JavaScript is disabled in your browser. Please enable JavaScript to view this website.
AB192267

Anti-Mimitin antibody [EP15279] - C-terminal

Be the first to review this product! Submit a review

|

(3 Publications)

Rabbit Recombinant Monoclonal Mimitin antibody. C-terminal. Suitable for IP, WB, ICC/IF, IHC-P and reacts with Human, Mouse samples. Cited in 3 publications.

View Alternative Names

NDUFA12L, NDUFAF2, NADH dehydrogenase [ubiquinone] 1 alpha subcomplex assembly factor 2, B17.2-like, Mimitin, Myc-induced mitochondrial protein, NDUFA12-like protein, B17.2L, MMTN

7 Images
Immunocytochemistry/ Immunofluorescence - Anti-Mimitin antibody [EP15279] - C-terminal (AB192267)
  • ICC/IF

Supplier Data

Immunocytochemistry/ Immunofluorescence - Anti-Mimitin antibody [EP15279] - C-terminal (AB192267)

Immunofluorescent analysis of 4% paraformaldehyde-fixed HepG2 cells labeling Mimitin with ab192267 at 1/100 dilution. The cells were permeabilised with 0.1% Triton X-100. Goat anti-rabbit IgG (Alexa Fluor® 488) (ab150077) at 1/200 dilution was used as the secondary antibody (green). The nuclear counter stain is DAPI (blue).
Negative controls ab192267 at 1/100 dilution followed by ab150120 (AlexaFluor®594 Goat anti-Mouse secondary) at 1/500 dilution.

Immunohistochemistry (Formalin/PFA-fixed paraffin-embedded sections) - Anti-Mimitin antibody [EP15279] - C-terminal (AB192267)
  • IHC-P

Supplier Data

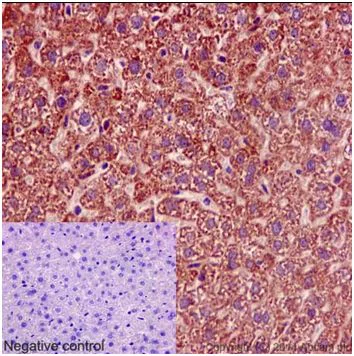
Immunohistochemistry (Formalin/PFA-fixed paraffin-embedded sections) - Anti-Mimitin antibody [EP15279] - C-terminal (AB192267)

Immunohistochemical analysis of paraffin-embedded Human liver tissue labeling Mimitin with ab192267 at 1/200 dilution followed by prediluted HRP Polymer for Rabbit/Mouse IgG. Counter stained with Hematoxylin. Negative control also shown.

Perform heat mediated antigen retrieval with Tris/EDTA buffer pH 9.0 before commencing with IHC staining protocol.

Immunoprecipitation - Anti-Mimitin antibody [EP15279] - C-terminal (AB192267)
  • IP

Supplier Data

Immunoprecipitation - Anti-Mimitin antibody [EP15279] - C-terminal (AB192267)

Western blot analysis of Mimitin in immunoprecipitation pellets from MDA-MB-435 lysate. ab192267 used at 1/60 dilution (Lane 1) or PBS (Lane 2). Secondary antibody Anti-Rabbit IgG (HRP), specific to the non-reduced form of IgG at a1/1000 dilution.

All lanes:

Immunoprecipitation - Anti-Mimitin antibody [EP15279] - C-terminal (ab192267)

Predicted band size: 20 kDa

false

Immunohistochemistry (Formalin/PFA-fixed paraffin-embedded sections) - Anti-Mimitin antibody [EP15279] - C-terminal (AB192267)
  • IHC-P

Supplier Data

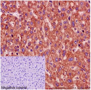
Immunohistochemistry (Formalin/PFA-fixed paraffin-embedded sections) - Anti-Mimitin antibody [EP15279] - C-terminal (AB192267)

Immunohistochemical analysis of paraffin-embedded Mouse liver tissue labeling Mimitin with ab192267 at 1/200 dilution followed by prediluted HRP Polymer for Rabbit/Mouse IgG. Counter stained with Hematoxylin. Negative control also shown.

Perform heat mediated antigen retrieval with Tris/EDTA buffer pH 9.0 before commencing with IHC staining protocol.

Western blot - Anti-Mimitin antibody [EP15279] - C-terminal (AB192267)
  • WB

Supplier Data

Western blot - Anti-Mimitin antibody [EP15279] - C-terminal (AB192267)

All lanes:

Western blot - Anti-Mimitin antibody [EP15279] - C-terminal (ab192267) at 1/10000 dilution

All lanes:

Human fetal heart lysate at 10 µg

Secondary

All lanes:

Anti-Rabbit IgG (HRP), specific to the non-reduced form of IgG at 1/1000 dilution

Predicted band size: 20 kDa,82 kDa

Observed band size: 20 kDa

false

Western blot - Anti-Mimitin antibody [EP15279] - C-terminal (AB192267)
  • WB

Supplier Data

Western blot - Anti-Mimitin antibody [EP15279] - C-terminal (AB192267)

All lanes:

Western blot - Anti-Mimitin antibody [EP15279] - C-terminal (ab192267) at 1/10000 dilution

Lane 1:

HepG2 cell lysate at 20 µg

Lane 2:

HeLa cell lysate at 20 µg

Lane 3:

SH-SY5Y cell lysate at 20 µg

Lane 4:

HEL cell lysate at 20 µg

Secondary

All lanes:

Goat Anti-Rabbit IgG, (H+L), Peroxidase conjugated at 1/1000 dilution

Predicted band size: 20 kDa

Observed band size: 20 kDa

false

Western blot - Anti-Mimitin antibody [EP15279] - C-terminal (AB192267)
  • WB

Supplier Data

Western blot - Anti-Mimitin antibody [EP15279] - C-terminal (AB192267)

All lanes:

Western blot - Anti-Mimitin antibody [EP15279] - C-terminal (ab192267) at 1/1000 dilution

Lane 1:

Mouse heart tissue lysate at 10 µg

Lane 2:

Mouse kidney tissue lysate at 10 µg

Secondary

All lanes:

Goat Anti-Rabbit IgG, (H+L), Peroxidase conjugated at 1/1000 dilution

Predicted band size: 20 kDa

Observed band size: 20 kDa

false

  • Carrier free

    Anti-Mimitin antibody [EP15279] - BSA and Azide free

Key facts

Host species

Rabbit

Clonality

Monoclonal

Clone number

EP15279

Isotype

IgG

Carrier free

No

Reacts with

Mouse, Human

Applications

IP, ICC/IF, IHC-P, WB

applications

Immunogen

The exact immunogen used to generate this antibody is proprietary information.

Reactivity data

{ "title": "Reactivity Data", "filters": { "stats": ["", "Species", "Dilution Info", "Notes"], "tabs": { "all-applications": {"fullname" : "All Applications", "shortname": "All Applications"}, "IP" : {"fullname" : "Immunoprecipitation", "shortname":"IP"}, "WB" : {"fullname" : "Western blot", "shortname":"WB"}, "ICCIF" : {"fullname" : "Immunocytochemistry/ Immunofluorescence", "shortname":"ICC/IF"}, "IHCP" : {"fullname" : "Immunohistochemistry (Formalin/PFA-fixed paraffin-embedded sections)", "shortname":"IHC-P"} }, "product-promise": { "all": "all", "testedAndGuaranteed": "tested", "guaranteed": "expected", "predicted": "predicted", "notRecommended": "not-recommended" } }, "values": { "Human": { "IP-species-checked": "testedAndGuaranteed", "IP-species-dilution-info": "1/60", "IP-species-notes": "<p></p>", "WB-species-checked": "testedAndGuaranteed", "WB-species-dilution-info": "1/1000 - 1/10000", "WB-species-notes": "<p></p>", "ICCIF-species-checked": "testedAndGuaranteed", "ICCIF-species-dilution-info": "1/100", "ICCIF-species-notes": "<p></p>", "IHCP-species-checked": "testedAndGuaranteed", "IHCP-species-dilution-info": "1/100 - 1/200", "IHCP-species-notes": "<p></p>" }, "Mouse": { "IP-species-checked": "guaranteed", "IP-species-dilution-info": "", "IP-species-notes": "", "WB-species-checked": "testedAndGuaranteed", "WB-species-dilution-info": "1/1000 - 1/10000", "WB-species-notes": "<p></p>", "ICCIF-species-checked": "guaranteed", "ICCIF-species-dilution-info": "", "ICCIF-species-notes": "", "IHCP-species-checked": "testedAndGuaranteed", "IHCP-species-dilution-info": "1/100 - 1/200", "IHCP-species-notes": "<p></p>" }, "Rat": { "IP-species-checked": "predicted", "IP-species-dilution-info": "", "IP-species-notes": "", "WB-species-checked": "predicted", "WB-species-dilution-info": "", "WB-species-notes": "", "ICCIF-species-checked": "predicted", "ICCIF-species-dilution-info": "", "ICCIF-species-notes": "", "IHCP-species-checked": "predicted", "IHCP-species-dilution-info": "", "IHCP-species-notes": "" } } }

Product details

Patented technology
Our RabMAb® technology is a patented hybridoma-based technology for making rabbit monoclonal antibodies. For details on our patents, please refer to RabMAb® patents.

What are the advantages of a recombinant monoclonal antibody?
This product is a recombinant monoclonal antibody, which offers several advantages including:

  • - High batch-to-batch consistency and reproducibility
  • - Improved sensitivity and specificity
  • - Long-term security of supply
  • - Animal-free batch production

For more information, read more on recombinant antibodies.

Properties and storage information

Form
Liquid
Purification technique
Affinity purification Protein A
Storage buffer
pH: 7.2 - 7.4 Preservative: 0.01% Sodium azide Constituents: PBS, 40% Glycerol (glycerin, glycerine), 0.05% BSA
Shipped at conditions
Blue Ice
Appropriate short-term storage duration
1-2 weeks
Appropriate short-term storage conditions
+4°C
Appropriate long-term storage conditions
-20°C
Aliquoting information
Upon delivery aliquot
Storage information
Avoid freeze / thaw cycle

Product protocols

For this product, it's our understanding that no specific protocols are required. You can visit:

Target data

Acts as a molecular chaperone for mitochondrial complex I assembly (PubMed : 16200211, PubMed : 19384974). Complex I functions in the transfer of electrons from NADH to the respiratory chain. The immediate electron acceptor for the enzyme is believed to be ubiquinone (PubMed : 16200211, PubMed : 27626371). Is involved in the initial steps of cilia formation, including removal of CP110 from the mother centrioles, docking of membrane vesicles to the mother centrioles, and establishment of the transition zone (PubMed : 38949024).
See full target information NDUFAF2

Publications (3)

Recent publications for all applications. Explore the full list and refine your search

Cardiovascular research 119:2213-2229 PubMed37395010

2023

Tissue-specific differences in the assembly of mitochondrial Complex I are revealed by a novel ENU mutation in ECSIT.

Applications

Unspecified application

Species

Unspecified reactive species

Thomas Nicol,Sara Falcone,Andrew Blease,Pratik Vikhe,Gabriele Civiletto,Saleh Salman Omairi,Carlo Viscomi,Ketan Patel,Paul K Potter

Computational and mathematical methods in medicine 2023:2912968 PubMed36703939

2023

Upregulation of NDUFAF2 in Lung Adenocarcinoma Is a Novel Independent Prognostic Biomarker.

Applications

Unspecified application

Species

Unspecified reactive species

Kang Zou,Pengxiang Gao,Xinping Xu,Wei Zhang,Zhenguo Zeng

Nature communications 11:1643 PubMed32242014

2020

A salvage pathway maintains highly functional respiratory complex I.

Applications

Unspecified application

Species

Unspecified reactive species

Karolina Szczepanowska,Katharina Senft,Juliana Heidler,Marija Herholz,Alexandra Kukat,Michaela Nicole Höhne,Eduard Hofsetz,Christina Becker,Sophie Kaspar,Heiko Giese,Klaus Zwicker,Sergio Guerrero-Castillo,Linda Baumann,Johanna Kauppila,Anastasia Rumyantseva,Stefan Müller,Christian K Frese,Ulrich Brandt,Jan Riemer,Ilka Wittig,Aleksandra Trifunovic
View all publications

Product promise

We are committed to supporting your work with high-quality reagents, and we're here for you every step of the way. In the unlikely event that one of our products does not perform as expected, you're protected by our Product Promise.
For full details, please see our Terms & Conditions

Please note: All products are 'FOR RESEARCH USE ONLY. NOT FOR USE IN DIAGNOSTIC OR THERAPEUTIC PROCEDURES'.

For licensing inquiries, please contact partnerships@abcam.com