JavaScript is disabled in your browser. Please enable JavaScript to view this website.
AB248043

Anti-Mitochondrial Ferritin antibody [EPR1797] - BSA and Azide free

Be the first to review this product! Submit a review

|

(0 Publication)

Rabbit Recombinant Monoclonal Mitochondrial Ferritin antibody. Carrier free. Suitable for WB, IHC-P and reacts with Human samples.

View Alternative Names

FTMT

5 Images
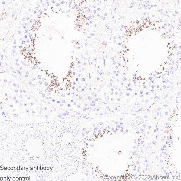
Immunohistochemistry (Formalin/PFA-fixed paraffin-embedded sections) - Anti-Mitochondrial Ferritin antibody [EPR1797] - BSA and Azide free (AB248043)
  • IHC-P

Lab

Immunohistochemistry (Formalin/PFA-fixed paraffin-embedded sections) - Anti-Mitochondrial Ferritin antibody [EPR1797] - BSA and Azide free (AB248043)

This data was developed using ab124889, the same antibody clone in a different buffer formulation. Immunohistochemical analysis of paraffin-embedded Human testis tissue labeling Mitochondrial Ferritin with ab124889 at 1/5000 dilution (0.03 μg/ml) followed by a ready to use LeicaDS9800 (Bond™ Polymer Refine Detection) was used. The section was counterstained with Hematoxylin. Secondary antibody only control : Secondary antibody is a ready to use LeicaDS9800 (Bond™ Polymer Refine Detection). Heat mediated antigen retrieval was performed with Tris-EDTA buffer (pH 9.0, Epitope Retrieval Solution2) for 20 mins. Positve staining on the human testis. The section was incubated with ab124889 for 30 mins at room temperature. The immunostaining was performed on a Leica Biosystems BOND® RX instrument.

Western blot - Anti-Mitochondrial Ferritin antibody [EPR1797] - BSA and Azide free (AB248043)
  • WB

Lab

Western blot - Anti-Mitochondrial Ferritin antibody [EPR1797] - BSA and Azide free (AB248043)

This data was developed using ab124889, the same antibody clone in a different buffer formulation. Blocking and diluting buffer and concentration : 5% NFDM/TBST. Negative control : human cerebellum. In Western blot, anti-Anti-beta Tubulin antibody (ab52901) staining at 1/20000 dilution.

All lanes:

Western blot - Anti-Mitochondrial Ferritin antibody [EPR1797] (<a href='/en-us/products/primary-antibodies/mitochondrial-ferritin-antibody-epr1797-ab124889'>ab124889</a>) at 1/1000 dilution

Lane 1:

Human testis tissue lysate at 20 µg

Lane 2:

Human cerebellum tissue lysate at 20 µg

Secondary

All lanes:

Goat Anti-Rabbit IgG (HRP) with minimal cross-reactivity with human IgG at 1/2000 dilution

Predicted band size: 28 kDa

Observed band size: 21 kDa

false

Exposure time: 180s

Immunohistochemistry (Formalin/PFA-fixed paraffin-embedded sections) - Anti-Mitochondrial Ferritin antibody [EPR1797] - BSA and Azide free (AB248043)
  • IHC-P

Lab

Immunohistochemistry (Formalin/PFA-fixed paraffin-embedded sections) - Anti-Mitochondrial Ferritin antibody [EPR1797] - BSA and Azide free (AB248043)

This data was developed using ab124889, the same antibody clone in a different buffer formulation. Immunohistochemical analysis of paraffin-embedded Human cerebrum tissue labeling Mitochondrial Ferritin with ab124889 at 1/5000 dilution (0.03 μg/ml) followed by a ready to use LeicaDS9800 (Bond™ Polymer Refine Detection) was used. The section was counterstained with Hematoxylin. Secondary antibody only control : Secondary antibody is a ready to use LeicaDS9800 (Bond™ Polymer Refine Detection). Heat mediated antigen retrieval was performed with Tris-EDTA buffer (pH 9.0, Epitope Retrieval Solution2) for 20 mins. Negative control : no staining on the human cerebrum. The section was incubated with ab124889 for 30 mins at room temperature. The immunostaining was performed on a Leica Biosystems BOND® RX instrument.

Western blot - Anti-Mitochondrial Ferritin antibody [EPR1797] - BSA and Azide free (AB248043)
  • WB

Unknown

Western blot - Anti-Mitochondrial Ferritin antibody [EPR1797] - BSA and Azide free (AB248043)

This data was developed using ab124889, the same antibody clone in a different buffer formulation.

All lanes:

Western blot - Anti-Mitochondrial Ferritin antibody [EPR1797] (<a href='/en-us/products/primary-antibodies/mitochondrial-ferritin-antibody-epr1797-ab124889'>ab124889</a>) at 1/1000 dilution

All lanes:

Human Testis lysate at 10 µg

Secondary

All lanes:

Goat anti-Rabbit HRP at 1/2000 dilution

Predicted band size: 28 kDa

false

OI-RD Scanning - Anti-Mitochondrial Ferritin antibody [EPR1797] - BSA and Azide free (AB248043)
  • OI-RD Scanning

Unknown

OI-RD Scanning - Anti-Mitochondrial Ferritin antibody [EPR1797] - BSA and Azide free (AB248043)

We have systematically measured KD (the equilibrium dissociation constant between the antibody and its antigen), of more than 840 recombinant antibodies to assess not only their individual KD values but also to see the average affinity of antibody. Based on the comparison with published literature values for mouse monoclonal antibodies, Recombinant antibodies appear to be on average 1-2 order of magnitude higher affinity.

  • Unconjugated

    Anti-Mitochondrial Ferritin antibody [EPR1797]

Key facts

Host species

Rabbit

Clonality

Monoclonal

Clone number

EPR1797

Isotype

IgG

Carrier free

Yes

Reacts with

Human

Applications

WB, IHC-P

applications

Immunogen

The exact immunogen used to generate this antibody is proprietary information.

Reactivity data

{ "title": "Reactivity Data", "filters": { "stats": ["", "Species", "Dilution Info", "Notes"], "tabs": { "all-applications": {"fullname" : "All Applications", "shortname": "All Applications"}, "IP" : {"fullname" : "Immunoprecipitation", "shortname":"IP"}, "WB" : {"fullname" : "Western blot", "shortname":"WB"}, "IHCP" : {"fullname" : "Immunohistochemistry (Formalin/PFA-fixed paraffin-embedded sections)", "shortname":"IHC-P"} }, "product-promise": { "all": "all", "testedAndGuaranteed": "tested", "guaranteed": "expected", "predicted": "predicted", "notRecommended": "not-recommended" } }, "values": { "Human": { "IP-species-checked": "notRecommended", "IP-species-dilution-info": "", "IP-species-notes": "<p></p>", "WB-species-checked": "testedAndGuaranteed", "WB-species-dilution-info": "", "WB-species-notes": "<p></p>", "IHCP-species-checked": "testedAndGuaranteed", "IHCP-species-dilution-info": "", "IHCP-species-notes": "<p></p>" } } }

You may be interested in:

AB83366

Iron Assay Kit (Colorimetric)

4

3 Reviews

View product

We recommend this product because it’s often used in the same experiment or related research.

We advise that you always check the datasheet to ensure it fits your experiments, or contact ourtechnical teamfor help.

Product details

ab248043 is the carrier-free version of ab124889.

Species reactivity
Mouse, Rat: We have preliminary internal testing data to indicate this antibody may not react with these species.
Please contact us for more information.

Patented technology
Our RabMAb® technology is a patented hybridoma-based technology for making rabbit monoclonal antibodies. For details on our patents, please refer to RabMAb® patents.

What are the advantages of a recombinant monoclonal antibody?
This product is a recombinant monoclonal antibody, which offers several advantages including:

  • - High batch-to-batch consistency and reproducibility
  • - Improved sensitivity and specificity
  • - Long-term security of supply
  • - Animal-free batch production

For more information, read more on recombinant antibodies.

Conjugation ready
Our carrier-free antibodies are typically supplied in a PBS-only formulation, purified and free of BSA, sodium azide and glycerol. This conjugation-ready format is designed for use with fluorochromes, metal isotopes, oligonucleotides, and enzymes, which makes them ideal for antibody labelling, functional and cell-based assays, flow-based assays (e.g. mass cytometry) and Multiplex Imaging applications.

Use our conjugation kits for antibody conjugates that are ready-to-use in as little as 20 minutes with 1 minute hands-on-time and 100% antibody recovery: available for fluorescent dyes, HRP, biotin and gold.

Compatibility
This product is compatible with the Maxpar® Antibody Labeling Kit from Fluidigm, without the need for antibody preparation. Maxpar® is a trademark of Fluidigm Canada Inc.

Properties and storage information

Form
Liquid
Purification technique
Affinity purification Protein A
Storage buffer
pH: 7.2 - 7.4 Constituents: PBS
Shipped at conditions
Blue Ice
Appropriate short-term storage conditions
+4°C
Appropriate long-term storage conditions
+4°C
Storage information
Do Not Freeze

Supplementary information

This supplementary information is collated from multiple sources and compiled automatically.

Mitochondrial ferritin also known as ferritin 23 and abbreviated as FtMt is a protein that is part of the ferritin family. This mitochondrial protein displays a distinct structure with a molecular mass of approximately 150 kDa. It predominantly localizes in the mitochondria of cells where it serves an important role in iron storage. Unlike cytosolic ferritin which consists of H and L subunits mitochondrial ferritin arises as a homopolymer composed of 24 identical subunits. It is considered essential for maintaining mitochondrial iron homeostasis.
Biological function summary

Mitochondrial ferritin contributes to iron storage within mitochondria safeguarding cells from iron-mediated oxidative stress. It operates independently and does not incorporate into larger complexes like cytosolic ferritin does. Mitochondrial ferritin sequesters iron in a mineral form reducing the production of reactive oxygen species (ROS) that can damage cellular components. Its expression is particularly high in iron-rich tissues such as the testis and neurons suggesting a significance in tissues with active iron metabolism.

Pathways

Mitochondrial ferritin participates in iron metabolism and oxidative stress response. It affects the interaction with proteins like cytosolic ferritin and the transferrin receptor which are components of iron homeostasis pathways. Mitochondrial ferritin serves as a protective element by regulating iron storage within the mitochondria linking it to pathways that modulate oxidative stress. This interplay maintains cellular iron levels and prevents toxicity.

Mitochondrial ferritin's imbalance associates with neurodegenerative diseases and anemia. Neurodegenerative conditions such as Friedreich's ataxia reveal alterations in iron homeostasis where mitochondrial ferritin's role becomes apparent due to its protective function against mitochondrial damage. In anemia abnormal iron management results in either iron overload or deficiency where ferritin and transferrin receptor also play important roles. Understanding mitochondrial ferritin's function helps elucidate its contributions to the pathology of these conditions.

Product protocols

For this product, it's our understanding that no specific protocols are required. You can visit:

Target data

Catalyzes the oxidation of ferrous iron(II) to ferric iron(III) and stores iron in a soluble, non-toxic, readily available form (PubMed : 11323407, PubMed : 15201052). Important for iron homeostasis (PubMed : 11323407, PubMed : 15201052). Iron is taken up in the ferrous form and deposited as ferric hydroxides after oxidation (PubMed : 11323407, PubMed : 15201052).
See full target information FTMT

Product promise

We are committed to supporting your work with high-quality reagents, and we're here for you every step of the way. In the unlikely event that one of our products does not perform as expected, you're protected by our Product Promise.
For full details, please see our Terms & Conditions

Please note: All products are 'FOR RESEARCH USE ONLY. NOT FOR USE IN DIAGNOSTIC OR THERAPEUTIC PROCEDURES'.

For licensing inquiries, please contact partnerships@abcam.com