JavaScript is disabled in your browser. Please enable JavaScript to view this website.
AB223066

Anti-ML-1 antibody

Be the first to review this product! Submit a review

|

(1 Publication)

Rabbit Polyclonal ML-1 antibody. Suitable for IHC-P, ICC/IF and reacts with Human samples. Cited in 1 publication. Immunogen corresponding to Recombinant Fragment Protein within Human ATP8A2 aa 350-600.

View Alternative Names

ATPIB, ATP8A2, Phospholipid-transporting ATPase IB, ATPase class I type 8A member 2, ML-1, P4-ATPase flippase complex alpha subunit ATP8A2

2 Images
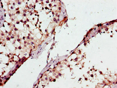
Immunohistochemistry (Formalin/PFA-fixed paraffin-embedded sections) - Anti-ML-1 antibody (AB223066)
  • IHC-P

Supplier Data

Immunohistochemistry (Formalin/PFA-fixed paraffin-embedded sections) - Anti-ML-1 antibody (AB223066)

Paraffin-embedded human testis tissue stained for ML-1 using ab223066 at 1/100 dilution in immunohistochemical analysis.

Immunocytochemistry/ Immunofluorescence - Anti-ML-1 antibody (AB223066)
  • ICC/IF

Supplier Data

Immunocytochemistry/ Immunofluorescence - Anti-ML-1 antibody (AB223066)

HepG2 (human liver hepatocellular carcinoma cell line) cells stained for PSMG4 (green) using ab223066 at 1/100 dilution in ICC/IF. Secondary : Alexa Fluor® 488-congugated AffiniPure Goat Anti-Rabbit IgG (H+L).

Key facts

Host species

Rabbit

Clonality

Polyclonal

Isotype

IgG

Carrier free

No

Reacts with

Human

Applications

ICC/IF, IHC-P

applications

Immunogen

Recombinant Fragment Protein within Human ATP8A2 aa 350-600. The exact immunogen used to generate this antibody is proprietary information.

Q9NTI2

Reactivity data

{ "title": "Reactivity Data", "filters": { "stats": ["", "Species", "Dilution Info", "Notes"], "tabs": { "all-applications": {"fullname" : "All Applications", "shortname": "All Applications"}, "IHCP" : {"fullname" : "Immunohistochemistry (Formalin/PFA-fixed paraffin-embedded sections)", "shortname":"IHC-P"}, "ICCIF" : {"fullname" : "Immunocytochemistry/ Immunofluorescence", "shortname":"ICC/IF"} }, "product-promise": { "all": "all", "testedAndGuaranteed": "tested", "guaranteed": "expected", "predicted": "predicted", "notRecommended": "not-recommended" } }, "values": { "Human": { "IHCP-species-checked": "testedAndGuaranteed", "IHCP-species-dilution-info": "1/20 - 1/200", "IHCP-species-notes": "<p></p>", "ICCIF-species-checked": "testedAndGuaranteed", "ICCIF-species-dilution-info": "1/50 - 1/200", "ICCIF-species-notes": "<p></p>" }, "Mouse": { "IHCP-species-checked": "predicted", "IHCP-species-dilution-info": "", "IHCP-species-notes": "", "ICCIF-species-checked": "predicted", "ICCIF-species-dilution-info": "", "ICCIF-species-notes": "" }, "Cow": { "IHCP-species-checked": "predicted", "IHCP-species-dilution-info": "", "IHCP-species-notes": "", "ICCIF-species-checked": "predicted", "ICCIF-species-dilution-info": "", "ICCIF-species-notes": "" } } }

Properties and storage information

Form
Liquid
Purification technique
Affinity purification Protein G
Purification notes
>95% pure
Storage buffer
pH: 7.4 Preservative: 0.03% Proclin 300 Constituents: PBS, 50% Glycerol (glycerin, glycerine)
Shipped at conditions
Blue Ice
Appropriate short-term storage duration
1-2 weeks
Appropriate short-term storage conditions
+4°C
Appropriate long-term storage conditions
-20°C
Aliquoting information
Upon delivery aliquot
Storage information
Avoid freeze / thaw cycle

Supplementary information

This supplementary information is collated from multiple sources and compiled automatically.

ML-1 also known as Mucolipin-1 is a protein encoded by the MCOLN1 gene. It functions as a non-selective cation channel involved in transporting ions across the lysosomal membrane. With a molecular mass of approximately 65 kDa ML-1 mostly expresses in tissues like heart kidney and brain. This protein facilitates the release of calcium ions from the lysosome into the cytoplasm playing an important role in lysosomal homeostasis and cellular processes.
Biological function summary

The function of ML-1 influences endolysosomal trafficking and autophagy. ML-1 is a part of a larger TRPML channel family working collaboratively to ensure proper lysosomal storage and degradation activities. It modulates interactions between lysosomes and other cellular organelles impacting membrane repair and cellular metabolism. Dysfunctional ML-1 can disrupt these processes causing significant cellular malfunctions.

Pathways

ML-1 takes part in the lysosomal exocytosis pathway and calcium signaling pathways. These pathways play key roles in cellular nutrient sensing and membrane fusion events. ML-1 collaborates with proteins such as TRPML2 and TRPML3 which are also members of the TRPML channel family. Together they contribute to fine-tuning calcium signals inside cells supporting diverse biological functions tied to cellular maintenance and repair.

ML-1 mutations associate closely with mucolipidosis type IV a condition affecting the nervous system and eyes. This disorder arises from impaired lysosomal function due to faulty ML-1 activity. Additionally research connects ML-1 malfunction with neurodegenerative diseases linking it to abnormal accumulation of proteins like APP seen in Alzheimer's disease. Dysfunctional ML-1 and its interaction with such proteins illustrate its significance in maintaining cellular health and highlights potential therapeutic targets for related disorders.

Product protocols

For this product, it's our understanding that no specific protocols are required. You can visit:

Target data

Catalytic component of a P4-ATPase flippase complex which catalyzes the hydrolysis of ATP coupled to the transport of aminophospholipids from the outer to the inner leaflet of various membranes and ensures the maintenance of asymmetric distribution of phospholipids (By similarity). Able to translocate phosphatidylserine, but not phosphatidylcholine (PubMed : 34403372). Phospholipid translocation seems also to be implicated in vesicle formation and in uptake of lipid signaling molecules (By similarity). Reconstituted to liposomes, the ATP8A2 : TMEM30A flippase complex predominantly transports phosphatidylserine (PS) and to a lesser extent phosphatidylethanolamine (PE) (By similarity). Phospholipid translocation is not associated with a countertransport of an inorganic ion or other charged substrate from the cytoplasmic side toward the exoplasm in connection with the phosphorylation from ATP (By similarity). ATP8A2 : TMEM30A may be involved in regulation of neurite outgrowth (By similarity). Proposed to function in the generation and maintenance of phospholipid asymmetry in photoreceptor disk membranes and neuronal axon membranes (By similarity). May be involved in vesicle trafficking in neuronal cells (By similarity). Required for normal visual and auditory function; involved in photoreceptor and inner ear spiral ganglion cell survival (By similarity).
See full target information ATP8A2

Publications (1)

Recent publications for all applications. Explore the full list and refine your search

Nature communications 13:7959 PubMed36575174

2022

PRSS2 remodels the tumor microenvironment via repression of Tsp1 to stimulate tumor growth and progression.

Applications

Unspecified application

Species

Unspecified reactive species

Lufei Sui,Suming Wang,Debolina Ganguly,Tyler P El Rayes,Cecilie Askeland,Astrid Børretzen,Danielle Sim,Ole Johan Halvorsen,Gøril Knutsvik,Jarle Arnes,Sura Aziz,Svein Haukaas,William D Foulkes,Diane R Bielenberg,Arturas Ziemys,Vivek Mittal,Rolf A Brekken,Lars A Akslen,Randolph S Watnick
View all publications

Product promise

We are committed to supporting your work with high-quality reagents, and we're here for you every step of the way. In the unlikely event that one of our products does not perform as expected, you're protected by our Product Promise.
For full details, please see our Terms & Conditions

Please note: All products are 'FOR RESEARCH USE ONLY. NOT FOR USE IN DIAGNOSTIC OR THERAPEUTIC PROCEDURES'.

For licensing inquiries, please contact partnerships@abcam.com