JavaScript is disabled in your browser. Please enable JavaScript to view this website.
AB250186

Anti-MLF2 antibody [EPR10245(2)] - BSA and Azide free

Be the first to review this product! Submit a review

|

(1 Publication)

Rabbit Recombinant Monoclonal MLF2 antibody. Carrier free. Suitable for IHC-P, WB, Flow Cyt (Intra) and reacts with Human samples. Cited in 1 publication.

View Alternative Names

Myeloid leukemia factor 2, Myelodysplasia-myeloid leukemia factor 2, MLF2

4 Images
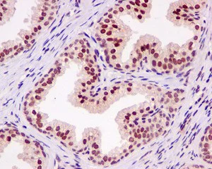
Immunohistochemistry (Formalin/PFA-fixed paraffin-embedded sections) - Anti-MLF2 antibody [EPR10245(2)] - BSA and Azide free (AB250186)
  • IHC-P

Supplier Data

Immunohistochemistry (Formalin/PFA-fixed paraffin-embedded sections) - Anti-MLF2 antibody [EPR10245(2)] - BSA and Azide free (AB250186)

This data was developed using ab180184, the same antibody clone in a different buffer formulation.

Immunohistochemical analysis of paraffin embedded Human prostate tissue labeling MLF2 with ab180184 at 1/50.

Perform heat mediated antigen retrieval before commencing with IHC staining protocol.

Flow Cytometry (Intracellular) - Anti-MLF2 antibody [EPR10245(2)] - BSA and Azide free (AB250186)
  • Flow Cyt (Intra)

Supplier Data

Flow Cytometry (Intracellular) - Anti-MLF2 antibody [EPR10245(2)] - BSA and Azide free (AB250186)

This data was developed using ab180184, the same antibody clone in a different buffer formulation.

Intracellular flow cytometrical analysis of permeabilized Jurkat cells labeling MLF2 with ab180184 at 1/10 (red) or a rabbit IgG negative (green).

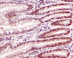
Immunohistochemistry (Formalin/PFA-fixed paraffin-embedded sections) - Anti-MLF2 antibody [EPR10245(2)] - BSA and Azide free (AB250186)
  • IHC-P

Supplier Data

Immunohistochemistry (Formalin/PFA-fixed paraffin-embedded sections) - Anti-MLF2 antibody [EPR10245(2)] - BSA and Azide free (AB250186)

This data was developed using ab180184, the same antibody clone in a different buffer formulation.

Immunohistochemical analysis of paraffin embedded Human colon tissue labeling MLF2 with ab180184 at 1/50.

Perform heat mediated antigen retrieval before commencing with IHC staining protocol.

Western blot - Anti-MLF2 antibody [EPR10245(2)] - BSA and Azide free (AB250186)
  • WB

Supplier Data

Western blot - Anti-MLF2 antibody [EPR10245(2)] - BSA and Azide free (AB250186)

This data was developed using ab180184, the same antibody clone in a different buffer formulation.

All lanes:

Western blot - Anti-MLF2 antibody [EPR10245(2)] - C-terminal (<a href='/en-us/products/primary-antibodies/mlf2-antibody-epr102452-c-terminal-ab180184'>ab180184</a>) at 1/1000 dilution

Lane 1:

Jurkat lysate at 10 µg

Lane 2:

Fetal brain tissue lysate at 10 µg

Lane 3:

HepG2 cell lysate at 10 µg

Secondary

All lanes:

HRP labelled goat anti-rabbit at 1/2000 dilution

Predicted band size: 28 kDa

false

  • Unconjugated

    Anti-MLF2 antibody [EPR10245(2)] - C-terminal

Key facts

Host species

Rabbit

Clonality

Monoclonal

Clone number

EPR10245(2)

Isotype

IgG

Carrier free

Yes

Reacts with

Human

Applications

Flow Cyt (Intra), IHC-P, WB

applications

Immunogen

The exact immunogen used to generate this antibody is proprietary information.

Reactivity data

{ "title": "Reactivity Data", "filters": { "stats": ["", "Species", "Dilution Info", "Notes"], "tabs": { "all-applications": {"fullname" : "All Applications", "shortname": "All Applications"}, "IHCP" : {"fullname" : "Immunohistochemistry (Formalin/PFA-fixed paraffin-embedded sections)", "shortname":"IHC-P"}, "IP" : {"fullname" : "Immunoprecipitation", "shortname":"IP"}, "WB" : {"fullname" : "Western blot", "shortname":"WB"}, "ICCIF" : {"fullname" : "Immunocytochemistry/ Immunofluorescence", "shortname":"ICC/IF"}, "FlowCytIntra" : {"fullname" : "Flow Cytometry (Intracellular)", "shortname":"Flow Cyt (Intra)"} }, "product-promise": { "all": "all", "testedAndGuaranteed": "tested", "guaranteed": "expected", "predicted": "predicted", "notRecommended": "not-recommended" } }, "values": { "Human": { "IHCP-species-checked": "testedAndGuaranteed", "IHCP-species-dilution-info": "", "IHCP-species-notes": "<p></p>", "IP-species-checked": "notRecommended", "IP-species-dilution-info": "", "IP-species-notes": "<p></p>", "WB-species-checked": "testedAndGuaranteed", "WB-species-dilution-info": "", "WB-species-notes": "<p></p>", "ICCIF-species-checked": "notRecommended", "ICCIF-species-dilution-info": "", "ICCIF-species-notes": "<p></p>", "FlowCytIntra-species-checked": "testedAndGuaranteed", "FlowCytIntra-species-dilution-info": "", "FlowCytIntra-species-notes": "<p></p>" }, "Mouse": { "IHCP-species-checked": "predicted", "IHCP-species-dilution-info": "", "IHCP-species-notes": "", "IP-species-checked": "notRecommended", "IP-species-dilution-info": "", "IP-species-notes": "", "WB-species-checked": "predicted", "WB-species-dilution-info": "", "WB-species-notes": "", "ICCIF-species-checked": "notRecommended", "ICCIF-species-dilution-info": "", "ICCIF-species-notes": "", "FlowCytIntra-species-checked": "predicted", "FlowCytIntra-species-dilution-info": "", "FlowCytIntra-species-notes": "" }, "Rat": { "IHCP-species-checked": "predicted", "IHCP-species-dilution-info": "", "IHCP-species-notes": "", "IP-species-checked": "notRecommended", "IP-species-dilution-info": "", "IP-species-notes": "", "WB-species-checked": "predicted", "WB-species-dilution-info": "", "WB-species-notes": "", "ICCIF-species-checked": "notRecommended", "ICCIF-species-dilution-info": "", "ICCIF-species-notes": "", "FlowCytIntra-species-checked": "predicted", "FlowCytIntra-species-dilution-info": "", "FlowCytIntra-species-notes": "" } } }

Product details

ab250186 is the carrier-free version of ab180184.

Patented technology
Our RabMAb® technology is a patented hybridoma-based technology for making rabbit monoclonal antibodies. For details on our patents, please refer to RabMAb® patents.

What are the advantages of a recombinant monoclonal antibody?
This product is a recombinant monoclonal antibody, which offers several advantages including:

  • - High batch-to-batch consistency and reproducibility
  • - Improved sensitivity and specificity
  • - Long-term security of supply
  • - Animal-free batch production

For more information, read more on recombinant antibodies.

Conjugation ready
Our carrier-free antibodies are typically supplied in a PBS-only formulation, purified and free of BSA, sodium azide and glycerol. This conjugation-ready format is designed for use with fluorochromes, metal isotopes, oligonucleotides, and enzymes, which makes them ideal for antibody labelling, functional and cell-based assays, flow-based assays (e.g. mass cytometry) and Multiplex Imaging applications.

Use our conjugation kits for antibody conjugates that are ready-to-use in as little as 20 minutes with 1 minute hands-on-time and 100% antibody recovery: available for fluorescent dyes, HRP, biotin and gold.

Compatibility
This product is compatible with the Maxpar® Antibody Labeling Kit from Fluidigm, without the need for antibody preparation. Maxpar® is a trademark of Fluidigm Canada Inc.

Properties and storage information

Form
Liquid
Purification technique
Affinity purification Protein A
Storage buffer
pH: 7.2 - 7.4 Constituents: PBS
Shipped at conditions
Blue Ice
Appropriate short-term storage conditions
+4°C
Appropriate long-term storage conditions
+4°C
Storage information
Do Not Freeze

Supplementary information

This supplementary information is collated from multiple sources and compiled automatically.

MLF2 also known as Myeloid Leukemia Factor 2 is a protein with an approximate mass of 35 kDa. It shows expression mainly in the nucleus and cytoplasm of cells. MLF2 takes part in the regulation of various cellular processes especially those involving cell growth and differentiation. Understanding its activity and expression pattern can help in dissecting its role in cellular function and disease.
Biological function summary

MLF2 contributes to cells' response to stress making it significant in maintaining cellular homeostasis. MLF2 can interact with other proteins to form complexes that regulate transcriptional processes. This regulation is important for normal cellular function and indicates that MLF2 has an influence on gene expression modulation impacting how the cell responds to different stimuli.

Pathways

MLF2 engages in the JAK/STAT signaling pathway which is important in processes like cell proliferation differentiation and apoptosis. It also interacts with the NF-kB signaling pathway important for immune response and inflammation regulation. Through these pathways MLF2 shares connections with proteins such as STAT3 and NF-kB indicating its integration into a network that maintains cellular activity and integrity.

MLF2 associates with cancer and myelodysplastic syndromes. Its altered expression or dysfunction can contribute to tumorigenesis due to its role in cell proliferation and differentiation pathways. In these disease contexts MLF2's interaction with proteins like JAK2 becomes critical as disruptions in these interactions may exacerbate disease progression. Understanding these connections helps in considering MLF2 as a potential therapeutic target in disease treatment strategies.

Product protocols

For this product, it's our understanding that no specific protocols are required. You can visit:

Publications (1)

Recent publications for all applications. Explore the full list and refine your search

Experimental and therapeutic medicine 23:157 PubMed35069838

2022

APPL1 ameliorates myocardial ischemia-reperfusion injury by regulating the AMPK signaling pathway.

Applications

Unspecified application

Species

Unspecified reactive species

Yunguang Cen,Wei Liao,Taihao Wang,Daimin Zhang
View all publications

Product promise

We are committed to supporting your work with high-quality reagents, and we're here for you every step of the way. In the unlikely event that one of our products does not perform as expected, you're protected by our Product Promise.
For full details, please see our Terms & Conditions

Please note: All products are 'FOR RESEARCH USE ONLY. NOT FOR USE IN DIAGNOSTIC OR THERAPEUTIC PROCEDURES'.

For licensing inquiries, please contact partnerships@abcam.com