JavaScript is disabled in your browser. Please enable JavaScript to view this website.
AB70843

Anti-MIS12 antibody

4

(2 Reviews)

|

(11 Publications)

Rabbit Polyclonal MIS12 antibody. Suitable for IP, WB, IHC-P and reacts with Human samples. Cited in 11 publications. Immunogen corresponding to Synthetic Peptide within Human MIS12.

View Alternative Names

Protein MIS12 homolog, MIS12

3 Images
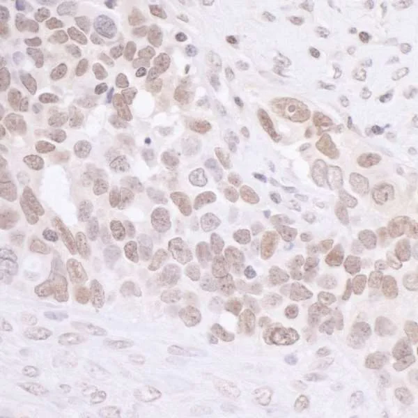
Immunohistochemistry (Formalin/PFA-fixed paraffin-embedded sections) - Anti-MIS12 antibody (AB70843)
  • IHC-P

Unknown

Immunohistochemistry (Formalin/PFA-fixed paraffin-embedded sections) - Anti-MIS12 antibody (AB70843)

Immunohistochemistry (Formalin/PFA-fixed paraffin-embedded sections) analysis of human ovarian carcinoma tissue labelling MIS12 with ab70843 at 1/5000 (1μg/ml). Detection : DAB.

Immunoprecipitation - Anti-MIS12 antibody (AB70843)
  • IP

Unknown

Immunoprecipitation - Anti-MIS12 antibody (AB70843)

HeLa whole cell lysate (at 1 mg for IP, 20% of IP loaded) with ab70843 at 1 µg/ml for WB, subsequent to being used for IP at 3 µg/mg lysate.
Detection : Chemiluminescence with an exposure time of 30 seconds.

All lanes:

Immunoprecipitation - Anti-MIS12 antibody (ab70843)

Predicted band size: 24 kDa

false

Western blot - Anti-MIS12 antibody (AB70843)
  • WB

Unknown

Western blot - Anti-MIS12 antibody (AB70843)

Detection : Chemiluminescence with an exposure time of 10 seconds

All lanes:

Western blot - Anti-MIS12 antibody (ab70843) at 0.1 µg/mL

Lane 1:

HeLa whole cell lysate at 50 µg

Lane 2:

HEK293T whole cell lysate at 50 µg

Lane 3:

Jurkat whole cell lysate at 50 µg

Predicted band size: 24 kDa

false

Key facts

Host species

Rabbit

Clonality

Polyclonal

Isotype

IgG

Carrier free

No

Reacts with

Human

Applications

IHC-P, WB, IP

applications

Immunogen

Synthetic Peptide within Human MIS12. The exact immunogen used to generate this antibody is proprietary information.

Q9H081

Reactivity data

{ "title": "Reactivity Data", "filters": { "stats": ["", "Species", "Dilution Info", "Notes"], "tabs": { "all-applications": {"fullname" : "All Applications", "shortname": "All Applications"}, "IP" : {"fullname" : "Immunoprecipitation", "shortname":"IP"}, "WB" : {"fullname" : "Western blot", "shortname":"WB"}, "IHCP" : {"fullname" : "Immunohistochemistry (Formalin/PFA-fixed paraffin-embedded sections)", "shortname":"IHC-P"} }, "product-promise": { "all": "all", "testedAndGuaranteed": "tested", "guaranteed": "expected", "predicted": "predicted", "notRecommended": "not-recommended" } }, "values": { "Human": { "IP-species-checked": "testedAndGuaranteed", "IP-species-dilution-info": "2-5 µg/mg of lysate", "IP-species-notes": "<p></p>", "WB-species-checked": "testedAndGuaranteed", "WB-species-dilution-info": "0.1 µg/mL", "WB-species-notes": "<p></p>", "IHCP-species-checked": "testedAndGuaranteed", "IHCP-species-dilution-info": "1/5000", "IHCP-species-notes": "<p></p>" }, "Bat": { "IP-species-checked": "predicted", "IP-species-dilution-info": "", "IP-species-notes": "", "WB-species-checked": "predicted", "WB-species-dilution-info": "", "WB-species-notes": "", "IHCP-species-checked": "predicted", "IHCP-species-dilution-info": "", "IHCP-species-notes": "" }, "Chimpanzee": { "IP-species-checked": "predicted", "IP-species-dilution-info": "", "IP-species-notes": "", "WB-species-checked": "predicted", "WB-species-dilution-info": "", "WB-species-notes": "", "IHCP-species-checked": "predicted", "IHCP-species-dilution-info": "", "IHCP-species-notes": "" }, "Gorilla": { "IP-species-checked": "predicted", "IP-species-dilution-info": "", "IP-species-notes": "", "WB-species-checked": "predicted", "WB-species-dilution-info": "", "WB-species-notes": "", "IHCP-species-checked": "predicted", "IHCP-species-dilution-info": "", "IHCP-species-notes": "" }, "Orangutan": { "IP-species-checked": "predicted", "IP-species-dilution-info": "", "IP-species-notes": "", "WB-species-checked": "predicted", "WB-species-dilution-info": "", "WB-species-notes": "", "IHCP-species-checked": "predicted", "IHCP-species-dilution-info": "", "IHCP-species-notes": "" } } }

Properties and storage information

Form
Liquid
Purification technique
Affinity purification Immunogen
Storage buffer
pH: 7 - 8 Preservative: 0.09% Sodium azide Constituents: 1.815% Tris, 1.764% Sodium citrate, 0.021% PBS
Shipped at conditions
Blue Ice
Appropriate short-term storage conditions
+4°C
Appropriate long-term storage conditions
-20°C
Aliquoting information
Upon delivery aliquot
Storage information
Avoid freeze / thaw cycle

Supplementary information

This supplementary information is collated from multiple sources and compiled automatically.

MIS12 also known as MIND kinetochore complex component is a protein primarily involved in chromosome segregation during cell division. The human MIS12 protein has a mass of approximately 22 kDa. It is expressed in proliferating cells especially during mitosis and is a cytoplasmic protein that localizes to the kinetochore an important structure on chromosomes. MIS12 plays a direct role in the stabilization of spindle microtubules to kinetochores ensuring proper chromosome alignment and segregation.
Biological function summary

This protein functions as part of the MIS12 complex which is essential for accurate cytokinesis. The complex is a critical part of the kinetochore-microtubule attachments necessary for mitotic spindle assembly and chromosome movement. MIS12 also interacts with other kinetochore proteins such as NDC80 and DSN1 forming a network that acts in the early mitotic phase of the cell cycle.

Pathways

MIS12 participates in the Spindle Assembly Checkpoint (SAC) a regulatory mechanism ensuring error-free chromosome segregation. It integrates into the mitotic checkpoint signaling pathway interacting with proteins like BUB1 and MAD2 which monitor attachment and tension at kinetochores. This interaction halts progression through mitosis if incorrect attachments are detected preventing chromosomal instability.

Disruptions in the MIS12 protein function are linked to cancers particularly those exhibiting chromosomal instability such as colorectal cancer. MIS12 mutations or misexpression can cause defective chromosome segregation contributing to aneuploidy and tumorigenesis. Additionally its interaction with the APC/C complex important for cell cycle exit connects it to E2F deregulation in cancerous cells.

Product protocols

For this product, it's our understanding that no specific protocols are required. You can visit:

Target data

Part of the MIS12 complex which is required for normal chromosome alignment and segregation and for kinetochore formation during mitosis (PubMed : 12515822, PubMed : 15502821, PubMed : 16585270). Essential for proper kinetochore microtubule attachments (PubMed : 23891108).
See full target information MIS12

Publications (11)

Recent publications for all applications. Explore the full list and refine your search

Life science alliance 8: PubMed39848706

2025

High-resolution analysis of human centromeric chromatin.

Applications

Unspecified application

Species

Unspecified reactive species

Daniël P Melters,Minh Bui,Tatini Rakshit,Sergei A Grigoryev,David Sturgill,Yamini Dalal

Advanced science (Weinheim, Baden-Wurttemberg, Germany) 11:e2406009 PubMed39018254

2024

CCDC68 Maintains Mitotic Checkpoint Activation by Promoting CDC20 Integration into the MCC.

Applications

Unspecified application

Species

Unspecified reactive species

Qi Li,Qingzhou Chen,Tao Zheng,Fulin Wang,Junlin Teng,Haining Zhou,Jianguo Chen

Journal of inflammation research 17:1857-1871 PubMed38523689

2024

FTO Stabilizes MIS12 to Inhibit Vascular Smooth Muscle Cell Senescence in Atherosclerotic Plaque.

Applications

Unspecified application

Species

Unspecified reactive species

Jingzhao Sun,Mengqi Wang,Fengming Jia,Jiantao Song,Jinlin Ren,Bo Hu

Nucleic acids research 48:11083-11096 PubMed33035345

2020

METTL3 counteracts premature aging via m6A-dependent stabilization of MIS12 mRNA.

Applications

Unspecified application

Species

Unspecified reactive species

Zeming Wu,Yue Shi,Mingming Lu,Moshi Song,Zihui Yu,Jilu Wang,Si Wang,Jie Ren,Yun-Gui Yang,Guang-Hui Liu,Weiqi Zhang,Weimin Ci,Jing Qu

Development (Cambridge, England) 147: PubMed32341029

2020

Mis12 controls cyclin B1 stabilization via Cdc14B-mediated APC/C regulation during meiotic G2/M transition in mouse oocytes.

Applications

Unspecified application

Species

Unspecified reactive species

Guang-Yu Bai,Min Ho Choe,Jae-Sung Kim,Jeong Su Oh

Annals of neurology 86:99-115 PubMed31004438

2019

Extraciliary roles of the ciliopathy protein JBTS17 in mitosis and neurogenesis.

Applications

Unspecified application

Species

Unspecified reactive species

Hyowon Hong,Kwangsic Joo,Sang Min Park,Jimyung Seo,Min Hwan Kim,EunBie Shin,Hae Il Cheong,Jeong Ho Lee,Joon Kim

Chromosoma 127:461-473 PubMed29968190

2018

Chmp4c is required for stable kinetochore-microtubule attachments.

Applications

Unspecified application

Species

Unspecified reactive species

Eleni Petsalaki,Maria Dandoulaki,George Zachos

Cell cycle (Georgetown, Tex.) 16:1683-1694 PubMed28816574

2017

SGT1-HSP90 complex is required for CENP-A deposition at centromeres.

Applications

Unspecified application

Species

Unspecified reactive species

Yohei Niikura,Risa Kitagawa,Hiroo Ogi,Katsumi Kitagawa

Nature communications 7:10151 PubMed26743940

2016

Cep57 is a Mis12-interacting kinetochore protein involved in kinetochore targeting of Mad1-Mad2.

Applications

Unspecified application

Species

Unspecified reactive species

Haining Zhou,Tianning Wang,Tao Zheng,Junlin Teng,Jianguo Chen

The Journal of cell biology 209:221-34 PubMed25918224

2015

TRAMM/TrappC12 plays a role in chromosome congression, kinetochore stability, and CENP-E recruitment.

Applications

ICC/IF, WB

Species

Human, Human

Miroslav P Milev,Benedeta Hasaj,Djenann Saint-Dic,Sary Snounou,Qingchuan Zhao,Michael Sacher
View all publications

Product promise

We are committed to supporting your work with high-quality reagents, and we're here for you every step of the way. In the unlikely event that one of our products does not perform as expected, you're protected by our Product Promise.
For full details, please see our Terms & Conditions

Please note: All products are 'FOR RESEARCH USE ONLY. NOT FOR USE IN DIAGNOSTIC OR THERAPEUTIC PROCEDURES'.

For licensing inquiries, please contact partnerships@abcam.com