JavaScript is disabled in your browser. Please enable JavaScript to view this website.
AB251021

Anti-Mint-1 antibody [EPR15941] - BSA and Azide free

Be the first to review this product! Submit a review

|

(0 Publication)

Rabbit Recombinant Monoclonal Mint-1 antibody. Carrier free. Suitable for IP, WB, IHC-P and reacts with Human samples.

View Alternative Names

MINT1, X11, APBA1, Amyloid-beta A4 precursor protein-binding family A member 1, Adapter protein X11alpha, Neuron-specific X11 protein, Neuronal Munc18-1-interacting protein 1, Mint-1

4 Images
Immunohistochemistry (Formalin/PFA-fixed paraffin-embedded sections) - Anti-Mint-1 antibody [EPR15941] - BSA and Azide free (AB251021)
  • IHC-P

Supplier Data

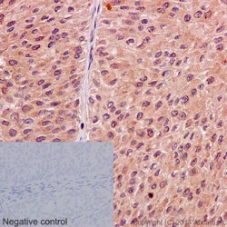
Immunohistochemistry (Formalin/PFA-fixed paraffin-embedded sections) - Anti-Mint-1 antibody [EPR15941] - BSA and Azide free (AB251021)

This data was developed using ab190359, the same antibody clone in a different buffer formulation.

Immunohistochemical analysis of formalin-fixed, paraffin-embedded human transitional cell carcinoma of the bladder labeling Mint-1 with ab190359 at 1/50 dilution and HRP polymer for Rabbit IgG. Counterstained with Hematoxylin. Negative control also shown.

Perform heat mediated antigen retrieval with Tris/EDTA buffer pH 9.0 before commencing with IHC staining protocol.

Immunoprecipitation - Anti-Mint-1 antibody [EPR15941] - BSA and Azide free (AB251021)
  • IP

Supplier Data

Immunoprecipitation - Anti-Mint-1 antibody [EPR15941] - BSA and Azide free (AB251021)

This data was developed using ab190359, the same antibody clone in a different buffer formulation.

Immunoprecipitation of Human fetal brain labeling Mint-1 with ab190359 at 1/50 dilution and Goat Anti-Rabbit IgG, (H+L), Peroxidase conjugated at 1/1000

All lanes:

Immunoprecipitation - Anti-Mint-1 antibody [EPR15941] - N-terminal (<a href='/en-us/products/primary-antibodies/mint-1-antibody-epr15941-n-terminal-ab190359'>ab190359</a>)

Predicted band size: 93 kDa

false

Western blot - Anti-Mint-1 antibody [EPR15941] - BSA and Azide free (AB251021)
  • WB

Supplier Data

Western blot - Anti-Mint-1 antibody [EPR15941] - BSA and Azide free (AB251021)

This data was developed using ab190359, the same antibody clone in a different buffer formulation.

All lanes:

Western blot - Anti-Mint-1 antibody [EPR15941] - N-terminal (<a href='/en-us/products/primary-antibodies/mint-1-antibody-epr15941-n-terminal-ab190359'>ab190359</a>) at 1/10000 dilution

All lanes:

Human cerebellum tissue lysate at 20 µg

Secondary

All lanes:

Anti-Rabbit IgG (HRP), specific to the non-reduced form of IgG at 1/1000 dilution

Predicted band size: 93 kDa

Observed band size: 156 kDa

false

Western blot - Anti-Mint-1 antibody [EPR15941] - BSA and Azide free (AB251021)
  • WB

Supplier Data

Western blot - Anti-Mint-1 antibody [EPR15941] - BSA and Azide free (AB251021)

This data was developed using ab190359, the same antibody clone in a different buffer formulation.

All lanes:

Western blot - Anti-Mint-1 antibody [EPR15941] - N-terminal (<a href='/en-us/products/primary-antibodies/mint-1-antibody-epr15941-n-terminal-ab190359'>ab190359</a>) at 1/50000 dilution

All lanes:

Human fetal brain tissue lysate at 20 µg

Secondary

All lanes:

Anti-Rabbit IgG (HRP), specific to the non-reduced form of IgG at 1/1000 dilution

Predicted band size: 93 kDa

Observed band size: 156 kDa

false

Key facts

Host species

Rabbit

Clonality

Monoclonal

Clone number

EPR15941

Isotype

IgG

Carrier free

Yes

Reacts with

Human

Applications

IP, IHC-P, WB

applications

Immunogen

The exact immunogen used to generate this antibody is proprietary information.

Reactivity data

{ "title": "Reactivity Data", "filters": { "stats": ["", "Species", "Dilution Info", "Notes"], "tabs": { "all-applications": {"fullname" : "All Applications", "shortname": "All Applications"}, "IP" : {"fullname" : "Immunoprecipitation", "shortname":"IP"}, "WB" : {"fullname" : "Western blot", "shortname":"WB"}, "IHCP" : {"fullname" : "Immunohistochemistry (Formalin/PFA-fixed paraffin-embedded sections)", "shortname":"IHC-P"} }, "product-promise": { "all": "all", "testedAndGuaranteed": "tested", "guaranteed": "expected", "predicted": "predicted", "notRecommended": "not-recommended" } }, "values": { "Human": { "IP-species-checked": "testedAndGuaranteed", "IP-species-dilution-info": "", "IP-species-notes": "<p></p>", "WB-species-checked": "testedAndGuaranteed", "WB-species-dilution-info": "", "WB-species-notes": "<p></p>", "IHCP-species-checked": "testedAndGuaranteed", "IHCP-species-dilution-info": "", "IHCP-species-notes": "<p></p>" } } }

Product details

ab251021 is the carrier-free version of ab190359.

Patented technology
Our RabMAb® technology is a patented hybridoma-based technology for making rabbit monoclonal antibodies. For details on our patents, please refer to RabMAb® patents.

What are the advantages of a recombinant monoclonal antibody?
This product is a recombinant monoclonal antibody, which offers several advantages including:

  • - High batch-to-batch consistency and reproducibility
  • - Improved sensitivity and specificity
  • - Long-term security of supply
  • - Animal-free batch production

For more information, read more on recombinant antibodies.

Conjugation ready
Our carrier-free antibodies are typically supplied in a PBS-only formulation, purified and free of BSA, sodium azide and glycerol. This conjugation-ready format is designed for use with fluorochromes, metal isotopes, oligonucleotides, and enzymes, which makes them ideal for antibody labelling, functional and cell-based assays, flow-based assays (e.g. mass cytometry) and Multiplex Imaging applications.

Use our conjugation kits for antibody conjugates that are ready-to-use in as little as 20 minutes with 1 minute hands-on-time and 100% antibody recovery: available for fluorescent dyes, HRP, biotin and gold.

Compatibility
This product is compatible with the Maxpar® Antibody Labeling Kit from Fluidigm, without the need for antibody preparation. Maxpar® is a trademark of Fluidigm Canada Inc.

Properties and storage information

Form
Liquid
Purification technique
Affinity purification Protein A
Storage buffer
pH: 7.2 - 7.4 Constituents: PBS
Shipped at conditions
Blue Ice
Appropriate short-term storage conditions
+4°C
Appropriate long-term storage conditions
+4°C
Storage information
Do Not Freeze

Product protocols

For this product, it's our understanding that no specific protocols are required. You can visit:

Target data

Putative function in synaptic vesicle exocytosis by binding to Munc18-1, an essential component of the synaptic vesicle exocytotic machinery. May modulate processing of the amyloid-beta precursor protein (APP) and hence formation of APP-beta. Component of the LIN-10-LIN-2-LIN-7 complex, which associates with the motor protein KIF17 to transport vesicles containing N-methyl-D-aspartate (NMDA) receptor subunit NR2B along microtubules (By similarity).
See full target information APBA1

Product promise

We are committed to supporting your work with high-quality reagents, and we're here for you every step of the way. In the unlikely event that one of our products does not perform as expected, you're protected by our Product Promise.
For full details, please see our Terms & Conditions

Please note: All products are 'FOR RESEARCH USE ONLY. NOT FOR USE IN DIAGNOSTIC OR THERAPEUTIC PROCEDURES'.

For licensing inquiries, please contact partnerships@abcam.com