JavaScript is disabled in your browser. Please enable JavaScript to view this website.
AB2774

Anti-Mineralocorticoid Receptor antibody [H10E4C9F]

4

(6 Reviews)

|

(36 Publications)

Mouse Monoclonal Mineralocorticoid Receptor antibody. Suitable for Flow Cyt, IHC-P, ICC/IF and reacts with Human samples. Cited in 36 publications.

View Alternative Names

MCR, MLR, NR3C2, Mineralocorticoid receptor, MR, Nuclear receptor subfamily 3 group C member 2

10 Images
Immunohistochemistry (Formalin/PFA-fixed paraffin-embedded sections) - Anti-Mineralocorticoid Receptor antibody [H10E4C9F] (AB2774)
  • IHC-P

Unknown

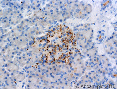
Immunohistochemistry (Formalin/PFA-fixed paraffin-embedded sections) - Anti-Mineralocorticoid Receptor antibody [H10E4C9F] (AB2774)

ab2774 (4µg/ml) staining mineralocorticoid receptor in human pancreas, using an automated system (DAKO Autostainer Plus). Using this protocol there is strong staining of the islets of Langerhans and some weaker staining of the exocrine cells of the pancreas.
Sections were rehydrated and antigen retrieved with the Dako 3 in 1 AR buffer EDTA pH 9.0 in a DAKO PT link. Slides were peroxidase blocked in 3% H2O2 in methanol for 10 mins. They were then blocked with Dako Protein block for 10 minutes (containing casein 0.25% in PBS) then incubated with primary antibody for 20 min and detected with Dako envision flex amplification kit for 30 minutes. Colorimetric detection was completed with Diaminobenzidine for 5 minutes. Slides were counterstained with Haematoxylin and coverslipped under DePeX. Please note that, for manual staining, optimization of primary antibody concentration and incubation time is recommended. Signal amplification may be required.

Immunocytochemistry/ Immunofluorescence - Anti-Mineralocorticoid Receptor antibody [H10E4C9F] (AB2774)
  • ICC/IF

Unknown

Immunocytochemistry/ Immunofluorescence - Anti-Mineralocorticoid Receptor antibody [H10E4C9F] (AB2774)

Immunofluorescent analysis of Mineralocorticoid Receptor using Mineralocorticoid Receptor Monoclonal antibody (H10E4C9F) ab2774 shows staining in HepG2 cells. Mineralocorticoid Receptor staining (green) F-Actin staining with Phalloidin (red) and nuclei with DAPI (blue) is shown. Cells were grown on chamber slides and fixed with formaldehyde prior to staining. Cells were probed without (control) or with or an antibody recognizing Mineralocorticoid Receptor ab2774 at a dilution of 1 : 20-1 : 200 over night at 4 ?C washed with PBS and incubated with a DyLight-488 conjugated secondary antibody . Images were taken at 60X magnification.

Flow Cytometry - Anti-Mineralocorticoid Receptor antibody [H10E4C9F] (AB2774)
  • Flow Cyt

Lab

Flow Cytometry - Anti-Mineralocorticoid Receptor antibody [H10E4C9F] (AB2774)

Overlay histogram showing HEK293 cells stained with ab2774 (red line). The cells were fixed with methanol (5 min) and then permeabilized with 0.1% PBS-Tween for 20 min. The cells were then incubated in 1x PBS / 10% normal goat serum / 0.3M glycine to block non-specific protein-protein interactions followed by the antibody (ab2774, 1/20 dilution) for 30 min at 22°C. The secondary antibody used was DyLight® 488 goat anti-mouse IgG (H+L) (ab96879) at 1/500 dilution for 30 min at 22°C. Isotype control antibody (black line) was mouse IgG1 [ICIGG1] (ab91353, 2μg/1x106 cells) used under the same conditions. Acquisition of >5,000 events was performed. This antibody gave a slightly decreased signal in HEK293 cells fixed with 4% paraformaldehyde (10 min)/permeabilized in 0.1% PBS-Tween used under the same conditions.

Immunohistochemistry (Formalin/PFA-fixed paraffin-embedded sections) - Anti-Mineralocorticoid Receptor antibody [H10E4C9F] (AB2774)
  • IHC-P

Unknown

Immunohistochemistry (Formalin/PFA-fixed paraffin-embedded sections) - Anti-Mineralocorticoid Receptor antibody [H10E4C9F] (AB2774)

Immunohistochemistry was performed on both normal and cancer biopsies of deparaffinized Human tonsil tissue tissues. To expose target proteins heat induced antigen retrieval was performed using 10mM sodium citrate (pH6.0) buffer microwaved for 8-15 minutes. Following antigen retrieval tissues were blocked in 3% BSA-PBS for 30 minutes at room temperature. Tissues were then probed at a dilution of 1 : 100 with a mouse monoclonal antibody recognizing Mineralocorticoid Receptor ab2774 or without primary antibody (negative control) overnight at 4°C in a humidified chamber. Tissues were washed extensively with PBST and endogenous peroxidase activity was quenched with a peroxidase suppressor. Detection was performed using a biotin-conjugated secondary antibody and SA-HRP followed by colorimetric detection using DAB. Tissues were counterstained with hematoxylin and prepped for mounting.

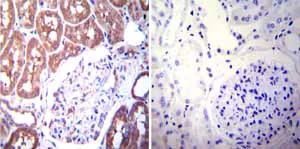
Immunohistochemistry (Formalin/PFA-fixed paraffin-embedded sections) - Anti-Mineralocorticoid Receptor antibody [H10E4C9F] (AB2774)
  • IHC-P

Unknown

Immunohistochemistry (Formalin/PFA-fixed paraffin-embedded sections) - Anti-Mineralocorticoid Receptor antibody [H10E4C9F] (AB2774)

Immunohistochemistry was performed on both normal and cancer biopsies of deparaffinized Human colon carcinoma tissues. To expose target proteins heat induced antigen retrieval was performed using 10mM sodium citrate (pH6.0) buffer microwaved for 8-15 minutes. Following antigen retrieval tissues were blocked in 3% BSA-PBS for 30 minutes at room temperature. Tissues were then probed at a dilution of 1 : 100 with a mouse monoclonal antibody recognizing Mineralocorticoid Receptor ab2774 or without primary antibody (negative control) overnight at 4°C in a humidified chamber. Tissues were washed extensively with PBST and endogenous peroxidase activity was quenched with a peroxidase suppressor. Detection was performed using a biotin-conjugated secondary antibody and SA-HRP followed by colorimetric detection using DAB. Tissues were counterstained with hematoxylin and prepped for mounting.

Immunocytochemistry/ Immunofluorescence - Anti-Mineralocorticoid Receptor antibody [H10E4C9F] (AB2774)
  • ICC/IF

Unknown

Immunocytochemistry/ Immunofluorescence - Anti-Mineralocorticoid Receptor antibody [H10E4C9F] (AB2774)

Immunofluorescent analysis of Mineralocorticoid Receptor using Mineralocorticoid Receptor Monoclonal antibody (H10E4C9F) ab2774 shows staining in HEK293 cells. Mineralocorticoid Receptor staining (green) F-Actin staining with Phalloidin (red) and nuclei with DAPI (blue) is shown. Cells were grown on chamber slides and fixed with formaldehyde prior to staining. Cells were probed without (control) or with or an antibody recognizing Mineralocorticoid Receptor ab2774 at a dilution of 1 : 20-1 : 200 over night at 4 ?C washed with PBS and incubated with a DyLight-488 conjugated secondary antibody. Images were taken at 60X magnification.

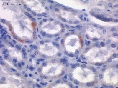
Immunohistochemistry (Formalin/PFA-fixed paraffin-embedded sections) - Anti-Mineralocorticoid Receptor antibody [H10E4C9F] (AB2774)
  • IHC-P

Unknown

Immunohistochemistry (Formalin/PFA-fixed paraffin-embedded sections) - Anti-Mineralocorticoid Receptor antibody [H10E4C9F] (AB2774)

Immunohistochemistry was performed on both normal and cancer biopsies of deparaffinized Human kidney tissue tissues. To expose target proteins heat induced antigen retrieval was performed using 10mM sodium citrate (pH6.0) buffer microwaved for 8-15 minutes. Following antigen retrieval tissues were blocked in 3% BSA-PBS for 30 minutes at room temperature. Tissues were then probed at a dilution of 1 : 200 with a mouse monoclonal antibody recognizing Mineralocorticoid Receptor ab2774 or without primary antibody (negative control) overnight at 4°C in a humidified chamber. Tissues were washed extensively with PBST and endogenous peroxidase activity was quenched with a peroxidase suppressor. Detection was performed using a biotin-conjugated secondary antibody and SA-HRP followed by colorimetric detection using DAB. Tissues were counterstained with hematoxylin and prepped for mounting.

Immunocytochemistry/ Immunofluorescence - Anti-Mineralocorticoid Receptor antibody [H10E4C9F] (AB2774)
  • ICC/IF

Unknown

Immunocytochemistry/ Immunofluorescence - Anti-Mineralocorticoid Receptor antibody [H10E4C9F] (AB2774)

Immunofluorescent analysis of Mineralocorticoid Receptor using Mineralocorticoid Receptor Monoclonal antibody (H10E4C9F) ab2774 shows staining in HeLa cells. Mineralocorticoid Receptor staining (green) F-Actin staining with Phalloidin (red) and nuclei with DAPI (blue) is shown. Cells were grown on chamber slides and fixed with formaldehyde prior to staining. Cells were probed without (control) or with or an antibody recognizing Mineralocorticoid Receptor ab2774 at a dilution of 1 : 20-1 : 200 over night at 4 ?C washed with PBS and incubated with a DyLight-488 conjugated secondary antibody. Images were taken at 60X magnification.

Immunohistochemistry (Formalin/PFA-fixed paraffin-embedded sections) - Anti-Mineralocorticoid Receptor antibody [H10E4C9F] (AB2774)
  • IHC-P

AbReview24985****

Immunohistochemistry (Formalin/PFA-fixed paraffin-embedded sections) - Anti-Mineralocorticoid Receptor antibody [H10E4C9F] (AB2774)

Formalin-fixed, paraffin-embedded cow kidney tissue stained for Mineralocorticoid Receptor using ab2774 at 1/200 dilution in immunohistochemical analysis.

Heat mediated Antigen retrieval using Citrate buffer, 10 mM pH 6.0 was used.

Image courtesy of an abreview from Mrs. Barbara Heitkönig.

Immunocytochemistry/ Immunofluorescence - Anti-Mineralocorticoid Receptor antibody [H10E4C9F] (AB2774)
  • ICC/IF

AbReview11576****

Immunocytochemistry/ Immunofluorescence - Anti-Mineralocorticoid Receptor antibody [H10E4C9F] (AB2774)

ab2774 staining Mineralocorticoid Receptor in hamster CHO K1 cells by Immunocytochemistry/ Immunofluorescence. The cells were formaldehyde fixed and then blocked using TBS, 3% Dried Milk, 0.1 % Triton X-100 for 20 minutes at 22°C. Samples were then incubated with primary antibody at 1/100 for 1 hour at 22°C. The secondary antibody used was a goat anti-mouse IgG conjugated to FITC used at a 1/400 dilution (left hand image). In the right hand image DAPI was used to stain the cell nuclei blue.

Image courtesy of an anonymous Abreview.

Key facts

Host species

Mouse

Clonality

Monoclonal

Clone number

H10E4C9F

Isotype

IgG1

Carrier free

No

Reacts with

Human

Applications

Flow Cyt, ICC/IF, IHC-P

applications

Immunogen

The exact immunogen used to generate this antibody is proprietary information.

Reactivity data

{ "title": "Reactivity Data", "filters": { "stats": ["", "Species", "Dilution Info", "Notes"], "tabs": { "all-applications": {"fullname" : "All Applications", "shortname": "All Applications"}, "IP" : {"fullname" : "Immunoprecipitation", "shortname":"IP"}, "FlowCyt" : {"fullname" : "Flow Cytometry", "shortname":"Flow Cyt"}, "IHCP" : {"fullname" : "Immunohistochemistry (Formalin/PFA-fixed paraffin-embedded sections)", "shortname":"IHC-P"}, "ICCIF" : {"fullname" : "Immunocytochemistry/ Immunofluorescence", "shortname":"ICC/IF"} }, "product-promise": { "all": "all", "testedAndGuaranteed": "tested", "guaranteed": "expected", "predicted": "predicted", "notRecommended": "not-recommended" } }, "values": { "Human": { "IP-species-checked": "notRecommended", "IP-species-dilution-info": "", "IP-species-notes": "<p></p>", "FlowCyt-species-checked": "testedAndGuaranteed", "FlowCyt-species-dilution-info": "", "FlowCyt-species-notes": "<p></p>", "IHCP-species-checked": "testedAndGuaranteed", "IHCP-species-dilution-info": "1/100", "IHCP-species-notes": "<p>Immunohistochemical staining of MR in rabbit atrium with ab2774 results in strong staining of myocytes and endothelial cells. In immunohistochemical studies, staining with ab2774 is blocked by pre incubating the sample with aldosterone.</p>", "ICCIF-species-checked": "testedAndGuaranteed", "ICCIF-species-dilution-info": "1/100", "ICCIF-species-notes": "<p></p>" } } }

Properties and storage information

Form
Liquid
Purification technique
Affinity purification Protein A
Storage buffer
Preservative: 0.05% Sodium azide Constituents: PBS
Shipped at conditions
Blue Ice
Appropriate short-term storage duration
1-2 weeks
Appropriate short-term storage conditions
+4°C
Appropriate long-term storage conditions
-20°C
Aliquoting information
Upon delivery aliquot
Storage information
Avoid freeze / thaw cycle

Product protocols

For this product, it's our understanding that no specific protocols are required. You can visit:

Target data

Receptor for both mineralocorticoids (MC) such as aldosterone and glucocorticoids (GC) such as corticosterone or cortisol. Binds to mineralocorticoid response elements (MRE) and transactivates target genes. The effect of MC is to increase ion and water transport and thus raise extracellular fluid volume and blood pressure and lower potassium levels.
See full target information NR3C2

Publications (36)

Recent publications for all applications. Explore the full list and refine your search

Physiological reports 12:e70062 PubMed39317676

2024

Role of L-type Ca-channels in the vasorelaxing response to finerenone in arteries of human visceral adipose tissue.

Applications

Unspecified application

Species

Unspecified reactive species

Francesca Schinzari,Alessandro De Stefano,Giuseppe Sica,Marco Mettimano,Carmine Cardillo,Manfredi Tesauro

Journal of cancer research and clinical oncology 150:411 PubMed39237674

2024

NR3C2 affects the proliferation and invasiveness of colon cancer cells through the Wnt/β-Catenin signaling pathway.

Applications

Unspecified application

Species

Unspecified reactive species

Ke Nie,Zhong-Jiang He,Ling-Jun Kong

Carcinogenesis 45:582-594 PubMed38629149

2024

MIF/NR3C2 axis regulates glucose metabolism reprogramming in pancreatic cancer through MAPK-ERK and AP-1 pathways.

Applications

Unspecified application

Species

Unspecified reactive species

Shouhui Yang,Wei Tang,Azadeh Azizian,Jochen Gaedcke,Yuuki Ohara,Helen Cawley,Nader Hanna,Michael Ghadimi,Trisha Lal,Subrata Sen,Chad J Creighton,Jianjun Gao,Nagireddy Putluri,Stefan Ambs,Perwez Hussain

American journal of cancer research 13:408-418 PubMed36895984

2023

Protective role of mineralocorticoid receptor signaling in urothelial tumorigenesis.

Applications

Unspecified application

Species

Unspecified reactive species

Yujiro Nagata,Takuo Matsukawa,Takuro Goto,Yuki Teramoto,Guiyang Jiang,Naohiro Fujimoto,Hiroshi Miyamoto

Nature 614:326-333 PubMed36599367

2023

Identification of astrocyte regulators by nucleic acid cytometry.

Applications

Unspecified application

Species

Unspecified reactive species

Iain C Clark,Michael A Wheeler,Hong-Gyun Lee,Zhaorong Li,Liliana M Sanmarco,Shravan Thaploo,Carolina M Polonio,Seung Won Shin,Giulia Scalisi,Amy R Henry,Joseph M Rone,Federico Giovannoni,Marc Charabati,Camilo Faust Akl,Dulce M Aleman,Stephanie E J Zandee,Alexandre Prat,Daniel C Douek,Eli A Boritz,Francisco J Quintana,Adam R Abate

Cells 11: PubMed36078114

2022

Aldosterone Increases Vascular Permeability in Rat Skin.

Applications

Unspecified application

Species

Unspecified reactive species

Michal Aleksiejczuk,Anna Gromotowicz-Poplawska,Natalia Marcinczyk,Joanna Stelmaszewska,Janusz Dzieciol,Ewa Chabielska

International journal of molecular sciences 23: PubMed35887178

2022

Upregulation of Mineralocorticoid Receptor Contributes to Development of Salt-Sensitive Hypertension after Ischemia-Reperfusion Injury in Rats.

Applications

Unspecified application

Species

Unspecified reactive species

Takumi Matsumoto,Shigehiro Doi,Ayumu Nakashima,Takeshi Ike,Kensuke Sasaki,Takao Masaki

Reproductive sciences (Thousand Oaks, Calif.) 29:1001-1019 PubMed34796470

2021

The Plasminogen Activator System, Glucocorticoid, and Mineralocorticoid Receptors in the Primate Endometrium During Artificial Menstrual Cycles.

Applications

Unspecified application

Species

Unspecified reactive species

Esra Demirel,Reem Sabouni,Neelima Chandra,Ov D Slayden,David F Archer

Frontiers in pharmacology 12:713715 PubMed34381366

2021

The Dual Dose-Dependent Effects of Corticosterone on Hippocampal Cell Apoptosis After Traumatic Brain Injury Depend on the Activation Ratio of Mineralocorticoid Receptors to Glucocorticoid Receptors.

Applications

Unspecified application

Species

Unspecified reactive species

Bin Zhang,Mengshi Yang,Qiongyu Yan,Xiaojian Xu,Fei Niu,Jinqian Dong,Yuan Zhuang,Shenghua Lu,Qianqian Ge,Baiyun Liu

International journal of endocrinology 2021:5575927 PubMed34239558

2021

G Protein-Coupled Estrogen Receptor 1 (GPER1) Mediates Aldosterone-Induced Endothelial Inflammation in a Mineralocorticoid Receptor-Independent Manner.

Applications

Unspecified application

Species

Unspecified reactive species

Ziwei Tang,Qifu Li,Qingfeng Cheng,Mei Mei,Ying Song,Zhipeng Du,Wenwen He,Jinbo Hu,Shumin Yang,Zhihong Wang
View all publications

Product promise

We are committed to supporting your work with high-quality reagents, and we're here for you every step of the way. In the unlikely event that one of our products does not perform as expected, you're protected by our Product Promise.
For full details, please see our Terms & Conditions

Please note: All products are 'FOR RESEARCH USE ONLY. NOT FOR USE IN DIAGNOSTIC OR THERAPEUTIC PROCEDURES'.

For licensing inquiries, please contact partnerships@abcam.com