JavaScript is disabled in your browser. Please enable JavaScript to view this website.
AB217347

Anti-MKP-1 antibody

Be the first to review this product! Submit a review

|

(0 Publication)

Rabbit Polyclonal MKP-1 antibody. Suitable for IHC-P and reacts with Mouse samples. Immunogen corresponding to Synthetic Peptide within Human DUSP1 aa 150-250 conjugated to Keyhole Limpet Haemocyanin.

View Alternative Names

CL100, MKP1, PTPN10, VH1, DUSP1, Dual specificity protein phosphatase 1, Dual specificity protein phosphatase hVH1, Mitogen-activated protein kinase phosphatase 1, Protein-tyrosine phosphatase CL100, MAP kinase phosphatase 1, MKP-1

1 Images
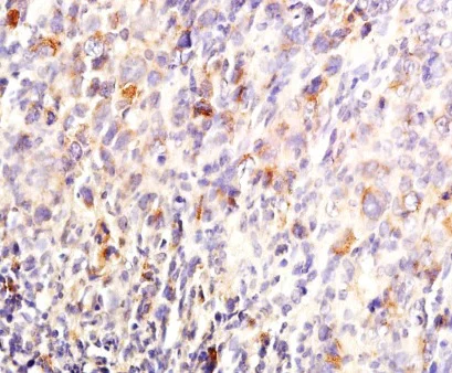
Immunohistochemistry (Formalin/PFA-fixed paraffin-embedded sections) - Anti-MKP-1 antibody (AB217347)
  • IHC-P

Supplier Data

Immunohistochemistry (Formalin/PFA-fixed paraffin-embedded sections) - Anti-MKP-1 antibody (AB217347)

Immunohistochemical analysis of formalin-fixed paraffin-embedded mouse lymphoma tissue sections labeling MKP-1 with ab217347 at a 1/200 dilution. DAB staining.

Key facts

Host species

Rabbit

Clonality

Polyclonal

Isotype

IgG

Carrier free

No

Reacts with

Mouse

Applications

IHC-P

applications

Immunogen

Synthetic Peptide within Human DUSP1 aa 150-250 conjugated to Keyhole Limpet Haemocyanin. The exact immunogen used to generate this antibody is proprietary information.

P28562

Reactivity data

{ "title": "Reactivity Data", "filters": { "stats": ["", "Species", "Dilution Info", "Notes"], "tabs": { "all-applications": {"fullname" : "All Applications", "shortname": "All Applications"}, "IHCP" : {"fullname" : "Immunohistochemistry (Formalin/PFA-fixed paraffin-embedded sections)", "shortname":"IHC-P"} }, "product-promise": { "all": "all", "testedAndGuaranteed": "tested", "guaranteed": "expected", "predicted": "predicted", "notRecommended": "not-recommended" } }, "values": { "Human": { "IHCP-species-checked": "predicted", "IHCP-species-dilution-info": "", "IHCP-species-notes": "" }, "Mouse": { "IHCP-species-checked": "testedAndGuaranteed", "IHCP-species-dilution-info": "1/100 - 1/500", "IHCP-species-notes": "<p></p>" }, "Rat": { "IHCP-species-checked": "predicted", "IHCP-species-dilution-info": "", "IHCP-species-notes": "" } } }

Properties and storage information

Form
Liquid
Purification technique
Affinity purification Protein A
Storage buffer
pH: 7.4 Preservative: 0.02% Proclin 300 Constituents: 50% Glycerol (glycerin, glycerine), 48.98% TBS, 1X, 1% BSA
Shipped at conditions
Blue Ice
Appropriate short-term storage duration
1-2 weeks
Appropriate short-term storage conditions
+4°C
Appropriate long-term storage conditions
-20°C
Aliquoting information
Upon delivery aliquot
Storage information
Avoid freeze / thaw cycle

Supplementary information

This supplementary information is collated from multiple sources and compiled automatically.

The protein known as MKP-1 also called DUSP1 is a dual-specificity phosphatase. It acts mechanically by dephosphorylating the phospho-tyrosine and phospho-serine/threonine residues of its target proteins. The protein has a molecular weight of about 39 kDa. MKP-1 is ubiquitously expressed but shows higher levels in specific tissues such as liver lung and brain where it regulates various cellular processes.
Biological function summary

MKP-1 influences cellular responses to stress and inflammation by inactivating mitogen-activated protein kinases (MAPKs). It does not exist as part of a permanent complex but temporarily interacts with MAPKs. By dephosphorylating these kinases MKP-1 modulates gene expression cell proliferation and apoptosis. Through these interactions the protein plays a significant role in protecting cells from excessive inflammatory signals and stress-induced damage.

Pathways

The MKP-1 protein is integral to the MAPK signaling pathway and the JNK signaling cascade. MKP-1 directly affects the balance of MAPK-related proteins such as ERK JNK and p38 to help regulate various cellular outcomes. By dephosphorylating these proteins MKP-1 acts as a negative feedback regulator ensuring that cellular responses to external stimuli are controlled and do not become harmful.

MKP-1 is associated with inflammatory diseases and cancer. Inflammatory disorders such as rheumatoid arthritis show link with aberrant regulation of MKP-1 as it often interacts with MAPKs involved in inflammation. In cancer altered MKP-1 expression can affect tumor growth and progression due to its regulatory role on cell proliferation pathways. The protein's interaction with key signaling molecules in these diseases highlights its potential as a therapeutic target.

Product protocols

For this product, it's our understanding that no specific protocols are required. You can visit:

Target data

Dual specificity phosphatase that dephosphorylates MAP kinase MAPK1/ERK2 on both 'Thr-183' and 'Tyr-185', regulating its activity during the meiotic cell cycle.
See full target information DUSP1

Product promise

We are committed to supporting your work with high-quality reagents, and we're here for you every step of the way. In the unlikely event that one of our products does not perform as expected, you're protected by our Product Promise.
For full details, please see our Terms & Conditions

Please note: All products are 'FOR RESEARCH USE ONLY. NOT FOR USE IN DIAGNOSTIC OR THERAPEUTIC PROCEDURES'.

For licensing inquiries, please contact partnerships@abcam.com