JavaScript is disabled in your browser. Please enable JavaScript to view this website.
AB4762

Anti-MKK7 (phospho S271 + T275) antibody

3

(1 Review)

|

(4 Publications)

Rabbit Polyclonal MKK7 phospho S271 + T275 antibody. Suitable for WB and reacts with Recombinant full length protein samples. Cited in 4 publications.

View Alternative Names

JNKK2, MEK7, MKK7, PRKMK7, SKK4, MAP2K7, Dual specificity mitogen-activated protein kinase kinase 7, MAP kinase kinase 7, MAPKK 7, JNK-activating kinase 2, MAPK/ERK kinase 7, Stress-activated protein kinase kinase 4, c-Jun N-terminal kinase kinase 2, MEK 7, SAPK kinase 4, SAPKK-4, SAPKK4, JNK kinase 2, JNKK 2

1 Images
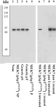
Western blot - Anti-MKK7 (phospho S271 + T275) antibody (AB4762)
  • WB

Unknown

Western blot - Anti-MKK7 (phospho S271 + T275) antibody (AB4762)

Peptide Competition : Extracts prepared from background extracts with tagged fusion protein expressing MEK 7 added were resolved by SDS-PAGE on a 10% polyacrylamide gel and transferred to PVDF. Membranes were blocked with a 5% BSA-TBST buffer overnight at 4°C, then were incubated with 0.50 μg/mL ab4762 antibody for two hours at room temperature in a 3% BSA-TBST buffer, following prior incubation with : no peptide (1), the non-phosphopeptide corresponding to the

All lanes:

Western blot - Anti-MKK7 (phospho S271 + T275) antibody (ab4762)

Predicted band size: 47 kDa

false

Key facts

Host species

Rabbit

Clonality

Polyclonal

Isotype

IgG

Carrier free

No

Applications

WB

applications

Immunogen

Synthetic Peptide within Human MAP2K7 phospho S271 + T275. The exact immunogen used to generate this antibody is proprietary information.

O14733

Specificity

This antibody does not react with other MEK isoforms.

Reactivity data

{ "title": "Reactivity Data", "filters": { "stats": ["", "Species", "Dilution Info", "Notes"], "tabs": { "all-applications": {"fullname" : "All Applications", "shortname": "All Applications"}, "WB" : {"fullname" : "Western blot", "shortname":"WB"} }, "product-promise": { "all": "all", "testedAndGuaranteed": "tested", "guaranteed": "expected", "predicted": "predicted", "notRecommended": "not-recommended" } }, "values": { "Mouse": { "WB-species-checked": "predicted", "WB-species-dilution-info": "", "WB-species-notes": "" }, "Recombinant full length protein": { "WB-species-checked": "testedAndGuaranteed", "WB-species-dilution-info": "", "WB-species-notes": "<p></p>" } } }

Properties and storage information

Form
Liquid
Purification technique
Affinity purification Immunogen
Purification notes
Purified from rabbit serum by sequential epitope specific chromatography. The antibody has been negatively preadsorbed using a non-phosphopeptide corresponding to the site of phosphorylation to remove antibody that is reactive with non-phosphorylated MEK 7. The final product is generated by affinity chromatography using an MEK 7 derived peptide that is phosphorylated at serine 271 and threonine 275.
Storage buffer
pH: 7.3 Preservative: 0.05% Sodium azide Constituents: PBS, 0.1% BSA
Shipped at conditions
Blue Ice
Appropriate short-term storage conditions
+4°C
Appropriate long-term storage conditions
-20°C
Aliquoting information
Upon delivery aliquot
Storage information
Avoid freeze / thaw cycle

Supplementary information

This supplementary information is collated from multiple sources and compiled automatically.

MKK7 also known as MAP2K7 or Mitogen-activated protein kinase kinase 7 is a dual-specificity kinase involved in the phosphorylation of target proteins. It functions as a critical member of the MAP2K family with a molecular mass of approximately 44 kDa. MKK7 is widely expressed in various tissues including the brain and immune cells which indicates its diverse functional roles across different biological systems.
Biological function summary

MKK7 plays an essential role in the activation of the JNK (c-Jun N-terminal kinases) signaling pathway by phosphorylating and activating JNK. It operates as part of a signaling complex that responds to stress stimuli. This kinase is involved in numerous cellular processes such as apoptosis differentiation and inflammatory responses. The regulation of these processes by MKK7 impacts many aspects of cellular homeostasis and response to environmental changes.

Pathways

MKK7 is integrally involved in the stress-activated MAPK pathway and the cellular response to inflammatory cytokines. It closely collaborates with related proteins such as JNK1 JNK2 and JNK3 to mediate its downstream effects. Activation of this pathway leads to the modulation of gene expression that governs cell survival proliferation and other critical cellular functions.

Dysregulation of MKK7 activity connects the protein to disorders like cancer and neurodegenerative diseases. Altered MKK7-JNK signaling contributes to the pathogenesis of certain cancers by affecting cell proliferation and survival mechanisms. In neurodegenerative diseases MKK7-mediated pathways are associated with neuronal stress responses and cell death highlighting its interaction with proteins like Amyloid-beta in Alzheimer's disease. Understanding MKK7's role in these conditions offers potential for therapeutic interventions.

Product protocols

For this product, it's our understanding that no specific protocols are required. You can visit:

Target data

Dual specificity protein kinase which acts as an essential component of the MAP kinase signal transduction pathway. Essential component of the stress-activated protein kinase/c-Jun N-terminal kinase (SAP/JNK) signaling pathway. With MAP2K4/MKK4, is the one of the only known kinase to directly activate the stress-activated protein kinase/c-Jun N-terminal kinases MAPK8/JNK1, MAPK9/JNK2 and MAPK10/JNK3. MAP2K4/MKK4 and MAP2K7/MKK7 both activate the JNKs by phosphorylation, but they differ in their preference for the phosphorylation site in the Thr-Pro-Tyr motif. MAP2K4/MKK4 shows preference for phosphorylation of the Tyr residue and MAP2K7/MKK7 for the Thr residue. The monophosphorylation of JNKs on the Thr residue is sufficient to increase JNK activity indicating that MAP2K7/MKK7 is important to trigger JNK activity, while the additional phosphorylation of the Tyr residue by MAP2K4/MKK4 ensures optimal JNK activation. Has a specific role in JNK signal transduction pathway activated by pro-inflammatory cytokines. The MKK/JNK signaling pathway is also involved in mitochondrial death signaling pathway, including the release cytochrome c, leading to apoptosis. Part of a non-canonical MAPK signaling pathway, composed of the upstream MAP3K12 kinase and downstream MAP kinases MAPK1/ERK2 and MAPK3/ERK1, that enhances the AP-1-mediated transcription of APP in response to APOE (PubMed : 28111074).
See full target information MAP2K7 phospho S271 + T275

Publications (4)

Recent publications for all applications. Explore the full list and refine your search

Cell systems 13:885-894.e4 PubMed36356576

2022

Systematic analysis of the MAPK signaling network reveals MAP3K-driven control of cell fate.

Applications

Unspecified application

Species

Unspecified reactive species

Amy F Peterson,Kayla Ingram,E J Huang,Jeeun Parksong,Connor McKenney,Gabriel S Bever,Sergi Regot

Oncology letters 22:841 PubMed34733360

2021

miR-152-mediated MKK7 downregulation is attenuated by MYCNOS in ovarian adenocarcinoma.

Applications

Unspecified application

Species

Unspecified reactive species

Guifang Zhang,Dan Zheng,Xiaoqing Chen,Li Li,Jingrong Yu

Cell death and differentiation 25:1581-1597 PubMed29449644

2018

Inhibition of the JNK/MAPK signaling pathway by myogenesis-associated miRNAs is required for skeletal muscle development.

Applications

Unspecified application

Species

Unspecified reactive species

Shu-Juan Xie,Jun-Hao Li,Hua-Feng Chen,Ye-Ya Tan,Shu-Rong Liu,Yin Zhang,Hui Xu,Jian-Hua Yang,Shun Liu,Ling-Ling Zheng,Mian-Bo Huang,Yan-Hua Guo,Qi Zhang,Hui Zhou,Liang-Hu Qu

PLoS pathogens 13:e1006534 PubMed28753655

2017

Bacterial effector NleL promotes enterohemorrhagic E. coli-induced attaching and effacing lesions by ubiquitylating and inactivating JNK.

Applications

Unspecified application

Species

Unspecified reactive species

Xiangpeng Sheng,Qing You,Hongnian Zhu,ZeNan Chang,Qingrun Li,Haifeng Wang,Chen Wang,Hongyan Wang,Lijian Hui,Chongtao Du,Xiaoduo Xie,Rong Zeng,Anning Lin,Dongfang Shi,Kangcheng Ruan,Jinghua Yan,George Fu Gao,Feng Shao,Ronggui Hu
View all publications

Product promise

We are committed to supporting your work with high-quality reagents, and we're here for you every step of the way. In the unlikely event that one of our products does not perform as expected, you're protected by our Product Promise.
For full details, please see our Terms & Conditions

Please note: All products are 'FOR RESEARCH USE ONLY. NOT FOR USE IN DIAGNOSTIC OR THERAPEUTIC PROCEDURES'.

For licensing inquiries, please contact partnerships@abcam.com