JavaScript is disabled in your browser. Please enable JavaScript to view this website.
AB325523

Anti-Mineralocorticoid Receptor antibody [EPR29519-576]

  • RabMAb
  • Recombinant
  • KO Validated
  • 20ul selling size
  • What is this?

Be the first to review this product! Submit a review

|

(0 Publication)

Rabbit Recombinant Monoclonal Mineralocorticoid Receptor antibody. Suitable for IHC-Fr, IHC-P, WB, ICC/IF and reacts with Mouse, Rat, Human samples.

View Alternative Names

MCR, MLR, NR3C2, Mineralocorticoid receptor, MR, Nuclear receptor subfamily 3 group C member 2

17 Images
Western blot - Anti-Mineralocorticoid Receptor antibody [EPR29519-576] (AB325523)
  • WB

Supplier Data

Western blot - Anti-Mineralocorticoid Receptor antibody [EPR29519-576] (AB325523)

In Western blot, ab325523 was shown to bind specifically to Mineralocorticoid Receptor. Target of interest was observed at 107 kDa in wild-type HeLa cell lysates (lane 1) with no signal observed at this size in Mineralocorticoid Receptor knockout cell line (lane 2, knockout cell line ab265540 / knockout cell lysate ab257279).

To minimize protein degradation, tissues were lysed immediately after harvest and then applied to a gel and transfer membrane for Western blotting as soon as possible.

The identity of the lower MW bands below 107 kDa are unknown.

All lanes:

Western blot - Anti-Mineralocorticoid Receptor antibody [EPR29519-576] (ab325523) at 1/1000 dilution

Lane 1:

Wild-type HeLa (human cervical adenocarcinoma epithelial cell) whole cell lysate at 48 µg

Lane 2:

Mineralocorticoid Receptor knockout HeLa whole cell lysate at 20 µg

Secondary

All lanes:

Western blot - Goat Anti-Rabbit IgG H&L (HRP) (<a href='/en-us/products/secondary-antibodies/goat-rabbit-igg-h-l-hrp-ab97051'>ab97051</a>) at 1/20000 dilution

Observed band size: 107 kDa,36 kDa

false

Exposure time: 180s

Immunohistochemistry (Frozen sections) - Anti-Mineralocorticoid Receptor antibody [EPR29519-576] (AB325523)
  • IHC-Fr

Lab

Immunohistochemistry (Frozen sections) - Anti-Mineralocorticoid Receptor antibody [EPR29519-576] (AB325523)

Immunohistochemical analysis of 4% PFA-fixed, 0.2% Triton X-100 permeabilized frozen Mouse hippocampus (fresh frozen) tissue labeling Mineralocorticoid Receptor with ab325523 at 1/50 (9.92 µg/ml) dilution followed by ab150081 Goat Anti-Rabbit IgG H&L (Alexa Fluor® 488) preadsorbed at 1/1000 2 µg/mL dilution (Green).

Panel A : merged staining of anti-NR3C2 (ab325523, green), anti-NeuN (ab190565, white) and anti-GFAP (ab201732, magenta) on mouse hippocampus.
Panel B : anti-NR3C2 stained on mouse hippocampus.
Panel C : anti-NeuN stained in neurons of mouse hippocampus.
Panel D : anti-GFAP stained in astrocytes of mouse hippocampus.

The section was incubated in two rounds of staining : in the order of ab325523 and ab190565, ab201732 for 1 hr at room temperature. The nuclear counterstain was DAPI (Blue). The section was then mounted using Fluoromount®.The immunostaining was performed on a Leica Biosystems BOND® RX instrument. Image was taken with a confocal microscope (Leica-Microsystems, TCS SP8).

Immunocytochemistry/ Immunofluorescence - Anti-Mineralocorticoid Receptor antibody [EPR29519-576] (AB325523)
  • ICC/IF

Lab

Immunocytochemistry/ Immunofluorescence - Anti-Mineralocorticoid Receptor antibody [EPR29519-576] (AB325523)

Immunofluorescent analysis of 4% Paraformaldehyde-fixed, 0.1% TritonX-100 permeabilized rat hippocampal neuron cells labelling Mineralocorticoid Receptor with ab325523 at 1/ 50 (9.92 µg/ml) dilution, followed by ab150081 Goat Anti-Rabbit IgG H&L (Alexa Fluor® 488) preadsorbed antibody at 1/1000 dilution (Green).

Confocal image showing nuclear and cytoplasmic staining in subsets of rat hippocampal neuron (shown in green). The counterstain was observed in magenta. Nuclear DNA was labelled with DAPI (shown in blue).Confocal scanning Z step was set as 0.3 µm followed by image processing with maximum Z projection.
Image was taken with a confocal microscope (Leica-Microsystems, TCS SP8).

ab11267 Anti-MAP2 mouse monoclonal antibody was used to counterstain tubulin at 1/500 dilution (Magenta). The Nuclear counterstain was DAPI (Blue).

-ve control 1 : ab325523 at 1 : 50 dilution, followed by ab150120 at 1 : 1000 dilution
-ve control 2 : ab11267 at 1 : 500 dilution, followed by ab150081 at 1 : 1000 dilution

Immunohistochemistry (Formalin/PFA-fixed paraffin-embedded sections) - Anti-Mineralocorticoid Receptor antibody [EPR29519-576] (AB325523)
  • IHC-P

Lab

Immunohistochemistry (Formalin/PFA-fixed paraffin-embedded sections) - Anti-Mineralocorticoid Receptor antibody [EPR29519-576] (AB325523)

Immunohistochemical analysis of paraffin-embedded Mouse hippocampus tissue labeling Mineralocorticoid Receptor with ab325523 at 1/1000 (0.496 µg/ml) dilution, followed by a ready to use LeicaDS9800 (Bond™ Polymer Refine Detection) .

Positive staining on mouse hippocampus (PMID : 34077736, PMID : 31745235) .

The primary antibody was incubated for 30 mins at room temperature.

The immunostaining was performed on a Leica Biosystems BOND® RX instrument

Counterstained with Hematoxylin.

Secondary antibody only control : Secondary antibody is a ready to use LeicaDS9800 (Bond™ Polymer Refine Detection) .

Heat mediated antigen retrieval was performed with citrate buffer (pH 9.0, epitope retrieval solution 2) for 20 mins

Immunohistochemistry (Formalin/PFA-fixed paraffin-embedded sections) - Anti-Mineralocorticoid Receptor antibody [EPR29519-576] (AB325523)
  • IHC-P

Lab

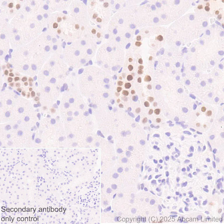
Immunohistochemistry (Formalin/PFA-fixed paraffin-embedded sections) - Anti-Mineralocorticoid Receptor antibody [EPR29519-576] (AB325523)

Immunohistochemical analysis of paraffin-embedded Mouse kidney tissue labeling Mineralocorticoid Receptor with ab325523 at 1/1000 (0.496 µg/ml) dilution, followed by a ready to use LeicaDS9800 (Bond™ Polymer Refine Detection) .

Positive staining on mouse kidney (PMID : 29466427) .

The primary antibody was incubated for 30 mins at room temperature.

The immunostaining was performed on a Leica Biosystems BOND® RX instrument

Counterstained with Hematoxylin.

Secondary antibody only control : Secondary antibody is a ready to use LeicaDS9800 (Bond™ Polymer Refine Detection) .

Heat mediated antigen retrieval was performed with citrate buffer (pH 9.0, epitope retrieval solution 2) for 20 mins

Immunohistochemistry (Formalin/PFA-fixed paraffin-embedded sections) - Anti-Mineralocorticoid Receptor antibody [EPR29519-576] (AB325523)
  • IHC-P

Lab

Immunohistochemistry (Formalin/PFA-fixed paraffin-embedded sections) - Anti-Mineralocorticoid Receptor antibody [EPR29519-576] (AB325523)

Immunohistochemical analysis of paraffin-embedded Rat hippocampus tissue labeling Mineralocorticoid Receptor with ab325523 at 1/1000 (0.496 µg/ml) dilution, followed by a ready to use LeicaDS9800 (Bond™ Polymer Refine Detection) .

Positive staining on rat hippocampus (PMID : 16293659) .

The primary antibody was incubated for 30 mins at room temperature.

The immunostaining was performed on a Leica Biosystems BOND® RX instrument

Counterstained with Hematoxylin.

Secondary antibody only control : Secondary antibody is a ready to use LeicaDS9800 (Bond™ Polymer Refine Detection) .

Heat mediated antigen retrieval was performed with citrate buffer (pH 9.0, epitope retrieval solution 2) for 20 mins

Immunohistochemistry (Formalin/PFA-fixed paraffin-embedded sections) - Anti-Mineralocorticoid Receptor antibody [EPR29519-576] (AB325523)
  • IHC-P

Lab

Immunohistochemistry (Formalin/PFA-fixed paraffin-embedded sections) - Anti-Mineralocorticoid Receptor antibody [EPR29519-576] (AB325523)

Immunohistochemical analysis of paraffin-embedded Rat kidney tissue labeling Mineralocorticoid Receptor with ab325523 at 1/1000 (0.496 µg/ml) dilution, followed by a ready to use LeicaDS9800 (Bond™ Polymer Refine Detection) .

Positive staining on rat kidney (PMID : 16293659) .

The primary antibody was incubated for 30 mins at room temperature.

The immunostaining was performed on a Leica Biosystems BOND® RX instrument

Counterstained with Hematoxylin.

Secondary antibody only control : Secondary antibody is a ready to use LeicaDS9800 (Bond™ Polymer Refine Detection) .

Heat mediated antigen retrieval was performed with citrate buffer (pH 9.0, epitope retrieval solution 2) for 20 mins

Immunocytochemistry/ Immunofluorescence - Anti-Mineralocorticoid Receptor antibody [EPR29519-576] (AB325523)
  • ICC/IF

Lab

Immunocytochemistry/ Immunofluorescence - Anti-Mineralocorticoid Receptor antibody [EPR29519-576] (AB325523)

Immunofluorescent analysis of 4% Paraformaldehyde-fixed, 0.1% TritonX-100 permeabilized mouse hippocampal neuron cells labelling Mineralocorticoid Receptor with ab325523 at 1/ 50 (9.92 µg/ml) dilution , followed by ab150081 Goat Anti-Rabbit IgG H&L (Alexa Fluor® 488) preadsorbed antibody at 1/1000 dilution (Green).

Confocal image showing nuclear staining in subsets of mouse hippocampal neuron (shown in green). The counterstain was observed in magenta. Nuclear DNA was labelled with DAPI (shown in blue).Confocal scanning Z step was set as 0.3 µm followed by image processing with maximum Z projection.
Image was taken with a confocal microscope (Leica-Microsystems, TCS SP8).

ab11267 Anti-MAP2 mouse monoclonal antibody was used to counterstain tubulin at 1/500 dilution (Magenta). The Nuclear counterstain was DAPI (Blue).

-ve control 1 : ab325523 at 1 : 50 dilution, followed by ab150120 at 1 : 1000 dilution
-ve control 2 : ab11267 at 1 : 500 dilution, followed by ab150081 at 1 : 1000 dilution

Immunohistochemistry (Frozen sections) - Anti-Mineralocorticoid Receptor antibody [EPR29519-576] (AB325523)
  • IHC-Fr

Lab

Immunohistochemistry (Frozen sections) - Anti-Mineralocorticoid Receptor antibody [EPR29519-576] (AB325523)

Immunohistochemical analysis of 4% PFA-fixed, 0.2% Triton X-100 permeabilized frozen Rat hippocampus (fresh frozen) tissue labeling Mineralocorticoid Receptor with ab325523 at 1/50 (9.92 µg/ml) dilution followed by ab150081 Goat Anti-Rabbit IgG H&L (Alexa Fluor® 488) preadsorbed at 1/1000 2 µg/mL dilution (Green).

Panel A : merged staining of anti-NR3C2 (ab325523, green), anti-NeuN (ab190565, white) and anti-GFAP (ab201732, magenta) on rat hippocampus.
Panel B : anti-NR3C2 stained on rat hippocampus.
Panel C : anti-NeuN stained in neurons of rat hippocampus.
Panel D : anti-GFAP stained in astrocytes of rat hippocampus.

The section was incubated in two rounds of staining : in the order of ab325523 and ab190565, ab201732 for 1 hr at room temperature. The nuclear counterstain was DAPI (Blue). The section was then mounted using Fluoromount®.The immunostaining was performed on a Leica Biosystems BOND® RX instrument. Image was taken with a confocal microscope (Leica-Microsystems, TCS SP8).

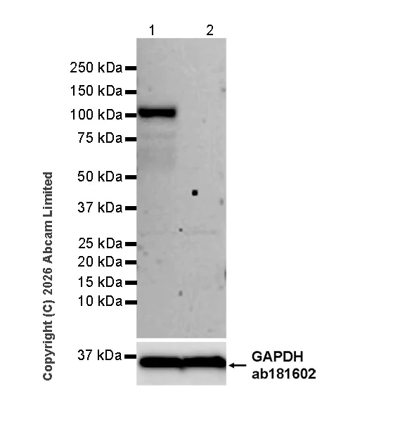
Western blot - Anti-Mineralocorticoid Receptor antibody [EPR29519-576] (AB325523)
  • WB

Lab

Western blot - Anti-Mineralocorticoid Receptor antibody [EPR29519-576] (AB325523)

Blocking and diluting buffer and concentration : 5% NFDM/TBST.

Low expression : Jurkat, A549

This blot was developed using a high-sensitivity ECL substrate, allowing for the detection of proteins in the mid-femtogram range.

To minimize protein degradation, cells were lysed immediately after harvest and then applied to a gel and transfer membrane for Western blotting as soon as possible.

The identity of the lower MW bands below 107 kDa are unknown.

In Western blot, Anti-GAPDH antibody [EPR16891] - Loading Control (ab181602) (1 : 200000) (36KDa).

All lanes:

Western blot - Anti-Mineralocorticoid Receptor antibody [EPR29519-576] (ab325523) at 1/1000 dilution

Lane 1:

U-2 OS (human bone osteosarcoma epithelial cell) fresh whole cell lysate at 48 µg

Lane 2:

22Rv1 (human prostate carcinoma epithelial cell) fresh whole cell lysate at 48 µg

Lane 3:

Jurkat (human T cell leukemia T lymphocyte from peripheral blood) fresh whole cell lysate at 48 µg

Lane 4:

A549 (human lung carcinoma epithelial cell) fresh whole cell lysate at 48 µg

Secondary

All lanes:

Western blot - Goat Anti-Rabbit IgG H&L (HRP) (<a href='/en-us/products/secondary-antibodies/goat-rabbit-igg-h-l-hrp-ab97051'>ab97051</a>) at 1/20000 dilution

Observed band size: 107 kDa,36 kDa

true

Exposure time: 59s

Western blot - Anti-Mineralocorticoid Receptor antibody [EPR29519-576] (AB325523)
  • WB

Lab

Western blot - Anti-Mineralocorticoid Receptor antibody [EPR29519-576] (AB325523)

Blocking and diluting buffer and concentration : 5% NFDM/TBST.

Low expression : liver

To minimize protein degradation, tissues were lysed immediately after harvest and then applied to a gel and transfer membrane for Western blotting as soon as possible.

The identity of the lower MW bands below 107 kDa are unknown.

In Western blot, Anti-GAPDH antibody [EPR16891] - Loading Control (ab181602) (1 : 200000) (36KDa).

All lanes:

Western blot - Anti-Mineralocorticoid Receptor antibody [EPR29519-576] (ab325523) at 1/1000 dilution

Lane 1:

Mouse hippocampus tissue lysate at 48 µg

Lane 2:

Mouse liver tissue lysate at 48 µg

Lane 3:

Rat hippocampus tissue lysate at 48 µg

Lane 4:

Rat liver tissue lysate at 48 µg

Secondary

All lanes:

Western blot - Goat Anti-Rabbit IgG H&L (HRP) (<a href='/en-us/products/secondary-antibodies/goat-rabbit-igg-h-l-hrp-ab97051'>ab97051</a>) at 1/20000 dilution

Observed band size: 107 kDa,36 kDa

false

Exposure time: 180s

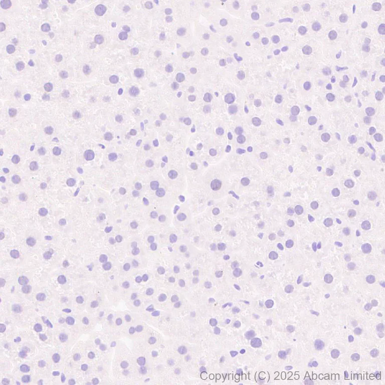
Immunohistochemistry (Formalin/PFA-fixed paraffin-embedded sections) - Anti-Mineralocorticoid Receptor antibody [EPR29519-576] (AB325523)
  • IHC-P

Lab

Immunohistochemistry (Formalin/PFA-fixed paraffin-embedded sections) - Anti-Mineralocorticoid Receptor antibody [EPR29519-576] (AB325523)

Immunohistochemical analysis of paraffin-embedded Rat liver tissue labeling Mineralocorticoid Receptor with ab325523 at 1/1000 (0.496 µg/ml) dilution, followed by a ready to use LeicaDS9800 (Bond™ Polymer Refine Detection) .

Low expression : No staining on rat liver.

The primary antibody was incubated for 30 mins at room temperature.

The immunostaining was performed on a Leica Biosystems BOND® RX instrument

Counterstained with Hematoxylin.

Heat mediated antigen retrieval was performed with citrate buffer (pH 9.0, epitope retrieval solution 2) for 20 mins

Immunohistochemistry (Frozen sections) - Anti-Mineralocorticoid Receptor antibody [EPR29519-576] (AB325523)
  • IHC-Fr

Lab

Immunohistochemistry (Frozen sections) - Anti-Mineralocorticoid Receptor antibody [EPR29519-576] (AB325523)

Immunohistochemical analysis of 4% PFA-fixed, 0.2% Triton X-100 permeabilized frozen Rat liver (fresh frozen) tissue labeling Mineralocorticoid Receptor with ab325523 at 1/50 (9.92 µg/ml) dilution followed by ab150081 Goat Anti-Rabbit IgG H&L (Alexa Fluor® 488) preadsorbed at 1/1000 2 µg/mL dilution (Green).

Low expression : confocal image showing no staining on rat liver. The nuclear counterstain was DAPI (Blue). The section was incubated with ab325523 for 60 mins at room temperature. The section was then mounted using Fluoromount®.The immunostaining was performed on a Leica Biosystems BOND® RX instrument. Image was taken with a confocal microscope (Leica-Microsystems, TCS SP8).

Secondary antibody control : Secondary antibody is ab150081 Goat Anti-Rabbit IgG H&L (Alexa Fluor® 488) preadsorbed at 1/1000 2 µg/mL dilution.

Immunohistochemistry (Frozen sections) - Anti-Mineralocorticoid Receptor antibody [EPR29519-576] (AB325523)
  • IHC-Fr

Lab

Immunohistochemistry (Frozen sections) - Anti-Mineralocorticoid Receptor antibody [EPR29519-576] (AB325523)

Immunohistochemical analysis of 4% PFA-fixed, 0.2% Triton X-100 permeabilized frozen Mouse liver (fresh frozen) tissue labeling Mineralocorticoid Receptor with ab325523 at 1/50 (9.92 µg/ml) dilution followed by ab150081 Goat Anti-Rabbit IgG H&L (Alexa Fluor® 488) preadsorbed at 1/1000 2 µg/mL dilution (Green).

Low expression : confocal image showing no staining on mouse liver. The nuclear counterstain was DAPI (Blue). The section was incubated with ab325523 for 60 mins at room temperature. The section was then mounted using Fluoromount®.The immunostaining was performed on a Leica Biosystems BOND® RX instrument. Image was taken with a confocal microscope (Leica-Microsystems, TCS SP8).

Secondary antibody control : Secondary antibody is ab150081 Goat Anti-Rabbit IgG H&L (Alexa Fluor® 488) preadsorbed at 1/1000 2 µg/mL dilution.

Immunocytochemistry/ Immunofluorescence - Anti-Mineralocorticoid Receptor antibody [EPR29519-576] (AB325523)
  • ICC/IF

Lab

Immunocytochemistry/ Immunofluorescence - Anti-Mineralocorticoid Receptor antibody [EPR29519-576] (AB325523)

Immunofluorescent analysis of 4% Paraformaldehyde-fixed, 0.1% TritonX-100 permeabilized mouse splenocyte cells labelling Mineralocorticoid Receptor with ab325523 at 1/ 50 (9.92 µg/ml) dilution , followed by ab150081 Goat Anti-Rabbit IgG H&L (Alexa Fluor® 488) preadsorbed antibody at 1/1000 dilution (Green).

Low expression : Confocal image showing no staining in mouse splenocytes (shown in green). The counterstain was observed in magenta. Nuclear DNA was labelled with DAPI (shown in blue).
Image was taken with a confocal microscope (Leica-Microsystems, TCS SP8).

ab7291 Anti-alpha Tubulin mouse monoclonal antibody was used to counterstain tubulin at 1/1000 dilution (Magenta). The Nuclear counterstain was DAPI (Blue).

-ve control 1 : ab325523 at 1 : 50 dilution, followed by ab150120 at 1 : 1000 dilution
-ve control 2 : ab7291 at 1 : 1000 dilution, followed by ab150081 at 1 : 1000 dilution

Immunocytochemistry/ Immunofluorescence - Anti-Mineralocorticoid Receptor antibody [EPR29519-576] (AB325523)
  • ICC/IF

Lab

Immunocytochemistry/ Immunofluorescence - Anti-Mineralocorticoid Receptor antibody [EPR29519-576] (AB325523)

Immunofluorescent analysis of 4% Paraformaldehyde-fixed, 0.1% TritonX-100 permeabilized rat splenocyte cells labelling Mineralocorticoid Receptor with ab325523 at 1/ 50 (9.92 µg/ml) dilution, followed by ab150081 Goat Anti-Rabbit IgG H&L (Alexa Fluor® 488) preadsorbed antibody at 1/1000 dilution (Green).

Low expression : Confocal image showing no staining in rat splenocytes (shown in green). The counterstain was observed in magenta. Nuclear DNA was labelled with DAPI (shown in blue).
Image was taken with a confocal microscope (Leica-Microsystems, TCS SP8).

ab7291 Anti-alpha Tubulin mouse monoclonal antibody was used to counterstain tubulin at 1/1000 dilution (Magenta).
The Nuclear counterstain was DAPI (Blue).

-ve control 1 : ab325523 at 1 : 50 dilution, followed by ab150120 at 1 : 1000 dilution
-ve control 2 : ab7291 at 1 : 1000 dilution, followed by ab150081 at 1 : 1000 dilution

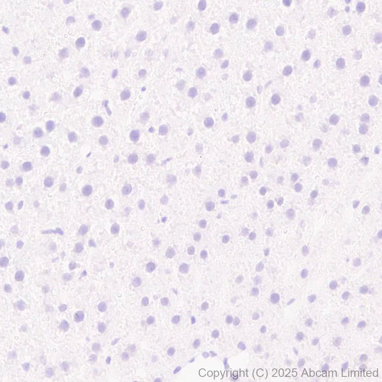
Immunohistochemistry (Formalin/PFA-fixed paraffin-embedded sections) - Anti-Mineralocorticoid Receptor antibody [EPR29519-576] (AB325523)
  • IHC-P

Lab

Immunohistochemistry (Formalin/PFA-fixed paraffin-embedded sections) - Anti-Mineralocorticoid Receptor antibody [EPR29519-576] (AB325523)

Immunohistochemical analysis of paraffin-embedded Mouse liver tissue labeling Mineralocorticoid Receptor with ab325523 at 1/1000 (0.496 µg/ml) dilution, followed by a ready to use LeicaDS9800 (Bond™ Polymer Refine Detection) .

Low expression : No staining on mouse liver (PMID : 348581817) .

The primary antibody was incubated for 30 mins at room temperature.

The immunostaining was performed on a Leica Biosystems BOND® RX instrument

Counterstained with Hematoxylin.

Heat mediated antigen retrieval was performed with citrate buffer (pH 9.0, epitope retrieval solution 2) for 20 mins

Key facts

Host species

Rabbit

Clonality

Monoclonal

Clone number

EPR29519-576

Isotype

IgG

Carrier free

No

Reacts with

Mouse, Rat, Human

Applications

IHC-Fr, IHC-P, ICC/IF, WB

applications

Immunogen

The exact immunogen used to generate this antibody is proprietary information.

Specificity

Unsuitable for Human IHC-P and ICC.

Reactivity data

{ "title": "Reactivity Data", "filters": { "stats": ["", "Species", "Dilution Info", "Notes"], "tabs": { "all-applications": {"fullname" : "All Applications", "shortname": "All Applications"}, "IHCFr" : {"fullname" : "Immunohistochemistry (Frozen sections)", "shortname":"IHC-Fr"}, "IHCP" : {"fullname" : "Immunohistochemistry (Formalin/PFA-fixed paraffin-embedded sections)", "shortname":"IHC-P"}, "WB" : {"fullname" : "Western blot", "shortname":"WB"}, "ICCIF" : {"fullname" : "Immunocytochemistry/ Immunofluorescence", "shortname":"ICC/IF"}, "IP" : {"fullname" : "Immunoprecipitation", "shortname":"IP"} }, "product-promise": { "all": "all", "testedAndGuaranteed": "tested", "guaranteed": "expected", "predicted": "predicted", "notRecommended": "not-recommended" } }, "values": { "Human": { "IHCFr-species-checked": "guaranteed", "IHCFr-species-dilution-info": "", "IHCFr-species-notes": "", "IHCP-species-checked": "notRecommended", "IHCP-species-dilution-info": "", "IHCP-species-notes": "<p></p>", "WB-species-checked": "testedAndGuaranteed", "WB-species-dilution-info": "1/1000", "WB-species-notes": "<p></p>", "ICCIF-species-checked": "notRecommended", "ICCIF-species-dilution-info": "", "ICCIF-species-notes": "<p></p>", "IP-species-checked": "notRecommended", "IP-species-dilution-info": "", "IP-species-notes": "<p></p>" }, "Mouse": { "IHCFr-species-checked": "testedAndGuaranteed", "IHCFr-species-dilution-info": "1/50", "IHCFr-species-notes": "<p></p>", "IHCP-species-checked": "testedAndGuaranteed", "IHCP-species-dilution-info": "1/1000", "IHCP-species-notes": "<p></p> Perform heat-mediated antigen retrieval with citrate buffer pH 6 before commencing with IHC staining protocol.", "WB-species-checked": "testedAndGuaranteed", "WB-species-dilution-info": "1/1000", "WB-species-notes": "<p></p>", "ICCIF-species-checked": "testedAndGuaranteed", "ICCIF-species-dilution-info": "1/50", "ICCIF-species-notes": "<p></p>", "IP-species-checked": "notRecommended", "IP-species-dilution-info": "", "IP-species-notes": "<p></p>" }, "Rat": { "IHCFr-species-checked": "testedAndGuaranteed", "IHCFr-species-dilution-info": "1/50", "IHCFr-species-notes": "<p></p>", "IHCP-species-checked": "testedAndGuaranteed", "IHCP-species-dilution-info": "1/1000", "IHCP-species-notes": "<p></p> Perform heat-mediated antigen retrieval with citrate buffer pH 6 before commencing with IHC staining protocol.", "WB-species-checked": "testedAndGuaranteed", "WB-species-dilution-info": "1/1000", "WB-species-notes": "<p></p>", "ICCIF-species-checked": "testedAndGuaranteed", "ICCIF-species-dilution-info": "1/50", "ICCIF-species-notes": "<p></p>", "IP-species-checked": "notRecommended", "IP-species-dilution-info": "", "IP-species-notes": "<p></p>" } } }

Product details

Patented technology
Our RabMAb® technology is a patented hybridoma-based technology for making rabbit monoclonal antibodies. For details on our patents, please refer to RabMAb® patents.

What are the advantages of a recombinant monoclonal antibody?
This product is a recombinant monoclonal antibody, which offers several advantages including:

  • - High batch-to-batch consistency and reproducibility
  • - Improved sensitivity and specificity
  • - Long-term security of supply
  • - Animal-free batch production

For more information, read more on recombinant antibodies.

Properties and storage information

Form
Liquid
Purification technique
Affinity purification Protein A
Storage buffer
pH: 7.2 - 7.4 Preservative: 0.01% Sodium azide Constituents: PBS, 40% Glycerol (glycerin, glycerine), 0.05% BSA
Shipped at conditions
Blue Ice
Appropriate short-term storage duration
1-2 weeks
Appropriate short-term storage conditions
+4°C
Appropriate long-term storage conditions
-20°C
Aliquoting information
Upon delivery aliquot
Storage information
Avoid freeze / thaw cycle

Product protocols

For this product, it's our understanding that no specific protocols are required. You can visit:

Target data

Receptor for both mineralocorticoids (MC) such as aldosterone and glucocorticoids (GC) such as corticosterone or cortisol. Binds to mineralocorticoid response elements (MRE) and transactivates target genes. The effect of MC is to increase ion and water transport and thus raise extracellular fluid volume and blood pressure and lower potassium levels.
See full target information NR3C2

Product promise

We are committed to supporting your work with high-quality reagents, and we're here for you every step of the way. In the unlikely event that one of our products does not perform as expected, you're protected by our Product Promise.
For full details, please see our Terms & Conditions

Please note: All products are 'FOR RESEARCH USE ONLY. NOT FOR USE IN DIAGNOSTIC OR THERAPEUTIC PROCEDURES'.

For licensing inquiries, please contact partnerships@abcam.com