JavaScript is disabled in your browser. Please enable JavaScript to view this website.
AB124889

Anti-Mitochondrial Ferritin antibody [EPR1797]

  • BOND RX™ Validated
  • RabMAb
  • Recombinant
  • 20ul selling size
  • What is this?

4

(1 Review)

|

(5 Publications)

Rabbit Recombinant Monoclonal Mitochondrial Ferritin antibody. Suitable for WB, IHC-P and reacts with Human samples. Cited in 5 publications.

View Alternative Names

FTMT

5 Images
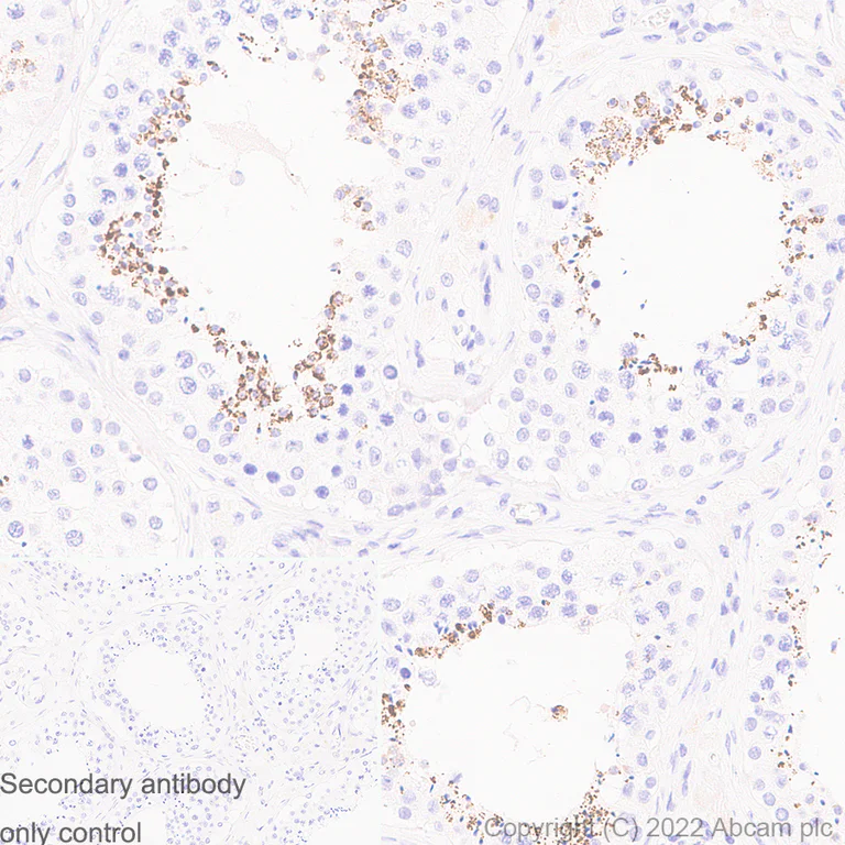
Immunohistochemistry (Formalin/PFA-fixed paraffin-embedded sections) - Anti-Mitochondrial Ferritin antibody [EPR1797] (AB124889)
  • IHC-P

Lab

Immunohistochemistry (Formalin/PFA-fixed paraffin-embedded sections) - Anti-Mitochondrial Ferritin antibody [EPR1797] (AB124889)

Immunohistochemical analysis of paraffin-embedded Human testis tissue labeling Mitochondrial Ferritin with ab124889 at 1/5000 dilution (0.03 μg/ml) followed by a ready to use LeicaDS9800 (Bond™ Polymer Refine Detection) was used. The section was counterstained with Hematoxylin. Secondary antibody only control : Secondary antibody is a ready to use LeicaDS9800 (Bond™ Polymer Refine Detection). Heat mediated antigen retrieval was performed with Tris-EDTA buffer (pH 9.0, Epitope Retrieval Solution2) for 20 mins. Positve staining on the human testis. The section was incubated with ab124889 for 30 mins at room temperature. The immunostaining was performed on a Leica Biosystems BOND® RX instrument.

Western blot - Anti-Mitochondrial Ferritin antibody [EPR1797] (AB124889)
  • WB

Lab

Western blot - Anti-Mitochondrial Ferritin antibody [EPR1797] (AB124889)

Blocking and diluting buffer and concentration : 5% NFDM/TBST. Negative control : human cerebellum. In Western blot, anti-Anti-beta Tubulin antibody (ab52901) staining at 1/20000 dilution.

All lanes:

Western blot - Anti-Mitochondrial Ferritin antibody [EPR1797] (ab124889) at 1/1000 dilution

Lane 1:

Human testis tissue lysate at 20 µg

Lane 2:

Human cerebellum tissue lysate at 20 µg

Secondary

All lanes:

Goat Anti-Rabbit IgG (HRP) with minimal cross-reactivity with human IgG at 1/2000 dilution

Predicted band size: 28 kDa

Observed band size: 21 kDa

false

Exposure time: 180s

Immunohistochemistry (Formalin/PFA-fixed paraffin-embedded sections) - Anti-Mitochondrial Ferritin antibody [EPR1797] (AB124889)
  • IHC-P

Lab

Immunohistochemistry (Formalin/PFA-fixed paraffin-embedded sections) - Anti-Mitochondrial Ferritin antibody [EPR1797] (AB124889)

Immunohistochemical analysis of paraffin-embedded Human cerebrum tissue labeling Mitochondrial Ferritin with ab124889 at 1/5000 dilution (0.03 μg/ml) followed by a ready to use LeicaDS9800 (Bond™ Polymer Refine Detection) was used. The section was counterstained with Hematoxylin. Secondary antibody only control : Secondary antibody is a ready to use LeicaDS9800 (Bond™ Polymer Refine Detection). Heat mediated antigen retrieval was performed with Tris-EDTA buffer (pH 9.0, Epitope Retrieval Solution2) for 20 mins. Negative control : no staining on the human cerebrum. The section was incubated with ab124889 for 30 mins at room temperature. The immunostaining was performed on a Leica Biosystems BOND® RX instrument.

Western blot - Anti-Mitochondrial Ferritin antibody [EPR1797] (AB124889)
  • WB

Unknown

Western blot - Anti-Mitochondrial Ferritin antibody [EPR1797] (AB124889)

All lanes:

Western blot - Anti-Mitochondrial Ferritin antibody [EPR1797] (ab124889) at 1/1000 dilution

All lanes:

Human Testis lysate at 10 µg

Secondary

All lanes:

Goat anti-Rabbit HRP at 1/2000 dilution

Predicted band size: 28 kDa

false

OI-RD Scanning - Anti-Mitochondrial Ferritin antibody [EPR1797] (AB124889)
  • OI-RD Scanning

Unknown

OI-RD Scanning - Anti-Mitochondrial Ferritin antibody [EPR1797] (AB124889)

We have systematically measured KD (the equilibrium dissociation constant between the antibody and its antigen), of more than 840 recombinant antibodies to assess not only their individual KD values but also to see the average affinity of antibody. Based on the comparison with published literature values for mouse monoclonal antibodies, Recombinant antibodies appear to be on average 1-2 order of magnitude higher affinity.

  • Carrier free

    Anti-Mitochondrial Ferritin antibody [EPR1797] - BSA and Azide free

Key facts

Host species

Rabbit

Clonality

Monoclonal

Clone number

EPR1797

Isotype

IgG

Carrier free

No

Reacts with

Human

Applications

IHC-P, WB

applications

Immunogen

The exact immunogen used to generate this antibody is proprietary information.

Reactivity data

{ "title": "Reactivity Data", "filters": { "stats": ["", "Species", "Dilution Info", "Notes"], "tabs": { "all-applications": {"fullname" : "All Applications", "shortname": "All Applications"}, "IP" : {"fullname" : "Immunoprecipitation", "shortname":"IP"}, "WB" : {"fullname" : "Western blot", "shortname":"WB"}, "IHCP" : {"fullname" : "Immunohistochemistry (Formalin/PFA-fixed paraffin-embedded sections)", "shortname":"IHC-P"} }, "product-promise": { "all": "all", "testedAndGuaranteed": "tested", "guaranteed": "expected", "predicted": "predicted", "notRecommended": "not-recommended" } }, "values": { "Human": { "IP-species-checked": "notRecommended", "IP-species-dilution-info": "", "IP-species-notes": "<p></p>", "WB-species-checked": "testedAndGuaranteed", "WB-species-dilution-info": "1/1000 - 1/10000", "WB-species-notes": "<p></p>", "IHCP-species-checked": "testedAndGuaranteed", "IHCP-species-dilution-info": "", "IHCP-species-notes": "<p></p> Perform heat-mediated antigen retrieval with Tris/EDTA buffer pH 9.0 before commencing with IHC staining protocol." } } }

Product details

Species reactivity
Mouse, Rat: We have preliminary internal testing data to indicate this antibody may not react with these species.
Please contact us for more information.

Patented technology
Our RabMAb® technology is a patented hybridoma-based technology for making rabbit monoclonal antibodies. For details on our patents, please refer to RabMAb® patents.

What are the advantages of a recombinant monoclonal antibody?
This product is a recombinant monoclonal antibody, which offers several advantages including:

  • - High batch-to-batch consistency and reproducibility
  • - Improved sensitivity and specificity
  • - Long-term security of supply
  • - Animal-free batch production

For more information, read more on recombinant antibodies.

Properties and storage information

Form
Liquid
Purification technique
Affinity purification Protein A
Storage buffer
pH: 7.2 - 7.4 Preservative: 0.05% Sodium azide Constituents: 50% Tissue culture supernatant, 40% Glycerol (glycerin, glycerine), 9.85% Tris glycine, 0.1% BSA
Shipped at conditions
Blue Ice
Appropriate short-term storage conditions
+4°C
Appropriate long-term storage conditions
-20°C
Storage information
Stable for 12 months at -20°C

Supplementary information

This supplementary information is collated from multiple sources and compiled automatically.

Mitochondrial ferritin also known as ferritin 23 and abbreviated as FtMt is a protein that is part of the ferritin family. This mitochondrial protein displays a distinct structure with a molecular mass of approximately 150 kDa. It predominantly localizes in the mitochondria of cells where it serves an important role in iron storage. Unlike cytosolic ferritin which consists of H and L subunits mitochondrial ferritin arises as a homopolymer composed of 24 identical subunits. It is considered essential for maintaining mitochondrial iron homeostasis.
Biological function summary

Mitochondrial ferritin contributes to iron storage within mitochondria safeguarding cells from iron-mediated oxidative stress. It operates independently and does not incorporate into larger complexes like cytosolic ferritin does. Mitochondrial ferritin sequesters iron in a mineral form reducing the production of reactive oxygen species (ROS) that can damage cellular components. Its expression is particularly high in iron-rich tissues such as the testis and neurons suggesting a significance in tissues with active iron metabolism.

Pathways

Mitochondrial ferritin participates in iron metabolism and oxidative stress response. It affects the interaction with proteins like cytosolic ferritin and the transferrin receptor which are components of iron homeostasis pathways. Mitochondrial ferritin serves as a protective element by regulating iron storage within the mitochondria linking it to pathways that modulate oxidative stress. This interplay maintains cellular iron levels and prevents toxicity.

Mitochondrial ferritin's imbalance associates with neurodegenerative diseases and anemia. Neurodegenerative conditions such as Friedreich's ataxia reveal alterations in iron homeostasis where mitochondrial ferritin's role becomes apparent due to its protective function against mitochondrial damage. In anemia abnormal iron management results in either iron overload or deficiency where ferritin and transferrin receptor also play important roles. Understanding mitochondrial ferritin's function helps elucidate its contributions to the pathology of these conditions.

Product protocols

For this product, it's our understanding that no specific protocols are required. You can visit:

Target data

Catalyzes the oxidation of ferrous iron(II) to ferric iron(III) and stores iron in a soluble, non-toxic, readily available form (PubMed : 11323407, PubMed : 15201052). Important for iron homeostasis (PubMed : 11323407, PubMed : 15201052). Iron is taken up in the ferrous form and deposited as ferric hydroxides after oxidation (PubMed : 11323407, PubMed : 15201052).
See full target information FTMT

Publications (5)

Recent publications for all applications. Explore the full list and refine your search

Cancers 15: PubMed36831642

2023

Ferroptosis Inducers Kill Mesenchymal Stem Cells Affected by Neuroblastoma.

Applications

Unspecified application

Species

Unspecified reactive species

Xiangze Li,Qi Wang,Chencheng Xu,Lei Zhang,Jiquan Zhou,Jingchun Lv,Min Xu,Dapeng Jiang

Genes 13: PubMed36553567

2022

Pantothenate and L-Carnitine Supplementation Improves Pathological Alterations in Cellular Models of KAT6A Syndrome.

Applications

Unspecified application

Species

Unspecified reactive species

Manuel Munuera-Cabeza,Mónica Álvarez-Córdoba,Juan M Suárez-Rivero,Suleva Povea-Cabello,Irene Villalón-García,Marta Talaverón-Rey,Alejandra Suárez-Carrillo,Diana Reche-López,Paula Cilleros-Holgado,Rocío Piñero-Pérez,José A Sánchez-Alcázar

Cell proliferation 51:e12474 PubMed30069985

2018

Roflumilast enhances cisplatin-sensitivity and reverses cisplatin-resistance of ovarian cancer cells via cAMP/PKA/CREB-FtMt signalling axis.

Applications

Unspecified application

Species

Unspecified reactive species

Shipeng Gong,Yongning Chen,Fanliang Meng,Yadi Zhang,Chanyuan Li,Guangping Zhang,Wu Huan,Fei Wu

Oncotarget 8:112341-112353 PubMed29348829

2017

Roflumilast restores cAMP/PKA/CREB signaling axis for FtMt-mediated tumor inhibition of ovarian cancer.

Applications

Unspecified application

Species

Unspecified reactive species

Shipeng Gong,Yongning Chen,Fanliang Meng,Yadi Zhang,Huan Wu,Fei Wu

Cellular and molecular life sciences : CMLS 72:983-97 PubMed25213357

2014

Mitochondrial ferritin, a new target for inhibiting neuronal tumor cell proliferation.

Applications

WB

Species

Unspecified reactive species

Zhen-Hua Shi,Fang-Fang Shi,Yue-Qi Wang,Alex D Sheftel,Guangjun Nie,Ya-Shuo Zhao,Lin-Hao You,Yu-Jing Gou,Xiang-Lin Duan,Bao-Lu Zhao,Hong-Meng Xu,Chun-Yan Li,Yan-Zhong Chang
View all publications

Product promise

We are committed to supporting your work with high-quality reagents, and we're here for you every step of the way. In the unlikely event that one of our products does not perform as expected, you're protected by our Product Promise.
For full details, please see our Terms & Conditions

Please note: All products are 'FOR RESEARCH USE ONLY. NOT FOR USE IN DIAGNOSTIC OR THERAPEUTIC PROCEDURES'.

For licensing inquiries, please contact partnerships@abcam.com