JavaScript is disabled in your browser. Please enable JavaScript to view this website.
AB303530

Anti-MiTF antibody [EPR26363-10]

  • BOND RX™ Validated
  • 20ul selling size
  • RabMAb
  • Recombinant
  • What is this?

4

(1 Review)

|

(2 Publications)

Anti-MiTF antibody [EPR26363-10] (ab303530) is a rabbit monoclonal antibody detecting MiTF in Western Blot, Flow Cytometry (Intra), Flow Cytometry, IP, IHC-P, ICC/IF. Suitable for Human, Mouse, Rat.

- Biophysical QC for unrivalled batch-batch consistency

View Alternative Names

BHLHE32, MITF, Microphthalmia-associated transcription factor, Class E basic helix-loop-helix protein 32, bHLHe32

11 Images
Immunocytochemistry/ Immunofluorescence - Anti-MiTF antibody [EPR26363-10] (AB303530)
  • ICC/IF

Supplier Data

Immunocytochemistry/ Immunofluorescence - Anti-MiTF antibody [EPR26363-10] (AB303530)

Immunofluorescent analysis of 4% Paraformaldehyde-fixed, 0.1% TritonX-100 permeabilized SK-MEL-28 (human malignant melanoma cell) cells labelling MiTF with ab303530 at 1/50 (11.32 ug/ml) dilution, followed by ab150081 Goat Anti-Rabbit IgG H&L (Alexa Fluor® 488) preadsorbed antibody at 1/1000 2ug/mL dilution (Green). Confocal image showing mostly nuclear staining in SK-MEL-28 cell line.Image was taken with a confocal microscope (Leica-Microsystems, TCS SP8). is observed. ab195889 Anti-alpha Tubulin mouse monoclonal antibody - Microtubule Marker (Alexa Fluor® 594) was used to counterstain tubulin at 1/200 2.5ug/ml dilution (Red). The Nuclear counterstain was DAPI (Blue). Secondary antibody only control : Secondary antibody is ab150081 Goat Anti-Rabbit IgG H&L (Alexa Fluor® 488) preadsorbed at 1/1000 2ug/mL dilution.

Flow Cytometry (Intracellular) - Anti-MiTF antibody [EPR26363-10] (AB303530)
  • Flow Cyt (Intra)

Supplier Data

Flow Cytometry (Intracellular) - Anti-MiTF antibody [EPR26363-10] (AB303530)

Flow cytometric analysis of 4% paraformaldehyde fixed 90% methanol permeabilized SK-MEL-28 (human malignant melanoma) cells labelling MiTF with ab303530 at 1/500 dilution (0.1ug) (Red) (Red) compared with a Rabbit monoclonal IgG (ab172730) (Black) isotype control and an unlabelled control (cells without incubation with primary antibody and secondary antibody) (Blue). A Goat Anti-Rabbit IgG (Alexa Fluor® 488, ab150081) at 1/2000 dilution was used as the secondary antibody.

Immunohistochemistry (Formalin/PFA-fixed paraffin-embedded sections) - Anti-MiTF antibody [EPR26363-10] (AB303530)
  • IHC-P

Supplier Data

Immunohistochemistry (Formalin/PFA-fixed paraffin-embedded sections) - Anti-MiTF antibody [EPR26363-10] (AB303530)

Immunohistochemical analysis of paraffin-embedded Human melanoma tissue labeling MiTF with ab303530 at 1/5000 (0.113 ug/ml) followed by a ready to use LeicaDS9800 (Bond™ Polymer Refine Detection) was used. Positive staining on human melanoma. The section was incubated with ab303530 for 30 mins at room temperature.The immunostaining was performed on a Leica Biosystems BOND® RX instrument Counterstained with Hematoxylin. Secondary antibody only control : Secondary antibody is a ready to use LeicaDS9800 (Bond™ Polymer Refine Detection).Heat mediated antigen retrieval with Tris-EDTA buffer (pH 9.0, epitope retrieval solution2) for 20 mins

Immunohistochemistry (Formalin/PFA-fixed paraffin-embedded sections) - Anti-MiTF antibody [EPR26363-10] (AB303530)
  • IHC-P

Lab

Immunohistochemistry (Formalin/PFA-fixed paraffin-embedded sections) - Anti-MiTF antibody [EPR26363-10] (AB303530)

Immunohistochemical analysis of paraffin-embedded human melanoma tissue labeling MITF with ab303530 at 1/100 dilution, followed by a ready to use Goat Anti-Rabbit IgG H&L (Alexa Fluor® 488) preadsorbed (ab150081).

The primary antibody was incubated for 60 mins at room temperature (shown in green). Nuclear DNA was labeled with DAPI (shown in blue). The section was then mounted using Fluoromount®. The immunostaining was performed on a Leica Biosystems BOND RX instrument. Image was taken with a confocal microscope (Leica-Microsystems, TCS SP8).

Counterstained with Hematoxylin.

Secondary antibody only control : Secondary antibody is a ready to use Goat Anti-Rabbit IgG H&L (Alexa Fluor® 488) preadsorbed (ab150081).

Heat mediated antigen retrieval was performed with Tris-EDTA buffer (pH 9.0, epitope retrieval solution2) for 40 mins.

Immunohistochemistry (Formalin/PFA-fixed paraffin-embedded sections) - Anti-MiTF antibody [EPR26363-10] (AB303530)
  • IHC-P

Lab

Immunohistochemistry (Formalin/PFA-fixed paraffin-embedded sections) - Anti-MiTF antibody [EPR26363-10] (AB303530)

Immunohistochemical analysis of paraffin-embedded human hair follicle tissue labeling MITF with ab303530 at 1/100 dilution, followed by a ready to use Goat Anti-Rabbit IgG H&L (Alexa Fluor® 488) preadsorbed (ab150081).

The primary antibody was incubated for 60 mins at room temperature (shown in green). Nuclear DNA was labeled with DAPI (shown in blue). The section was then mounted using Fluoromount®. The immunostaining was performed on a Leica Biosystems BOND RX instrument. Image was taken with a confocal microscope (Leica-Microsystems, TCS SP8).

Counterstained with Hematoxylin.

Secondary antibody only control : Secondary antibody is a ready to use Goat Anti-Rabbit IgG H&L (Alexa Fluor® 488) preadsorbed (ab150081).

Heat mediated antigen retrieval was performed with Tris-EDTA buffer (pH 9.0, epitope retrieval solution2) for 40 mins.

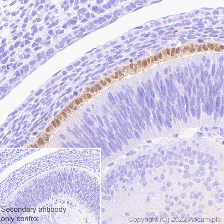
Immunohistochemistry (Formalin/PFA-fixed paraffin-embedded sections) - Anti-MiTF antibody [EPR26363-10] (AB303530)
  • IHC-P

Supplier Data

Immunohistochemistry (Formalin/PFA-fixed paraffin-embedded sections) - Anti-MiTF antibody [EPR26363-10] (AB303530)

Immunohistochemical analysis of paraffin-embedded Mouse embryonic eye tissue labeling MiTF with ab303530 at 1/5000 (0.113 ug/ml) followed by a ready to use LeicaDS9800 (Bond™ Polymer Refine Detection) was used. Positive staining on mouse embryonic eye. The section was incubated with ab303530 for 30 mins at room temperature.The immunostaining was performed on a Leica Biosystems BOND® RX instrument Counterstained with Hematoxylin. Secondary antibody only control : Secondary antibody is a ready to use LeicaDS9800 (Bond™ Polymer Refine Detection).Heat mediated antigen retrieval with Tris-EDTA buffer (pH 9.0, epitope retrieval solution2) for 20 mins

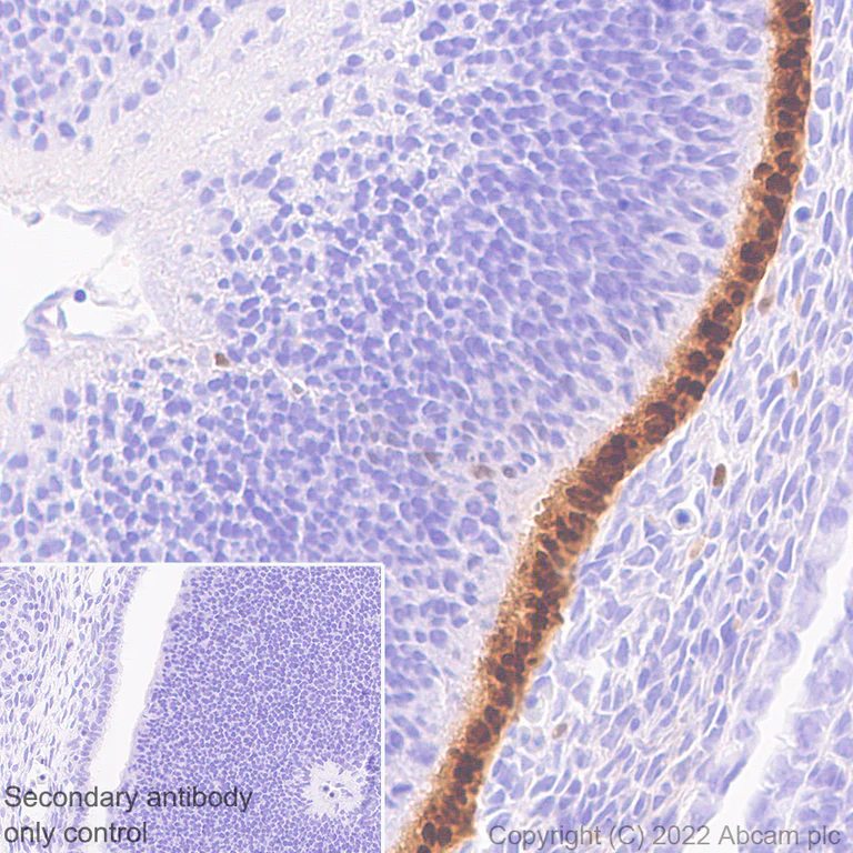
Immunohistochemistry (Formalin/PFA-fixed paraffin-embedded sections) - Anti-MiTF antibody [EPR26363-10] (AB303530)
  • IHC-P

Supplier Data

Immunohistochemistry (Formalin/PFA-fixed paraffin-embedded sections) - Anti-MiTF antibody [EPR26363-10] (AB303530)

Immunohistochemical analysis of paraffin-embedded Rat embryonic eye tissue labeling MiTF with ab303530 at 1/5000 (0.113 ug/ml) followed by a ready to use LeicaDS9800 (Bond™ Polymer Refine Detection) was used. Positive staining on rat embryonic eye. The section was incubated with ab303530 for 30 mins at room temperature.The immunostaining was performed on a Leica Biosystems BOND® RX instrument Counterstained with Hematoxylin. Secondary antibody only control : Secondary antibody is a ready to use LeicaDS9800 (Bond™ Polymer Refine Detection).Heat mediated antigen retrieval with Tris-EDTA buffer (pH 9.0, epitope retrieval solution2) for 20 mins

Immunohistochemistry (Formalin/PFA-fixed paraffin-embedded sections) - Anti-MiTF antibody [EPR26363-10] (AB303530)
  • IHC-P

Supplier Data

Immunohistochemistry (Formalin/PFA-fixed paraffin-embedded sections) - Anti-MiTF antibody [EPR26363-10] (AB303530)

Immunohistochemical analysis of paraffin-embedded Mouse skin tissue labeling MiTF with ab303530 at 1/5000 (0.113 ug/ml) followed by a ready to use LeicaDS9800 (Bond™ Polymer Refine Detection) was used. Positive staining on mouse skin. The section was incubated with ab303530 for 30 mins at room temperature.The immunostaining was performed on a Leica Biosystems BOND® RX instrument Counterstained with Hematoxylin. Secondary antibody only control : Secondary antibody is a ready to use LeicaDS9800 (Bond™ Polymer Refine Detection).Heat mediated antigen retrieval with Tris-EDTA buffer (pH 9.0, epitope retrieval solution2) for 20 mins

Immunocytochemistry/ Immunofluorescence - Anti-MiTF antibody [EPR26363-10] (AB303530)
  • ICC/IF

Supplier Data

Immunocytochemistry/ Immunofluorescence - Anti-MiTF antibody [EPR26363-10] (AB303530)

Immunofluorescent analysis of 4% Paraformaldehyde-fixed, 0.1% TritonX-100 permeabilized B16-F10 (mouse skin melanoma cell) cells labelling MiTF with ab303530 at 1/50 (11.32 ug/ml) dilution, followed by ab150081 Goat Anti-Rabbit IgG H&L (Alexa Fluor® 488) preadsorbed antibody at 1/1000 2ug/mL dilution (Green). Confocal image showing mostly nuclear staining in B16-F0 cell line.Image was taken with a confocal microscope (Leica-Microsystems, TCS SP8). is observed. ab195889 Anti-alpha Tubulin mouse monoclonal antibody - Microtubule Marker (Alexa Fluor® 594) was used to counterstain tubulin at 1/200 2.5ug/ml dilution (Red). The Nuclear counterstain was DAPI (Blue). Secondary antibody only control : Secondary antibody is ab150081 Goat Anti-Rabbit IgG H&L (Alexa Fluor® 488) preadsorbed at 1/1000 2ug/mL dilution.

Flow Cytometry (Intracellular) - Anti-MiTF antibody [EPR26363-10] (AB303530)
  • Flow Cyt (Intra)

Supplier Data

Flow Cytometry (Intracellular) - Anti-MiTF antibody [EPR26363-10] (AB303530)

Flow cytometric analysis of 4% paraformaldehyde fixed 90% methanol permeabilized B16F0 (mouse melanoma epithelial cell-like) cells labelling MiTF with ab303530 at 1/500 dilution (0.1ug) (Red) (Red) compared with a Rabbit monoclonal IgG (ab172730) (Black) isotype control and an unlabelled control (cells without incubation with primary antibody and secondary antibody) (Blue). A Goat Anti-Rabbit IgG (Alexa Fluor® 488, ab150081) at 1/2000 dilution was used as the secondary antibody.

Western blot - Anti-MiTF antibody [EPR26363-10] (AB303530)
  • WB

Supplier Data

Western blot - Anti-MiTF antibody [EPR26363-10] (AB303530)

Blocking and dilution buffer and concentration : 5% NFDM/TBST

Exposure time :

Lanes 1, 3, 4 : 70 seconds

Lane 2 : 180 seconds

This blot was developed using a high sensitivity ECL substrate. The high-sensitivity ECL substrate used allows for the detection of proteins in the mid-femtogram range.

The molecular weight observed is consistent with what has been described in the literature (PMID : 17182576).

All lanes:

Western blot - Anti-MiTF antibody [EPR26363-10] (ab303530) at 1/1000 dilution

Lane 1:

SK-MEL-28 (human malignant melanoma), whole cell lysate at 20 µg

Lane 2:

HeLa (human cervix adenocarcinoma epithelial cell), whole cell lysate at 20 µg

Lane 3:

B16F0 (mouse melanoma epithelial cell-like), whole cell lysate at 20 µg

Lane 4:

B16F10 (mouse skin melanoma cell), whole cell lysate at 20 µg

Secondary

All lanes:

Western blot - Goat Anti-Rabbit IgG H&L (HRP) (<a href='/en-us/products/secondary-antibodies/goat-rabbit-igg-h-l-hrp-ab97051'>ab97051</a>) at 1/100000 dilution

Predicted band size: 58 kDa

Observed band size: 40-70 kDa

true

Key facts

Host species

Rabbit

Clonality

Monoclonal

Clone number

EPR26363-10

Isotype

IgG

Carrier free

No

Reacts with

Human, Mouse, Rat

Applications

ICC/IF, IHC-P, WB, IP, Flow Cyt (Intra)

applications

Immunogen

The exact immunogen used to generate this antibody is proprietary information.

Reactivity data

{ "title": "Reactivity Data", "filters": { "stats": ["", "Species", "Dilution Info", "Notes"], "tabs": { "all-applications": {"fullname" : "All Applications", "shortname": "All Applications"}, "WB" : {"fullname" : "Western blot", "shortname":"WB"}, "IHCP" : {"fullname" : "Immunohistochemistry (Formalin/PFA-fixed paraffin-embedded sections)", "shortname":"IHC-P"}, "ICCIF" : {"fullname" : "Immunocytochemistry/ Immunofluorescence", "shortname":"ICC/IF"}, "FlowCytIntra" : {"fullname" : "Flow Cytometry (Intracellular)", "shortname":"Flow Cyt (Intra)"}, "IP" : {"fullname" : "Immunoprecipitation", "shortname":"IP"}, "ChIP" : {"fullname" : "ChIP", "shortname":"ChIP"} }, "product-promise": { "all": "all", "testedAndGuaranteed": "tested", "guaranteed": "expected", "predicted": "predicted", "notRecommended": "not-recommended" } }, "values": { "Human": { "WB-species-checked": "testedAndGuaranteed", "WB-species-dilution-info": "1/1000", "WB-species-notes": "<p></p>", "IHCP-species-checked": "testedAndGuaranteed", "IHCP-species-dilution-info": "1/100 - 1/5000", "IHCP-species-notes": "<p></p> Perform heat-mediated antigen retrieval with Tris/EDTA buffer pH 9.0 before commencing with IHC staining protocol.", "ICCIF-species-checked": "testedAndGuaranteed", "ICCIF-species-dilution-info": "1/50", "ICCIF-species-notes": "<p></p>", "FlowCytIntra-species-checked": "testedAndGuaranteed", "FlowCytIntra-species-dilution-info": "1/500", "FlowCytIntra-species-notes": "<p></p>", "IP-species-checked": "testedAndGuaranteed", "IP-species-dilution-info": "1/30", "IP-species-notes": "<p></p>", "ChIP-species-checked": "notRecommended", "ChIP-species-dilution-info": "", "ChIP-species-notes": "<p></p>" }, "Mouse": { "WB-species-checked": "testedAndGuaranteed", "WB-species-dilution-info": "1/1000", "WB-species-notes": "<p></p>", "IHCP-species-checked": "testedAndGuaranteed", "IHCP-species-dilution-info": "1/5000", "IHCP-species-notes": "<p></p> Perform heat-mediated antigen retrieval with Tris/EDTA buffer pH 9.0 before commencing with IHC staining protocol.", "ICCIF-species-checked": "testedAndGuaranteed", "ICCIF-species-dilution-info": "1/50", "ICCIF-species-notes": "<p></p>", "FlowCytIntra-species-checked": "testedAndGuaranteed", "FlowCytIntra-species-dilution-info": "1/500", "FlowCytIntra-species-notes": "<p></p>", "IP-species-checked": "testedAndGuaranteed", "IP-species-dilution-info": "1/30", "IP-species-notes": "<p></p>", "ChIP-species-checked": "notRecommended", "ChIP-species-dilution-info": "", "ChIP-species-notes": "" }, "Rat": { "WB-species-checked": "testedAndGuaranteed", "WB-species-dilution-info": "1/1000", "WB-species-notes": "<p></p>", "IHCP-species-checked": "testedAndGuaranteed", "IHCP-species-dilution-info": "1/5000", "IHCP-species-notes": "<p></p> Perform heat-mediated antigen retrieval with Tris/EDTA buffer pH 9.0 before commencing with IHC staining protocol.", "ICCIF-species-checked": "guaranteed", "ICCIF-species-dilution-info": "", "ICCIF-species-notes": "", "FlowCytIntra-species-checked": "guaranteed", "FlowCytIntra-species-dilution-info": "", "FlowCytIntra-species-notes": "", "IP-species-checked": "guaranteed", "IP-species-dilution-info": "", "IP-species-notes": "", "ChIP-species-checked": "notRecommended", "ChIP-species-dilution-info": "", "ChIP-species-notes": "" } } }

Product details

What is this antibody validated in?
Anti-MiTF antibody [EPR26363-10] (ab303530) is a rabbit recombinant monoclonal antibody and is validated for use in Western Blot (WB), Flow Cytometry (Intra), Flow Cytometry (Flow Cyt), Immunoprecipitation (IP), Immunohistochemistry (IHC-P), Immunocytochemistry/immunofluorescence (ICC/IF) in Human, Mouse, Rat samples.

What is the molecular weight of MiTF?
Anti-MiTF [EPR26363-10] (ab303530) specifically detects a band for MiTF (UniProt: Q08874) at a molecular weight of 58kDa.

Trial sizes available!
Test your antibody or perform pre-screening before committing to a larger quantity. Sold in 10µl. Discover our selection of trial-size antibodies.

Other related products
We have a range of other formats of antibody clone [EPR26363-10] also available for your convenience: ab303530, Carrier free - ab303531, Alexa Fluor® 488 - ab322231

Patented technology
Our RabMAb® technology is a patented hybridoma-based technology for making rabbit monoclonal antibodies. For details on our patents, please refer to RabMAb® patents.

What are the advantages of a recombinant monoclonal antibody?
This product is a recombinant monoclonal antibody, which offers several advantages including:

  • - High batch-to-batch consistency and reproducibility
  • - Improved sensitivity and specificity
  • - Long-term security of supply
  • - Animal-free batch production

For more information, read more on recombinant antibodies.

Properties and storage information

Form
Liquid
Purification technique
Affinity purification Protein A
Storage buffer
pH: 7.2 - 7.4 Preservative: 0.01% Sodium azide Constituents: PBS, 40% Glycerol (glycerin, glycerine), 0.05% BSA
Shipped at conditions
Blue Ice
Appropriate short-term storage duration
1-2 weeks
Appropriate short-term storage conditions
+4°C
Appropriate long-term storage conditions
-20°C
Aliquoting information
Upon delivery aliquot
Storage information
Avoid freeze / thaw cycle

Product protocols

For this product, it's our understanding that no specific protocols are required. You can visit:

Target data

Transcription factor that acts as a master regulator of melanocyte survival and differentiation as well as melanosome biogenesis (PubMed : 10587587, PubMed : 22647378, PubMed : 27889061, PubMed : 9647758). Binds to M-boxes (5'-TCATGTG-3') and symmetrical DNA sequences (E-boxes) (5'-CACGTG-3') found in the promoter of pigmentation genes, such as tyrosinase (TYR) (PubMed : 10587587, PubMed : 22647378, PubMed : 27889061, PubMed : 9647758). Involved in the cellular response to amino acid availability by acting downstream of MTOR : in the presence of nutrients, MITF phosphorylation by MTOR promotes its inactivation (PubMed : 36608670). Upon starvation or lysosomal stress, inhibition of MTOR induces MITF dephosphorylation, resulting in transcription factor activity (PubMed : 36608670). Plays an important role in melanocyte development by regulating the expression of tyrosinase (TYR) and tyrosinase-related protein 1 (TYRP1) (PubMed : 10587587, PubMed : 22647378, PubMed : 27889061, PubMed : 9647758). Plays a critical role in the differentiation of various cell types, such as neural crest-derived melanocytes, mast cells, osteoclasts and optic cup-derived retinal pigment epithelium (PubMed : 10587587, PubMed : 22647378, PubMed : 27889061, PubMed : 9647758).
See full target information MITF

Publications (2)

Recent publications for all applications. Explore the full list and refine your search

Cell communication and signaling : CCS 23:141 PubMed40102920

2025

Increased melanin induces aberrant keratinocyte - melanocyte - basal - fibroblast cell communication and fibrogenesis by inducing iron overload and ferroptosis resistance in keloids.

Applications

Unspecified application

Species

Unspecified reactive species

Xiangguang Shi,Xueyi Xia,Yang Xiao,Ying Zhang,Yiyi Gong,Yahui Chen,Chenyi Shi,Wei Wang,Jianlan Liu,Jia Huang,Mengguo Liu,Zhuoya Xu,Yanyun Ma,Mengkun Shi,Jiucun Wang,Wenyu Wu

Nature communications 14:8119 PubMed38065972

2023

Delineating the early dissemination mechanisms of acral melanoma by integrating single-cell and spatial transcriptomic analyses.

Applications

Unspecified application

Species

Unspecified reactive species

Chuanyuan Wei,Wei Sun,Kangjie Shen,Jingqin Zhong,Wanlin Liu,Zixu Gao,Yu Xu,Lu Wang,Tu Hu,Ming Ren,Yinlam Li,Yu Zhu,Shaoluan Zheng,Ming Zhu,Rongkui Luo,Yanwen Yang,Yingyong Hou,Fazhi Qi,Yuhong Zhou,Yong Chen,Jianying Gu
View all publications

Product promise

We are committed to supporting your work with high-quality reagents, and we're here for you every step of the way. In the unlikely event that one of our products does not perform as expected, you're protected by our Product Promise.
For full details, please see our Terms & Conditions

Please note: All products are 'FOR RESEARCH USE ONLY. NOT FOR USE IN DIAGNOSTIC OR THERAPEUTIC PROCEDURES'.

For licensing inquiries, please contact partnerships@abcam.com