JavaScript is disabled in your browser. Please enable JavaScript to view this website.
AB219730

Anti-Mitofusin 2 antibody [NIAR164] - BSA and Azide free

Be the first to review this product! Submit a review

|

(7 Publications)

Rabbit Recombinant Monoclonal Mitofusin 2 antibody. Carrier free. Suitable for IHC-P, WB, ICC/IF and reacts with Human, Mouse, Rat samples. Cited in 7 publications.

View Alternative Names

CPRP1, KIAA0214, MFN2, Mitofusin-2, Transmembrane GTPase MFN2

4 Images
Immunohistochemistry (Formalin/PFA-fixed paraffin-embedded sections) - Anti-Mitofusin 2 antibody [NIAR164] - BSA and Azide free (AB219730)
  • IHC-P

Unknown

Immunohistochemistry (Formalin/PFA-fixed paraffin-embedded sections) - Anti-Mitofusin 2 antibody [NIAR164] - BSA and Azide free (AB219730)

Unpurified ab124773, at 1/50, staining Mitofusin 2 in formalin fixed paraffin embedded Human kidney tissue using immunohistochemistry.

This data was developed using the same antibody clone in a different buffer formulation containing PBS, BSA, glycerol, and sodium azide (ab124773).

Perform heat mediated antigen retrieval before commencing with IHC staining protocol.

Immunocytochemistry/ Immunofluorescence - Anti-Mitofusin 2 antibody [NIAR164] - BSA and Azide free (AB219730)
  • ICC/IF

Unknown

Immunocytochemistry/ Immunofluorescence - Anti-Mitofusin 2 antibody [NIAR164] - BSA and Azide free (AB219730)

Immunofluorescence staining of HEK293 cells with purified ab124773 at a working dilution of 1/300, counter-stained with DAPI. The secondary antibody was Alexa Fluor® 488 goat anti-rabbit (ab150077), used at a dilution of 1/1000. ab7291, a mouse anti-tubulin antibody (1/1000), was used to stain tubulin along with ab150120 (Alexa Fluor® 594 goat anti-mouse, 1/1000), shown in the top right hand panel. The cells were fixed in 100% methanol and permeabilized using 0.1% Triton X 100. The negative controls are shown in bottom middle and right hand panels - for negative control 1, purified ab124773 was used at a dilution of 1/500 followed by an Alexa Fluor® 594 goat anti-mouse antibody (ab150120) at a dilution of 1/500. For negative control 2, ab7291 (mouse anti-tubulin) was used at a dilution of 1/500 followed by an Alexa Fluor® 488 goat anti-rabbit antibody (ab150077) at a dilution of 1/400.

This data was developed using the same antibody clone in a different buffer formulation containing PBS, BSA, glycerol, and sodium azide (ab124773).

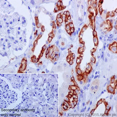
Immunohistochemistry (Formalin/PFA-fixed paraffin-embedded sections) - Anti-Mitofusin 2 antibody [NIAR164] - BSA and Azide free (AB219730)
  • IHC-P

Unknown

Immunohistochemistry (Formalin/PFA-fixed paraffin-embedded sections) - Anti-Mitofusin 2 antibody [NIAR164] - BSA and Azide free (AB219730)

Immunohistochemical staining of paraffin embedded human kidney with purified ab124773 at a working dilution of 1/300. The secondary antibody used is HRP goat anti-rabbit IgG H&L (ab97051) at 1/500. The sample is counter-stained with hematoxylin. Antigen retrieval was perfomed using Tris-EDTA buffer, pH 9.0. PBS was used instead of the primary antibody as the negative control, and is shown in the inset.This data was developed using the same antibody clone in a different buffer formulation containing PBS, BSA, glycerol, and sodium azide (ab124773).

Western blot - Anti-Mitofusin 2 antibody [NIAR164] - BSA and Azide free (AB219730)
  • WB

Lab

Western blot - Anti-Mitofusin 2 antibody [NIAR164] - BSA and Azide free (AB219730)

This data was developed using ab124773, the same antibody clone in a different buffer formulation.

Western blot : Anti-MFN2 antibody [NIAR164] (ab124773) staining at 1/5000 dilution, shown in green; Mouse anti-GAPDH antibody [6C5] (ab8245) loading control staining at 1/20000 dilution, shown in magenta. In Western blot, ab124773 was shown to bind specifically to MFN2. A band was observed at 64 kDa in wild-type HEK-293 cell lysates with no signal observed at this size in MFN2 knockout cell line. To generate this image, wild-type and MFN2 knockout HEK-293 cell lysates were analysed. First, samples were run on an SDS-PAGE gel then transferred onto a nitrocellulose membrane. Membranes were blocked in 5 % milk in TBS-0.1 % Tween® 20 (TBS-T) before incubation with primary antibodies overnight at 4 °C. Blots were washed four times in TBS-T, incubated with secondary antibodies for 1 h at room temperature, washed again four times then imaged. Secondary antibodies used were Goat anti-Rabbit IgG H&L 800CW and Goat anti-Mouse IgG H&L 680RD at 1/20000 dilution.

All lanes:

Western blot - Anti-Mitofusin 2 antibody [NIAR164] (<a href='/en-us/products/primary-antibodies/mitofusin-2-antibody-niar164-ab124773'>ab124773</a>) at 1/5000 dilution

Lane 1:

Wild-type HEK-293 cell lysate at 20 µg

Lane 2:

Western blot - Human MFN2 (Mitofusin 2) knockout HEK-293 cell line (<a href='/en-us/products/cell-lines/human-mfn2-mitofusin-2-knockout-hek-293-cell-line-ab260861'>ab260861</a>)

Lane 2:

MFN2 knockout HEK-293 cell lysate at 20 µg

Lane 3:

HeLa cell lysate at 20 µg

Lane 4:

PC-3 cell lysate at 20 µg

Secondary

Lanes 1 - 4:

Goat anti-Rabbit IgG H&L 800CW at 1/20000 dilution

Lanes 1 - 4:

Goat anti-Mouse IgG H&L 680RD at 1/20000 dilution

Observed band size: 64 kDa

false

Key facts

Host species

Rabbit

Clonality

Monoclonal

Clone number

NIAR164

Isotype

IgG

Carrier free

Yes

Reacts with

Mouse, Rat, Human

Applications

WB, IHC-P, ICC/IF

applications

Immunogen

The exact immunogen used to generate this antibody is proprietary information.

Reactivity data

{ "title": "Reactivity Data", "filters": { "stats": ["", "Species", "Dilution Info", "Notes"], "tabs": { "all-applications": {"fullname" : "All Applications", "shortname": "All Applications"}, "IHCP" : {"fullname" : "Immunohistochemistry (Formalin/PFA-fixed paraffin-embedded sections)", "shortname":"IHC-P"}, "WB" : {"fullname" : "Western blot", "shortname":"WB"}, "ICCIF" : {"fullname" : "Immunocytochemistry/ Immunofluorescence", "shortname":"ICC/IF"} }, "product-promise": { "all": "all", "testedAndGuaranteed": "tested", "guaranteed": "expected", "predicted": "predicted", "notRecommended": "not-recommended" } }, "values": { "Human": { "IHCP-species-checked": "testedAndGuaranteed", "IHCP-species-dilution-info": "", "IHCP-species-notes": "<p></p>", "WB-species-checked": "testedAndGuaranteed", "WB-species-dilution-info": "", "WB-species-notes": "<p></p>", "ICCIF-species-checked": "testedAndGuaranteed", "ICCIF-species-dilution-info": "", "ICCIF-species-notes": "<p></p>" }, "Mouse": { "IHCP-species-checked": "predicted", "IHCP-species-dilution-info": "", "IHCP-species-notes": "", "WB-species-checked": "guaranteed", "WB-species-dilution-info": "", "WB-species-notes": "<p></p>", "ICCIF-species-checked": "predicted", "ICCIF-species-dilution-info": "", "ICCIF-species-notes": "" }, "Rat": { "IHCP-species-checked": "predicted", "IHCP-species-dilution-info": "", "IHCP-species-notes": "", "WB-species-checked": "guaranteed", "WB-species-dilution-info": "", "WB-species-notes": "<p></p>", "ICCIF-species-checked": "predicted", "ICCIF-species-dilution-info": "", "ICCIF-species-notes": "" } } }

Product details

ab219730 is the carrier-free version of ab124773.

This antibody was developed as part of a collaboration between the National Institutes of Health and the lab of Paritosh Ghosh.

Patented technology
Our RabMAb® technology is a patented hybridoma-based technology for making rabbit monoclonal antibodies. For details on our patents, please refer to RabMAb® patents.

What are the advantages of a recombinant monoclonal antibody?
This product is a recombinant monoclonal antibody, which offers several advantages including:

  • - High batch-to-batch consistency and reproducibility
  • - Improved sensitivity and specificity
  • - Long-term security of supply
  • - Animal-free batch production

For more information, read more on recombinant antibodies.

Conjugation ready
Our carrier-free antibodies are typically supplied in a PBS-only formulation, purified and free of BSA, sodium azide and glycerol. This conjugation-ready format is designed for use with fluorochromes, metal isotopes, oligonucleotides, and enzymes, which makes them ideal for antibody labelling, functional and cell-based assays, flow-based assays (e.g. mass cytometry) and Multiplex Imaging applications.

Use our conjugation kits for antibody conjugates that are ready-to-use in as little as 20 minutes with 1 minute hands-on-time and 100% antibody recovery: available for fluorescent dyes, HRP, biotin and gold.

Compatibility
This product is compatible with the Maxpar® Antibody Labeling Kit from Fluidigm, without the need for antibody preparation. Maxpar® is a trademark of Fluidigm Canada Inc.

Properties and storage information

Form
Liquid
Purification technique
Affinity purification Protein A
Storage buffer
pH: 7.2 - 7.4 Constituents: PBS
Shipped at conditions
Blue Ice
Appropriate short-term storage conditions
+4°C
Appropriate long-term storage conditions
+4°C
Storage information
Do Not Freeze

Supplementary information

This supplementary information is collated from multiple sources and compiled automatically.

Mitofusin 2 also known as MFN2 is a protein involved in the regulation of mitochondrial fusion. The MFN2 molecular weight is roughly 86 kDa. It plays an important role in connecting and merging the outer membranes of mitochondria which is vital for maintaining mitochondrial function and integrity. Mitofusin 2 proteins are expressed in many tissues but they are abundantly present in energy-demanding tissues like skeletal muscle heart and the brain.
Biological function summary

Mitofusin 2 ensures the proper distribution of mitochondria within cells and regulates mitochondrial metabolism. It is a critical component of the mitochondrial fusion machinery and works closely with its homolog Mitofusin 1 (MFN1). Together they form a complex that facilitates the physical merging of mitochondrial membranes. This process is essential for mitochondrial dynamics which include not only fusion but also fission and biogenesis.

Pathways

The protein part of the fusion machinery integrates into multiple essential biological pathways including energy metabolism and apoptosis regulation. It participates in the mitochondrial fusion pathway and the PGC-1α pathway for mitochondrial biogenesis. Mitofusin 2 interacts with proteins such as PINK1 and Parkin that are known to play roles in mitophagy a process that targets damaged mitochondria for degradation indicating its involvement in maintaining mitochondrial quality control.

Mutations in Mitofusin 2 have been linked to Charcot-Marie-Tooth disease type 2A (CMT2A) a neuropathy that affects peripheral nerves. This protein also shows connections to metabolic disorders such as obesity and type 2 diabetes. In these conditions its interaction with other proteins like OPA1 involved in mitochondrial inner membrane fusion influences mitochondrial dysfunction a recognized feature contributing to disease pathogenesis. Understanding MFN2's function and role in disease can help develop targeted therapies for these conditions.

Product protocols

For this product, it's our understanding that no specific protocols are required. You can visit:

Target data

Mitochondrial outer membrane GTPase that mediates mitochondrial clustering and fusion (PubMed : 11181170, PubMed : 11950885, PubMed : 19889647, PubMed : 26214738, PubMed : 28114303). Mitochondria are highly dynamic organelles, and their morphology is determined by the equilibrium between mitochondrial fusion and fission events (PubMed : 28114303). Overexpression induces the formation of mitochondrial networks (PubMed : 28114303). Membrane clustering requires GTPase activity and may involve a major rearrangement of the coiled coil domains (Probable). Plays a central role in mitochondrial metabolism and may be associated with obesity and/or apoptosis processes (By similarity). Plays an important role in the regulation of vascular smooth muscle cell proliferation (By similarity). Involved in the clearance of damaged mitochondria via selective autophagy (mitophagy) (PubMed : 23620051). Is required for PRKN recruitment to dysfunctional mitochondria (PubMed : 23620051). Involved in the control of unfolded protein response (UPR) upon ER stress including activation of apoptosis and autophagy during ER stress (By similarity). Acts as an upstream regulator of EIF2AK3 and suppresses EIF2AK3 activation under basal conditions (By similarity).
See full target information MFN2

Publications (7)

Recent publications for all applications. Explore the full list and refine your search

GeroScience 47:2245-2261 PubMed39495479

2024

Novel biomarkers of mitochondrial dysfunction in Long COVID patients.

Applications

Unspecified application

Species

Unspecified reactive species

Titanilla Szögi,Barbara N Borsos,Dejana Masic,Bence Radics,Zsolt Bella,Andrea Bánfi,Nóra Ördög,Csenge Zsiros,Ágnes Kiricsi,Gabriella Pankotai-Bodó,Ágnes Kovács,Dóra Paróczai,Andrea Lugosi Botkáné,Béla Kajtár,Farkas Sükösd,Andrea Lehoczki,Tamás Polgár,Annamária Letoha,Tibor Pankotai,László Tiszlavicz

Endocrine connections 13: PubMed37988456

2023

Mfn2 regulates mitochondria-associated ER membranes to affect PCOS oocyte development.

Applications

Unspecified application

Species

Unspecified reactive species

Xiuhua Liao,Suqin Zhu,Shumin Qiu,Hua Cao,Wenwen Jiang,Huiling Xu,Yan Sun,Beihong Zheng

Journal of applied physiology (Bethesda, Md. : 198 121:806-810 PubMed27539498

2016

Combined effects of resistance training and calorie restriction on mitochondrial fusion and fission proteins in rat skeletal muscle.

Applications

Unspecified application

Species

Unspecified reactive species

Yu Kitaoka,Koichi Nakazato,Riki Ogasawara

Journal of molecular and cellular cardiology 74:340-52 PubMed24984146

2014

Hypoxia signaling controls postnatal changes in cardiac mitochondrial morphology and function.

Applications

WB

Species

Unspecified reactive species

Marianne T Neary,Keat-Eng Ng,Marthe H R Ludtmann,Andrew R Hall,Izabela Piotrowska,Sang-Bing Ong,Derek J Hausenloy,Timothy J Mohun,Andrey Y Abramov,Ross A Breckenridge

The Journal of biological chemistry 289:10691-701 PubMed24573672

2014

MicroRNA-137 is a novel hypoxia-responsive microRNA that inhibits mitophagy via regulation of two mitophagy receptors FUNDC1 and NIX.

Applications

Unspecified application

Species

Mouse

Wen Li,Xingli Zhang,Haixia Zhuang,He-ge Chen,Yinqin Chen,Weili Tian,Wenxian Wu,Ying Li,Sijie Wang,Liangqing Zhang,Yusen Chen,Longxuan Li,Bin Zhao,Senfang Sui,Zhe Hu,Du Feng

The Journal of neuroscience : the official journal of the Society for Neuroscience 34:2674-83 PubMed24523556

2014

Bax interacting factor-1 promotes survival and mitochondrial elongation in neurons.

Applications

Unspecified application

Species

Unspecified reactive species

David B Wang,Takuma Uo,Chizuru Kinoshita,Bryce L Sopher,Rona J Lee,Sean P Murphy,Yoshito Kinoshita,Gwenn A Garden,Hong-Gang Wang,Richard S Morrison

The Journal of biological chemistry 289:41-52 PubMed24253037

2013

Peroxisome proliferator-activated receptor γ co-activator 1-α as a critical co-activator of the murine hepatic oxidative stress response and mitochondrial biogenesis in Staphylococcus aureus sepsis.

Applications

WB

Species

Mouse

Anne D Cherry,Hagir B Suliman,Raquel R Bartz,Claude A Piantadosi
View all publications

Product promise

We are committed to supporting your work with high-quality reagents, and we're here for you every step of the way. In the unlikely event that one of our products does not perform as expected, you're protected by our Product Promise.
For full details, please see our Terms & Conditions

Please note: All products are 'FOR RESEARCH USE ONLY. NOT FOR USE IN DIAGNOSTIC OR THERAPEUTIC PROCEDURES'.

For licensing inquiries, please contact partnerships@abcam.com