JavaScript is disabled in your browser. Please enable JavaScript to view this website.
AB133789

Anti-Mitochondrial ribosomal protein L11 antibody [EPR9111(B)]

Be the first to review this product! Submit a review

|

(1 Publication)

Rabbit Recombinant Monoclonal Mitochondrial ribosomal protein L11 antibody. Suitable for IHC-P, WB, ICC/IF, Flow Cyt (Intra) and reacts with Human samples. Cited in 1 publication.

View Alternative Names

CGI-113, MRPL11, Large ribosomal subunit protein uL11m, L11mt, MRP-L11

14 Images
Immunohistochemistry (Formalin/PFA-fixed paraffin-embedded sections) - Anti-Mitochondrial ribosomal protein L11 antibody [EPR9111(B)] (AB133789)
  • IHC-P

Unknown

Immunohistochemistry (Formalin/PFA-fixed paraffin-embedded sections) - Anti-Mitochondrial ribosomal protein L11 antibody [EPR9111(B)] (AB133789)

Immunohistochemical analysis of paraffin-embedded human colon tissue labelling Mitochondrial ribosomal protein L11 using ab133789 (unpurified) at 1/250 dilution

Heat mediated antigen retrieval was performed with citrate buffer pH 6 before commencing with IHC staining protocol.

Immunocytochemistry/ Immunofluorescence - Anti-Mitochondrial ribosomal protein L11 antibody [EPR9111(B)] (AB133789)
  • ICC/IF

Unknown

Immunocytochemistry/ Immunofluorescence - Anti-Mitochondrial ribosomal protein L11 antibody [EPR9111(B)] (AB133789)

Immunofluorescent staining of Mitochondrial ribosomal protein L11 in HEPG2 cells using ab133789 (unpurified) at 1/250 dilution

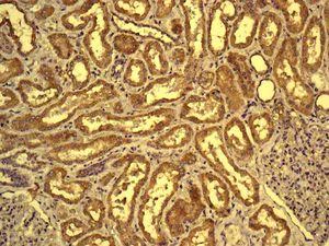
Immunohistochemistry (Formalin/PFA-fixed paraffin-embedded sections) - Anti-Mitochondrial ribosomal protein L11 antibody [EPR9111(B)] (AB133789)
  • IHC-P

Unknown

Immunohistochemistry (Formalin/PFA-fixed paraffin-embedded sections) - Anti-Mitochondrial ribosomal protein L11 antibody [EPR9111(B)] (AB133789)

Immunohistochemical analysis of paraffin-embedded human kidney tissue labelling Mitochondrial ribosomal protein L11 using ab133789 (unpurified) at 1/250 dilution

Heat mediated antigen retrieval was performed with citrate buffer pH 6 before commencing with IHC staining protocol.

Flow Cytometry (Intracellular) - Anti-Mitochondrial ribosomal protein L11 antibody [EPR9111(B)] (AB133789)
  • Flow Cyt (Intra)

Unknown

Flow Cytometry (Intracellular) - Anti-Mitochondrial ribosomal protein L11 antibody [EPR9111(B)] (AB133789)

Intracellular Flow Cytometry analysis of HepG2 (Human hepatocellular carcinoma epithelial cell) cells labeling Mitochondrial ribosomal protein L11 with purified ab133789 at 1/120 dilution (10 μg/ml) (red). Cells were fixed with 4% Paraformaldehyde and permeabilised with 90% Methanol. A Goat anti rabbit IgG (Alexa Fluor® 488, ab150077) secondary antibody was used at 1/2000. Isotype control - Rabbit monoclonal IgG (Black). Unlabeled control - Cell without incubation with primary antibody and secondary antibody (Blue).

Immunocytochemistry/ Immunofluorescence - Anti-Mitochondrial ribosomal protein L11 antibody [EPR9111(B)] (AB133789)
  • ICC/IF

Unknown

Immunocytochemistry/ Immunofluorescence - Anti-Mitochondrial ribosomal protein L11 antibody [EPR9111(B)] (AB133789)

Immunocytochemistry/ Immunofluorescence analysis of HepG2 (Human hepatocellular carcinoma epithelial cell) cells labeling Mitochondrial ribosomal protein L11 with purified ab133789 at 1 : 100 dilution (10 µg/ml). Cells were fixed in 4% Paraformaldehyde and permeabilized with 0.1% tritonX-100. Cells were counterstained with ab195889 Anti-alpha Tubulin antibody [DM1A] - Microtubule Marker (Alexa Fluor® 594) at 1 : 200 (2.5 µg/ml). Goat anti rabbit IgG (Alexa Fluor® 488, ab150077) was used as the secondary antibody at 1 : 1000 (2 µg/ml) dilution. DAPI (blue) was used as nuclear counterstain. PBS instead of the primary antibody was used as the secondary antibody only control.

Immunohistochemistry (Formalin/PFA-fixed paraffin-embedded sections) - Anti-Mitochondrial ribosomal protein L11 antibody [EPR9111(B)] (AB133789)
  • IHC-P

Unknown

Immunohistochemistry (Formalin/PFA-fixed paraffin-embedded sections) - Anti-Mitochondrial ribosomal protein L11 antibody [EPR9111(B)] (AB133789)

Immunohistochemistry (Formalin/PFA-fixed paraffin-embedded sections) analysis of Human kidney tissue sections labeling Mitochondrial ribosomal protein L11 with purified ab133789 at 1 : 200 dilution (6.2 μg/ml). Heat mediated antigen retrieval was performed using ab93684 (Tris/EDTA buffer, pH 9.0). ImmunoHistoProbe one step HRP Polymer (ready to use) was used as the secondary antibody. Negative control : PBS instead of the primary antibody. Hematoxylin was used as a counterstain.

Flow Cytometry (Intracellular) - Anti-Mitochondrial ribosomal protein L11 antibody [EPR9111(B)] (AB133789)
  • Flow Cyt (Intra)

Unknown

Flow Cytometry (Intracellular) - Anti-Mitochondrial ribosomal protein L11 antibody [EPR9111(B)] (AB133789)

Overlay histogram showing HepG2 cells stained with unpurified ab133789 (red line). The cells were fixed with 4% paraformaldehyde (10 min) and then permeabilized with 0.1% PBS-Tween for 20 min. The cells were then incubated in 1x PBS / 10% normal goat serum / 0.3M glycine to block non-specific protein-protein interactions followed by the antibody (ab133789, 1/1000 dilution) for 30 min at 22°C. The secondary antibody used was Alexa Fluor® 488 goat anti-rabbit IgG (H&L) (ab150077) at 1/2000 dilution for 30 min at 22°C. Isotype control antibody (black line) was rabbit IgG (monoclonal) (0.1μg/1x106 cells) used under the same conditions. Unlabelled sample (blue line) was also used as a control. Acquisition of >5,000 events were collected using a 20mW Argon ion laser (488nm) and 525/30 bandpass filter. This antibody gave a positive signal in HepG2 cells fixed with 80% methanol (5 min)/permeabilized with 0.1% PBS-Tween for 20 min used under the same conditions.

Western blot - Anti-Mitochondrial ribosomal protein L11 antibody [EPR9111(B)] (AB133789)
  • WB

Unknown

Western blot - Anti-Mitochondrial ribosomal protein L11 antibody [EPR9111(B)] (AB133789)

All lanes:

Western blot - Anti-Mitochondrial ribosomal protein L11 antibody [EPR9111(B)] (ab133789) at 1/1000 dilution

Lane 1:

HeLa cell lysate at 10 µg

Lane 2:

HepG2 cell lysate at 10 µg

Lane 3:

LNCaP cell lysate at 10 µg

Secondary

All lanes:

HRP-labelled Goat anti-Rabbit at 1/2000 dilution

Predicted band size: 21 kDa

false

Immunohistochemistry (Formalin/PFA-fixed paraffin-embedded sections) - Anti-Mitochondrial ribosomal protein L11 antibody [EPR9111(B)] (AB133789)
  • IHC-P

Unknown

Immunohistochemistry (Formalin/PFA-fixed paraffin-embedded sections) - Anti-Mitochondrial ribosomal protein L11 antibody [EPR9111(B)] (AB133789)

Immunohistochemical analysis using ab133789 (unpurified) showing positive staining in Normal heart tissue.

Heat mediated antigen retrieval was performed with citrate buffer pH 6 before commencing with IHC staining protocol.

Immunohistochemistry (Formalin/PFA-fixed paraffin-embedded sections) - Anti-Mitochondrial ribosomal protein L11 antibody [EPR9111(B)] (AB133789)
  • IHC-P

Unknown

Immunohistochemistry (Formalin/PFA-fixed paraffin-embedded sections) - Anti-Mitochondrial ribosomal protein L11 antibody [EPR9111(B)] (AB133789)

Immunohistochemical analysis using ab133789 (unpurified) showing positive staining in Normal lung tissue.

Heat mediated antigen retrieval was performed with citrate buffer pH 6 before commencing with IHC staining protocol.

Immunohistochemistry (Formalin/PFA-fixed paraffin-embedded sections) - Anti-Mitochondrial ribosomal protein L11 antibody [EPR9111(B)] (AB133789)
  • IHC-P

Unknown

Immunohistochemistry (Formalin/PFA-fixed paraffin-embedded sections) - Anti-Mitochondrial ribosomal protein L11 antibody [EPR9111(B)] (AB133789)

Immunohistochemical analysis using ab133789 (unpurified) showing positive staining in Normal stomach tissue.

Heat mediated antigen retrieval was performed with citrate buffer pH 6 before commencing with IHC staining protocol.

Immunohistochemistry (Formalin/PFA-fixed paraffin-embedded sections) - Anti-Mitochondrial ribosomal protein L11 antibody [EPR9111(B)] (AB133789)
  • IHC-P

Unknown

Immunohistochemistry (Formalin/PFA-fixed paraffin-embedded sections) - Anti-Mitochondrial ribosomal protein L11 antibody [EPR9111(B)] (AB133789)

Immunohistochemical analysis using ab133789 (unpurified) showing positive staining in Normal colon tissue.

Heat mediated antigen retrieval was performed with citrate buffer pH 6 before commencing with IHC staining protocol.

Western blot - Anti-Mitochondrial ribosomal protein L11 antibody [EPR9111(B)] (AB133789)
  • WB

Lab

Western blot - Anti-Mitochondrial ribosomal protein L11 antibody [EPR9111(B)] (AB133789)

All lanes:

Western blot - Anti-Mitochondrial ribosomal protein L11 antibody [EPR9111(B)] (ab133789) at 1/10000 dilution

Lane 1:

HeLa (Human cervix adenocarcinoma epithelial cell) whole cell lysates at 15 µg

Lane 2:

HepG2 (Human hepatocellular carcinoma epithelial cell) whole cell lysates at 15 µg

Secondary

All lanes:

Western blot - Goat Anti-Rabbit IgG H&L (HRP) (<a href='/en-us/products/secondary-antibodies/goat-rabbit-igg-h-l-hrp-ab97051'>ab97051</a>) at 1/20000 dilution

Predicted band size: 21 kDa

Observed band size: 21 kDa

false

OI-RD Scanning - Anti-Mitochondrial ribosomal protein L11 antibody [EPR9111(B)] (AB133789)
  • OI-RD Scanning

Unknown

OI-RD Scanning - Anti-Mitochondrial ribosomal protein L11 antibody [EPR9111(B)] (AB133789)

We have systematically measured KD (the equilibrium dissociation constant between the antibody and its antigen), of more than 840 recombinant antibodies to assess not only their individual KD values but also to see the average affinity of antibody. Based on the comparison with published literature values for mouse monoclonal antibodies, Recombinant antibodies appear to be on average 1-2 order of magnitude higher affinity.

Key facts

Host species

Rabbit

Clonality

Monoclonal

Clone number

EPR9111(B)

Isotype

IgG

Carrier free

No

Reacts with

Human

Applications

WB, Flow Cyt (Intra), ICC/IF, IHC-P

applications

Immunogen

The exact immunogen used to generate this antibody is proprietary information.

Reactivity data

{ "title": "Reactivity Data", "filters": { "stats": ["", "Species", "Dilution Info", "Notes"], "tabs": { "all-applications": {"fullname" : "All Applications", "shortname": "All Applications"}, "IHCP" : {"fullname" : "Immunohistochemistry (Formalin/PFA-fixed paraffin-embedded sections)", "shortname":"IHC-P"}, "WB" : {"fullname" : "Western blot", "shortname":"WB"}, "ICCIF" : {"fullname" : "Immunocytochemistry/ Immunofluorescence", "shortname":"ICC/IF"}, "FlowCytIntra" : {"fullname" : "Flow Cytometry (Intracellular)", "shortname":"Flow Cyt (Intra)"} }, "product-promise": { "all": "all", "testedAndGuaranteed": "tested", "guaranteed": "expected", "predicted": "predicted", "notRecommended": "not-recommended" } }, "values": { "Human": { "IHCP-species-checked": "testedAndGuaranteed", "IHCP-species-dilution-info": "1/200 - 1/500", "IHCP-species-notes": "<p></p>", "WB-species-checked": "testedAndGuaranteed", "WB-species-dilution-info": "1/1000 - 1/10000", "WB-species-notes": "<p></p>", "ICCIF-species-checked": "testedAndGuaranteed", "ICCIF-species-dilution-info": "1/100", "ICCIF-species-notes": "<p><strong>For unpurified format use at 1/250 - 1/500 dilution.</strong></p>", "FlowCytIntra-species-checked": "testedAndGuaranteed", "FlowCytIntra-species-dilution-info": "1/100 - 1/1000", "FlowCytIntra-species-notes": "<p><a href='/en-us/products/primary-antibodies/rabbit-igg-monoclonal-epr25a-isotype-control-ab172730'>ab172730</a> - Rabbit monoclonal IgG, is suitable for use as an isotype control with this antibody.</p>" } } }

Product details

Patented technology
Our RabMAb® technology is a patented hybridoma-based technology for making rabbit monoclonal antibodies. For details on our patents, please refer to RabMAb® patents.

What are the advantages of a recombinant monoclonal antibody?
This product is a recombinant monoclonal antibody, which offers several advantages including:

  • - High batch-to-batch consistency and reproducibility
  • - Improved sensitivity and specificity
  • - Long-term security of supply
  • - Animal-free batch production

For more information, read more on recombinant antibodies.

Species reactivity
Rat: We have preliminary internal testing data to indicate this antibody may not react with this species.
Please contact us for more information.

Properties and storage information

Form
Liquid
Purification technique
Affinity purification Protein A
Storage buffer
pH: 7.2 - 7.4 Preservative: 0.01% Sodium azide Constituents: PBS, 40% Glycerol (glycerin, glycerine), 0.05% BSA
Shipped at conditions
Blue Ice
Appropriate short-term storage duration
1-2 weeks
Appropriate short-term storage conditions
+4°C
Appropriate long-term storage conditions
-20°C
Aliquoting information
Upon delivery aliquot
Storage information
Avoid freeze / thaw cycle

Supplementary information

This supplementary information is collated from multiple sources and compiled automatically.

Mitochondrial ribosomal protein L11 often called MRPL11 forms an important part of the mitochondrial ribosome or mitoribosome which plays an important role in protein synthesis within the mitochondria. MRPL11 has a mass of approximately 21.3 kDa and is expressed in tissues with high metabolic activity such as the heart and skeletal muscles. It differs from proteins found in the cytosolic ribosomes due to variations in protein to rRNA ratio and the presence of specific mitochondrial sequences.
Biological function summary

This protein contributes to the formation and functional stability of the large subunit of the mitochondrial ribosome. MRPL11 is an integral part of the mitoribosomal complex and it collaborates closely with mitochondrial ribosome protein L10 and L12. The assembly of these proteins ensures efficient mitochondrial translation which subsequently impacts mitochondrial energy production and apoptotic signaling.

Pathways

MRPL11 is deeply embedded in mitochondrial translation and oxidative phosphorylation pathways. These pathways are essential for cellular energy production and metabolism. MRPL11 interacts with other mitochondrial proteins such as mRNA encoders and enzymes in the electron transport chain. It ensures correct assembly and function of the mitochondrial machinery influencing energy demands through the connection to translation regulation and metabolic balance.

MRPL11 is associated with mitochondrial disorders like mitochondrial myopathy and neurodegenerative diseases. Mutations or dysregulations in MRPL11 can impair mitochondrial translation leading to compromised energy metabolism. Its dysfunction can involve other mitochondrial proteins such as those forming the electron transport chain or involved in cardiolipin metabolism contributing to the disease mechanisms. Understanding MRPL11's role offers insights into therapeutic targets for disease intervention in these conditions.

Product protocols

For this product, it's our understanding that no specific protocols are required. You can visit:

Publications (1)

Recent publications for all applications. Explore the full list and refine your search

Tissue engineering and regenerative medicine 15:173-181 PubMed30603545

2019

Induction of Rhesus Keratinocytes into Functional Ameloblasts by Mouse Embryonic Dental Mesenchyme.

Applications

Unspecified application

Species

Unspecified reactive species

Ningsheng Ruan,Chensheng Lin,Xiuqing Dong,Xuefeng Hu,Yanding Zhang
View all publications

Product promise

We are committed to supporting your work with high-quality reagents, and we're here for you every step of the way. In the unlikely event that one of our products does not perform as expected, you're protected by our Product Promise.
For full details, please see our Terms & Conditions

Please note: All products are 'FOR RESEARCH USE ONLY. NOT FOR USE IN DIAGNOSTIC OR THERAPEUTIC PROCEDURES'.

For licensing inquiries, please contact partnerships@abcam.com