JavaScript is disabled in your browser. Please enable JavaScript to view this website.
AB131504

Anti-MK2 (phospho T334) antibody

Be the first to review this product! Submit a review

|

(3 Publications)

Rabbit Polyclonal MK2 phospho T334 antibody. Suitable for IHC-P, ICC/IF, WB and reacts with Human, Mouse samples. Cited in 3 publications. Immunogen corresponding to Synthetic Peptide within Human MAPKAPK2 phospho T334 conjugated to Keyhole Limpet Haemocyanin.

View Alternative Names

MAP kinase-activated protein kinase 2, MAPK-activated protein kinase 2, MAPKAP kinase 2, MAPKAP-K2, MAPKAPK-2, MK-2, MK2, MAPKAPK2

3 Images
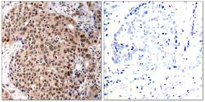
Immunohistochemistry (Formalin/PFA-fixed paraffin-embedded sections) - Anti-MK2 (phospho T334) antibody (AB131504)
  • IHC-P

Unknown

Immunohistochemistry (Formalin/PFA-fixed paraffin-embedded sections) - Anti-MK2 (phospho T334) antibody (AB131504)

Immunohistochemical analysis of paraffin-embedded Human breast carcinoma tissue labelling MK2 (phospho T334) with ab131504 at 1/50 dilution (left) or ab131504 preincubated with blocking peptide (right).

Immunocytochemistry/ Immunofluorescence - Anti-MK2 (phospho T334) antibody (AB131504)
  • ICC/IF

Unknown

Immunocytochemistry/ Immunofluorescence - Anti-MK2 (phospho T334) antibody (AB131504)

Immunofluorescent analysis of methanol-fixed HeLa cells labelling MK2 (phospho T334) with ab131504 at 1/100 dilution.

Western blot - Anti-MK2 (phospho T334) antibody (AB131504)
  • WB

Unknown

Western blot - Anti-MK2 (phospho T334) antibody (AB131504)

All lanes:

Western blot - Anti-MK2 (phospho T334) antibody (ab131504) at 1/500 dilution

Lane 1:

Untreated HeLa cell extract

Lane 2:

HeLa cell extract treated with UV

Predicted band size: 46 kDa

false

Key facts

Host species

Rabbit

Clonality

Polyclonal

Isotype

IgG

Carrier free

No

Reacts with

Mouse, Human

Applications

WB, ICC/IF, IHC-P

applications

Immunogen

Synthetic Peptide within Human MAPKAPK2 phospho T334 conjugated to Keyhole Limpet Haemocyanin. The exact immunogen used to generate this antibody is proprietary information.

P49137

Specificity

ab131504 detects endogenous levels of MK2 only when phosphorylated at threonine 334. The immunogen sequence used to produce ab131504 is 90% identical to the corresponding region of MAPKAP Kinase 3MK3, therefore ab131504 may cross react with human MK3 but this has not been confirmed.

Reactivity data

{ "title": "Reactivity Data", "filters": { "stats": ["", "Species", "Dilution Info", "Notes"], "tabs": { "all-applications": {"fullname" : "All Applications", "shortname": "All Applications"}, "IHCP" : {"fullname" : "Immunohistochemistry (Formalin/PFA-fixed paraffin-embedded sections)", "shortname":"IHC-P"}, "ICCIF" : {"fullname" : "Immunocytochemistry/ Immunofluorescence", "shortname":"ICC/IF"}, "WB" : {"fullname" : "Western blot", "shortname":"WB"} }, "product-promise": { "all": "all", "testedAndGuaranteed": "tested", "guaranteed": "expected", "predicted": "predicted", "notRecommended": "not-recommended" } }, "values": { "Human": { "IHCP-species-checked": "testedAndGuaranteed", "IHCP-species-dilution-info": "1/50 - 1/100", "IHCP-species-notes": "<p></p>", "ICCIF-species-checked": "testedAndGuaranteed", "ICCIF-species-dilution-info": "1/100 - 1/200", "ICCIF-species-notes": "<p></p>", "WB-species-checked": "testedAndGuaranteed", "WB-species-dilution-info": "1/500 - 1/1000", "WB-species-notes": "<p></p>" }, "Mouse": { "IHCP-species-checked": "guaranteed", "IHCP-species-dilution-info": "1/50 - 1/100", "IHCP-species-notes": "<p></p>", "ICCIF-species-checked": "guaranteed", "ICCIF-species-dilution-info": "1/100 - 1/200", "ICCIF-species-notes": "<p></p>", "WB-species-checked": "guaranteed", "WB-species-dilution-info": "1/500 - 1/1000", "WB-species-notes": "<p></p>" } } }

Properties and storage information

Form
Liquid
Purification technique
Affinity purification Immunogen
Purification notes
ab131504 was purified by affinity chromatography using epitope-specific phosphopeptide. Non-phospho specific antibodies were removed by chromatography using non-phosphopeptide.
Storage buffer
pH: 7.4 Preservative: 0.02% Sodium azide Constituents: PBS, 50% Glycerol (glycerin, glycerine), 0.88% Sodium chloride
Shipped at conditions
Blue Ice
Appropriate short-term storage conditions
+4°C
Appropriate long-term storage conditions
-20°C
Storage information
Stable for 12 months at -20°C

Supplementary information

This supplementary information is collated from multiple sources and compiled automatically.

The MK2 protein also known as mitogen-activated protein kinase-activated protein kinase 2 or MAPKAPK2 is an important enzyme involved in cellular signaling. MK2 has a protein mass of approximately 44 kDa. It is widely expressed in various tissues indicating its broad functional roles. MK2 interacts with MAP kinases facilitating the transmission of signals within cells during stress responses and inflammation.
Biological function summary

MK2 plays an important role in the cellular stress response by regulating cytokine production particularly in inflammation. It acts as part of a protein complex with p38 MAPK enhancing its kinase activity. This interaction allows MK2 to control the expression of inflammatory cytokines and other stress-responsive proteins. The complex also responds to cellular stress signals allowing it to modulate gene expression effectively.

Pathways

MK2 contributes to the p38 MAPK signaling pathway a major route for stress and inflammatory responses in cells. MK2 often interacts with related proteins like p38 MAPK which are directly upstream in the signaling cascade. Additionally MK2 is involved in the post-transcriptional regulation of mRNA stability and translation interfacing with the NF-kB signaling pathway highlighting its regulatory role in inflammation.

MK2's role in inflammation links it to numerous inflammatory diseases such as rheumatoid arthritis and Crohn's disease. MK2's interaction with other proteins like p38 MAPK and downstream effectors such as transcription factors emphasizes its therapeutic potential. Targeting MK2 and its interaction with these proteins may offer novel treatments for conditions characterized by dysregulated inflammatory responses.

Product protocols

For this product, it's our understanding that no specific protocols are required. You can visit:

Target data

Stress-activated serine/threonine-protein kinase involved in cytokine production, endocytosis, reorganization of the cytoskeleton, cell migration, cell cycle control, chromatin remodeling, DNA damage response and transcriptional regulation. Following stress, it is phosphorylated and activated by MAP kinase p38-alpha/MAPK14, leading to phosphorylation of substrates. Phosphorylates serine in the peptide sequence, Hyd-X-R-X(2)-S, where Hyd is a large hydrophobic residue. Phosphorylates ALOX5, CDC25B, CDC25C, CEP131, ELAVL1, HNRNPA0, HSP27/HSPB1, KRT18, KRT20, LIMK1, LSP1, PABPC1, PARN, PDE4A, RCSD1, RPS6KA3, TAB3 and TTP/ZFP36. Phosphorylates HSF1; leading to the interaction with HSP90 proteins and inhibiting HSF1 homotrimerization, DNA-binding and transactivation activities (PubMed : 16278218). Mediates phosphorylation of HSP27/HSPB1 in response to stress, leading to the dissociation of HSP27/HSPB1 from large small heat-shock protein (sHsps) oligomers and impairment of their chaperone activities and ability to protect against oxidative stress effectively. Involved in inflammatory response by regulating tumor necrosis factor (TNF) and IL6 production post-transcriptionally : acts by phosphorylating AU-rich elements (AREs)-binding proteins ELAVL1, HNRNPA0, PABPC1 and TTP/ZFP36, leading to the regulation of the stability and translation of TNF and IL6 mRNAs. Phosphorylation of TTP/ZFP36, a major post-transcriptional regulator of TNF, promotes its binding to 14-3-3 proteins and reduces its ARE mRNA affinity, leading to inhibition of dependent degradation of ARE-containing transcripts. Phosphorylates CEP131 in response to cellular stress induced by ultraviolet irradiation which promotes binding of CEP131 to 14-3-3 proteins and inhibits formation of novel centriolar satellites (PubMed : 26616734). Also involved in late G2/M checkpoint following DNA damage through a process of post-transcriptional mRNA stabilization : following DNA damage, relocalizes from nucleus to cytoplasm and phosphorylates HNRNPA0 and PARN, leading to stabilization of GADD45A mRNA. Involved in toll-like receptor signaling pathway (TLR) in dendritic cells : required for acute TLR-induced macropinocytosis by phosphorylating and activating RPS6KA3.
See full target information MAPKAPK2 phospho T334

Publications (3)

Recent publications for all applications. Explore the full list and refine your search

BioMed research international 2020:3021750 PubMed33376718

2020

Ultrashort Wave Combined with Human Umbilical Cord Mesenchymal Stem Cell (HUC-MSC) Transplantation Inhibits NLRP3 Inflammasome and Improves Spinal Cord Injury via MK2/TTP Signalling Pathway.

Applications

Unspecified application

Species

Unspecified reactive species

Li Na,Shuai Wang,Tongtong Liu,Lixin Zhang

International journal of molecular medicine 42:1909-1916 PubMed30066830

2018

Ultrashortwave radiation promotes the recovery of spinal cord injury by inhibiting inflammation via suppression of the MK2/TNF‑α pathway.

Applications

Unspecified application

Species

Unspecified reactive species

Nan Wang,Zhiping Feng,Wei Zhao,Zhiqiang Zhang,Lixin Zhang

Brazilian journal of medical and biological resear 51:e7046 PubMed29791590

2018

lncRNA CCAT1 promotes cell proliferation, migration, and invasion by down-regulation of miR-143 in FTC-133 thyroid carcinoma cell line.

Applications

Unspecified application

Species

Unspecified reactive species

Tianzheng Yang,Hongyan Zhai,Ruihong Yan,Zhenhu Zhou,Lei Gao,Luqing Wang
View all publications

Product promise

We are committed to supporting your work with high-quality reagents, and we're here for you every step of the way. In the unlikely event that one of our products does not perform as expected, you're protected by our Product Promise.
For full details, please see our Terms & Conditions

Please note: All products are 'FOR RESEARCH USE ONLY. NOT FOR USE IN DIAGNOSTIC OR THERAPEUTIC PROCEDURES'.

For licensing inquiries, please contact partnerships@abcam.com