JavaScript is disabled in your browser. Please enable JavaScript to view this website.
AB321804

Anti-MIRO2 antibody [EPR29118-10] - BSA and Azide free

  • BOND RX™ Validated
  • Recombinant
  • RabMAb
  • KO Validated
  • What is this?

Be the first to review this product! Submit a review

|

(0 Publication)

Knockout Tested Rabbit Recombinant Monoclonal MIRO2 antibody. Carrier free. Suitable for IHC-P, WB and reacts with Human, Mouse samples.

View Alternative Names

ARHT2, C16orf39, RHOT2, Mitochondrial Rho GTPase 2, MIRO-2, hMiro-2, Ras homolog gene family member T2

10 Images
Immunohistochemistry (Formalin/PFA-fixed paraffin-embedded sections) - Anti-MIRO2 antibody [EPR29118-10] - BSA and Azide free (AB321804)
  • IHC-P

Supplier Data

Immunohistochemistry (Formalin/PFA-fixed paraffin-embedded sections) - Anti-MIRO2 antibody [EPR29118-10] - BSA and Azide free (AB321804)

This data was developed using ab321803, the same antibody clone in a different buffer formulation.

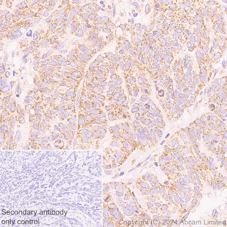
Immunohistochemical analysis of paraffin-embedded Human endometrial carcinoma tissue labeling MIRO2 with ab321803 at 1/50 (10.16 ug/ml) dilution, followed by a ready to use Rabbit specific IHC polymer detection kit HRP/DAB (ab209101).

Positive staining on human endometrial carcinoma. The section was incubated with ab321803 for 30 mins at room temperature.
The immunostaining was performed on a Leica Biosystems BOND™ RX instrument

Counterstained with Hematoxylin.

Secondary antibody only control : Secondary antibody is a ready to use Rabbit specific IHC polymer detection kit HRP/DAB (ab209101).

Heat mediated antigen retrieval was performed with Tris-EDTA buffer (pH 9.0, Epitope Retrieval Solution2) for 20 mins

Immunohistochemistry (Formalin/PFA-fixed paraffin-embedded sections) - Anti-MIRO2 antibody [EPR29118-10] - BSA and Azide free (AB321804)
  • IHC-P

Supplier Data

Immunohistochemistry (Formalin/PFA-fixed paraffin-embedded sections) - Anti-MIRO2 antibody [EPR29118-10] - BSA and Azide free (AB321804)

This data was developed using ab321803, the same antibody clone in a different buffer formulation.

Immunohistochemical analysis of paraffin-embedded Human endometrium tissue labeling MIRO2 with ab321803 at 1/50 (10.16 ug/ml) dilution, followed by a ready to use Rabbit specific IHC polymer detection kit HRP/DAB (ab209101).

Positive staining on human endometrium. The section was incubated with ab321803 for 30 mins at room temperature.
The immunostaining was performed on a Leica Biosystems BOND™ RX instrument

Counterstained with Hematoxylin.

Secondary antibody only control : Secondary antibody is a ready to use Rabbit specific IHC polymer detection kit HRP/DAB (ab209101).

Heat mediated antigen retrieval was performed with Tris-EDTA buffer (pH 9.0, Epitope Retrieval Solution2) for 20 mins

Immunohistochemistry (Formalin/PFA-fixed paraffin-embedded sections) - Anti-MIRO2 antibody [EPR29118-10] - BSA and Azide free (AB321804)
  • IHC-P

Supplier Data

Immunohistochemistry (Formalin/PFA-fixed paraffin-embedded sections) - Anti-MIRO2 antibody [EPR29118-10] - BSA and Azide free (AB321804)

This data was developed using ab321803, the same antibody clone in a different buffer formulation.

Immunohistochemical analysis of paraffin-embedded Human testis tissue labeling MIRO2 with ab321803 at 1/50 (10.16 ug/ml) dilution, followed by a ready to use Rabbit specific IHC polymer detection kit HRP/DAB (ab209101).

Positive staining on human testis. The section was incubated with ab321803 for 30 mins at room temperature.
The immunostaining was performed on a Leica Biosystems BOND™ RX instrument

Counterstained with Hematoxylin.

Secondary antibody only control : Secondary antibody is a ready to use Rabbit specific IHC polymer detection kit HRP/DAB (ab209101).

Heat mediated antigen retrieval was performed with Tris-EDTA buffer (pH 9.0, Epitope Retrieval Solution2) for 20 mins

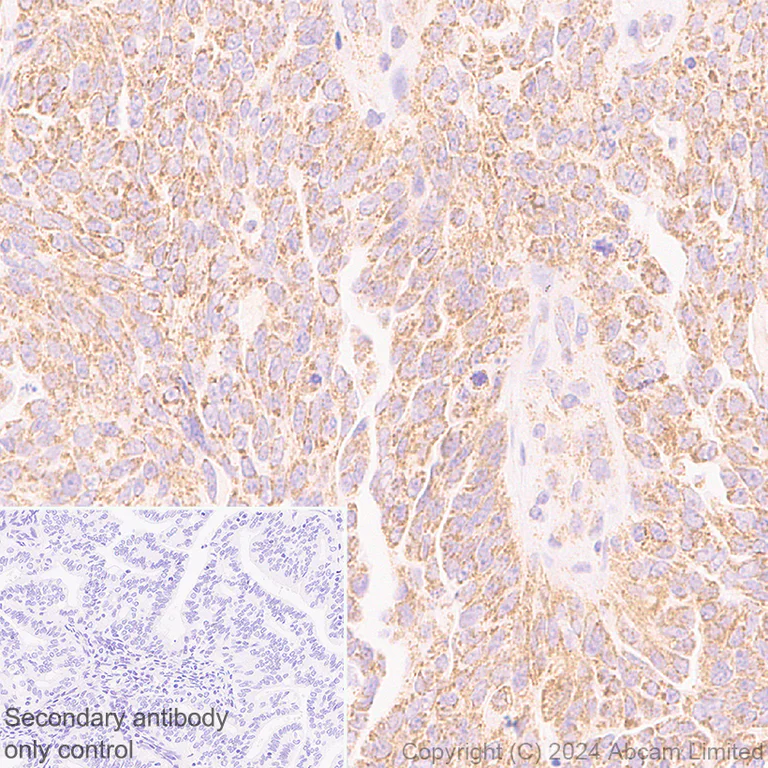
Immunohistochemistry (Formalin/PFA-fixed paraffin-embedded sections) - Anti-MIRO2 antibody [EPR29118-10] - BSA and Azide free (AB321804)
  • IHC-P

Supplier Data

Immunohistochemistry (Formalin/PFA-fixed paraffin-embedded sections) - Anti-MIRO2 antibody [EPR29118-10] - BSA and Azide free (AB321804)

This data was developed using ab321803, the same antibody clone in a different buffer formulation.

Immunohistochemical analysis of paraffin-embedded Human colon carcinoma tissue labeling MIRO2 with ab321803 at 1/50 (10.16 ug/ml) dilution, followed by a ready to use Rabbit specific IHC polymer detection kit HRP/DAB (ab209101).

Positive staining on human colon carcinoma. The section was incubated with ab321803 for 30 mins at room temperature.
The immunostaining was performed on a Leica Biosystems BOND™ RX instrument

Counterstained with Hematoxylin.

Secondary antibody only control : Secondary antibody is a ready to use Rabbit specific IHC polymer detection kit HRP/DAB (ab209101).

Heat mediated antigen retrieval was performed with Tris-EDTA buffer (pH 9.0, Epitope Retrieval Solution2) for 20 mins

Immunohistochemistry (Formalin/PFA-fixed paraffin-embedded sections) - Anti-MIRO2 antibody [EPR29118-10] - BSA and Azide free (AB321804)
  • IHC-P

Supplier Data

Immunohistochemistry (Formalin/PFA-fixed paraffin-embedded sections) - Anti-MIRO2 antibody [EPR29118-10] - BSA and Azide free (AB321804)

This data was developed using ab321803, the same antibody clone in a different buffer formulation.

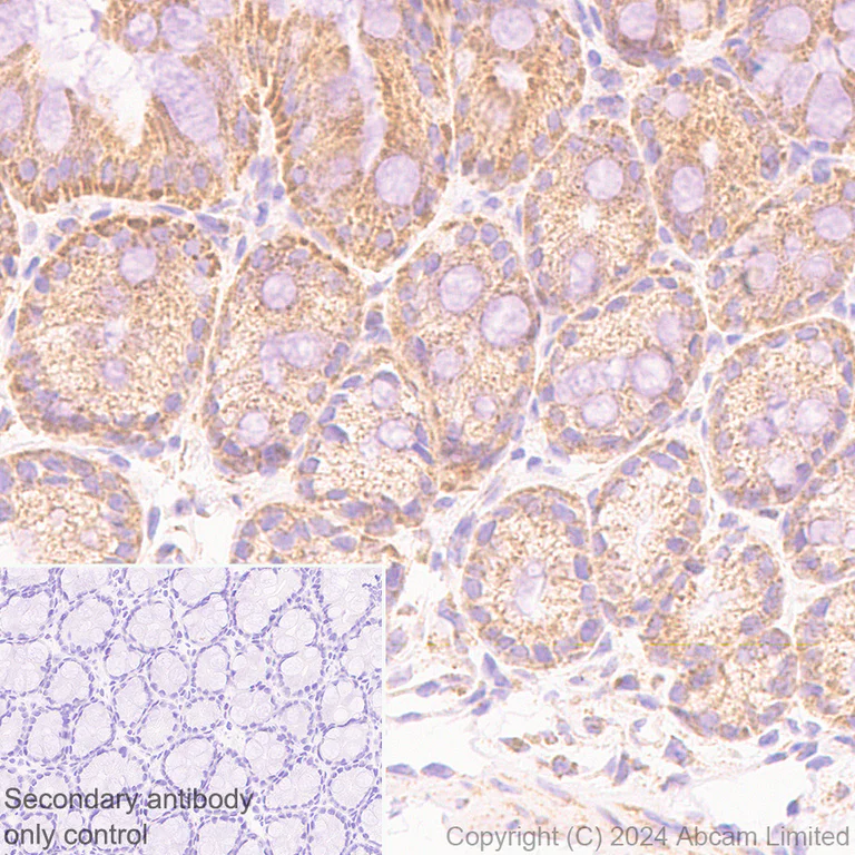
Immunohistochemical analysis of paraffin-embedded Mouse colon tissue labeling MIRO2 with ab321803 at 1/50 (10.16 ug/ml) dilution, followed by a ready to use Rabbit specific IHC polymer detection kit HRP/DAB (ab209101).

Positive staining on mouse colon. The section was incubated with ab321803 for 30 mins at room temperature.
The immunostaining was performed on a Leica Biosystems BOND™ RX instrument

Counterstained with Hematoxylin.

Secondary antibody only control : Secondary antibody is a ready to use Rabbit specific IHC polymer detection kit HRP/DAB (ab209101).

Heat mediated antigen retrieval was performed with Tris-EDTA buffer (pH 9.0, Epitope Retrieval Solution2) for 20 mins

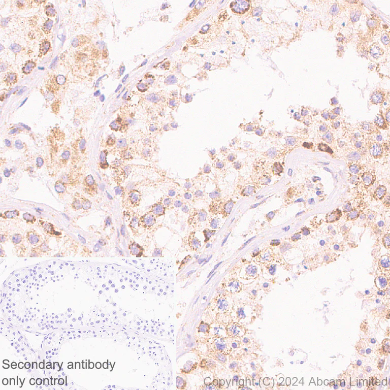
Immunohistochemistry (Formalin/PFA-fixed paraffin-embedded sections) - Anti-MIRO2 antibody [EPR29118-10] - BSA and Azide free (AB321804)
  • IHC-P

Supplier Data

Immunohistochemistry (Formalin/PFA-fixed paraffin-embedded sections) - Anti-MIRO2 antibody [EPR29118-10] - BSA and Azide free (AB321804)

This data was developed using ab321803, the same antibody clone in a different buffer formulation.

Immunohistochemical analysis of paraffin-embedded Mouse testis tissue labeling MIRO2 with ab321803 at 1/50 (10.16 ug/ml) dilution, followed by a ready to use Rabbit specific IHC polymer detection kit HRP/DAB (ab209101).

Positive staining on mouse testis. The section was incubated with ab321803 for 30 mins at room temperature.
The immunostaining was performed on a Leica Biosystems BOND™ RX instrument

Counterstained with Hematoxylin.

Secondary antibody only control : Secondary antibody is a ready to use Rabbit specific IHC polymer detection kit HRP/DAB (ab209101).

Heat mediated antigen retrieval was performed with Tris-EDTA buffer (pH 9.0, Epitope Retrieval Solution2) for 20 mins

Immunohistochemistry (Formalin/PFA-fixed paraffin-embedded sections) - Anti-MIRO2 antibody [EPR29118-10] - BSA and Azide free (AB321804)
  • IHC-P

Supplier Data

Immunohistochemistry (Formalin/PFA-fixed paraffin-embedded sections) - Anti-MIRO2 antibody [EPR29118-10] - BSA and Azide free (AB321804)

This data was developed using ab321803, the same antibody clone in a different buffer formulation.

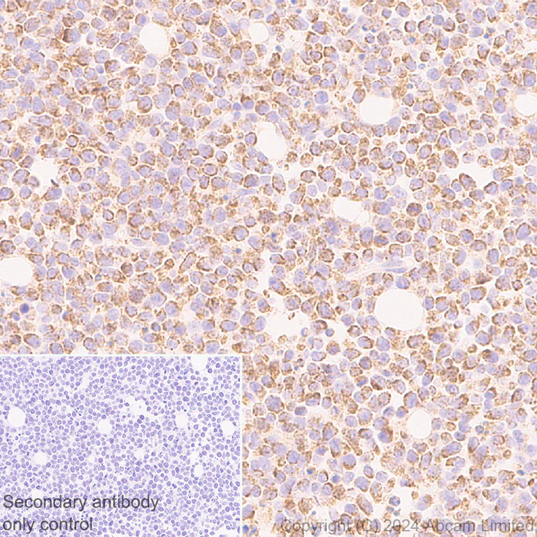
Immunohistochemical analysis of paraffin-embedded Mouse Burkitt's lymophoma tissue labeling MIRO2 with ab321803 at 1/50 (10.16 ug/ml) dilution, followed by a ready to use Rabbit specific IHC polymer detection kit HRP/DAB (ab209101).

Positive staining on mouse Burkitt's lymophoma. The section was incubated with ab321803 for 30 mins at room temperature.
The immunostaining was performed on a Leica Biosystems BOND™ RX instrument

Counterstained with Hematoxylin.

Secondary antibody only control : Secondary antibody is a ready to use Rabbit specific IHC polymer detection kit HRP/DAB (ab209101).

Heat mediated antigen retrieval was performed with Tris-EDTA buffer (pH 9.0, Epitope Retrieval Solution2) for 20 mins

Western blot - Anti-MIRO2 antibody [EPR29118-10] - BSA and Azide free (AB321804)
  • WB

Supplier Data

Western blot - Anti-MIRO2 antibody [EPR29118-10] - BSA and Azide free (AB321804)

This data was developed using ab321803, the same antibody clone in a different buffer formulation.

Blocking and diluting buffer and concentration : Intercept® (TBS) Blocking Buffer diluted with an equal volume of TBS.

The samples were run on a Bis-Tris gel under reducing conditions.

Western blot : Anti-MIRO2 antibody (ab) staining at 1/1000 dilution, shown in green; Mouse anti-GAPDH antibody [6C5] (ab8245) loading control staining at 1/20000 dilution, shown in magenta.

In Western blot, ab was shown to bind specifically to MIRO2. Target of interest was observed at 80 kDa in wild-type HeLa cell lysates (lane 1) with no signal observed at this size MIRO2 knockout cell line (lane 2, knockout cell line ab265801 / knockout cell lysate ab257639). To generate this image, samples were first run on an SDS-PAGE gel then transferred onto an immobilon-FL PVDF membrane. Membranes were blocked in a fluorescent western blot (TBS-based) blocking solution before incubation with primary antibodies overnight at 4 °C. Blots were washed in TBS-T, incubated with secondary antibodies Goat anti-Rabbit IgG H&L 800CW and Goat anti-Mouse IgG H&L 680RD at 1/20000 dilution for 1 h at room temperature, washed again then imaged.

All lanes:

Western blot - Anti-MIRO2 antibody [EPR29118-10] (<a href='/en-us/products/primary-antibodies/miro2-antibody-epr29118-10-ab321803'>ab321803</a>) at 1/1000 dilution

Lane 1:

Wild-type HeLa (human cervical adenocarcinoma epithelial cell) whole cell lysate at 20 µg

Lane 2:

MIRO2 knockout HeLa whole cell lysate at 20 µg

Lane 3:

293T (human embryonic kidney epithelial cell) whole cell lysate at 20 µg

Lane 4:

K-562 (human chronic myelogenous leukemia lymphoblast) whole cell lysate at 20 µg

Secondary

All lanes:

Goat Anti-Rabbit IgG H&L (800CW) and Goat Anti-Mouse IgG H&L (680RD) at 1/20000 dilution

Observed band size: 80 kDa,36 kDa

false

Western blot - Anti-MIRO2 antibody [EPR29118-10] - BSA and Azide free (AB321804)
  • WB

Supplier Data

Western blot - Anti-MIRO2 antibody [EPR29118-10] - BSA and Azide free (AB321804)

This data was developed using ab321803, the same antibody clone in a different buffer formulation.

Blocking and diluting buffer and concentration : 5% NFDM/TBST.

This blot was developed using a high sensitivity ECL substrate. The high-sensitivity ECL substrate used allows for the detection of proteins in the mid-femtogram range.

All lanes:

Western blot - Anti-MIRO2 antibody [EPR29118-10] (<a href='/en-us/products/primary-antibodies/miro2-antibody-epr29118-10-ab321803'>ab321803</a>) at 1/1000 dilution

Lane 1:

Human testis tissue lysate at 20 µg

Lane 2:

Human hippocampus tissue lysate at 20 µg

Secondary

All lanes:

Goat Anti-Rabbit IgG (HRP) with minimal cross-reactivity with human IgG at 1/2000 dilution

Observed band size: 80 kDa

true

Exposure time: 180s

Western blot - Anti-MIRO2 antibody [EPR29118-10] - BSA and Azide free (AB321804)
  • WB

Supplier Data

Western blot - Anti-MIRO2 antibody [EPR29118-10] - BSA and Azide free (AB321804)

This data was developed using ab321803, the same antibody clone in a different buffer formulation.

Blocking and diluting buffer and concentration : 5% NFDM/TBST.

Low expression : mouse lung (PMID : 15218247).

In Western blot, Anti-GAPDH antibody [EPR16891] - Loading Control (ab181602) staining at 1/200000 dilution.

Exposure time : Lane 1 : 10 seconds; Lanes 2-3 : 26 seconds; Lanes 4-6 : 15 seconds.

All lanes:

Western blot - Anti-MIRO2 antibody [EPR29118-10] (<a href='/en-us/products/primary-antibodies/miro2-antibody-epr29118-10-ab321803'>ab321803</a>) at 1/1000 dilution

Lane 1:

HepG2 (human hepatocellular carcinoma epithelial cell) whole cell lysate at 20 µg

Lane 2:

NIH/3T3 (mouse embryonic fibroblast) whole cell lysate at 20 µg

Lane 3:

MEF (mouse embryo fibroblast) whole cell lysate at 20 µg

Lane 4:

Mouse testis tissue lysate at 20 µg

Lane 5:

Mouse lung tissue lysate at 20 µg

Lane 6:

Mouse heart tissue lysate at 20 µg

Secondary

All lanes:

Western blot - Goat Anti-Rabbit IgG H&L (HRP) (<a href='/en-us/products/secondary-antibodies/goat-rabbit-igg-h-l-hrp-ab97051'>ab97051</a>) at 1/20000 dilution

Observed band size: 80 kDa,36 kDa

false

Key facts

Host species

Rabbit

Clonality

Monoclonal

Clone number

EPR29118-10

Isotype

IgG

Carrier free

Yes

Reacts with

Human, Mouse

Applications

WB, IHC-P

applications

Immunogen

The exact immunogen used to generate this antibody is proprietary information.

Reactivity data

{ "title": "Reactivity Data", "filters": { "stats": ["", "Species", "Dilution Info", "Notes"], "tabs": { "all-applications": {"fullname" : "All Applications", "shortname": "All Applications"}, "IHCP" : {"fullname" : "Immunohistochemistry (Formalin/PFA-fixed paraffin-embedded sections)", "shortname":"IHC-P"}, "WB" : {"fullname" : "Western blot", "shortname":"WB"}, "ICCIF" : {"fullname" : "Immunocytochemistry/ Immunofluorescence", "shortname":"ICC/IF"} }, "product-promise": { "all": "all", "testedAndGuaranteed": "tested", "guaranteed": "expected", "predicted": "predicted", "notRecommended": "not-recommended" } }, "values": { "Human": { "IHCP-species-checked": "testedAndGuaranteed", "IHCP-species-dilution-info": "", "IHCP-species-notes": "<p></p> Perform heat-mediated antigen retrieval with Tris/EDTA buffer pH 9.0 before commencing with IHC staining protocol.", "WB-species-checked": "testedAndGuaranteed", "WB-species-dilution-info": "", "WB-species-notes": "<p></p>", "ICCIF-species-checked": "notRecommended", "ICCIF-species-dilution-info": "", "ICCIF-species-notes": "<p></p>" }, "Mouse": { "IHCP-species-checked": "testedAndGuaranteed", "IHCP-species-dilution-info": "", "IHCP-species-notes": "<p></p> Perform heat-mediated antigen retrieval with Tris/EDTA buffer pH 9.0 before commencing with IHC staining protocol.", "WB-species-checked": "testedAndGuaranteed", "WB-species-dilution-info": "", "WB-species-notes": "<p></p>", "ICCIF-species-checked": "notRecommended", "ICCIF-species-dilution-info": "", "ICCIF-species-notes": "<p></p>" } } }

Product details

ab321804 is the carrier-free version of ab321803.

Patented technology
Our RabMAb® technology is a patented hybridoma-based technology for making rabbit monoclonal antibodies. For details on our patents, please refer to RabMAb® patents.

What are the advantages of a recombinant monoclonal antibody?
This product is a recombinant monoclonal antibody, which offers several advantages including:

  • - High batch-to-batch consistency and reproducibility
  • - Improved sensitivity and specificity
  • - Long-term security of supply
  • - Animal-free batch production

For more information, read more on recombinant antibodies.

Conjugation ready
Our carrier-free antibodies are typically supplied in a PBS-only formulation, purified and free of BSA, sodium azide and glycerol. This conjugation-ready format is designed for use with fluorochromes, metal isotopes, oligonucleotides, and enzymes, which makes them ideal for antibody labelling, functional and cell-based assays, flow-based assays (e.g. mass cytometry) and Multiplex Imaging applications.

Use our conjugation kits for antibody conjugates that are ready-to-use in as little as 20 minutes with 1 minute hands-on-time and 100% antibody recovery: available for fluorescent dyes, HRP, biotin and gold.

Compatibility
This product is compatible with the Maxpar® Antibody Labeling Kit from Fluidigm, without the need for antibody preparation. Maxpar® is a trademark of Fluidigm Canada Inc.

Properties and storage information

Form
Liquid
Purification technique
Affinity purification Protein A
Storage buffer
pH: 7.2 - 7.4 Constituents: PBS
Shipped at conditions
Blue Ice
Appropriate short-term storage conditions
+4°C
Appropriate long-term storage conditions
+4°C

Supplementary information

This supplementary information is collated from multiple sources and compiled automatically.

MIRO2 also known as Rhot2 or Mitochondrial Rho GTPase 2 is a mitochondrial Rho GTPase with a molecular weight of approximately 69 kDa. This protein belongs to the Rho family of GTPases and exists mainly on the mitochondrial outer membrane. It acts as a critical regulator of mitochondrial trafficking and dynamics. MIRO2 plays a pivotal role in the regulation of mitochondrial transport along the cytoskeleton by interacting with adaptor proteins. It features two EF-hand motifs and two GTPase domains that are essential for its function.
Biological function summary

MIRO2 contributes to the maintenance of mitochondrial network and quality within cells. It serves as a component of the calcium-sensing mitochondrial transport machinery and interacts with the transport protein complex including adaptor proteins like Milton and the motor protein kinesin. Through these interactions MIRO2 helps in coupling mitochondrial dynamics to cellular events by facilitating calcium-dependent docking and release of mitochondria. This function indicates the importance of MIRO2 in energy-demanding cellular processes.

Pathways

MIRO2 integrates into the mitochondrial transport and positioning pathways. It associates with the PINK1/Parkin pathway which is essential for mitochondrial quality control and turnover. The pathway leads to the balance of mitochondrial fission and fusion assisting in the removal of damaged mitochondria. Moreover MIRO2 collaborates with proteins like Mitofusins in these pathways to ensure efficient mitochondrial dynamics and bioenergetics.

MIRO2 has links to neurodegenerative diseases like Parkinson's disease. Dysfunction in the PINK1/Parkin pathway where MIRO2 participates leads to impaired mitophagy and neuronal cell death. Additionally imbalances in MIRO2 activity are implicated in the progression of certain types of cancer. In these contexts MIRO2 interacts with related proteins such as PINK1 and Mitofusins which play roles in disease mechanisms that involve mitochondrial dysfunction or aberrant cellular metabolism.

Product protocols

For this product, it's our understanding that no specific protocols are required. You can visit:

Target data

Mitochondrial GTPase involved in mitochondrial trafficking (PubMed : 16630562, PubMed : 22396657). Probably involved in control of anterograde transport of mitochondria and their subcellular distribution (PubMed : 22396657).
See full target information RHOT2

Product promise

We are committed to supporting your work with high-quality reagents, and we're here for you every step of the way. In the unlikely event that one of our products does not perform as expected, you're protected by our Product Promise.
For full details, please see our Terms & Conditions

Please note: All products are 'FOR RESEARCH USE ONLY. NOT FOR USE IN DIAGNOSTIC OR THERAPEUTIC PROCEDURES'.

For licensing inquiries, please contact partnerships@abcam.com