JavaScript is disabled in your browser. Please enable JavaScript to view this website.
AB248654

Anti-Mitochondrial ribosomal protein L11 antibody [EPR9111(B)] - BSA and Azide free

Be the first to review this product! Submit a review

|

(1 Publication)

Rabbit Recombinant Monoclonal Mitochondrial ribosomal protein L11 antibody. Carrier free. Suitable for IHC-P, WB, ICC/IF, Flow Cyt (Intra) and reacts with Human samples. Cited in 1 publication.

View Alternative Names

CGI-113, MRPL11, Large ribosomal subunit protein uL11m, L11mt, MRP-L11

3 Images
Flow Cytometry (Intracellular) - Anti-Mitochondrial ribosomal protein L11 antibody [EPR9111(B)] - BSA and Azide free (AB248654)
  • Flow Cyt (Intra)

Unknown

Flow Cytometry (Intracellular) - Anti-Mitochondrial ribosomal protein L11 antibody [EPR9111(B)] - BSA and Azide free (AB248654)

Intracellular Flow Cytometry analysis of HepG2 (Human hepatocellular carcinoma epithelial cell) cells labeling Mitochondrial ribosomal protein L11 with purified ab133789 at 1/120 dilution (10μg/ml) (red). Cells were fixed with 4% Paraformaldehyde and permeabilised with 90% Methanol. A Goat anti rabbit IgG (Alexa Fluor® 488, ab150077) secondary antibody was used at 1/2000. Isotype control - Rabbit monoclonal IgG (Black). Unlabeled control - Cell without incubation with primary antibody and secondary antibody (Blue).

This data was developed using the same antibody clone in a different buffer formulation containing PBS, BSA, glycerol, and sodium azide (ab133789).

Immunocytochemistry/ Immunofluorescence - Anti-Mitochondrial ribosomal protein L11 antibody [EPR9111(B)] - BSA and Azide free (AB248654)
  • ICC/IF

Unknown

Immunocytochemistry/ Immunofluorescence - Anti-Mitochondrial ribosomal protein L11 antibody [EPR9111(B)] - BSA and Azide free (AB248654)

Immunocytochemistry/ Immunofluorescence analysis of HepG2 (Human hepatocellular carcinoma epithelial cell) cells labeling Mitochondrial ribosomal protein L11 with purified ab133789 at 1/100 dilution (10 μg/ml). Cells were fixed in 4% Paraformaldehyde and permeabilized with 0.1% tritonX-100. Cells were counterstained with ab195889 Anti-alpha Tubulin antibody [DM1A] - Microtubule Marker (Alexa Fluor® 594) at 1/200 (2.5 μg/ml). Goat anti rabbit IgG (Alexa Fluor® 488, ab150077) was used as the secondary antibody at 1/1000 (2 μg/ml) dilution. DAPI (blue) was used as nuclear counterstain. PBS instead of the primary antibody was used as the secondary antibody only control.

This data was developed using the same antibody clone in a different buffer formulation containing PBS, BSA, glycerol, and sodium azide (ab133789).

Immunohistochemistry (Formalin/PFA-fixed paraffin-embedded sections) - Anti-Mitochondrial ribosomal protein L11 antibody [EPR9111(B)] - BSA and Azide free (AB248654)
  • IHC-P

Unknown

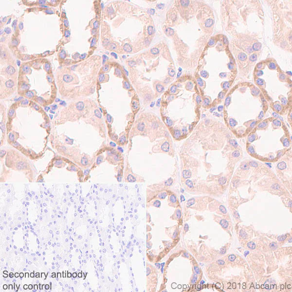
Immunohistochemistry (Formalin/PFA-fixed paraffin-embedded sections) - Anti-Mitochondrial ribosomal protein L11 antibody [EPR9111(B)] - BSA and Azide free (AB248654)

Immunohistochemistry (Formalin/PFA-fixed paraffin-embedded sections) analysis of Human kidney tissue sections labeling Mitochondrial ribosomal protein L11 with purified ab133789 at 1/200 dilution (6.2 μg/ml). Heat mediated antigen retrieval was performed using heat mediated antigen retrieval using ab93684 (Tris/EDTA buffer, pH 9.0). ImmunoHistoProbe one step HRP Polymer (ready to use) was used as the secondary antibody. Negative control : PBS instead of the primary antibody. Hematoxylin was used as a counterstain.

This data was developed using the same antibody clone in a different buffer formulation containing PBS, BSA, glycerol, and sodium azide (ab133789).

  • Unconjugated

    Anti-Mitochondrial ribosomal protein L11 antibody [EPR9111(B)]

Key facts

Host species

Rabbit

Clonality

Monoclonal

Clone number

EPR9111(B)

Isotype

IgG

Carrier free

Yes

Reacts with

Human

Applications

Flow Cyt (Intra), ICC/IF, WB, IHC-P

applications

Immunogen

The exact immunogen used to generate this antibody is proprietary information.

Reactivity data

{ "title": "Reactivity Data", "filters": { "stats": ["", "Species", "Dilution Info", "Notes"], "tabs": { "all-applications": {"fullname" : "All Applications", "shortname": "All Applications"}, "IHCP" : {"fullname" : "Immunohistochemistry (Formalin/PFA-fixed paraffin-embedded sections)", "shortname":"IHC-P"}, "WB" : {"fullname" : "Western blot", "shortname":"WB"}, "ICCIF" : {"fullname" : "Immunocytochemistry/ Immunofluorescence", "shortname":"ICC/IF"}, "FlowCytIntra" : {"fullname" : "Flow Cytometry (Intracellular)", "shortname":"Flow Cyt (Intra)"} }, "product-promise": { "all": "all", "testedAndGuaranteed": "tested", "guaranteed": "expected", "predicted": "predicted", "notRecommended": "not-recommended" } }, "values": { "Human": { "IHCP-species-checked": "testedAndGuaranteed", "IHCP-species-dilution-info": "", "IHCP-species-notes": "<p></p>", "WB-species-checked": "guaranteed", "WB-species-dilution-info": "", "WB-species-notes": "<p></p>", "ICCIF-species-checked": "testedAndGuaranteed", "ICCIF-species-dilution-info": "", "ICCIF-species-notes": "<p></p>", "FlowCytIntra-species-checked": "testedAndGuaranteed", "FlowCytIntra-species-dilution-info": "", "FlowCytIntra-species-notes": "<p></p>" } } }

Product details

ab248654 is the carrier-free version of ab133789.

Patented technology
Our RabMAb® technology is a patented hybridoma-based technology for making rabbit monoclonal antibodies. For details on our patents, please refer to RabMAb® patents.

What are the advantages of a recombinant monoclonal antibody?
This product is a recombinant monoclonal antibody, which offers several advantages including:

  • - High batch-to-batch consistency and reproducibility
  • - Improved sensitivity and specificity
  • - Long-term security of supply
  • - Animal-free batch production

For more information, read more on recombinant antibodies.

Species reactivity
Rat: We have preliminary internal testing data to indicate this antibody may not react with this species.
Please contact us for more information.

Conjugation ready
Our carrier-free antibodies are typically supplied in a PBS-only formulation, purified and free of BSA, sodium azide and glycerol. This conjugation-ready format is designed for use with fluorochromes, metal isotopes, oligonucleotides, and enzymes, which makes them ideal for antibody labelling, functional and cell-based assays, flow-based assays (e.g. mass cytometry) and Multiplex Imaging applications.

Use our conjugation kits for antibody conjugates that are ready-to-use in as little as 20 minutes with 1 minute hands-on-time and 100% antibody recovery: available for fluorescent dyes, HRP, biotin and gold.

Compatibility
This product is compatible with the Maxpar® Antibody Labeling Kit from Fluidigm, without the need for antibody preparation. Maxpar® is a trademark of Fluidigm Canada Inc.

Properties and storage information

Form
Liquid
Purification technique
Affinity purification Protein A
Storage buffer
pH: 7.2 - 7.4 Constituents: PBS
Shipped at conditions
Blue Ice
Appropriate short-term storage conditions
+4°C
Appropriate long-term storage conditions
+4°C
Storage information
Do Not Freeze

Supplementary information

This supplementary information is collated from multiple sources and compiled automatically.

Mitochondrial ribosomal protein L11 often called MRPL11 forms an important part of the mitochondrial ribosome or mitoribosome which plays an important role in protein synthesis within the mitochondria. MRPL11 has a mass of approximately 21.3 kDa and is expressed in tissues with high metabolic activity such as the heart and skeletal muscles. It differs from proteins found in the cytosolic ribosomes due to variations in protein to rRNA ratio and the presence of specific mitochondrial sequences.
Biological function summary

This protein contributes to the formation and functional stability of the large subunit of the mitochondrial ribosome. MRPL11 is an integral part of the mitoribosomal complex and it collaborates closely with mitochondrial ribosome protein L10 and L12. The assembly of these proteins ensures efficient mitochondrial translation which subsequently impacts mitochondrial energy production and apoptotic signaling.

Pathways

MRPL11 is deeply embedded in mitochondrial translation and oxidative phosphorylation pathways. These pathways are essential for cellular energy production and metabolism. MRPL11 interacts with other mitochondrial proteins such as mRNA encoders and enzymes in the electron transport chain. It ensures correct assembly and function of the mitochondrial machinery influencing energy demands through the connection to translation regulation and metabolic balance.

MRPL11 is associated with mitochondrial disorders like mitochondrial myopathy and neurodegenerative diseases. Mutations or dysregulations in MRPL11 can impair mitochondrial translation leading to compromised energy metabolism. Its dysfunction can involve other mitochondrial proteins such as those forming the electron transport chain or involved in cardiolipin metabolism contributing to the disease mechanisms. Understanding MRPL11's role offers insights into therapeutic targets for disease intervention in these conditions.

Product protocols

For this product, it's our understanding that no specific protocols are required. You can visit:

Publications (1)

Recent publications for all applications. Explore the full list and refine your search

Immunity, inflammation and disease 10:e727 PubMed36301031

2022

Forkhead box M1 recruits FoxP3 Treg cells to induce immune escape in hilar cholangiocarcinoma.

Applications

Unspecified application

Species

Unspecified reactive species

Kai Ma,Zhaowei Sun,Xueliang Li,Jingyun Guo,Qinlei Wang,Mujian Teng
View all publications

Product promise

We are committed to supporting your work with high-quality reagents, and we're here for you every step of the way. In the unlikely event that one of our products does not perform as expected, you're protected by our Product Promise.
For full details, please see our Terms & Conditions

Please note: All products are 'FOR RESEARCH USE ONLY. NOT FOR USE IN DIAGNOSTIC OR THERAPEUTIC PROCEDURES'.

For licensing inquiries, please contact partnerships@abcam.com