JavaScript is disabled in your browser. Please enable JavaScript to view this website.
AB61201

Anti-MKP-1 antibody

Be the first to review this product! Submit a review

|

(12 Publications)

Rabbit Polyclonal MKP-1 antibody. Suitable for WB, IHC-P and reacts with Human samples. Cited in 12 publications. Immunogen corresponding to Synthetic Peptide within Human DUSP1.

View Alternative Names

CL100, MKP1, PTPN10, VH1, DUSP1, Dual specificity protein phosphatase 1, Dual specificity protein phosphatase hVH1, Mitogen-activated protein kinase phosphatase 1, Protein-tyrosine phosphatase CL100, MAP kinase phosphatase 1, MKP-1

2 Images
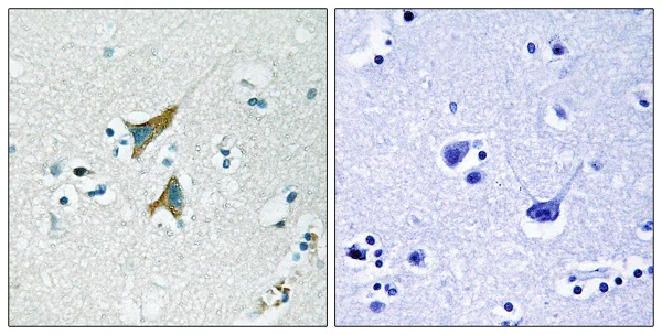
Immunohistochemistry paraffin embedded sections - Anti-MKP-1 antibody (AB61201)
  • IHC-P

Supplier Data

Immunohistochemistry paraffin embedded sections - Anti-MKP-1 antibody (AB61201)

Immunohistochemical analysis of paraffin embedded human brain tissue labeling MKP-1 with ab61201. Right panel blocked with the synthesized peptide.

Western blot - Anti-MKP-1 antibody (AB61201)
  • WB

Unknown

Western blot - Anti-MKP-1 antibody (AB61201)

All lanes:

Western blot - Anti-MKP-1 antibody (ab61201) at 1/500 dilution

Lane 1:

Jurkat cell extracts

Lane 2:

Jurkat cell extracts with immunising peptide

Predicted band size: 39 kDa

Observed band size: 39 kDa

false

Key facts

Host species

Rabbit

Clonality

Polyclonal

Isotype

IgG

Carrier free

No

Reacts with

Human

Applications

WB, IHC-P

applications

Immunogen

Synthetic Peptide within Human DUSP1. The exact immunogen used to generate this antibody is proprietary information.

P28562

Reactivity data

{ "title": "Reactivity Data", "filters": { "stats": ["", "Species", "Dilution Info", "Notes"], "tabs": { "all-applications": {"fullname" : "All Applications", "shortname": "All Applications"}, "WB" : {"fullname" : "Western blot", "shortname":"WB"}, "IHCP" : {"fullname" : "Immunohistochemistry paraffin embedded sections", "shortname":"IHC-P"} }, "product-promise": { "all": "all", "testedAndGuaranteed": "tested", "guaranteed": "expected", "predicted": "predicted", "notRecommended": "not-recommended" } }, "values": { "Human": { "WB-species-checked": "testedAndGuaranteed", "WB-species-dilution-info": "1/500 - 1/1000", "WB-species-notes": "<p></p>", "IHCP-species-checked": "testedAndGuaranteed", "IHCP-species-dilution-info": "", "IHCP-species-notes": "<p></p>" } } }

Properties and storage information

Form
Liquid
Purification technique
Affinity purification Immunogen
Purification notes
ab61201 was affinity-purified from rabbit antiserum by affinity-chromatography using epitope-specific immunogen.
Storage buffer
pH: 7.4 Preservative: 0.02% Sodium azide Constituents: PBS, 50% Glycerol (glycerin, glycerine), 0.87% Sodium chloride
Shipped at conditions
Blue Ice
Appropriate short-term storage conditions
+4°C
Appropriate long-term storage conditions
-20°C
Storage information
Stable for 12 months at -20°C

Supplementary information

This supplementary information is collated from multiple sources and compiled automatically.

The protein known as MKP-1 also called DUSP1 is a dual-specificity phosphatase. It acts mechanically by dephosphorylating the phospho-tyrosine and phospho-serine/threonine residues of its target proteins. The protein has a molecular weight of about 39 kDa. MKP-1 is ubiquitously expressed but shows higher levels in specific tissues such as liver lung and brain where it regulates various cellular processes.
Biological function summary

MKP-1 influences cellular responses to stress and inflammation by inactivating mitogen-activated protein kinases (MAPKs). It does not exist as part of a permanent complex but temporarily interacts with MAPKs. By dephosphorylating these kinases MKP-1 modulates gene expression cell proliferation and apoptosis. Through these interactions the protein plays a significant role in protecting cells from excessive inflammatory signals and stress-induced damage.

Pathways

The MKP-1 protein is integral to the MAPK signaling pathway and the JNK signaling cascade. MKP-1 directly affects the balance of MAPK-related proteins such as ERK JNK and p38 to help regulate various cellular outcomes. By dephosphorylating these proteins MKP-1 acts as a negative feedback regulator ensuring that cellular responses to external stimuli are controlled and do not become harmful.

MKP-1 is associated with inflammatory diseases and cancer. Inflammatory disorders such as rheumatoid arthritis show link with aberrant regulation of MKP-1 as it often interacts with MAPKs involved in inflammation. In cancer altered MKP-1 expression can affect tumor growth and progression due to its regulatory role on cell proliferation pathways. The protein's interaction with key signaling molecules in these diseases highlights its potential as a therapeutic target.

Product protocols

For this product, it's our understanding that no specific protocols are required. You can visit:

Target data

Dual specificity phosphatase that dephosphorylates MAP kinase MAPK1/ERK2 on both 'Thr-183' and 'Tyr-185', regulating its activity during the meiotic cell cycle.
See full target information DUSP1

Publications (12)

Recent publications for all applications. Explore the full list and refine your search

Frontiers in medicine 12:1612200 PubMed40852352

2025

Bioinformatic analysis, clinical implications and experimental validation of ferroptosis-related feature gene in IgA nephropathy: focus on DUSP1.

Applications

Unspecified application

Species

Unspecified reactive species

Tingting Liu,Tingting Pan,Mingxin Chang,Shaojie Fu,Hongzhao Xu,Hao Wu,Zhonggao Xu,Yanli Cheng

iScience 27:111044 PubMed39507252

2024

The SH3-binding domain of chorismate mutase protein of contributes to mycobacterial virulence.

Applications

Unspecified application

Species

Unspecified reactive species

Ravi Pal,Vandana Maurya,Supriya Borah,Sangita Mukhopadhyay

International journal of molecular sciences 23: PubMed36142828

2022

A Novel L-Phenylalanine Dipeptide Inhibits the Growth and Metastasis of Prostate Cancer Cells via Targeting DUSP1 and TNFSF9.

Applications

Unspecified application

Species

Unspecified reactive species

Lanlan Li,Mingfei Yang,Jia Yu,Sha Cheng,Mashaal Ahmad,Caihong Wu,Xinwei Wan,Bixue Xu,Yaacov Ben-David,Heng Luo

PeerJ 10:e13725 PubMed35910761

2022

Identifying DUSP-1 and FOSB as hub genes in immunoglobulin A nephropathy by WGCNA and DEG screening and validation.

Applications

Unspecified application

Species

Unspecified reactive species

Wu Jianping,Xiaona Wei,Jiajia Li,Rui Zhang,Qianqian Han,Qiongqiong Yang

Theranostics 10:12174-12188 PubMed33204336

2020

Remote postconditioning ameliorates stroke damage by preventing let-7a and miR-143 up-regulation.

Applications

Unspecified application

Species

Unspecified reactive species

Antonio Vinciguerra,Pasquale Cepparulo,Serenella Anzilotti,Ornella Cuomo,Valeria Valsecchi,Salvatore Amoroso,Lucio Annunziato,Giuseppe Pignataro

Journal of cellular and molecular medicine 24:8986-8997 PubMed32656992

2020

MiR-101 promotes pain hypersensitivity in rats with chronic constriction injury via the MKP-1 mediated MAPK pathway.

Applications

Unspecified application

Species

Unspecified reactive species

Shuang Qiu,Benjuan Liu,Yanshuai Mo,Xueqin Wang,Lina Zhong,Xiao Han,Fuli Mi

Molecular therapy. Nucleic acids 17:741-753 PubMed31430717

2019

lncRNA NR_038323 Suppresses Renal Fibrosis in Diabetic Nephropathy by Targeting the miR-324-3p/DUSP1 Axis.

Applications

Unspecified application

Species

Unspecified reactive species

Yanni Ge,Juan Wang,Dengke Wu,Yu Zhou,Shuangfa Qiu,Junxiang Chen,Xuejin Zhu,Xudong Xiang,Huiling Li,Dongshan Zhang

Artificial cells, nanomedicine, and biotechnology 47:2545-2552 PubMed31213095

2019

Tetramethylpyrazine relieves LPS-induced pancreatic β-cell Min6 injury via regulation of miR-101/MKP-1.

Applications

Unspecified application

Species

Unspecified reactive species

Dong Chen,Dong Cao,Ping Sui

Molecular medicine reports 19:205-212 PubMed30483784

2018

Puerarin promotes DUSP1 expression by regulating miR‑133a‑3p in breast cancer.

Applications

Unspecified application

Species

Unspecified reactive species

Zhifeng Li,Weiwei Xu,Xiaoyan Ren,Jinhua Xu,Jianxin Chen

Oncology reports 40:1203-1222 PubMed29956792

2018

DUSP1 induces apatinib resistance by activating the MAPK pathway in gastric cancer.

Applications

Unspecified application

Species

Unspecified reactive species

Fei Teng,Zhiyuan Xu,Jiahui Chen,Guowei Zheng,Guodian Zheng,Hang Lv,Yiping Wang,Lijing Wang,Xiangdong Cheng
View all publications

Product promise

We are committed to supporting your work with high-quality reagents, and we're here for you every step of the way. In the unlikely event that one of our products does not perform as expected, you're protected by our Product Promise.
For full details, please see our Terms & Conditions

Please note: All products are 'FOR RESEARCH USE ONLY. NOT FOR USE IN DIAGNOSTIC OR THERAPEUTIC PROCEDURES'.

For licensing inquiries, please contact partnerships@abcam.com