JavaScript is disabled in your browser. Please enable JavaScript to view this website.
AB251134

Anti-Mimitin antibody [EP15279] - BSA and Azide free

Be the first to review this product! Submit a review

|

(1 Publication)

Rabbit Recombinant Monoclonal Mimitin antibody. Carrier free. Suitable for ICC/IF, IP, WB, IHC-P and reacts with Human, Mouse samples. Cited in 1 publication.

View Alternative Names

NDUFA12L, NDUFAF2, NADH dehydrogenase [ubiquinone] 1 alpha subcomplex assembly factor 2, B17.2-like, Mimitin, Myc-induced mitochondrial protein, NDUFA12-like protein, B17.2L, MMTN

7 Images
Immunocytochemistry/ Immunofluorescence - Anti-Mimitin antibody [EP15279] - BSA and Azide free (AB251134)
  • ICC/IF

Supplier Data

Immunocytochemistry/ Immunofluorescence - Anti-Mimitin antibody [EP15279] - BSA and Azide free (AB251134)

This data was developed using ab192267, the same antibody clone in a different buffer formulation.

Immunofluorescent analysis of 4% paraformaldehyde-fixed HepG2 cells labeling Mimitin with ab192267 at 1/100 dilution. The cells were permeabilised with 0.1% Triton X-100. Goat anti-rabbit IgG (Alexa Fluor® 488) (ab150077) at 1/200 dilution was used as the secondary antibody (green). The nuclear counter stain is DAPI (blue).
Negative controls, ab192267 at 1/100 dilution followed by ab150120 (AlexaFluor®594 Goat anti-Mouse secondary) at 1/500 dilution.

Immunohistochemistry (Formalin/PFA-fixed paraffin-embedded sections) - Anti-Mimitin antibody [EP15279] - BSA and Azide free (AB251134)
  • IHC-P

Supplier Data

Immunohistochemistry (Formalin/PFA-fixed paraffin-embedded sections) - Anti-Mimitin antibody [EP15279] - BSA and Azide free (AB251134)

This data was developed using ab192267, the same antibody clone in a different buffer formulation.

Immunohistochemical analysis of paraffin-embedded Human liver tissue labeling Mimitin with ab192267 at 1/200 dilution, followed by prediluted HRP Polymer for Rabbit/Mouse IgG. Counter stained with Hematoxylin. Negative control also shown.

Perform heat mediated antigen retrieval with Tris/EDTA buffer pH 9.0 before commencing with IHC staining protocol.

Western blot - Anti-Mimitin antibody [EP15279] - BSA and Azide free (AB251134)
  • WB

Supplier Data

Western blot - Anti-Mimitin antibody [EP15279] - BSA and Azide free (AB251134)

This data was developed using ab192267, the same antibody clone in a different buffer formulation.

All lanes:

Western blot - Anti-Mimitin antibody [EP15279] - C-terminal (<a href='/en-us/products/primary-antibodies/mimitin-antibody-ep15279-c-terminal-ab192267'>ab192267</a>) at 1/10000 dilution

Lane 1:

HepG2 cell lysate at 20 µg

Lane 2:

HeLa cell lysate at 20 µg

Lane 3:

SH-SY5Y cell lysate at 20 µg

Lane 4:

HEL cell lysate at 20 µg

Secondary

All lanes:

Goat Anti-Rabbit IgG, (H+L), Peroxidase conjugated at 1/1000 dilution

Predicted band size: 20 kDa

Observed band size: 20 kDa

false

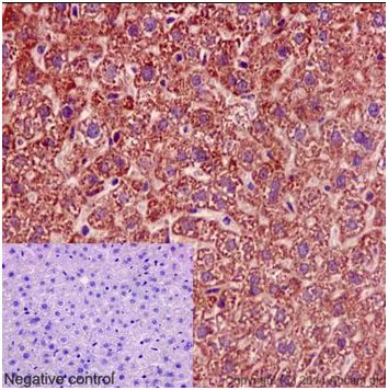
Immunohistochemistry (Formalin/PFA-fixed paraffin-embedded sections) - Anti-Mimitin antibody [EP15279] - BSA and Azide free (AB251134)
  • IHC-P

Supplier Data

Immunohistochemistry (Formalin/PFA-fixed paraffin-embedded sections) - Anti-Mimitin antibody [EP15279] - BSA and Azide free (AB251134)

This data was developed using ab192267, the same antibody clone in a different buffer formulation.

Immunohistochemical analysis of paraffin-embedded Mouse liver tissue labeling Mimitin with ab192267 at 1/200 dilution, followed by prediluted HRP Polymer for Rabbit/Mouse IgG. Counter stained with Hematoxylin. Negative control also shown.

Perform heat mediated antigen retrieval with Tris/EDTA buffer pH 9.0 before commencing with IHC staining protocol.

Immunoprecipitation - Anti-Mimitin antibody [EP15279] - BSA and Azide free (AB251134)
  • IP

Supplier Data

Immunoprecipitation - Anti-Mimitin antibody [EP15279] - BSA and Azide free (AB251134)

This data was developed using ab192267, the same antibody clone in a different buffer formulation.

Western blot analysis of Mimitin in immunoprecipitation pellets from MDA-MB-435 lysate. ab192267 used at 1/60 dilution (Lane 1) or PBS (Lane 2). Secondary antibody Anti-Rabbit IgG (HRP), specific to the non-reduced form of IgG at a1/1000 dilution.

All lanes:

Immunoprecipitation - Anti-Mimitin antibody [EP15279] - C-terminal (<a href='/en-us/products/primary-antibodies/mimitin-antibody-ep15279-c-terminal-ab192267'>ab192267</a>)

Predicted band size: 20 kDa

false

Western blot - Anti-Mimitin antibody [EP15279] - BSA and Azide free (AB251134)
  • WB

Supplier Data

Western blot - Anti-Mimitin antibody [EP15279] - BSA and Azide free (AB251134)

This data was developed using ab192267, the same antibody clone in a different buffer formulation.

All lanes:

Western blot - Anti-Mimitin antibody [EP15279] - C-terminal (<a href='/en-us/products/primary-antibodies/mimitin-antibody-ep15279-c-terminal-ab192267'>ab192267</a>) at 1/1000 dilution

Lane 1:

Mouse heart tissue lysate at 10 µg

Lane 2:

Mouse kidney tissue lysate at 10 µg

Secondary

All lanes:

Goat Anti-Rabbit IgG, (H+L), Peroxidase conjugated at 1/1000 dilution

Predicted band size: 20 kDa

Observed band size: 20 kDa

false

Western blot - Anti-Mimitin antibody [EP15279] - BSA and Azide free (AB251134)
  • WB

Supplier Data

Western blot - Anti-Mimitin antibody [EP15279] - BSA and Azide free (AB251134)

This data was developed using ab192267, the same antibody clone in a different buffer formulation.

All lanes:

Western blot - Anti-Mimitin antibody [EP15279] - C-terminal (<a href='/en-us/products/primary-antibodies/mimitin-antibody-ep15279-c-terminal-ab192267'>ab192267</a>) at 1/10000 dilution

All lanes:

Human fetal heart lysate at 10 µg

Secondary

All lanes:

Anti-Rabbit IgG (HRP), specific to the non-reduced form of IgG at 1/1000 dilution

Predicted band size: 20 kDa,82 kDa

Observed band size: 20 kDa

false

Key facts

Host species

Rabbit

Clonality

Monoclonal

Clone number

EP15279

Isotype

IgG

Carrier free

Yes

Reacts with

Mouse, Human

Applications

IHC-P, ICC/IF, WB, IP

applications

Immunogen

The exact immunogen used to generate this antibody is proprietary information.

Reactivity data

{ "title": "Reactivity Data", "filters": { "stats": ["", "Species", "Dilution Info", "Notes"], "tabs": { "all-applications": {"fullname" : "All Applications", "shortname": "All Applications"}, "ICCIF" : {"fullname" : "Immunocytochemistry/ Immunofluorescence", "shortname":"ICC/IF"}, "IP" : {"fullname" : "Immunoprecipitation", "shortname":"IP"}, "WB" : {"fullname" : "Western blot", "shortname":"WB"}, "IHCP" : {"fullname" : "Immunohistochemistry (Formalin/PFA-fixed paraffin-embedded sections)", "shortname":"IHC-P"} }, "product-promise": { "all": "all", "testedAndGuaranteed": "tested", "guaranteed": "expected", "predicted": "predicted", "notRecommended": "not-recommended" } }, "values": { "Human": { "ICCIF-species-checked": "testedAndGuaranteed", "ICCIF-species-dilution-info": "", "ICCIF-species-notes": "<p></p>", "IP-species-checked": "testedAndGuaranteed", "IP-species-dilution-info": "", "IP-species-notes": "<p></p>", "WB-species-checked": "testedAndGuaranteed", "WB-species-dilution-info": "", "WB-species-notes": "<p></p>", "IHCP-species-checked": "testedAndGuaranteed", "IHCP-species-dilution-info": "", "IHCP-species-notes": "<p></p>" }, "Mouse": { "ICCIF-species-checked": "guaranteed", "ICCIF-species-dilution-info": "", "ICCIF-species-notes": "", "IP-species-checked": "guaranteed", "IP-species-dilution-info": "", "IP-species-notes": "", "WB-species-checked": "testedAndGuaranteed", "WB-species-dilution-info": "", "WB-species-notes": "<p></p>", "IHCP-species-checked": "testedAndGuaranteed", "IHCP-species-dilution-info": "", "IHCP-species-notes": "<p></p>" }, "Rat": { "ICCIF-species-checked": "predicted", "ICCIF-species-dilution-info": "", "ICCIF-species-notes": "", "IP-species-checked": "predicted", "IP-species-dilution-info": "", "IP-species-notes": "", "WB-species-checked": "predicted", "WB-species-dilution-info": "", "WB-species-notes": "", "IHCP-species-checked": "predicted", "IHCP-species-dilution-info": "", "IHCP-species-notes": "" } } }

Product details

ab251134 is the carrier-free version of ab192267.

Patented technology
Our RabMAb® technology is a patented hybridoma-based technology for making rabbit monoclonal antibodies. For details on our patents, please refer to RabMAb® patents.

What are the advantages of a recombinant monoclonal antibody?
This product is a recombinant monoclonal antibody, which offers several advantages including:

  • - High batch-to-batch consistency and reproducibility
  • - Improved sensitivity and specificity
  • - Long-term security of supply
  • - Animal-free batch production

For more information, read more on recombinant antibodies.

Conjugation ready
Our carrier-free antibodies are typically supplied in a PBS-only formulation, purified and free of BSA, sodium azide and glycerol. This conjugation-ready format is designed for use with fluorochromes, metal isotopes, oligonucleotides, and enzymes, which makes them ideal for antibody labelling, functional and cell-based assays, flow-based assays (e.g. mass cytometry) and Multiplex Imaging applications.

Use our conjugation kits for antibody conjugates that are ready-to-use in as little as 20 minutes with 1 minute hands-on-time and 100% antibody recovery: available for fluorescent dyes, HRP, biotin and gold.

Compatibility
This product is compatible with the Maxpar® Antibody Labeling Kit from Fluidigm, without the need for antibody preparation. Maxpar® is a trademark of Fluidigm Canada Inc.

Properties and storage information

Form
Liquid
Purification technique
Affinity purification Protein A
Storage buffer
pH: 7.2 - 7.4 Constituents: PBS
Shipped at conditions
Blue Ice
Appropriate short-term storage conditions
+4°C
Appropriate long-term storage conditions
+4°C
Storage information
Do Not Freeze

Product protocols

For this product, it's our understanding that no specific protocols are required. You can visit:

Target data

Acts as a molecular chaperone for mitochondrial complex I assembly (PubMed : 16200211, PubMed : 19384974). Complex I functions in the transfer of electrons from NADH to the respiratory chain. The immediate electron acceptor for the enzyme is believed to be ubiquinone (PubMed : 16200211, PubMed : 27626371).
See full target information NDUFAF2

Publications (1)

Recent publications for all applications. Explore the full list and refine your search

International journal of molecular sciences 22: PubMed34769092

2021

11,12 Epoxyeicosatrienoic Acid Rescues Deteriorated Wound Healing in Diabetes.

Applications

Unspecified application

Species

Unspecified reactive species

Katharina Sommer,Heike Jakob,Caroline Reiche,Dirk Henrich,Jasmina Sterz,Johannes Frank,Ingo Marzi,Anna Lena Sander
View all publications

Product promise

We are committed to supporting your work with high-quality reagents, and we're here for you every step of the way. In the unlikely event that one of our products does not perform as expected, you're protected by our Product Promise.
For full details, please see our Terms & Conditions

Please note: All products are 'FOR RESEARCH USE ONLY. NOT FOR USE IN DIAGNOSTIC OR THERAPEUTIC PROCEDURES'.

For licensing inquiries, please contact partnerships@abcam.com