JavaScript is disabled in your browser. Please enable JavaScript to view this website.
AB215892

Anti-Mitochondria antibody [AE-1]

Be the first to review this product! Submit a review

|

(1 Publication)

Mouse Monoclonal Human Mitochondria antibody. Suitable for ICC, WB, IHC-P and reacts with Human samples. Cited in 1 publication. Immunogen corresponding to Cell preparation containing Human Mitochondria protein.
6 Images
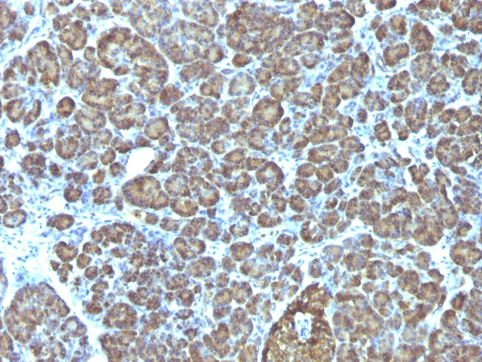
Immunohistochemistry (Formalin/PFA-fixed paraffin-embedded sections) - Anti-Mitochondria antibody [AE-1] (AB215892)
  • IHC-P

Supplier Data

Immunohistochemistry (Formalin/PFA-fixed paraffin-embedded sections) - Anti-Mitochondria antibody [AE-1] (AB215892)

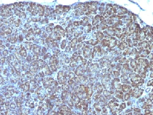
Immunohistochemical analysis of formalin-fixed, paraffin-embedded Human pancreas tissue labeling Mitochondria with ab215892 at 1μg/ml.

Immunohistochemistry (Formalin/PFA-fixed paraffin-embedded sections) - Anti-Mitochondria antibody [AE-1] (AB215892)
  • IHC-P

Supplier Data

Immunohistochemistry (Formalin/PFA-fixed paraffin-embedded sections) - Anti-Mitochondria antibody [AE-1] (AB215892)

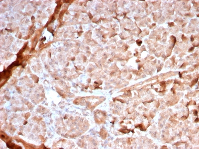
Immunohistochemistry (Formalin/PFA-fixed paraffin-embedded sections) analysis of human pancreas tissue labelling mitochondria with ab215892 at 2μg/ml dilution. Heat mediated antigen retrieval performed with tris/EDTA buffer pH 9 before commencing with IHC staining protocol.

Western blot - Anti-Mitochondria antibody [AE-1] (AB215892)
  • WB

Supplier Data

Western blot - Anti-Mitochondria antibody [AE-1] (AB215892)

All lanes:

Western blot - Anti-Mitochondria antibody [AE-1] (ab215892) at 0.5 µg/mL

All lanes:

HeLa cells (human epithelial cell line from cervix adenocarcinoma)

false

Immunohistochemistry (Formalin/PFA-fixed paraffin-embedded sections) - Anti-Mitochondria antibody [AE-1] (AB215892)
  • IHC-P

Unknown

Immunohistochemistry (Formalin/PFA-fixed paraffin-embedded sections) - Anti-Mitochondria antibody [AE-1] (AB215892)

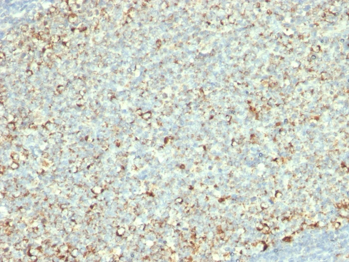
Immunohistochemical analysis of formalin-fixed, paraffin-embedded Human tonsil tissue labeling Mitochondria with ab215892 at 1μg/ml.

Immunohistochemistry (Formalin/PFA-fixed paraffin-embedded sections) - Anti-Mitochondria antibody [AE-1] (AB215892)
  • IHC-P

Supplier Data

Immunohistochemistry (Formalin/PFA-fixed paraffin-embedded sections) - Anti-Mitochondria antibody [AE-1] (AB215892)

Immunohistochemistry (Formalin/PFA-fixed paraffin-embedded sections) analysis of human tonsil tissue labelling mitochondria with ab215892 at 2μg/ml dilution. Heat mediated antigen retrieval performed with tris/EDTA buffer pH 9 before commencing with IHC staining protocol.

Immunocytochemistry - Anti-Mitochondria antibody [AE-1] (AB215892)
  • ICC

Supplier Data

Immunocytochemistry - Anti-Mitochondria antibody [AE-1] (AB215892)

Immunocytochemistry confocal immunoflourescence of HeLa cells (human epithelial cell line from cervix adenocarcinoma) stained with ab215892 2μg/ml in green, and nuclear counter staining in RedDot red.

Key facts

Host species

Mouse

Clonality

Monoclonal

Clone number

AE-1

Isotype

IgG1

Light chain type

kappa

Carrier free

No

Reacts with

Human

Applications

WB, ICC, IHC-P

applications

Immunogen

The exact immunogen used to generate this antibody is proprietary information.

Reactivity data

{ "title": "Reactivity Data", "filters": { "stats": ["", "Species", "Dilution Info", "Notes"], "tabs": { "all-applications": {"fullname" : "All Applications", "shortname": "All Applications"}, "ICC" : {"fullname" : "Immunocytochemistry", "shortname":"ICC"}, "WB" : {"fullname" : "Western blot", "shortname":"WB"}, "IHCP" : {"fullname" : "Immunohistochemistry (Formalin/PFA-fixed paraffin-embedded sections)", "shortname":"IHC-P"} }, "product-promise": { "all": "all", "testedAndGuaranteed": "tested", "guaranteed": "expected", "predicted": "predicted", "notRecommended": "not-recommended" } }, "values": { "Human": { "ICC-species-checked": "testedAndGuaranteed", "ICC-species-dilution-info": "0.5-1 µg/mL", "ICC-species-notes": "<p></p>", "WB-species-checked": "testedAndGuaranteed", "WB-species-dilution-info": "0.25-0.5 µg/mL", "WB-species-notes": "<p></p>", "IHCP-species-checked": "testedAndGuaranteed", "IHCP-species-dilution-info": "0.5-1 µg/mL", "IHCP-species-notes": "<p></p> Perform heat-mediated antigen retrieval with Tris/EDTA buffer pH 9.0 before commencing with IHC staining protocol." }, "Mouse": { "ICC-species-checked": "notRecommended", "ICC-species-dilution-info": "0.5-1 µg/mL", "ICC-species-notes": "<p></p>", "WB-species-checked": "notRecommended", "WB-species-dilution-info": "0.25-0.5 µg/mL", "WB-species-notes": "<p></p>", "IHCP-species-checked": "notRecommended", "IHCP-species-dilution-info": "0.5-1 µg/mL", "IHCP-species-notes": "<p></p> Perform heat-mediated antigen retrieval with Tris/EDTA buffer pH 9.0 before commencing with IHC staining protocol." }, "Rat": { "ICC-species-checked": "notRecommended", "ICC-species-dilution-info": "0.5-1 µg/mL", "ICC-species-notes": "<p></p>", "WB-species-checked": "notRecommended", "WB-species-dilution-info": "0.25-0.5 µg/mL", "WB-species-notes": "<p></p>", "IHCP-species-checked": "notRecommended", "IHCP-species-dilution-info": "0.5-1 µg/mL", "IHCP-species-notes": "<p></p> Perform heat-mediated antigen retrieval with Tris/EDTA buffer pH 9.0 before commencing with IHC staining protocol." } } }

Properties and storage information

Form
Liquid
Purification technique
Affinity purification Protein A/G
Purification notes
ab215892 is purified from Bioreactor Concentrate by Protein A/G.
Storage buffer
pH: 7.2 - 7.4 Preservative: 0.05% Sodium azide Constituents: 99% PBS, 0.05% BSA
Shipped at conditions
Blue Ice
Appropriate short-term storage duration
1-2 weeks
Appropriate short-term storage conditions
+4°C
Appropriate long-term storage conditions
-20°C
Aliquoting information
Upon delivery aliquot
Storage information
Avoid freeze / thaw cycle

Product protocols

For this product, it's our understanding that no specific protocols are required. You can visit:

Publications (1)

Recent publications for all applications. Explore the full list and refine your search

Diagnostics (Basel, Switzerland) 12: PubMed35204378

2022

Clinicopathological Significance of Exosomal Proteins CD9 and CD63 and DNA Mismatch Repair Proteins in Prostate Adenocarcinoma and Benign Hyperplasia.

Applications

Unspecified application

Species

Unspecified reactive species

Kristofs Folkmanis,Elizabete Junk,Evelina Merdane,Inese Folkmane,Valdis Folkmanis,Igors Ivanovs,Janis Eglitis,Maris Jakubovskis,Sven Laabs,Sergejs Isajevs,Vilnis Lietuvietis
View all publications

Product promise

We are committed to supporting your work with high-quality reagents, and we're here for you every step of the way. In the unlikely event that one of our products does not perform as expected, you're protected by our Product Promise.
For full details, please see our Terms & Conditions

Please note: All products are 'FOR RESEARCH USE ONLY. NOT FOR USE IN DIAGNOSTIC OR THERAPEUTIC PROCEDURES'.

For licensing inquiries, please contact partnerships@abcam.com