JavaScript is disabled in your browser. Please enable JavaScript to view this website.
AB245764

Anti-Mitofilin antibody [EPR8749] - BSA and Azide free

Be the first to review this product! Submit a review

|

(2 Publications)

Rabbit Recombinant Monoclonal Mitofilin antibody. Carrier free. Suitable for IHC-P, WB, ICC/IF, Flow Cyt (Intra) and reacts with Human samples. Cited in 2 publications.

View Alternative Names

HMP, MIC60, MINOS2, PIG4, PIG52, IMMT, MICOS complex subunit MIC60, Cell proliferation-inducing gene 4/52 protein, Mitochondrial inner membrane protein, Mitofilin, p87/89

8 Images
Immunohistochemistry (Formalin/PFA-fixed paraffin-embedded sections) - Anti-Mitofilin antibody [EPR8749] - BSA and Azide free (AB245764)
  • IHC-P

Unknown

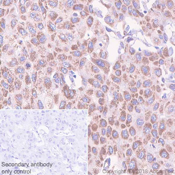
Immunohistochemistry (Formalin/PFA-fixed paraffin-embedded sections) - Anti-Mitofilin antibody [EPR8749] - BSA and Azide free (AB245764)

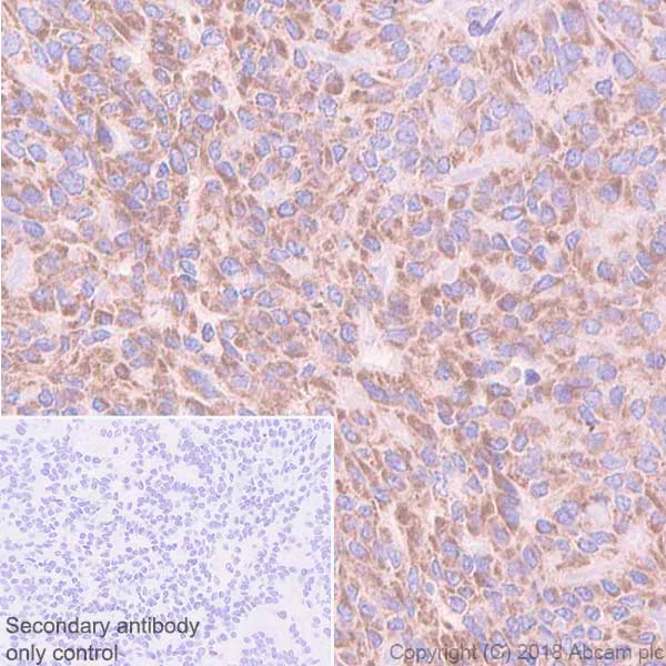
Immunohistochemistry (Formalin/PFA-fixed paraffin-embedded sections) analysis of Human hepatocellular cancer tissue sections labeling Mitofilin with purified ab137057 at 1/250 dilution (0.508 μg/ml). Heat mediated antigen retrieval was performed using ab93684 (Tris/EDTA buffer, pH 9.0). ImmunoHistoProbe one step HRP Polymer (ready to use) was used as the secondary antibody. Negative control : PBS instead of the primary antibody. Hematoxylin was used as a counterstain.

This data was developed using the same antibody clone in a different buffer formulation containing PBS, BSA, glycerol, and sodium azide (ab137057).

Immunohistochemistry (Formalin/PFA-fixed paraffin-embedded sections) - Anti-Mitofilin antibody [EPR8749] - BSA and Azide free (AB245764)
  • IHC-P

Unknown

Immunohistochemistry (Formalin/PFA-fixed paraffin-embedded sections) - Anti-Mitofilin antibody [EPR8749] - BSA and Azide free (AB245764)

Immunohistochemistry (Formalin/PFA-fixed paraffin-embedded sections) analysis of Human thyroid cancer tissue sections labeling Mitofilin with purified ab137057 at 1/250 dilution (0.508 μg/ml). Heat mediated antigen retrieval was performed using ab93684 (Tris/EDTA buffer, pH 9.0). ImmunoHistoProbe one step HRP Polymer (ready to use) was used as the secondary antibody. Negative control : PBS instead of the primary antibody. Hematoxylin was used as a counterstain.

This data was developed using the same antibody clone in a different buffer formulation containing PBS, BSA, glycerol, and sodium azide (ab137057).

Immunocytochemistry/ Immunofluorescence - Anti-Mitofilin antibody [EPR8749] - BSA and Azide free (AB245764)
  • ICC/IF

Unknown

Immunocytochemistry/ Immunofluorescence - Anti-Mitofilin antibody [EPR8749] - BSA and Azide free (AB245764)

Immunocytochemistry/ Immunofluorescence analysis of HeLa (Human cervix adenocarcinoma epithelial cell) cells labeling Mitofilin with purified ab137057 at 1/100 dilution (1.3 μg/ml). Cells were fixed in 4% Paraformaldehyde and permeabilized with 0.1% tritonX-100. Cells were counterstained with ab195889 Anti-alpha Tubulin antibody [DM1A] - Microtubule Marker (Alexa Fluor® 594) at 1/200 (2.5 μg/ml). Goat anti rabbit IgG (Alexa Fluor® 488, ab150077) was used as the secondary antibody at 1/1000 (2 μg/ml) dilution. DAPI (blue) was used as nuclear counterstain. PBS instead of the primary antibody was used as the secondary antibody only control.

This data was developed using the same antibody clone in a different buffer formulation containing PBS, BSA, glycerol, and sodium azide (ab137057).

Immunohistochemistry (Formalin/PFA-fixed paraffin-embedded sections) - Anti-Mitofilin antibody [EPR8749] - BSA and Azide free (AB245764)
  • IHC-P

Unknown

Immunohistochemistry (Formalin/PFA-fixed paraffin-embedded sections) - Anti-Mitofilin antibody [EPR8749] - BSA and Azide free (AB245764)

Immunohistochemical analysis of paraffin embedded Human colon tissue labelling Mitofilin with ab137057 at 1/100 dilution.This data was developed using the same antibody clone in a different buffer formulation containing PBS#44; BSA#44; glycerol and sodium azide (ab137057)

Immunocytochemistry/ Immunofluorescence - Anti-Mitofilin antibody [EPR8749] - BSA and Azide free (AB245764)
  • ICC/IF

Unknown

Immunocytochemistry/ Immunofluorescence - Anti-Mitofilin antibody [EPR8749] - BSA and Azide free (AB245764)

Immunofluorescent staining of HeLa cells labelling Mitofilin with ab137057 at 1/250 dilution.This data was developed using the same antibody clone in a different buffer formulation containing PBS#44; BSA#44; glycerol and sodium azide (ab137057)

Flow Cytometry (Intracellular) - Anti-Mitofilin antibody [EPR8749] - BSA and Azide free (AB245764)
  • Flow Cyt (Intra)

Unknown

Flow Cytometry (Intracellular) - Anti-Mitofilin antibody [EPR8749] - BSA and Azide free (AB245764)

Intracellular Flow Cytometry analysis of HeLa (Human cervix adenocarcinoma epithelial cell) cells labeling Mitofilin with purified ab137057 at 1/20 dilution (10μg/ml) (red). Cells were fixed with 4% Paraformaldehyde and permeabilised with 90% Methanol. A Goat anti rabbit IgG (Alexa Fluor® 488, ab150077) secondary antibody was used at 1/2000. Isotype control - Rabbit monoclonal IgG (Black). Unlabeled control - Cell without incubation with primary antibody and secondary antibody (Blue).

This data was developed using the same antibody clone in a different buffer formulation containing PBS, BSA, glycerol, and sodium azide (ab137057).

Immunohistochemistry (Formalin/PFA-fixed paraffin-embedded sections) - Anti-Mitofilin antibody [EPR8749] - BSA and Azide free (AB245764)
  • IHC-P

Unknown

Immunohistochemistry (Formalin/PFA-fixed paraffin-embedded sections) - Anti-Mitofilin antibody [EPR8749] - BSA and Azide free (AB245764)

Immunohistochemical analysis of paraffin embedded Human testis tissue labelling Mitofilin with ab137057 at 1/100 dilution.This data was developed using the same antibody clone in a different buffer formulation containing PBS#44; BSA#44; glycerol and sodium azide (ab137057)

Western blot - Anti-Mitofilin antibody [EPR8749] - BSA and Azide free (AB245764)
  • WB

Lab

Western blot - Anti-Mitofilin antibody [EPR8749] - BSA and Azide free (AB245764)

This data was developed using the same antibody clone in a different buffer formulation containing PBS, BSA, glycerol, and sodium azide (ab137057).

Lanes 1 - 4 : Merged signal (red and green). Green - ab137057 observed at 84 kDa. Red - loading control, ab8245, observed at 37 kDa.

ab137057 was shown to specifically react with IMMT in wild-type HAP1 cells as signal was lost in IMMT knockout cells. Wild-type and IMMT knockout samples were subjected to SDS-PAGE. The membrane was blocked with 3% Milk. ab137057 and ab8245 (Mouse anti-GAPDH loading control) were incubated overnight at 4°C at 1/1000 dilution and 1/20000 dilution respectively. Blots were developed with Goat anti-Rabbit IgG H&L (IRDye® 800CW) preabsorbed ab216773 and Goat anti-Mouse IgG H&L (IRDye® 680RD) preabsorbed ab216776 secondary antibodies at 1/20000 dilution for 1 hour at room temperature before imaging.

All lanes:

Western blot - Anti-Mitofilin antibody [EPR8749] - BSA and Azide free (ab245764) at 1/1000 dilution

Lane 1:

Wild-type HAP1 whole cell lysate at 20 µg

Lane 2:

IMMT knockout HAP1 whole cell lysate at 20 µg

Lane 3:

HepG2 whole cell lysate at 20 µg

Lane 4:

Human Heart whole cell lysate at 20 µg

Predicted band size: 84 kDa

Observed band size: 84 kDa

false

  • Unconjugated

    Anti-Mitofilin antibody [EPR8749]

  • 775 Alexa Fluor® 750

    Alexa Fluor® 750 Anti-Mitofilin antibody [EPR8749]

  • 578 PE

    PE Anti-Mitofilin antibody [EPR8749]

  • 660 APC

    APC Anti-Mitofilin antibody [EPR8749]

  • HRP

    HRP Anti-Mitofilin antibody [EPR8749]

  • 519 Alexa Fluor® 488

    Alexa Fluor® 488 Anti-Mitofilin antibody [EPR8749]

  • 665 Alexa Fluor® 647

    Alexa Fluor® 647 Anti-Mitofilin antibody [EPR8749]

  • 617 Alexa Fluor® 594

    Alexa Fluor® 594 Anti-Mifilin antibody [EPR8749]

  • 565 Alexa Fluor® 555

    Alexa Fluor® 555 Anti-Mitofilin antibody [EPR8749]

  • 603 Alexa Fluor® 568

    Alexa Fluor® 568 Anti-Mitofilin antibody [EPR8749]

Key facts

Host species

Rabbit

Clonality

Monoclonal

Clone number

EPR8749

Isotype

IgG

Carrier free

Yes

Reacts with

Human

Applications

WB, IHC-P, Flow Cyt (Intra), ICC/IF

applications

Immunogen

The exact immunogen used to generate this antibody is proprietary information.

Reactivity data

{ "title": "Reactivity Data", "filters": { "stats": ["", "Species", "Dilution Info", "Notes"], "tabs": { "all-applications": {"fullname" : "All Applications", "shortname": "All Applications"}, "IHCP" : {"fullname" : "Immunohistochemistry (Formalin/PFA-fixed paraffin-embedded sections)", "shortname":"IHC-P"}, "WB" : {"fullname" : "Western blot", "shortname":"WB"}, "ICCIF" : {"fullname" : "Immunocytochemistry/ Immunofluorescence", "shortname":"ICC/IF"}, "FlowCytIntra" : {"fullname" : "Flow Cytometry (Intracellular)", "shortname":"Flow Cyt (Intra)"} }, "product-promise": { "all": "all", "testedAndGuaranteed": "tested", "guaranteed": "expected", "predicted": "predicted", "notRecommended": "not-recommended" } }, "values": { "Human": { "IHCP-species-checked": "testedAndGuaranteed", "IHCP-species-dilution-info": "", "IHCP-species-notes": "<p></p>", "WB-species-checked": "testedAndGuaranteed", "WB-species-dilution-info": "", "WB-species-notes": "<p></p>", "ICCIF-species-checked": "testedAndGuaranteed", "ICCIF-species-dilution-info": "", "ICCIF-species-notes": "<p></p>", "FlowCytIntra-species-checked": "testedAndGuaranteed", "FlowCytIntra-species-dilution-info": "", "FlowCytIntra-species-notes": "<p><a href='/en-us/products/primary-antibodies/rabbit-igg-monoclonal-epr25a-isotype-control-ab172730'>ab172730</a> - Rabbit monoclonal IgG, is suitable for use as an isotype control with this antibody.</p>" } } }

Product details

ab245764 is the carrier-free version of ab137057.

Species reactivity
Mouse, Rat: We have preliminary internal testing data to indicate this antibody may not react with these species.
Please contact us for more information.

Patented technology
Our RabMAb® technology is a patented hybridoma-based technology for making rabbit monoclonal antibodies. For details on our patents, please refer to RabMAb® patents.

What are the advantages of a recombinant monoclonal antibody?
This product is a recombinant monoclonal antibody, which offers several advantages including:

  • - High batch-to-batch consistency and reproducibility
  • - Improved sensitivity and specificity
  • - Long-term security of supply
  • - Animal-free batch production

For more information, read more on recombinant antibodies.

Conjugation ready
Our carrier-free antibodies are typically supplied in a PBS-only formulation, purified and free of BSA, sodium azide and glycerol. This conjugation-ready format is designed for use with fluorochromes, metal isotopes, oligonucleotides, and enzymes, which makes them ideal for antibody labelling, functional and cell-based assays, flow-based assays (e.g. mass cytometry) and Multiplex Imaging applications.

Use our conjugation kits for antibody conjugates that are ready-to-use in as little as 20 minutes with 1 minute hands-on-time and 100% antibody recovery: available for fluorescent dyes, HRP, biotin and gold.

Compatibility
This product is compatible with the Maxpar® Antibody Labeling Kit from Fluidigm, without the need for antibody preparation. Maxpar® is a trademark of Fluidigm Canada Inc.

Properties and storage information

Form
Liquid
Purification technique
Affinity purification Protein A
Storage buffer
pH: 7.2 - 7.4 Constituents: PBS
Shipped at conditions
Blue Ice
Appropriate short-term storage conditions
+4°C
Appropriate long-term storage conditions
+4°C
Storage information
Do Not Freeze

Supplementary information

This supplementary information is collated from multiple sources and compiled automatically.

Mitofilin also known as mitofilin or MIM is a protein with a mass of approximately 88 kDa. This protein is integral to the inner mitochondrial membrane. Mitofilin is found in various tissues with high expression in the heart and skeletal muscle indicating its significant role in energy-demanding tissues. It is the central component of the mitochondrial inner membrane organizing system (MINOS) which plays a fundamental role in maintaining the mitochondrial architecture.
Biological function summary

Within the mitochondrial environment mitofilin contributes to maintaining cristae morphology which is essential for optimal mitochondrial respiration and energy production. As part of the MINOS complex mitofilin interacts with other proteins such as Mic60 and Mic10 stabilizing the structure of crista junctions. This process ensures efficient electron transport chain function ultimately supporting ATP synthesis. Without effective shaping of the cristae cellular energy metabolism deteriorates.

Pathways

Research has highlighted the importance of mitofilin in apoptosis and bioenergetics pathways. It interacts with proteins like OPA1 a dynamin-related GTPase important for mitochondrial fusion and energy metabolism. Additionally mitofilin influences the release of cytochrome c an important step in the initiation of apoptosis. Proper functioning of these pathways is critical for cellular balance and survival showing mitofilin’s broad impact on cellular processes.

Mitofilin has links to mitochondrial myopathies and cardiomyopathies. These disorders stem from impaired mitochondrial function significantly affecting muscle tissues and heart performance. Disruption in mitofilin expression or function can lead to compromised energy production contributing to these conditions. Furthermore mitofilin has associations with proteins like Drp1 involved in mitochondrial dynamics and this relationship can influence the progression and severity of mitochondrial-related diseases.

Product protocols

For this product, it's our understanding that no specific protocols are required. You can visit:

Target data

Component of the MICOS complex, a large protein complex of the mitochondrial inner membrane that plays crucial roles in the maintenance of crista junctions, inner membrane architecture, and formation of contact sites to the outer membrane (PubMed : 22114354, PubMed : 25781180, PubMed : 32567732, PubMed : 33130824). Plays an important role in the maintenance of the MICOS complex stability and the mitochondrial cristae morphology (PubMed : 22114354, PubMed : 25781180, PubMed : 32567732, PubMed : 33130824).
See full target information IMMT

Publications (2)

Recent publications for all applications. Explore the full list and refine your search

Cells 12: PubMed37408269

2023

The First Transcriptomic Atlas of the Adult Lacrimal Gland Reveals Epithelial Complexity and Identifies Novel Progenitor Cells in Mice.

Applications

Unspecified application

Species

Unspecified reactive species

Vanessa Delcroix,Olivier Mauduit,Hyun Soo Lee,Anastasiia Ivanova,Takeshi Umazume,Sarah M Knox,Cintia S de Paiva,Darlene A Dartt,Helen P Makarenkova

Nature photonics 15:361-366 PubMed33953795

2021

MINSTED fluorescence localization and nanoscopy.

Applications

Unspecified application

Species

Unspecified reactive species

Michael Weber,Marcel Leutenegger,Stefan Stoldt,Stefan Jakobs,Tiberiu S Mihaila,Alexey N Butkevich,Stefan W Hell
View all publications

Product promise

We are committed to supporting your work with high-quality reagents, and we're here for you every step of the way. In the unlikely event that one of our products does not perform as expected, you're protected by our Product Promise.
For full details, please see our Terms & Conditions

Please note: All products are 'FOR RESEARCH USE ONLY. NOT FOR USE IN DIAGNOSTIC OR THERAPEUTIC PROCEDURES'.

For licensing inquiries, please contact partnerships@abcam.com