JavaScript is disabled in your browser. Please enable JavaScript to view this website.
AB20663

Anti-MiTF antibody

5

(3 Reviews)

|

(44 Publications)

Rabbit Polyclonal MITF antibody. Suitable for WB and reacts with Mouse, Human, Rat samples. Cited in 44 publications.

View Alternative Names

BHLHE32, MITF, Microphthalmia-associated transcription factor, Class E basic helix-loop-helix protein 32, bHLHe32

2 Images
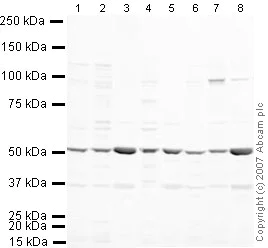
Western blot - Anti-MiTF antibody (AB20663)
  • WB

Project1049****

Western blot - Anti-MiTF antibody (AB20663)

All lanes:

Western blot - Anti-MiTF antibody (ab20663) at 1 µg/mL

Lane 1:

Western blot - NIH/3T3 whole cell lysate (<a href='/en-us/products/cell-lysates/nih-3t3-whole-cell-lysate-ab7179'>ab7179</a>) at 10 µg

Lane 2:

MEF1 (Mouse embryonic fibroblast cell line) Whole Cell Lysate at 10 µg

Lane 3:

Brain (Mouse) Tissue Lysate at 10 µg

Lane 4:

Testis (Mouse) Tissue Lysate - normal tissue at 10 µg

Lane 5:

Spinal Cord (Mouse) Tissue Lysate at 10 µg

Lane 6:

Ovary (Mouse) Tissue Lysate - normal tissue at 10 µg

Lane 7:

PC12 (Rat adrenal pheochromocytoma cell line) Whole Cell Lysate at 10 µg

Lane 8:

Brain (Rat) Tissue Lysate - normal tissue at 10 µg

Secondary

All lanes:

IRDye 680 Conjugated Goat Anti-Rabbit IgG (H+L) at 1/10000 dilution

Predicted band size: 58 kDa

Observed band size: 52 kDa

false

Western blot - Anti-MiTF antibody (AB20663)
  • WB

Project

Western blot - Anti-MiTF antibody (AB20663)

All lanes:

Western blot - Anti-MiTF antibody (ab20663) at 1 µg/mL

Lanes 1 and 4:

HeLa whole cell lysate at 20 µg

Lanes 2 and 5:

HeLa nuclear lysate at 20 µg

Lanes 3 and 6:

A431 whole cell lysate at 20 µg

Secondary

All lanes:

Alexa Fluor Goat polyclonal to Rabbit IgG (700) at 1/10000 dilution

Predicted band size: 58 kDa

Observed band size: 25 kDa,37 kDa,52 kDa

false

Key facts

Host species

Rabbit

Clonality

Polyclonal

Isotype

IgG

Carrier free

No

Reacts with

Mouse, Rat, Human

Applications

WB

applications

Immunogen

The exact immunogen used to generate this antibody is proprietary information.

Reactivity data

{ "title": "Reactivity Data", "filters": { "stats": ["", "Species", "Dilution Info", "Notes"], "tabs": { "all-applications": {"fullname" : "All Applications", "shortname": "All Applications"}, "WB" : {"fullname" : "Western blot", "shortname":"WB"}, "IHCPFAfixed" : {"fullname" : "Immunohistochemistry (PFA fixed)", "shortname":"IHC (PFA fixed)"} }, "product-promise": { "all": "all", "testedAndGuaranteed": "tested", "guaranteed": "expected", "predicted": "predicted", "notRecommended": "not-recommended" } }, "values": { "Human": { "WB-species-checked": "testedAndGuaranteed", "WB-species-dilution-info": "1 µg/mL", "WB-species-notes": "<p></p>", "IHCPFAfixed-species-checked": "notRecommended", "IHCPFAfixed-species-dilution-info": "", "IHCPFAfixed-species-notes": "<p></p>" }, "Mouse": { "WB-species-checked": "testedAndGuaranteed", "WB-species-dilution-info": "1 µg/mL", "WB-species-notes": "<p></p>", "IHCPFAfixed-species-checked": "notRecommended", "IHCPFAfixed-species-dilution-info": "", "IHCPFAfixed-species-notes": "<p></p>" }, "Rat": { "WB-species-checked": "testedAndGuaranteed", "WB-species-dilution-info": "1 µg/mL", "WB-species-notes": "<p></p>", "IHCPFAfixed-species-checked": "notRecommended", "IHCPFAfixed-species-dilution-info": "", "IHCPFAfixed-species-notes": "<p></p>" } } }

Properties and storage information

Form
Liquid
Purification technique
Affinity purification Immunogen
Storage buffer
pH: 7.4 Preservative: 0.02% Sodium azide Constituents: 98.98% PBS, 1% BSA
Shipped at conditions
Blue Ice
Appropriate short-term storage duration
1-2 weeks
Appropriate short-term storage conditions
+4°C
Appropriate long-term storage conditions
-20°C
Aliquoting information
Upon delivery aliquot
Storage information
Avoid freeze / thaw cycle

Product protocols

For this product, it's our understanding that no specific protocols are required. You can visit:

Target data

Transcription factor that acts as a master regulator of melanocyte survival and differentiation as well as melanosome biogenesis (PubMed : 10587587, PubMed : 22647378, PubMed : 27889061, PubMed : 9647758). Binds to M-boxes (5'-TCATGTG-3') and symmetrical DNA sequences (E-boxes) (5'-CACGTG-3') found in the promoter of pigmentation genes, such as tyrosinase (TYR) (PubMed : 10587587, PubMed : 22647378, PubMed : 27889061, PubMed : 9647758). Involved in the cellular response to amino acid availability by acting downstream of MTOR : in the presence of nutrients, MITF phosphorylation by MTOR promotes its inactivation (PubMed : 36608670). Upon starvation or lysosomal stress, inhibition of MTOR induces MITF dephosphorylation, resulting in transcription factor activity (PubMed : 36608670). Plays an important role in melanocyte development by regulating the expression of tyrosinase (TYR) and tyrosinase-related protein 1 (TYRP1) (PubMed : 10587587, PubMed : 22647378, PubMed : 27889061, PubMed : 9647758). Plays a critical role in the differentiation of various cell types, such as neural crest-derived melanocytes, mast cells, osteoclasts and optic cup-derived retinal pigment epithelium (PubMed : 10587587, PubMed : 22647378, PubMed : 27889061, PubMed : 9647758).
See full target information MITF

Publications (44)

Recent publications for all applications. Explore the full list and refine your search

International journal of molecular sciences 24: PubMed37047372

2023

Generating Functional and Highly Proliferative Melanocytes Derived from Human Pluripotent Stem Cells: A Promising Tool for Biotherapeutic Approaches to Treat Skin Pigmentation Disorders.

Applications

Unspecified application

Species

Unspecified reactive species

Manoubia Saidani,Annabelle Darle,Margot Jarrige,Hélène Polveche,Lina El Kassar,Séverine Julié,Sandrine Bessou-Touya,Nathalie Holic,Gilles Lemaitre,Cécile Martinat,Christine Baldeschi,Jennifer Allouche

Frontiers in pharmacology 14:1081030 PubMed36814484

2023

Cryptochrome 1 activation inhibits melanogenesis and melanosome transport through negative regulation of cAMP/PKA/CREB signaling pathway.

Applications

Unspecified application

Species

Unspecified reactive species

Rongyin Gao,Ximei Zhang,Kun Zou,Duo Meng,Jinpeng Lv

Frontiers in pharmacology 13:963160 PubMed36249817

2022

. Extract exhibits pigmentation by melanin biosynthesis and melanosome biogenesis/transfer.

Applications

Unspecified application

Species

Unspecified reactive species

Chen Hong,Lili Yang,Yifan Zhang,Yiming Li,Huali Wu

FASEB journal : official publication of the Federation of American Societies for Experimental Biology 36:e22454 PubMed35839067

2022

Peripheral benzodiazepine receptor TSPO needs to be reconsidered before using as a drug target for a pigmentary disorder.

Applications

Unspecified application

Species

Unspecified reactive species

Yun-Yun Yue,Yi-Chuan Wang,Zi-Xian Liao,Fang-Yuan Hu,Qiu-Yan Liu,Jing Dong,Min Zhong,Ming-Han Chen,Yu-Min Pan,Hui Zhong,Jing Shang

International journal of molecular sciences 23: PubMed35806438

2022

Impaired Bestrophin Channel Activity in an iPSC-RPE Model of Best Vitelliform Macular Dystrophy (BVMD) from an Early Onset Patient Carrying the P77S Dominant Mutation.

Applications

Unspecified application

Species

Unspecified reactive species

Arnau Navinés-Ferrer,Sheila Ruiz-Nogales,Rafael Navarro,Esther Pomares

Frontiers in oncology 12:782877 PubMed35847840

2022

Co-Treatment of Chloroquine and Trametinib Inhibits Melanoma Cell Proliferation and Decreases Immune Cell Infiltration.

Applications

Unspecified application

Species

Unspecified reactive species

Simone Degan,Brian L May,Yingai J Jin,Manel Ben Hammoda,Huiying Sun,Guoqiang Zhang,Yan Wang,Detlev Erdmann,Warren Warren,Jennifer Y Zhang

Experimental dermatology 31:1253-1263 PubMed35514241

2022

Silencing of Rab23 by siRNA inhibits ultraviolet B-induced melanogenesis via downregulation of PKA/CREB/MITF.

Applications

Unspecified application

Species

Unspecified reactive species

Xuanjin Wei,Min Huang,Yi Yang,Yali Liu,Sumin Chi,Chengxin Li

Clinical and translational medicine 12:e719 PubMed35092699

2022

Methionine oxidation of CLK4 promotes the metabolic switch and redox homeostasis in esophageal carcinoma via inhibiting MITF selective autophagy.

Applications

Unspecified application

Species

Unspecified reactive species

Yaxing Shen,Heng Zhang,Shihua Yao,Feng Su,Hao Wang,Jun Yin,Yong Fang,Lijie Tan,Kaiguang Zhang,Xiangshan Fan,Ming Zhong,Qingxin Zhou,Jie He,Zhiyong Zhang

Cells 10: PubMed33800001

2021

3D-Printed Collagen Scaffolds Promote Maintenance of Cryopreserved Patients-Derived Melanoma Explants.

Applications

Unspecified application

Species

Unspecified reactive species

Yun-Mi Jeong,ChulHwan Bang,MinJi Park,Sun Shin,Seokhwan Yun,Chul Min Kim,GaHee Jeong,Yeun-Jun Chung,Won-Soo Yun,Ji Hyun Lee,Songwan Jin

Research in pharmaceutical sciences 15:491-502 PubMed33628291

2020

Modified Riceberry rice extract suppresses melanogenesis-associated cell differentiation through tyrosinase-mediated MITF downregulation on B16 cells and zebrafish embryos.

Applications

Unspecified application

Species

Unspecified reactive species

Teerapat Rodboon,Sasithorn Sirilun,Seiji Okada,Ryusho Kariya,Thapana Chontananarth,Prasit Suwannalert
View all publications

Product promise

We are committed to supporting your work with high-quality reagents, and we're here for you every step of the way. In the unlikely event that one of our products does not perform as expected, you're protected by our Product Promise.
For full details, please see our Terms & Conditions

Associated Products

Select an associated product type
Alternative Product
Primary Antibodies

AB212611

Anti-MiTF antibody [MITF/915] - BSA and Azide free

primary-antibodies

mitf-antibody-mitf-915-bsa-and-azide-free-ab212611

0

(0 reviews)

Alternative Product
Primary Antibodies

AB215845

Anti-MiTF antibody [MITF/915]

primary-antibodies

mitf-antibody-mitf-915-ab215845

0

(0 reviews)

Alternative Product
Primary Antibodies

AB233928

Anti-MiTF antibody [SPM290]

primary-antibodies

mitf-antibody-spm290-ab233928

0

(0 reviews)

Alternative Product
Primary Antibodies

AB59201

Anti-MiTF (phospho S73) antibody

primary-antibodies

mitf-phospho-s73-antibody-ab59201

0

(0 reviews)

Alternative Product
Primary Antibodies

AB122982

Anti-MiTF antibody

primary-antibodies

mitf-antibody-ab122982

1

(1 reviews)

Alternative Product
Primary Antibodies

AB3201

Anti-MiTF antibody [D5]

primary-antibodies

mitf-antibody-d5-ab3201

4

(1 reviews)

Alternative Product
Primary Antibodies

AB12039

Anti-MiTF antibody [C5]

primary-antibodies

mitf-antibody-c5-ab12039

4

(5 reviews)

Alternative Product
Primary Antibodies

AB201675

Alexa Fluor® 488 Anti-MiTF antibody [D5]

primary-antibodies

alexa-fluor-488-mitf-antibody-d5-ab201675

2

(1 reviews)

Alternative Product
Primary Antibodies

AB212610

Anti-MiTF antibody [SPM290] - BSA and Azide free

primary-antibodies

mitf-antibody-spm290-bsa-and-azide-free-ab212610

0

(0 reviews)

Alternative Product
Primary Antibodies

AB264110

Anti-MiTF antibody [C5] - BSA and Azide free

primary-antibodies

mitf-antibody-c5-bsa-and-azide-free-ab264110

0

(0 reviews)

Please note: All products are 'FOR RESEARCH USE ONLY. NOT FOR USE IN DIAGNOSTIC OR THERAPEUTIC PROCEDURES'.

For licensing inquiries, please contact partnerships@abcam.com