JavaScript is disabled in your browser. Please enable JavaScript to view this website.
AB122822

Anti-MIOS antibody

Be the first to review this product! Submit a review

|

(1 Publication)

Rabbit Polyclonal MIOS antibody. Suitable for IHC-P, ICC/IF and reacts with Human samples. Cited in 1 publication. Immunogen corresponding to Recombinant Fragment Protein within Human MIOS aa 600-750.

View Alternative Names

GATOR2 complex protein MIOS, Missing oocyte meiosis regulator homolog, MIOS

2 Images
Immunocytochemistry/ Immunofluorescence - Anti-MIOS antibody (AB122822)
  • ICC/IF

Unknown

Immunocytochemistry/ Immunofluorescence - Anti-MIOS antibody (AB122822)

Immunofluorescent staining of Human cell line A-431 shows positivity in nucleus but not nucleoli, cytoplasm and cell junctions. Recommended concentration of ab122822 1-4 µg/ml. Cells treated with PFA/Triton X-100.

Immunohistochemistry (Formalin/PFA-fixed paraffin-embedded sections) - Anti-MIOS antibody (AB122822)
  • IHC-P

Unknown

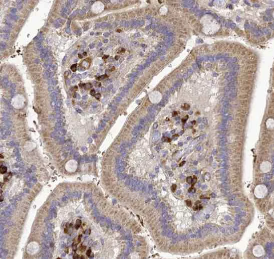
Immunohistochemistry (Formalin/PFA-fixed paraffin-embedded sections) - Anti-MIOS antibody (AB122822)

ab122822, at 1/200 dilution, staining MIOS in paraffin-embedded Human duodenum tissue by Immunohistochemistry.

Key facts

Host species

Rabbit

Clonality

Polyclonal

Isotype

IgG

Carrier free

No

Reacts with

Human

Applications

IHC-P, ICC/IF

applications

Immunogen

Recombinant Fragment Protein within Human MIOS aa 600-750. The exact immunogen used to generate this antibody is proprietary information.

Q9NXC5

Reactivity data

{ "title": "Reactivity Data", "filters": { "stats": ["", "Species", "Dilution Info", "Notes"], "tabs": { "all-applications": {"fullname" : "All Applications", "shortname": "All Applications"}, "IHCP" : {"fullname" : "Immunohistochemistry (Formalin/PFA-fixed paraffin-embedded sections)", "shortname":"IHC-P"}, "ICCIF" : {"fullname" : "Immunocytochemistry/ Immunofluorescence", "shortname":"ICC/IF"} }, "product-promise": { "all": "all", "testedAndGuaranteed": "tested", "guaranteed": "expected", "predicted": "predicted", "notRecommended": "not-recommended" } }, "values": { "Human": { "IHCP-species-checked": "testedAndGuaranteed", "IHCP-species-dilution-info": "1/200.00000 - 1/500.00000", "IHCP-species-notes": "<p></p> Perform heat-mediated antigen retrieval with citrate buffer pH 6 before commencing with IHC staining protocol.", "ICCIF-species-checked": "testedAndGuaranteed", "ICCIF-species-dilution-info": "0.25000-2.00000 µg/mL", "ICCIF-species-notes": "<p></p>" } } }

Properties and storage information

Form
Liquid
Purification technique
Affinity purification Immunogen
Storage buffer
pH: 7.2 Preservative: 0.02% Sodium azide Constituents: 59% PBS, 40% Glycerol (glycerin, glycerine)
Shipped at conditions
Blue Ice
Appropriate short-term storage conditions
+4°C
Appropriate long-term storage conditions
-20°C
Aliquoting information
Upon delivery aliquot
Storage information
Avoid freeze / thaw cycle

Supplementary information

This supplementary information is collated from multiple sources and compiled automatically.

MIOS also known as mitotic spindle organizing protein or GATOR2 subunit is a protein that plays an important role in cell cycle progression. It has a mass of approximately 67 kDa. MIOS is expressed in various tissues with notable presence in those with high proliferative activity. This protein is primarily found in the cytoplasm and is associated with the mitotic spindle highlighting its specific involvement in cell division processes.
Biological function summary

MIOS serves as a component of the GATOR2 complex which plays an important role in the regulation of the mTORC1 pathway a central pathway in cell growth and metabolism. As part of this complex MIOS regulates amino acid sensing and signal transduction necessary for cellular responses to nutrient availability. This ensures that cells grow and divide only in environments that support such activities.

Pathways

MIOS interacts significantly within the mTOR signaling pathway. The GATOR2 complex where MIOS plays a part facilitates the regulation of mTORC1 by interacting with other proteins such as DEPDC5 and SESTRIN2. This pathway influences a variety of cellular processes including protein synthesis and autophagy. MIOS through its function in the complex affects the integration of growth signals and ultimately impacts cellular metabolism and homeostasis.

Disruptions in MIOS function connect to cancer and metabolic diseases given the involvement in the mTORC1 pathway. Aberrant MIOS expression or regulation may contribute to uncontrolled cell growth observed in some cancers where the mTOR pathway often shows hyperactivation. Additionally MIOS's role in nutrient sensing and metabolism links it to obesity and diabetes where the mTOR pathway's balance is disrupted. These conditions highlight MIOS's broader implications in disease when its pathways or interacting proteins such as GATOR2 components become dysregulated.

Product protocols

For this product, it's our understanding that no specific protocols are required. You can visit:

Target data

As a component of the GATOR2 complex, functions as an activator of the amino acid-sensing branch of the mTORC1 signaling pathway (PubMed : 23723238, PubMed : 26586190, PubMed : 27487210, PubMed : 35831510, PubMed : 36528027). The GATOR2 complex indirectly activates mTORC1 through the inhibition of the GATOR1 subcomplex (PubMed : 23723238, PubMed : 26586190, PubMed : 27487210, PubMed : 35831510, PubMed : 36528027). GATOR2 probably acts as an E3 ubiquitin-protein ligase toward GATOR1 (PubMed : 36528027). In the presence of abundant amino acids, the GATOR2 complex mediates ubiquitination of the NPRL2 core component of the GATOR1 complex, leading to GATOR1 inactivation (PubMed : 36528027). In the absence of amino acids, GATOR2 is inhibited, activating the GATOR1 complex (PubMed : 25263562, PubMed : 25457612, PubMed : 26586190, PubMed : 27487210). Within the GATOR2 complex, MIOS is required to prevent autoubiquitination of WDR24, the catalytic subunit of the complex (PubMed : 35831510). The GATOR2 complex is required for brain myelination (By similarity).
See full target information MIOS

Publications (1)

Recent publications for all applications. Explore the full list and refine your search

Biological research 56:66 PubMed38057829

2023

The novel roles of YULINK in the migration, proliferation and glycolysis of pulmonary arterial smooth muscle cells: implications for pulmonary arterial hypertension.

Applications

Unspecified application

Species

Unspecified reactive species

Yi-Chia Wu,Wei-Ting Wang,Ming-Chun Yang,Yu-Tsun Su,Jwu-Lai Yeh,Jong-Hau Hsu,Jiunn-Ren Wu
View all publications

Product promise

We are committed to supporting your work with high-quality reagents, and we're here for you every step of the way. In the unlikely event that one of our products does not perform as expected, you're protected by our Product Promise.
For full details, please see our Terms & Conditions

Associated Products

Select an associated product type
Alternative Product
Primary Antibodies

AB202274

Anti-MIOS antibody

primary-antibodies

mios-antibody-ab202274

0

(0 reviews)

Please note: All products are 'FOR RESEARCH USE ONLY. NOT FOR USE IN DIAGNOSTIC OR THERAPEUTIC PROCEDURES'.

For licensing inquiries, please contact partnerships@abcam.com