JavaScript is disabled in your browser. Please enable JavaScript to view this website.
AB52618

Anti-MKK7 antibody [EP1455Y]

Be the first to review this product! Submit a review

|

(15 Publications)

Rabbit Recombinant Monoclonal MKK7 antibody. Suitable for IHC-P, WB, Flow Cyt (Intra) and reacts with Human, Rat, Mouse samples. Cited in 15 publications.

View Alternative Names

JNKK2, MEK7, MKK7, PRKMK7, SKK4, MAP2K7, Dual specificity mitogen-activated protein kinase kinase 7, MAP kinase kinase 7, MAPKK 7, JNK-activating kinase 2, MAPK/ERK kinase 7, Stress-activated protein kinase kinase 4, c-Jun N-terminal kinase kinase 2, MEK 7, SAPK kinase 4, SAPKK-4, SAPKK4, JNK kinase 2, JNKK 2

5 Images
Flow Cytometry (Intracellular) - Anti-MKK7 antibody [EP1455Y] (AB52618)
  • Flow Cyt (Intra)

Lab

Flow Cytometry (Intracellular) - Anti-MKK7 antibody [EP1455Y] (AB52618)

Intracellular Flow Cytometry analysis ofMCF7 (Human breast adenocarcinoma epithelial cell) cells labeling MKK7 with ab52618at 1/100 dilution (1μg) (Red). Goat anti rabbit IgG (Alexa Fluor®488, ab150077) at 1/2000 dilution was used as the secondary antibody. Cells were fixed with4% paraformaldehyde. Rabbit monoclonal IgG (ab172730) was used as isotype control (Black). Unlabelled control : Cells without incubation with primary antibody and secondary antibody (Blue).

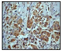
Immunohistochemistry (Formalin/PFA-fixed paraffin-embedded sections) - Anti-MKK7 antibody [EP1455Y] (AB52618)
  • IHC-P

Unknown

Immunohistochemistry (Formalin/PFA-fixed paraffin-embedded sections) - Anti-MKK7 antibody [EP1455Y] (AB52618)

ab52618 at 1/50 dilution staining human baldder tissue; paraffin embedded.

Perform heat mediated antigen retrieval with citrate buffer pH 6 before commencing with IHC staining protocol.

Western blot - Anti-MKK7 antibody [EP1455Y] (AB52618)
  • WB

Unknown

Western blot - Anti-MKK7 antibody [EP1455Y] (AB52618)

Lanes 1, 5 and 9 : Wild-type HAP1 cell lysate (20 μg)
Lanes 2, 6 and 10 : MEK7 knockout HAP1 cell lysate (20 μg)
Lanes 3, 7 and 11 : HeLa cell lysate (20 μg)
Lanes 4, 8 and 12 : A431 cell lysate (20 μg)
Lanes 1, 2, 3 and 4 : Green signal from target - ab52618 observed at 47 kDa
Lanes 5, 6, 7 and 8 : Red signal from loading control - ab8245 observed at 37 kDa
Lanes 9, 10, 11 and 12 : Merged (red and green) signal
ab52618 was shown to specifically react with MEK7 when MEK7 knockout samples were used. Wild-type and MEK7 knockout samples were subjected to SDS-PAGE. ab52618 and ab8245 (loading control to GAPDH) were diluted 1/10 000 and 1/2000 respectively and incubated overnight at 4°C. Blots were developed with Goat anti-Rabbit IgG H&L (IRDye® 800CW) preadsorbed (ab216773) and Goat anti-Mouse IgG H&L (IRDye® 680RD) preadsorbed (ab216776) secondary antibodies at 1/10000 dilution for 1 h at room temperature before imaging.

All lanes:

Western blot - Anti-MKK7 antibody [EP1455Y] (ab52618)

Predicted band size: 47 kDa

false

Western blot - Anti-MKK7 antibody [EP1455Y] (AB52618)
  • WB

Unknown

Western blot - Anti-MKK7 antibody [EP1455Y] (AB52618)

All lanes:

Western blot - Anti-MKK7 antibody [EP1455Y] (ab52618) at 1/10000 dilution

All lanes:

HeLa cell lysate at 10 µg

Secondary

All lanes:

Goat anti-rabbit HRP antibody at 1/2000 dilution

Predicted band size: 47 kDa

Observed band size: 47 kDa

false

Western blot - Anti-MKK7 antibody [EP1455Y] (AB52618)
  • WB

Supplier Data

Western blot - Anti-MKK7 antibody [EP1455Y] (AB52618)

Dilution and blocking buffer : 5% NFDM/TBST.

Low expression control : mouse and rat skeletal muscle.

In Western blot, anti-Vinculin antibody (ab129002) loading control staining at 1/10000 dilution.

All lanes:

Western blot - Anti-MKK7 antibody [EP1455Y] (ab52618) at 1/1000 dilution

Lane 1:

Mouse testis tissue lysate at 20 µg

Lane 2:

Mouse brain tissue lysate at 20 µg

Lane 3:

Mouse skeletal muscle tissue lysate (Low expression control) at 20 µg

Lane 4:

Rat testis tissue lysate at 20 µg

Lane 5:

Rat brain tissue lysate at 20 µg

Lane 6:

Rat skeletal muscle tissue lysate (Low expression control) at 20 µg

Secondary

All lanes:

Western blot - Goat Anti-Rabbit IgG H&L (HRP) (<a href='/en-us/products/secondary-antibodies/goat-rabbit-igg-h-l-hrp-ab97051'>ab97051</a>) at 1/20000 dilution

Observed band size: 47 kDa

false

Exposure time: 15s

Key facts

Host species

Rabbit

Clonality

Monoclonal

Clone number

EP1455Y

Isotype

IgG

Carrier free

No

Reacts with

Mouse, Rat, Human

Applications

Flow Cyt (Intra), WB, IHC-P

applications

Immunogen

The exact immunogen used to generate this antibody is proprietary information.

Reactivity data

{ "title": "Reactivity Data", "filters": { "stats": ["", "Species", "Dilution Info", "Notes"], "tabs": { "all-applications": {"fullname" : "All Applications", "shortname": "All Applications"}, "IHCP" : {"fullname" : "Immunohistochemistry (Formalin/PFA-fixed paraffin-embedded sections)", "shortname":"IHC-P"}, "WB" : {"fullname" : "Western blot", "shortname":"WB"}, "FlowCytIntra" : {"fullname" : "Flow Cytometry (Intracellular)", "shortname":"Flow Cyt (Intra)"} }, "product-promise": { "all": "all", "testedAndGuaranteed": "tested", "guaranteed": "expected", "predicted": "predicted", "notRecommended": "not-recommended" } }, "values": { "Human": { "IHCP-species-checked": "testedAndGuaranteed", "IHCP-species-dilution-info": "", "IHCP-species-notes": "<p></p> Perform heat-mediated antigen retrieval with citrate buffer pH 6 before commencing with IHC staining protocol.", "WB-species-checked": "testedAndGuaranteed", "WB-species-dilution-info": "1/10000", "WB-species-notes": "<p></p>", "FlowCytIntra-species-checked": "testedAndGuaranteed", "FlowCytIntra-species-dilution-info": "1/100", "FlowCytIntra-species-notes": "<p><a href='/en-us/products/primary-antibodies/rabbit-igg-monoclonal-epr25a-isotype-control-ab172730'>ab172730</a> - Rabbit monoclonal IgG, is suitable for use as an isotype control with this antibody.</p>" }, "Mouse": { "IHCP-species-checked": "notRecommended", "IHCP-species-dilution-info": "", "IHCP-species-notes": "<p></p>", "WB-species-checked": "testedAndGuaranteed", "WB-species-dilution-info": "1/1000", "WB-species-notes": "<p></p>", "FlowCytIntra-species-checked": "guaranteed", "FlowCytIntra-species-dilution-info": "", "FlowCytIntra-species-notes": "" }, "Rat": { "IHCP-species-checked": "notRecommended", "IHCP-species-dilution-info": "", "IHCP-species-notes": "<p></p>", "WB-species-checked": "testedAndGuaranteed", "WB-species-dilution-info": "1/1000", "WB-species-notes": "<p></p>", "FlowCytIntra-species-checked": "guaranteed", "FlowCytIntra-species-dilution-info": "", "FlowCytIntra-species-notes": "" } } }

Product details

Patented technology
Our RabMAb® technology is a patented hybridoma-based technology for making rabbit monoclonal antibodies. For details on our patents, please refer to RabMAb® patents.

What are the advantages of a recombinant monoclonal antibody?
This product is a recombinant monoclonal antibody, which offers several advantages including:

  • - High batch-to-batch consistency and reproducibility
  • - Improved sensitivity and specificity
  • - Long-term security of supply
  • - Animal-free batch production

For more information, read more on recombinant antibodies.

Properties and storage information

Form
Liquid
Purification technique
Affinity purification Protein A
Storage buffer
pH: 7.2 - 7.4 Preservative: 0.01% Sodium azide Constituents: PBS, 40% Glycerol (glycerin, glycerine), 0.05% BSA
Shipped at conditions
Blue Ice
Appropriate short-term storage duration
1-2 weeks
Appropriate short-term storage conditions
+4°C
Appropriate long-term storage conditions
-20°C
Aliquoting information
Upon delivery aliquot
Storage information
Avoid freeze / thaw cycle

Supplementary information

This supplementary information is collated from multiple sources and compiled automatically.

MKK7 also known as MAP2K7 or Mitogen-activated protein kinase kinase 7 is a dual-specificity kinase involved in the phosphorylation of target proteins. It functions as a critical member of the MAP2K family with a molecular mass of approximately 44 kDa. MKK7 is widely expressed in various tissues including the brain and immune cells which indicates its diverse functional roles across different biological systems.
Biological function summary

MKK7 plays an essential role in the activation of the JNK (c-Jun N-terminal kinases) signaling pathway by phosphorylating and activating JNK. It operates as part of a signaling complex that responds to stress stimuli. This kinase is involved in numerous cellular processes such as apoptosis differentiation and inflammatory responses. The regulation of these processes by MKK7 impacts many aspects of cellular homeostasis and response to environmental changes.

Pathways

MKK7 is integrally involved in the stress-activated MAPK pathway and the cellular response to inflammatory cytokines. It closely collaborates with related proteins such as JNK1 JNK2 and JNK3 to mediate its downstream effects. Activation of this pathway leads to the modulation of gene expression that governs cell survival proliferation and other critical cellular functions.

Dysregulation of MKK7 activity connects the protein to disorders like cancer and neurodegenerative diseases. Altered MKK7-JNK signaling contributes to the pathogenesis of certain cancers by affecting cell proliferation and survival mechanisms. In neurodegenerative diseases MKK7-mediated pathways are associated with neuronal stress responses and cell death highlighting its interaction with proteins like Amyloid-beta in Alzheimer's disease. Understanding MKK7's role in these conditions offers potential for therapeutic interventions.

Product protocols

For this product, it's our understanding that no specific protocols are required. You can visit:

Target data

Dual specificity protein kinase which acts as an essential component of the MAP kinase signal transduction pathway. Essential component of the stress-activated protein kinase/c-Jun N-terminal kinase (SAP/JNK) signaling pathway. With MAP2K4/MKK4, is the one of the only known kinase to directly activate the stress-activated protein kinase/c-Jun N-terminal kinases MAPK8/JNK1, MAPK9/JNK2 and MAPK10/JNK3. MAP2K4/MKK4 and MAP2K7/MKK7 both activate the JNKs by phosphorylation, but they differ in their preference for the phosphorylation site in the Thr-Pro-Tyr motif. MAP2K4/MKK4 shows preference for phosphorylation of the Tyr residue and MAP2K7/MKK7 for the Thr residue. The monophosphorylation of JNKs on the Thr residue is sufficient to increase JNK activity indicating that MAP2K7/MKK7 is important to trigger JNK activity, while the additional phosphorylation of the Tyr residue by MAP2K4/MKK4 ensures optimal JNK activation. Has a specific role in JNK signal transduction pathway activated by pro-inflammatory cytokines. The MKK/JNK signaling pathway is also involved in mitochondrial death signaling pathway, including the release cytochrome c, leading to apoptosis. Part of a non-canonical MAPK signaling pathway, composed of the upstream MAP3K12 kinase and downstream MAP kinases MAPK1/ERK2 and MAPK3/ERK1, that enhances the AP-1-mediated transcription of APP in response to APOE (PubMed : 28111074).
See full target information MAP2K7

Publications (15)

Recent publications for all applications. Explore the full list and refine your search

BMC cancer 25:1317 PubMed40817125

2025

HACD3 promotes malignant progression of NSCLC by suppressing the MKK7/MAPK10 signaling axis.

Applications

Unspecified application

Species

Unspecified reactive species

Xiaoying Wang,Huijun Liang,Qindan Du,Ying Li,Yong Zhao

Nature communications 13:1052 PubMed35217669

2022

The E3 ubiquitin-protein ligase Trim31 alleviates non-alcoholic fatty liver disease by targeting Rhbdf2 in mouse hepatocytes.

Applications

Unspecified application

Species

Unspecified reactive species

Minxuan Xu,Jun Tan,Wei Dong,Benkui Zou,Xuepeng Teng,Liancai Zhu,Chenxu Ge,Xianling Dai,Qin Kuang,Shaoyu Zhong,Lili Lai,Chao Yi,Tingting Tang,Junjie Zhao,Longyan Wang,Jin Liu,Hao Wei,Yan Sun,Qiufeng Yang,Qiang Li,Deshuai Lou,Linfeng Hu,Xi Liu,Gang Kuang,Jing Luo,Mingxin Xiong,Jing Feng,Chufeng Zhang,Bochu Wang

International journal of molecular sciences 22: PubMed34502457

2021

Dual and Gene Deletion in Adult Mouse Causes an Impairment of Hippocampal Immature Granule Cells.

Applications

Unspecified application

Species

Unspecified reactive species

Rubén Darío Castro-Torres,Jordi Olloquequi,Miren Etchetto,Pablo Caruana,Luke Steele,Kyra-Mae Leighton,Jesús Ureña,Carlos Beas-Zarate,Antoni Camins,Ester Verdaguer,Carme Auladell

Cancer chemotherapy and pharmacology 86:361-374 PubMed32776229

2020

miR-331-3p is involved in glucocorticoid resistance reversion by rapamycin through suppression of the MAPK signaling pathway.

Applications

Unspecified application

Species

Unspecified reactive species

Marianna Lucafò,Daria Sicari,Andrea Chicco,Debora Curci,Arianna Bellazzo,Alessia Di Silvestre,Chiara Pegolo,Robert Autry,Erika Cecchin,Sara De Iudicibus,Licio Collavin,William Evans,Giuliana Decorti,Gabriele Stocco

Journal of cachexia, sarcopenia and muscle 11:1104-1120 PubMed32096609

2020

Sarcopenia is attenuated by TRB3 knockout in aging mice via the alleviation of atrophy and fibrosis of skeletal muscles.

Applications

Unspecified application

Species

Unspecified reactive species

Guo-Kai Shang,Lu Han,Zhi-Hao Wang,Ya-Peng Liu,Sen-Bo Yan,Wen-Wen Sai,Di Wang,Yi-Hui Li,Wei Zhang,Ming Zhong

Frontiers in aging neuroscience 12:23 PubMed32116652

2020

Electroacupuncture Ameliorates Cognitive Impairment by Inhibiting the JNK Signaling Pathway in a Mouse Model of Alzheimer's Disease.

Applications

Unspecified application

Species

Unspecified reactive species

Yinshan Tang,Anping Xu,Shujun Shao,You Zhou,Bing Xiong,Zhigang Li

Journal of neurochemistry 152:221-234 PubMed31390677

2019

Histone deacetylase 6 promotes growth of glioblastoma through the MKK7/JNK/c-Jun signaling pathway.

Applications

Unspecified application

Species

Unspecified reactive species

Ziyan Huang,Yong Xia,Kunhua Hu,Shulian Zeng,Liqiang Wu,Sisi Liu,Cheng Zhi,Miaoling Lai,Danmin Chen,Longchang Xie,Zhongmin Yuan

Human pathology 86:143-154 PubMed30537492

2018

Clinicopathological and prognostic significance of MKK4 and MKK7 in resectable pancreatic ductal adenocarcinoma.

Applications

Unspecified application

Species

Unspecified reactive species

Jun Lu,Li Zhou,Gang Yang,Zhi-Yong Liang,Wei-Xun Zhou,Lei You,Da Yuan,Bing-Qi Li,Jun-Chao Guo,Yu-Pei Zhao

Toxicology letters 290:36-45 PubMed29567110

2018

ROS generation and MAPKs activation contribute to the Ni-induced testosterone synthesis disturbance in rat Leydig cells.

Applications

WB

Species

Rat

Aijie Han,Lingyue Zou,Xiaoqin Gan,Yu Li,Fangfang Liu,Xuhong Chang,Xiaotian Zhang,Minmin Tian,Sheng Li,Li Su,Yingbiao Sun

The Journal of biological chemistry 293:3965-3980 PubMed29352108

2018

DeSUMOylation of MKK7 kinase by the SUMO2/3 protease SENP3 potentiates lipopolysaccharide-induced inflammatory signaling in macrophages.

Applications

Unspecified application

Species

Unspecified reactive species

Yimin Lao,Kai Yang,Zhaojun Wang,Xueqing Sun,Qiang Zou,Xiaoyan Yu,Jinke Cheng,Xuemei Tong,Edward T H Yeh,Jie Yang,Jing Yi
View all publications

Product promise

We are committed to supporting your work with high-quality reagents, and we're here for you every step of the way. In the unlikely event that one of our products does not perform as expected, you're protected by our Product Promise.
For full details, please see our Terms & Conditions

Please note: All products are 'FOR RESEARCH USE ONLY. NOT FOR USE IN DIAGNOSTIC OR THERAPEUTIC PROCEDURES'.

For licensing inquiries, please contact partnerships@abcam.com