JavaScript is disabled in your browser. Please enable JavaScript to view this website.
AB92824

Anti-Mitochondria antibody [113-1] - BSA and Azide free

5

(9 Reviews)

|

(116 Publications)

Anti-Mitochondria antibody [113-1] - BSA and Azide free (ab92824) is a mouse monoclonal antibody provided in a PBS only buffer for easy conjugation detecting Mitochondria in Western Blot, Flow Cytometry, IHC-P, ICC/IF. Suitable for Human.

- BSA, sodium azide, and glycerol-free for easy conjugation
- Over 80 publications
- Trusted since 2010
7 Images
Immunohistochemistry (Formalin/PFA-fixed paraffin-embedded sections) - Anti-Mitochondria antibody [113-1] - BSA and Azide free (AB92824)
  • IHC-P

PubMed

Immunohistochemistry (Formalin/PFA-fixed paraffin-embedded sections) - Anti-Mitochondria antibody [113-1] - BSA and Azide free (AB92824)

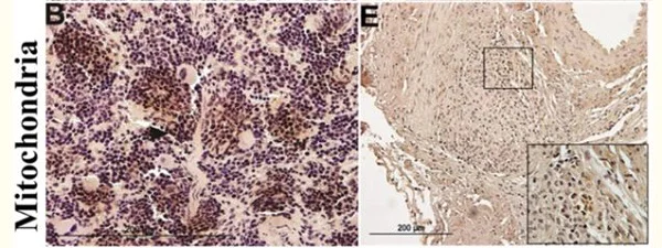
Immunostained human cells in spleen and temporal artery (TA) xenograft sections demonstrate persistent human PBMC colonization at 28 days

Mitochondria in spleen (B) and temporal artery xenografts (E) were detected using ab92824 at 1/400 dilution in immunohistochemical analysis.

Magnification : 400X for spleen, 200X for TA grafts and 800X for insets.

(From Figure 2 of Chen et al)

Chen, H. et al PLoS One. 2015 Feb 6;10(2):e0115482. doi: 10.1371/journal.pone.0115482. eCollection 2015 Reproduced under the Creative Commons license http://creativecommons.org/licenses/by/4.0/

Immunohistochemistry (Formalin/PFA-fixed paraffin-embedded sections) - Anti-Mitochondria antibody [113-1] - BSA and Azide free (AB92824)
  • IHC-P

Unknown

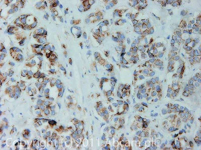
Immunohistochemistry (Formalin/PFA-fixed paraffin-embedded sections) - Anti-Mitochondria antibody [113-1] - BSA and Azide free (AB92824)

IHC image of ab92824 staining in Breast Cancer formalin fixed paraffin embedded tissue section, performed on a Leica BondTM system using the standard protocol F. The section was pre-treated using heat mediated antigen retrieval with sodium citrate buffer (pH6, epitope retrieval solution 1) for 20 mins. The section was then incubated with ab92824, 1/1000 dilution, for 15 mins at room temperature and detected using an HRP conjugated compact polymer system. DAB was used as the chromogen. The section was then counterstained with haematoxylin and mounted with DPX.
For other IHC staining systems (automated and non-automated) customers should optimize variable parameters such as antigen retrieval conditions, primary antibody concentration and antibody incubation times.

Immunocytochemistry/ Immunofluorescence - Anti-Mitochondria antibody [113-1] - BSA and Azide free (AB92824)
  • ICC/IF

Unknown

Immunocytochemistry/ Immunofluorescence - Anti-Mitochondria antibody [113-1] - BSA and Azide free (AB92824)

ICC/IF image of ab92824 stained HeLa cells. The cells were 4% formaldehyde fixed (10 min) and then incubated in 1%BSA / 10% normal goat serum / 0.3M glycine in 0.1% PBS-Tween for 1h to permeabilise the cells and block non-specific protein-protein interactions. The cells were then incubated with the antibody (ab92824, 5µg/ml) overnight at +4°C. The secondary antibody (green) was ab96879, DyLight® 488 goat anti-mouse IgG (H+L) used at a 1/250 dilution for 1h.Alexa Fluor® 594 WGA was used to label plasma membranes (red) at a 1/200 dilution for 1h. DAPI was used to stain the cell nuclei (blue) at a concentration of 1.43µM.

Immunocytochemistry/ Immunofluorescence - Anti-Mitochondria antibody [113-1] - BSA and Azide free (AB92824)
  • ICC/IF

AbReview49793****

Immunocytochemistry/ Immunofluorescence - Anti-Mitochondria antibody [113-1] - BSA and Azide free (AB92824)

ab92824 staining mitochondria in the Human U87 glioblastoma cell by ICC/IF (Immunocytochemistry/immunofluorescence). Cells were fixed with 10% NBF, permeabilized with Triton X-100 and blocked with 2% serum for 90 minutes at 22°C. Samples were incubated with primary antibody (1/1000 in 0.2% BSA + 2% NGS) for 15 hours at 4°C. An Alexa Fluor® 568-conjugated Goat anti-mouse IgG1 polyclonal was used as the secondary antibody (1/500). Co stained with ActinGreen, 2 drops/ml PBS, 10 min and Hoechst 2ug/ml in H2O 10 min

Image is courtesy of Virginia Hoglund

Flow Cytometry - Anti-Mitochondria antibody [113-1] - BSA and Azide free (AB92824)
  • Flow Cyt

Unknown

Flow Cytometry - Anti-Mitochondria antibody [113-1] - BSA and Azide free (AB92824)

Overlay histogram showing HepG2 cells stained with ab92824 (red line). The cells were fixed with 80% methanol (5 min) and then permeabilized with 0.1% PBS-Tween for 20 min. The cells were then incubated in 1x PBS / 10% normal goat serum / 0.3M glycine to block non-specific protein-protein interactions followed by the antibody (ab92824, 1/100 dilution) for 30 min at 22°C. The secondary antibody used was DyLight® 488 goat anti-mouse IgG (H+L) (ab96879) at 1/500 dilution for 30 min at 22°C. Isotype control antibody (black line) was Mouse IgG1 [ICIGG1] (ab91353, 2μg/1x106 cells) used under the same conditions. Acquisition of >5,000 events was performed. This antibody gave a positive signal in HepG2 cells fixed with 4% paraformaldehyde (10 min) permeabilized with 0.1% PBS-Tween for 20 min used under the same conditions.

Western blot - Anti-Mitochondria antibody [113-1] - BSA and Azide free (AB92824)
  • WB

Unknown

Western blot - Anti-Mitochondria antibody [113-1] - BSA and Azide free (AB92824)

All lanes:

Western blot - Anti-Mitochondria antibody [113-1] - BSA and Azide free (ab92824) at 1/1000 dilution

All lanes:

HeLa lysate

Observed band size: 60 kDa

false

Western blot - Anti-Mitochondria antibody [113-1] - BSA and Azide free (AB92824)
  • WB

CiteAb

Western blot - Anti-Mitochondria antibody [113-1] - BSA and Azide free (AB92824)

Mitochondria western blot using anti-Mitochondria antibody [113-1] - BSA and Azide free ab92824. Publication image and figure legend from Liu, L., Chen, Y., et al., 2019, Channels (Austin), PubMed 31354026.

ab92824 was used in this publication in western blot. This may not be the same as the application(s) guaranteed by Abcam. For a full list of applications guaranteed by Abcam for ab92824 please see the product overview.

KCNA1 was highly expressed in cervical cancer tissues and cell lines and correlates with poor prognosis. a. The heat map showing the high-rich expression of KCNA1 in 20 cervical cancer patient tissues compared with adjacent non-tumor tissues (p < 0.01). b. The mRNA levels of KCNA1 were higher (ratio >2) in 17/20 representative cervical cancer patient tissues than in adjacent non-tumor tissues by PCR. c. The patient number and survival months were calculated with different KCNA1 expression (KCNA1 ratio from 1–2.9; 3–6.9 and >7) (**p < 0.01 compared with KCNA1 ratio 1–2.9 group). Meanwhile, the percentages of stage IV (%) in different KCNA1 expression (KCNA1 ratio from 1–2.9; 3–6.9 and >7) were calculated. d. The KCNA1 protein levels in 3 cervical cancer cell lines were normalized to the β-actin protein level and plotted. The data were shown as mean ± S.D. Quantitation by densitometry was shown on below (P < 0.01, n = 16, compared with normal human cervical epithelial cell line-Ect/E6E7). Three independent experiments were repeated.

false

Key facts

Host species

Mouse

Clonality

Monoclonal

Clone number

113-1

Isotype

IgG1

Carrier free

Yes

Reacts with

Human

Applications

IHC-P, Flow Cyt, WB, ICC/IF

applications

Immunogen

The exact immunogen used to generate this antibody is proprietary information.

Reactivity data

{ "title": "Reactivity Data", "filters": { "stats": ["", "Species", "Dilution Info", "Notes"], "tabs": { "all-applications": {"fullname" : "All Applications", "shortname": "All Applications"}, "FlowCyt" : {"fullname" : "Flow Cytometry", "shortname":"Flow Cyt"}, "WB" : {"fullname" : "Western blot", "shortname":"WB"}, "IHCP" : {"fullname" : "Immunohistochemistry (Formalin/PFA-fixed paraffin-embedded sections)", "shortname":"IHC-P"}, "ICCIF" : {"fullname" : "Immunocytochemistry/ Immunofluorescence", "shortname":"ICC/IF"} }, "product-promise": { "all": "all", "testedAndGuaranteed": "tested", "guaranteed": "expected", "predicted": "predicted", "notRecommended": "not-recommended" } }, "values": { "Human": { "FlowCyt-species-checked": "testedAndGuaranteed", "FlowCyt-species-dilution-info": "1/100", "FlowCyt-species-notes": "<p><a href='/en-us/products/primary-antibodies/mouse-igg1-kappa-monoclonal-15-6e10a7-isotype-control-ab170190'>ab170190</a> - Mouse monoclonal IgG1, is suitable for use as an isotype control with this antibody.</p>", "WB-species-checked": "testedAndGuaranteed", "WB-species-dilution-info": "1/1000", "WB-species-notes": "<p></p>", "IHCP-species-checked": "testedAndGuaranteed", "IHCP-species-dilution-info": "1/1000", "IHCP-species-notes": "<p></p>", "ICCIF-species-checked": "testedAndGuaranteed", "ICCIF-species-dilution-info": "1/800", "ICCIF-species-notes": "<p></p>" }, "Mouse": { "FlowCyt-species-checked": "notRecommended", "FlowCyt-species-dilution-info": "1/100", "FlowCyt-species-notes": "<p><a href='/en-us/products/primary-antibodies/mouse-igg1-kappa-monoclonal-15-6e10a7-isotype-control-ab170190'>ab170190</a> - Mouse monoclonal IgG1, is suitable for use as an isotype control with this antibody.</p>", "WB-species-checked": "notRecommended", "WB-species-dilution-info": "1/1000", "WB-species-notes": "<p></p>", "IHCP-species-checked": "notRecommended", "IHCP-species-dilution-info": "1/1000", "IHCP-species-notes": "<p></p>", "ICCIF-species-checked": "notRecommended", "ICCIF-species-dilution-info": "1/800", "ICCIF-species-notes": "<p></p>" }, "Rat": { "FlowCyt-species-checked": "notRecommended", "FlowCyt-species-dilution-info": "1/100", "FlowCyt-species-notes": "<p><a href='/en-us/products/primary-antibodies/mouse-igg1-kappa-monoclonal-15-6e10a7-isotype-control-ab170190'>ab170190</a> - Mouse monoclonal IgG1, is suitable for use as an isotype control with this antibody.</p>", "WB-species-checked": "notRecommended", "WB-species-dilution-info": "1/1000", "WB-species-notes": "<p></p>", "IHCP-species-checked": "notRecommended", "IHCP-species-dilution-info": "1/1000", "IHCP-species-notes": "<p></p>", "ICCIF-species-checked": "notRecommended", "ICCIF-species-dilution-info": "1/800", "ICCIF-species-notes": "<p></p>" } } }

Product details

Product Specifications
Anti-Mitochondria antibody [113-1] - BSA and Azide free (ab92824) is a mouse monoclonal antibody provided in a carrier-free, conjugation ready format.
ab92824 is validated in Flow Cyt, ICC/IF, IHC-P, WBin human samples.
Carrier-free antibodies are compatible with our best-in-class range of Lightning-Link® conjugation kits.
Anti-Mitochondria antibody [113-1] - BSA and Azide free (ab92824) specifically detects mitochondria and is sold in 100 µL selling sizes.

Quality and Validation
Antibody clone 113-1 has been cited over 87 times in peer reviewed journals and is trusted by the scientific community.
Anti-Mitochondria antibody [113-1] - BSA and Azide free (ab92824) has 9 independent reviews from customers.

This antibody is an excellent marker for Human cells in xenographic model research.

Properties and storage information

Form
Liquid
Purification technique
Affinity purification Protein A
Storage buffer
Constituents: PBS
Shipped at conditions
Blue Ice
Appropriate short-term storage conditions
+4°C
Appropriate long-term storage conditions
-20°C
Storage information
Stable for 12 months at -20°C

Product protocols

For this product, it's our understanding that no specific protocols are required. You can visit:

Publications (116)

Recent publications for all applications. Explore the full list and refine your search

Regenerative biomaterials 12:rbaf090 PubMed40979828

2025

Plasma-derived mitochondrial transplantation attenuates paraspinal muscle atrophy following spinal surgery.

Applications

Unspecified application

Species

Unspecified reactive species

Ikhyun Lim,Seong-Hoon Kim,Mi Jin Kim,Chang-Koo Yun,Kyunghoon Min,Yong-Soo Choi

Nature communications 16:6308 PubMed40628771

2025

Tetrandrine regulates NAADP-mediated calcium signaling through a LIMP-2-dependent and sphingosine-mediated mechanism.

Applications

Unspecified application

Species

Unspecified reactive species

Wing-Cheung Chan,Qian Zhao,Koon Ho Wong,Hok-Him Tang,Daniel Kam-Wah Mok,Lakhansing Pardeshi,Ye Chun Ruan,Yang Yang,Chi-Ming Wong,Clarence T T Wong,Yong-Juan Zhao,Ka Ying Chan,Zengsheng Yin,Howard Ho-Wai Leung,Xiyang Ma,Mary P Chau,Franco King-Chi Leung,Ying-Ying Lui,Shannon Wing-Ngor Au,Kailei Sun,Chin Yu Mok,Fang Wang,Cong Ma,Yu-Hin Ho,Xiang-Yang Ye,Man Lung Yeung,Yajing Zhang,Yan Xiang Zhao,Jiang Liu,Ka-Hing Wong,Larry M C Chow,Xiang David Li,Gary M Tse,Man-Kin Wong,Xiao Shen,Pauline Chiu,Ben C B Ko

Nature communications 16:4602 PubMed40382323

2025

ANP32E drives vulnerability to ATR inhibitors by inducing R-loops-dependent transcription replication conflicts in triple negative breast cancer.

Applications

Unspecified application

Species

Unspecified reactive species

Sara Lago,Vittoria Poli,Lisa Fol,Mattia Botteon,Federica Busi,Alice Turdo,Miriam Gaggianesi,Yari Ciani,Giacomo D'Amato,Luca Fagnocchi,Alessandra Fasciani,Francesca Demichelis,Matilde Todaro,Alessio Zippo

Cell reports 44:115603 PubMed40305287

2025

Functional characterization of the ATOH1 molecular subtype indicates a pro-metastatic role in small cell lung cancer.

Applications

Unspecified application

Species

Unspecified reactive species

Alessia Catozzi,Maria Peiris Pagès,Sam Humphrey,Mitchell Revill,Derrick Morgan,Jordan Roebuck,Yitao Chen,Bethan Davies-Williams,Kevin Brennan,A S Md Mukarram Hossain,Vsevolod J Makeev,Karishma Satia,Pagona P Sfyri,Melanie Galvin,Darryl Coles,Alice Lallo,Simon P Pearce,Alastair Kerr,Lynsey Priest,Victoria Foy,Mathew Carter,Rebecca Caeser,Joseph M Chan,Charles M Rudin,Fiona Blackhall,Kristopher K Frese,Caroline Dive,Kathryn L Simpson

Frontiers in cell and developmental biology 13:1527557 PubMed40162096

2025

Unraveling the impact of human cerebrospinal fluid on human neural stem cell fate.

Applications

Unspecified application

Species

Unspecified reactive species

Klaudia Radoszkiewicz,Aleksandra Bzinkowska,Monika Sypecka,Dorota Sulejczak,Daniela Ferrari,Maurizio Gelati,Angelo Luigi Vescovi,Anna Sarnowska

The Journal of biological chemistry 301:108380 PubMed40049415

2025

Dentin sialoprotein promotes endothelial differentiation of dental pulp stem cells through DSP-endoglin-AKT1 axis.

Applications

Unspecified application

Species

Unspecified reactive species

Ximin Xu,Jing Fu,Guobin Yang,Zhi Chen,Shuo Chen,Guohua Yuan

Nature cell biology 27:438-448 PubMed39984653

2025

Blebbisomes are large, organelle-rich extracellular vesicles with cell-like properties.

Applications

Unspecified application

Species

Unspecified reactive species

Dennis K Jeppesen,Zachary C Sanchez,Noah M Kelley,James B Hayes,Jessica Ambroise,Emma N Koory,Evan Krystofiak,Nilay Taneja,Qin Zhang,Matthew M Dungan,Olivia L Perkins,Matthew J Tyska,Ela W Knapik,Kevin M Dean,Amanda C Doran,Robert J Coffey,Dylan T Burnette

International journal of stem cells 18:158-172 PubMed39757007

2025

Mesenchymal Stem Cells Mediated Suppression of GREM2 Inhibits Renal Epithelial-Mesenchymal Transition and Attenuates the Progression of Diabetic Kidney Disease.

Applications

Unspecified application

Species

Unspecified reactive species

Myoung Seok Ko,Ji-Young Yun,Serin Kim,Mi-Ok Kim,Sang-Hyeok Go,Hye Jin Jin,Eun Hee Koh

Cell reports methods 4:100897 PubMed39515335

2024

Generation of self-renewing neuromesodermal progenitors with neuronal and skeletal muscle bipotential from human embryonic stem cells.

Applications

Unspecified application

Species

Unspecified reactive species

Pingxin Sun,Yuan Yuan,Zhuman Lv,Xinlu Yu,Haoxin Ma,Shulong Liang,Jiqianzhu Zhang,Jiangbo Zhu,Junyu Lu,Chunyan Wang,Le Huan,Caixia Jin,Chao Wang,Wenlin Li

Stem cell research & therapy 15:412 PubMed39523354

2024

Pretreatment with growth differentiation factor 15 augments cardioprotection by mesenchymal stem cells in myocardial infarction by improving their survival.

Applications

Unspecified application

Species

Unspecified reactive species

Xinran Huang,Xiaoting Liang,Qian Han,Ying Shen,Jiaqi Chen,Ziqi Li,Jie Qiu,Xiaoyan Gao,Yimei Hong,Fang Lin,Weifeng Li,Xin Li,Yuelin Zhang
View all publications

Product promise

We are committed to supporting your work with high-quality reagents, and we're here for you every step of the way. In the unlikely event that one of our products does not perform as expected, you're protected by our Product Promise.
For full details, please see our Terms & Conditions

Please note: All products are 'FOR RESEARCH USE ONLY. NOT FOR USE IN DIAGNOSTIC OR THERAPEUTIC PROCEDURES'.

For licensing inquiries, please contact partnerships@abcam.com