF antibody [RM1231] (AB322733)
  • WB

Supplier Data

Western blot - Anti-MIF antibody [RM1231] (AB322733)

Blocking and diluting buffer and concentration : 5% NFDM/TBST.

All lanes:

Western blot - Anti-MIF antibody [RM1231] (ab322733) at 1/1000 dilution

Lane 1:

Mouse brain tissue lysate at 20 µg

Lane 2:

Mouse heart tissue lysate at 20 µg

Lane 3:

Mouse kidney tissue lysate at 20 µg

Lane 4:

Mouse spleen tissue lysate at 20 µg

Secondary

All lanes:

Western blot - Goat Anti-Rabbit IgG H&L (HRP) (<a href='/en-us/products/secondary-antibodies/goat-rabbit-igg-h-l-hrp-ab97051'>ab97051</a>) at 1/100000 dilution

Observed band size: 13 kDa

false

Exposure time: 180s

Western blot - Anti-MIF antibody [RM1231] (AB322733)
  • WB

Supplier Data

Western blot - Anti-MIF antibody [RM1231] (AB322733)

Blocking and diluting buffer and concentration : 5% NFDM/TBST.

N/A

All lanes:

Western blot - Anti-MIF antibody [RM1231] (ab322733) at 1/1000 dilution

Lane 1:

Rat brain tissue lysate at 20 µg

Lane 2:

Rat heart tissue lysate at 20 µg

Lane 3:

Rat kidney tissue lysate at 20 µg

Lane 4:

Rat spleen tissue lysate at 20 µg

Secondary

All lanes:

Western blot - Goat Anti-Rabbit IgG H&L (HRP) (<a href='/en-us/products/secondary-antibodies/goat-rabbit-igg-h-l-hrp-ab97051'>ab97051</a>) at 1/100000 dilution

Observed band size: 13 kDa

false

Exposure time: 180s

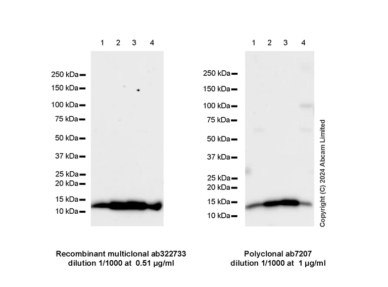
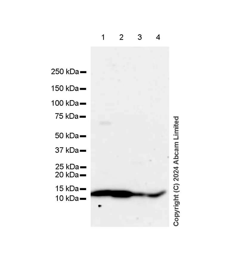
Western blot - Anti-MIF antibody [RM1231] (AB322733)
  • WB

Supplier Data

Western blot - Anti-MIF antibody [RM1231] (AB322733)

Blocking and diluting buffer and concentration : 5% NFDM/TBST.

Recombinant multiclonal ab322733 showed higher sensitivity than polyclonal ab7207.

All lanes:

Western blot - Anti-MIF antibody [RM1231] (ab322733) at 1/1000 dilution

Lane 1:

C6 (rat glial tumor glial cell) whole cell lysate at 20 µg

Lane 2:

RAW 264.7 (mouse Abelson murine leukemia virus-induced tumor macrophage) whole cell lysate at 20 µg

Lane 3:

PC-12 (rat adrenal gland pheochromocytoma cell) whole cell lysate at 20 µg

Lane 4:

NIH/3T3 (mouse embryonic fibroblast) whole cell lysate at 20 µg

Secondary

All lanes:

Western blot - Goat Anti-Rabbit IgG H&L (HRP) (<a href='/en-us/products/secondary-antibodies/goat-rabbit-igg-h-l-hrp-ab97051'>ab97051</a>) at 1/100000 dilution

Observed band size: 13 kDa

false

Exposure time: 48s

Key facts

Host species

Rabbit

Clonality

Multiclonal

Clone number

RM1231

Isotype

IgG

Carrier free

No

Reacts with

Human, Mouse, Rat

Applications

ICC/IF, IHC-P, Flow Cyt (Intra), WB, IP

applications

Immunogen

The exact immunogen used to generate this antibody is proprietary information.

Specificity

Unsuitable for human and rat IP.

Reactivity data

{ "title": "Reactivity Data", "filters": { "stats": ["", "Species", "Dilution Info", "Notes"], "tabs": { "all-applications": {"fullname" : "All Applications", "shortname": "All Applications"}, "FlowCytIntra" : {"fullname" : "Flow Cytometry (Intracellular)", "shortname":"Flow Cyt (Intra)"}, "WB" : {"fullname" : "Western blot", "shortname":"WB"}, "IHCP" : {"fullname" : "Immunohistochemistry (Formalin/PFA-fixed paraffin-embedded sections)", "shortname":"IHC-P"}, "ICCIF" : {"fullname" : "Immunocytochemistry/ Immunofluorescence", "shortname":"ICC/IF"}, "IP" : {"fullname" : "Immunoprecipitation", "shortname":"IP"}, "IHCFr" : {"fullname" : "Immunohistochemistry (Frozen sections)", "shortname":"IHC-Fr"} }, "product-promise": { "all": "all", "testedAndGuaranteed": "tested", "guaranteed": "expected", "predicted": "predicted", "notRecommended": "not-recommended" } }, "values": { "Human": { "FlowCytIntra-species-checked": "testedAndGuaranteed", "FlowCytIntra-species-dilution-info": "1/500", "FlowCytIntra-species-notes": "<p></p>", "WB-species-checked": "testedAndGuaranteed", "WB-species-dilution-info": "1/1000", "WB-species-notes": "<p></p>", "IHCP-species-checked": "testedAndGuaranteed", "IHCP-species-dilution-info": "1/500", "IHCP-species-notes": "<p></p> Perform heat-mediated antigen retrieval with Tris/EDTA buffer pH 9.0 before commencing with IHC staining protocol.", "ICCIF-species-checked": "testedAndGuaranteed", "ICCIF-species-dilution-info": "1/100", "ICCIF-species-notes": "<p></p>", "IP-species-checked": "notRecommended", "IP-species-dilution-info": "", "IP-species-notes": "<p></p>", "IHCFr-species-checked": "notRecommended", "IHCFr-species-dilution-info": "", "IHCFr-species-notes": "" }, "Mouse": { "FlowCytIntra-species-checked": "testedAndGuaranteed", "FlowCytIntra-species-dilution-info": "1/500", "FlowCytIntra-species-notes": "<p></p>", "WB-species-checked": "testedAndGuaranteed", "WB-species-dilution-info": "1/1000", "WB-species-notes": "<p></p>", "IHCP-species-checked": "testedAndGuaranteed", "IHCP-species-dilution-info": "1/500", "IHCP-species-notes": "<p></p> Perform heat-mediated antigen retrieval with Tris/EDTA buffer pH 9.0 before commencing with IHC staining protocol.", "ICCIF-species-checked": "testedAndGuaranteed", "ICCIF-species-dilution-info": "1/100", "ICCIF-species-notes": "<p></p>", "IP-species-checked": "testedAndGuaranteed", "IP-species-dilution-info": "1/30", "IP-species-notes": "<p></p>", "IHCFr-species-checked": "notRecommended", "IHCFr-species-dilution-info": "", "IHCFr-species-notes": "<p></p>" }, "Rat": { "FlowCytIntra-species-checked": "testedAndGuaranteed", "FlowCytIntra-species-dilution-info": "1/500", "FlowCytIntra-species-notes": "<p></p>", "WB-species-checked": "testedAndGuaranteed", "WB-species-dilution-info": "1/1000", "WB-species-notes": "<p></p>", "IHCP-species-checked": "testedAndGuaranteed", "IHCP-species-dilution-info": "1/500", "IHCP-species-notes": "<p></p> Perform heat-mediated antigen retrieval with Tris/EDTA buffer pH 9.0 before commencing with IHC staining protocol.", "ICCIF-species-checked": "testedAndGuaranteed", "ICCIF-species-dilution-info": "1/100", "ICCIF-species-notes": "<p></p>", "IP-species-checked": "notRecommended", "IP-species-dilution-info": "", "IP-species-notes": "<p></p>", "IHCFr-species-checked": "notRecommended", "IHCFr-species-dilution-info": "", "IHCFr-species-notes": "<p></p>" } } }

Product details

What are recombinant multiclonals?
Recombinant multiclonals are a mixture of recombinant antibodies co-expressed from a library of heavy and light chains. They offer several advantages including:

  • - The sensitivity of polyclonal antibodies by recognising multiple epitopes
  • - High batch-to-batch consistency and reproducibility
  • - Improved sensitivity and specificity
  • - Long-term security of supply
  • - Animal-free batch production

View our range of recombinant multiclonal antibodies.

Patented technology
Our RabMAb® technology is a patented hybridoma-based technology for making rabbit monoclonal antibodies. For details on our patents, please refer to RabMAb® patents.

Properties and storage information

Form
Liquid
Purification technique
Affinity purification Protein A
Storage buffer
pH: 7.2 - 7.4 Preservative: 0.01% Sodium azide Constituents: PBS, 40% Glycerol (glycerin, glycerine), 0.05% BSA
Shipped at conditions
Blue Ice
Appropriate short-term storage duration
1-2 weeks
Appropriate short-term storage conditions
+4°C
Appropriate long-term storage conditions
-20°C
Aliquoting information
Upon delivery aliquot
Storage information
Avoid freeze / thaw cycle

Product protocols

For this product, it's our understanding that no specific protocols are required. You can visit:

Target data

Pro-inflammatory cytokine involved in the innate immune response to bacterial pathogens (PubMed : 15908412, PubMed : 17443469, PubMed : 23776208). The expression of MIF at sites of inflammation suggests a role as mediator in regulating the function of macrophages in host defense (PubMed : 15908412, PubMed : 17443469, PubMed : 23776208). Counteracts the anti-inflammatory activity of glucocorticoids (PubMed : 15908412, PubMed : 17443469, PubMed : 23776208). Has phenylpyruvate tautomerase and dopachrome tautomerase activity (in vitro), but the physiological substrate is not known (PubMed : 11439086, PubMed : 17526494). It is not clear whether the tautomerase activity has any physiological relevance, and whether it is important for cytokine activity (PubMed : 11439086, PubMed : 17526494).
See full target information MIF

Additional targets

Mif

Product promise

We are committed to supporting your work with high-quality reagents, and we're here for you every step of the way. In the unlikely event that one of our products does not perform as expected, you're protected by our Product Promise.
For full details, please see our Terms & Conditions

Please note: All products are 'FOR RESEARCH USE ONLY. NOT FOR USE IN DIAGNOSTIC OR THERAPEUTIC PROCEDURES'.

For licensing inquiries, please contact partnerships@abcam.com