JavaScript is disabled in your browser. Please enable JavaScript to view this website.
AB203096

Anti-MitoNEET antibody

Be the first to review this product! Submit a review

|

(3 Publications)

Rabbit Polyclonal MitoNEET antibody. Suitable for IHC-P and reacts with Rat samples. Cited in 3 publications. Immunogen corresponding to Synthetic Peptide within Human CISD1 aa 50 to C-terminus conjugated to Keyhole Limpet Haemocyanin.

View Alternative Names

C10orf70, ZCD1, MDS029, CISD1, CDGSH iron-sulfur domain-containing protein 1, Cysteine transaminase CISD1, MitoNEET

3 Images
Immunohistochemistry (Formalin/PFA-fixed paraffin-embedded sections) - Anti-MitoNEET antibody (AB203096)
  • IHC-P

Supplier Data

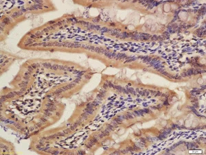
Immunohistochemistry (Formalin/PFA-fixed paraffin-embedded sections) - Anti-MitoNEET antibody (AB203096)

Immunohistochemical analysis of formalin-fixed, paraffin-embedded Rat colon tissue labeling MitoNEET with ab203096 at 1/200 dilution, followed by conjugation to the secondary antibody and DAB staining.

Immunohistochemistry (Formalin/PFA-fixed paraffin-embedded sections) - Anti-MitoNEET antibody (AB203096)
  • IHC-P

Supplier Data

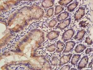
Immunohistochemistry (Formalin/PFA-fixed paraffin-embedded sections) - Anti-MitoNEET antibody (AB203096)

Immunohistochemical analysis of formalin-fixed, paraffin-embedded Rat colon tissue labeling MitoNEET with ab203096 at 1/200 dilution, followed by conjugation to the secondary antibody and DAB staining.

Immunohistochemistry (Formalin/PFA-fixed paraffin-embedded sections) - Anti-MitoNEET antibody (AB203096)
  • IHC-P

Supplier Data

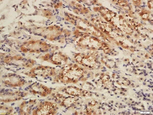
Immunohistochemistry (Formalin/PFA-fixed paraffin-embedded sections) - Anti-MitoNEET antibody (AB203096)

Immunohistochemical analysis of formalin-fixed, paraffin-embedded Rat stomach tissue labeling MitoNEET with ab203096 at 1/200 dilution, followed by conjugation to the secondary antibody and DAB staining.

Key facts

Host species

Rabbit

Clonality

Polyclonal

Isotype

IgG

Carrier free

No

Reacts with

Rat

Applications

IHC-P

applications

Immunogen

Synthetic Peptide within Human CISD1 aa 50 to C-terminus conjugated to Keyhole Limpet Haemocyanin. The exact immunogen used to generate this antibody is proprietary information.

Q9NZ45

Reactivity data

{ "title": "Reactivity Data", "filters": { "stats": ["", "Species", "Dilution Info", "Notes"], "tabs": { "all-applications": {"fullname" : "All Applications", "shortname": "All Applications"}, "IHCP" : {"fullname" : "Immunohistochemistry (Formalin/PFA-fixed paraffin-embedded sections)", "shortname":"IHC-P"} }, "product-promise": { "all": "all", "testedAndGuaranteed": "tested", "guaranteed": "expected", "predicted": "predicted", "notRecommended": "not-recommended" } }, "values": { "Rat": { "IHCP-species-checked": "testedAndGuaranteed", "IHCP-species-dilution-info": "1/100 - 1/500", "IHCP-species-notes": "<p>When using a fluorescent probe the recommended dilution is 1/50 – 1/200.</p>" } } }

Properties and storage information

Form
Liquid
Purification technique
Affinity purification Protein A
Storage buffer
pH: 7.4 Preservative: 0.02% Proclin 300 Constituents: 50% Glycerol (glycerin, glycerine), 48.98% TBS, 1X, 1% BSA
Shipped at conditions
Blue Ice
Appropriate short-term storage duration
1-2 weeks
Appropriate short-term storage conditions
+4°C
Appropriate long-term storage conditions
-20°C
Aliquoting information
Upon delivery aliquot
Storage information
Avoid freeze / thaw cycle

Product protocols

For this product, it's our understanding that no specific protocols are required. You can visit:

Target data

L-cysteine transaminase that catalyzes the reversible transfer of the amino group from L-cysteine to the alpha-keto acid 2-oxoglutarate to respectively form 2-oxo-3-sulfanylpropanoate and L-glutamate (PubMed : 36194135). The catalytic cycle occurs in the presence of pyridoxal 5'-phosphate (PLP) cofactor that facilitates transamination by initially forming an internal aldimine with the epsilon-amino group of active site Lys-55 residue on the enzyme (PLP-enzyme aldimine), subsequently displaced by formation of an external aldimine with the substrate amino group (PLP-L-cysteine aldimine). The external aldimine is further deprotonated to form a carbanion intermediate, which in the presence of 2-oxoglutarate regenerates PLP yielding final products 2-oxo-3-sulfanylpropanoate and L-glutamate. The proton transfer in carbanion intermediate is suggested to be controlled by the active site lysine residue, whereas PLP stabilizes carbanion structure through electron delocalization, also known as the electron sink effect (PubMed : 36194135). Plays a key role in regulating maximal capacity for electron transport and oxidative phosphorylation (By similarity). May be involved in iron-sulfur cluster shuttling and/or in redox reactions. Can transfer the [2Fe-2S] cluster to an apo-acceptor protein only when in the oxidation state, likely serving as a redox sensor that regulates mitochondrial iron-sulfur cluster assembly and iron trafficking upon oxidative stress (PubMed : 17584744, PubMed : 21788481, PubMed : 23758282).
See full target information CISD1

Publications (3)

Recent publications for all applications. Explore the full list and refine your search

Frontiers in immunology 14:1128244 PubMed37818357

2023

PLEKHA4 is a novel prognostic biomarker that reshapes the tumor microenvironment in lower-grade glioma.

Applications

Unspecified application

Species

Unspecified reactive species

Wenqian Zhi,Ye Wang,Chenyu Jiang,Yuqin Gong,Qiuyan Chen,Xiang Mao,Wensheng Deng,Shasha Zhao

Cancer cell international 22:21 PubMed35033072

2022

Development and validation of a novel 3-gene prognostic model for pancreatic adenocarcinoma based on ferroptosis-related genes.

Applications

Unspecified application

Species

Unspecified reactive species

Jihua Yang,XiaoHong Wei,Fang Hu,Wei Dong,Liao Sun

Brain : a journal of neurology 144:3788-3807 PubMed34972207

2022

Clinically relevant mitochondrial-targeted therapy improves chronic outcomes after traumatic brain injury.

Applications

Unspecified application

Species

Unspecified reactive species

W Brad Hubbard,Malinda L Spry,Jennifer L Gooch,Amber L Cloud,Hemendra J Vekaria,Shawn Burden,David K Powell,Bruce A Berkowitz,Werner J Geldenhuys,Neil G Harris,Patrick G Sullivan
View all publications

Product promise

We are committed to supporting your work with high-quality reagents, and we're here for you every step of the way. In the unlikely event that one of our products does not perform as expected, you're protected by our Product Promise.
For full details, please see our Terms & Conditions

Please note: All products are 'FOR RESEARCH USE ONLY. NOT FOR USE IN DIAGNOSTIC OR THERAPEUTIC PROCEDURES'.

For licensing inquiries, please contact partnerships@abcam.com