JavaScript is disabled in your browser. Please enable JavaScript to view this website.
AB154901

Anti-MKK6 antibody

Be the first to review this product! Submit a review

|

(3 Publications)

Rabbit Polyclonal MP2K6 antibody. Suitable for IHC-P, WB, ICC/IF and reacts with Mouse, Human samples. Cited in 3 publications. Immunogen corresponding to Recombinant Fragment Protein within Human MAP2K6 aa 1 to C-terminus.

View Alternative Names

MEK6, MKK6, PRKMK6, SKK3, MAP2K6, Dual specificity mitogen-activated protein kinase kinase 6, MAP kinase kinase 6, MAPKK 6, MAPK/ERK kinase 6, Stress-activated protein kinase kinase 3, MEK 6, SAPK kinase 3, SAPKK-3, SAPKK3

4 Images
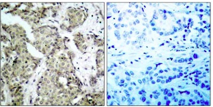
Immunohistochemistry (Formalin/PFA-fixed paraffin-embedded sections) - Anti-MKK6 antibody (AB154901)
  • IHC-P

Unknown

Immunohistochemistry (Formalin/PFA-fixed paraffin-embedded sections) - Anti-MKK6 antibody (AB154901)

Immunohistochemical analysis of formalin-fixed, paraffin-embedded Human N87 xenograft tissue labeling MKK6 with ab154901 at 1/500 dilution.

Immunohistochemistry (Formalin/PFA-fixed paraffin-embedded sections) - Anti-MKK6 antibody (AB154901)
  • IHC-P

Supplier Data

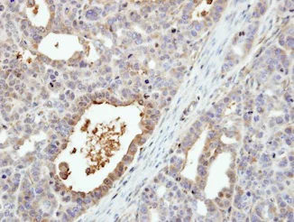
Immunohistochemistry (Formalin/PFA-fixed paraffin-embedded sections) - Anti-MKK6 antibody (AB154901)

Paraffin embedded mouse duodenum tissue stained for MEK6 using ab154901 at 1/500 dilution in immunohistochemical analysis.

Immunocytochemistry/ Immunofluorescence - Anti-MKK6 antibody (AB154901)
  • ICC/IF

Unknown

Immunocytochemistry/ Immunofluorescence - Anti-MKK6 antibody (AB154901)

Immunofluorescent analysis of methanol-fixed HeLa cells labeling MKK6 with ab154901 at 1/200 dilution. Lower image shows cells co-stained with Hoechst 33342.

Western blot - Anti-MKK6 antibody (AB154901)
  • WB

Unknown

Western blot - Anti-MKK6 antibody (AB154901)

10% SDS PAGE

All lanes:

Western blot - Anti-MKK6 antibody (ab154901) at 1/1000 dilution

All lanes:

HEK-293T whole cell lysate at 30 µg

Predicted band size: 37 kDa

false

Key facts

Host species

Rabbit

Clonality

Polyclonal

Isotype

IgG

Carrier free

No

Reacts with

Mouse, Human

Applications

WB, ICC/IF, IHC-P

applications

Immunogen

Recombinant Fragment Protein within Human MAP2K6 aa 1 to C-terminus. The exact immunogen used to generate this antibody is proprietary information.

P52564

Reactivity data

{ "title": "Reactivity Data", "filters": { "stats": ["", "Species", "Dilution Info", "Notes"], "tabs": { "all-applications": {"fullname" : "All Applications", "shortname": "All Applications"}, "IHCP" : {"fullname" : "Immunohistochemistry (Formalin/PFA-fixed paraffin-embedded sections)", "shortname":"IHC-P"}, "WB" : {"fullname" : "Western blot", "shortname":"WB"}, "ICCIF" : {"fullname" : "Immunocytochemistry/ Immunofluorescence", "shortname":"ICC/IF"} }, "product-promise": { "all": "all", "testedAndGuaranteed": "tested", "guaranteed": "expected", "predicted": "predicted", "notRecommended": "not-recommended" } }, "values": { "Human": { "IHCP-species-checked": "testedAndGuaranteed", "IHCP-species-dilution-info": "1/100 - 1/1000", "IHCP-species-notes": "<p>Alternatively antigen retrieval using heat mediated Tris/EDTA buffer (pH 8.0) may be used.</p> Perform heat-mediated antigen retrieval with citrate buffer pH 6 before commencing with IHC staining protocol.", "WB-species-checked": "testedAndGuaranteed", "WB-species-dilution-info": "1/500 - 1/3000", "WB-species-notes": "<p></p>", "ICCIF-species-checked": "testedAndGuaranteed", "ICCIF-species-dilution-info": "1/100 - 1/1000", "ICCIF-species-notes": "<p></p>" }, "Mouse": { "IHCP-species-checked": "testedAndGuaranteed", "IHCP-species-dilution-info": "1/100 - 1/1000", "IHCP-species-notes": "<p>Alternatively antigen retrieval using heat mediated Tris/EDTA buffer (pH 8.0) may be used.</p> Perform heat-mediated antigen retrieval with citrate buffer pH 6 before commencing with IHC staining protocol.", "WB-species-checked": "guaranteed", "WB-species-dilution-info": "", "WB-species-notes": "", "ICCIF-species-checked": "guaranteed", "ICCIF-species-dilution-info": "", "ICCIF-species-notes": "" }, "Rat": { "IHCP-species-checked": "predicted", "IHCP-species-dilution-info": "", "IHCP-species-notes": "", "WB-species-checked": "predicted", "WB-species-dilution-info": "", "WB-species-notes": "", "ICCIF-species-checked": "predicted", "ICCIF-species-dilution-info": "", "ICCIF-species-notes": "" }, "Cow": { "IHCP-species-checked": "predicted", "IHCP-species-dilution-info": "", "IHCP-species-notes": "", "WB-species-checked": "predicted", "WB-species-dilution-info": "", "WB-species-notes": "", "ICCIF-species-checked": "predicted", "ICCIF-species-dilution-info": "", "ICCIF-species-notes": "" } } }

Properties and storage information

Form
Liquid
Purification technique
Affinity purification Immunogen
Storage buffer
pH: 7 Preservative: 0.01% Thimerosal (merthiolate) Constituents: 10% Glycerol (glycerin, glycerine), 1.21% Tris, 0.75% Glycine
Shipped at conditions
Blue Ice
Appropriate short-term storage duration
1-2 weeks
Appropriate short-term storage conditions
+4°C
Appropriate long-term storage conditions
-20°C
Aliquoting information
Upon delivery aliquot
Storage information
Avoid freeze / thaw cycle

Supplementary information

This supplementary information is collated from multiple sources and compiled automatically.

MKK6 also known as MAP2K6 functions as a dual-specificity kinase within cellular signaling processes. It belongs to the MAP kinase kinase (MAP2K) family and specifically activates p38 MAP kinase by phosphorylation. This protein weighs approximately 38 kDa and is expressed in various tissues with higher levels often found in the brain heart and skeletal muscle. MKK6 plays a significant role in transmitting signals that regulate cellular responses to stress and inflammation.
Biological function summary

This protein modulates important cellular mechanisms by acting as an important component of the p38 MAPK signaling cascade. It interacts with other kinases to form signaling complexes that mediate responses like cell growth division and apoptosis. MKK6 becomes activated in response to environmental stressors and cytokines triggering a phosphorylation cascade that concludes with the activation of p38 MAPK which then enters the nucleus to influence gene expression.

Pathways

MKK6 integrates into the MAPK signaling pathway particularly in stress response and inflammatory signaling pathways. The protein activates p38 MAPK an important player in these pathways and associates with other proteins such as MKK3 and MKK4 to regulate diverse cellular activities. This activation is a part of well-established pathways like cytokine production and response to DNA damage offering comprehensive regulation of cellular homeostasis.

MKK6 involvement links to inflammatory conditions and stress-related pathologies. It has been implicated in diseases like rheumatoid arthritis where its activity relates to increased inflammatory responses and also in cancer contributing to tumor growth and survival via p38 MAPK activation. Through these conditions MKK6 connects closely with other proteins within the MAPK pathway including p38 MAPK which plays a role in the alteration of cellular proliferation and apoptosis often observed in pathological states.

Product protocols

For this product, it's our understanding that no specific protocols are required. You can visit:

Target data

Dual specificity protein kinase which acts as an essential component of the MAP kinase signal transduction pathway. With MAP3K3/MKK3, catalyzes the concomitant phosphorylation of a threonine and a tyrosine residue in the MAP kinases p38 MAPK11, MAPK12, MAPK13 and MAPK14 and plays an important role in the regulation of cellular responses to cytokines and all kinds of stresses. Especially, MAP2K3/MKK3 and MAP2K6/MKK6 are both essential for the activation of MAPK11 and MAPK13 induced by environmental stress, whereas MAP2K6/MKK6 is the major MAPK11 activator in response to TNF. MAP2K6/MKK6 also phosphorylates and activates PAK6. The p38 MAP kinase signal transduction pathway leads to direct activation of transcription factors. Nuclear targets of p38 MAP kinase include the transcription factors ATF2 and ELK1. Within the p38 MAPK signal transduction pathway, MAP3K6/MKK6 mediates phosphorylation of STAT4 through MAPK14 activation, and is therefore required for STAT4 activation and STAT4-regulated gene expression in response to IL-12 stimulation. The pathway is also crucial for IL-6-induced SOCS3 expression and down-regulation of IL-6-mediated gene induction; and for IFNG-dependent gene transcription. Has a role in osteoclast differentiation through NF-kappa-B transactivation by TNFSF11, and in endochondral ossification and since SOX9 is another likely downstream target of the p38 MAPK pathway. MAP2K6/MKK6 mediates apoptotic cell death in thymocytes. Acts also as a regulator for melanocytes dendricity, through the modulation of Rho family GTPases.
See full target information MAP2K6

Publications (3)

Recent publications for all applications. Explore the full list and refine your search

Phytotherapy research : PTR 37:731-742 PubMed36196887

2022

Effect of curcumin on regulatory B cells in chronic colitis mice involving TLR/MyD88 signaling pathway.

Applications

Unspecified application

Species

Unspecified reactive species

Jie Huang,Tiantian Wu,Youbao Zhong,Jiaqi Huang,Zengping Kang,Bugao Zhou,Haimei Zhao,Duanyong Liu

Journal of cellular and molecular medicine 26:1817-1825 PubMed33372369

2020

CircASPH promotes KGN cells proliferation through miR-375/MAP2K6 axis in Polycystic Ovary Syndrome.

Applications

Unspecified application

Species

Unspecified reactive species

Gengxiang Wu,Jing Xia,Zhe Yang,Yajie Chen,Wei Jiang,Tailang Yin,Jing Yang

Oncology reports 41:43-56 PubMed30365128

2018

PEA15 promotes liver metastasis of colorectal cancer by upregulating the ERK/MAPK signaling pathway.

Applications

Unspecified application

Species

Unspecified reactive species

Bo Tang,Wenjin Liang,Yong Liao,Zeming Li,Yan Wang,Chao Yan
View all publications

Product promise

We are committed to supporting your work with high-quality reagents, and we're here for you every step of the way. In the unlikely event that one of our products does not perform as expected, you're protected by our Product Promise.
For full details, please see our Terms & Conditions

Please note: All products are 'FOR RESEARCH USE ONLY. NOT FOR USE IN DIAGNOSTIC OR THERAPEUTIC PROCEDURES'.

For licensing inquiries, please contact partnerships@abcam.com