JavaScript is disabled in your browser. Please enable JavaScript to view this website.
AB180184

Anti-MLF2 antibody [EPR10245(2)] - C-terminal

Be the first to review this product! Submit a review

|

(2 Publications)

Rabbit Recombinant Monoclonal MLF2 antibody. C-terminal. Suitable for IHC-P, WB, Flow Cyt (Intra) and reacts with Human samples. Cited in 2 publications.

View Alternative Names

Myeloid leukemia factor 2, Myelodysplasia-myeloid leukemia factor 2, MLF2

4 Images
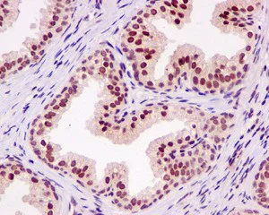
Immunohistochemistry (Formalin/PFA-fixed paraffin-embedded sections) - Anti-MLF2 antibody [EPR10245(2)] - C-terminal (AB180184)
  • IHC-P

Supplier Data

Immunohistochemistry (Formalin/PFA-fixed paraffin-embedded sections) - Anti-MLF2 antibody [EPR10245(2)] - C-terminal (AB180184)

Immunohistochemical analysis of paraffin embedded Human prostate tissue labeling MLF2 with ab180184 at 1/50.

Perform heat mediated antigen retrieval before commencing with IHC staining protocol.

Flow Cytometry (Intracellular) - Anti-MLF2 antibody [EPR10245(2)] - C-terminal (AB180184)
  • Flow Cyt (Intra)

Supplier Data

Flow Cytometry (Intracellular) - Anti-MLF2 antibody [EPR10245(2)] - C-terminal (AB180184)

Intracellular flow cytometrical analysis of permeabilized Jurkat cells labeling MLF2 with ab180184 at 1/10 (red) or a rabbit IgG negative (green).

Immunohistochemistry (Formalin/PFA-fixed paraffin-embedded sections) - Anti-MLF2 antibody [EPR10245(2)] - C-terminal (AB180184)
  • IHC-P

Supplier Data

Immunohistochemistry (Formalin/PFA-fixed paraffin-embedded sections) - Anti-MLF2 antibody [EPR10245(2)] - C-terminal (AB180184)

Immunohistochemical analysis of paraffin embedded Human colon tissue labeling MLF2 with ab180184 at 1/50.

Perform heat mediated antigen retrieval before commencing with IHC staining protocol.

Western blot - Anti-MLF2 antibody [EPR10245(2)] - C-terminal (AB180184)
  • WB

Supplier Data

Western blot - Anti-MLF2 antibody [EPR10245(2)] - C-terminal (AB180184)

All lanes:

Western blot - Anti-MLF2 antibody [EPR10245(2)] - C-terminal (ab180184) at 1/1000 dilution

Lane 1:

Jurkat lysate at 10 µg

Lane 2:

Fetal brain tissue lysate at 10 µg

Lane 3:

HepG2 cell lysate at 10 µg

Secondary

All lanes:

HRP labelled goat anti-rabbit at 1/2000 dilution

Predicted band size: 28 kDa

false

Key facts

Host species

Rabbit

Clonality

Monoclonal

Clone number

EPR10245(2)

Isotype

IgG

Carrier free

No

Reacts with

Human

Applications

IHC-P, WB, Flow Cyt (Intra)

applications

Immunogen

The exact immunogen used to generate this antibody is proprietary information.

Reactivity data

{ "title": "Reactivity Data", "filters": { "stats": ["", "Species", "Dilution Info", "Notes"], "tabs": { "all-applications": {"fullname" : "All Applications", "shortname": "All Applications"}, "IHCP" : {"fullname" : "Immunohistochemistry (Formalin/PFA-fixed paraffin-embedded sections)", "shortname":"IHC-P"}, "IP" : {"fullname" : "Immunoprecipitation", "shortname":"IP"}, "WB" : {"fullname" : "Western blot", "shortname":"WB"}, "ICCIF" : {"fullname" : "Immunocytochemistry/ Immunofluorescence", "shortname":"ICC/IF"}, "FlowCytIntra" : {"fullname" : "Flow Cytometry (Intracellular)", "shortname":"Flow Cyt (Intra)"} }, "product-promise": { "all": "all", "testedAndGuaranteed": "tested", "guaranteed": "expected", "predicted": "predicted", "notRecommended": "not-recommended" } }, "values": { "Human": { "IHCP-species-checked": "testedAndGuaranteed", "IHCP-species-dilution-info": "1/50 - 1/100", "IHCP-species-notes": "<p></p>", "IP-species-checked": "notRecommended", "IP-species-dilution-info": "", "IP-species-notes": "<p></p>", "WB-species-checked": "testedAndGuaranteed", "WB-species-dilution-info": "1/1000 - 1/10000", "WB-species-notes": "<p></p>", "ICCIF-species-checked": "notRecommended", "ICCIF-species-dilution-info": "", "ICCIF-species-notes": "<p></p>", "FlowCytIntra-species-checked": "testedAndGuaranteed", "FlowCytIntra-species-dilution-info": "1/10 - 1/100", "FlowCytIntra-species-notes": "<p><a href='/en-us/products/primary-antibodies/rabbit-igg-monoclonal-epr25a-isotype-control-ab172730'>ab172730</a> - Rabbit monoclonal IgG, is suitable for use as an isotype control with this antibody.</p>" }, "Mouse": { "IHCP-species-checked": "predicted", "IHCP-species-dilution-info": "", "IHCP-species-notes": "", "IP-species-checked": "notRecommended", "IP-species-dilution-info": "", "IP-species-notes": "", "WB-species-checked": "predicted", "WB-species-dilution-info": "", "WB-species-notes": "", "ICCIF-species-checked": "notRecommended", "ICCIF-species-dilution-info": "", "ICCIF-species-notes": "", "FlowCytIntra-species-checked": "predicted", "FlowCytIntra-species-dilution-info": "", "FlowCytIntra-species-notes": "" }, "Rat": { "IHCP-species-checked": "predicted", "IHCP-species-dilution-info": "", "IHCP-species-notes": "", "IP-species-checked": "notRecommended", "IP-species-dilution-info": "", "IP-species-notes": "", "WB-species-checked": "predicted", "WB-species-dilution-info": "", "WB-species-notes": "", "ICCIF-species-checked": "notRecommended", "ICCIF-species-dilution-info": "", "ICCIF-species-notes": "", "FlowCytIntra-species-checked": "predicted", "FlowCytIntra-species-dilution-info": "", "FlowCytIntra-species-notes": "" } } }

Product details

Patented technology
Our RabMAb® technology is a patented hybridoma-based technology for making rabbit monoclonal antibodies. For details on our patents, please refer to RabMAb® patents.

What are the advantages of a recombinant monoclonal antibody?
This product is a recombinant monoclonal antibody, which offers several advantages including:

  • - High batch-to-batch consistency and reproducibility
  • - Improved sensitivity and specificity
  • - Long-term security of supply
  • - Animal-free batch production

For more information, read more on recombinant antibodies.

Properties and storage information

Form
Liquid
Purification technique
Affinity purification Protein A
Storage buffer
pH: 7.2 - 7.4 Preservative: 0.01% Sodium azide Constituents: PBS, 50% Tissue culture supernatant, 40% Glycerol (glycerin, glycerine), 0.05% BSA
Shipped at conditions
Blue Ice
Appropriate short-term storage duration
1-2 weeks
Appropriate short-term storage conditions
+4°C
Appropriate long-term storage conditions
-20°C
Aliquoting information
Upon delivery aliquot
Storage information
Avoid freeze / thaw cycle

Supplementary information

This supplementary information is collated from multiple sources and compiled automatically.

MLF2 also known as Myeloid Leukemia Factor 2 is a protein with an approximate mass of 35 kDa. It shows expression mainly in the nucleus and cytoplasm of cells. MLF2 takes part in the regulation of various cellular processes especially those involving cell growth and differentiation. Understanding its activity and expression pattern can help in dissecting its role in cellular function and disease.
Biological function summary

MLF2 contributes to cells' response to stress making it significant in maintaining cellular homeostasis. MLF2 can interact with other proteins to form complexes that regulate transcriptional processes. This regulation is important for normal cellular function and indicates that MLF2 has an influence on gene expression modulation impacting how the cell responds to different stimuli.

Pathways

MLF2 engages in the JAK/STAT signaling pathway which is important in processes like cell proliferation differentiation and apoptosis. It also interacts with the NF-kB signaling pathway important for immune response and inflammation regulation. Through these pathways MLF2 shares connections with proteins such as STAT3 and NF-kB indicating its integration into a network that maintains cellular activity and integrity.

MLF2 associates with cancer and myelodysplastic syndromes. Its altered expression or dysfunction can contribute to tumorigenesis due to its role in cell proliferation and differentiation pathways. In these disease contexts MLF2's interaction with proteins like JAK2 becomes critical as disruptions in these interactions may exacerbate disease progression. Understanding these connections helps in considering MLF2 as a potential therapeutic target in disease treatment strategies.

Product protocols

For this product, it's our understanding that no specific protocols are required. You can visit:

Publications (2)

Recent publications for all applications. Explore the full list and refine your search

Redox biology 51:102258 PubMed35189550

2022

Redox-dependent loss of flavin by mitochondria complex I is different in brain and heart.

Applications

Unspecified application

Species

Unspecified reactive species

Belem Yoval-Sánchez,Fariha Ansari,Joel James,Zoya Niatsetskaya,Sergey Sosunov,Peter Filipenko,Irina G Tikhonova,Vadim Ten,Ilka Wittig,Ruslan Rafikov,Alexander Galkin

Biochemical and biophysical research communications 529:127-132 PubMed32703400

2020

CRL4 and USP11 oppositely regulate the stability of myeloid leukemia factors (MLFs).

Applications

Unspecified application

Species

Unspecified reactive species

Daoyuan Huang,Cheng Liu,Xiwen Sun,Xinpei Sun,Yanan Qu,Yunyi Tang,Guodong Li,Tanjun Tong
View all publications

Product promise

We are committed to supporting your work with high-quality reagents, and we're here for you every step of the way. In the unlikely event that one of our products does not perform as expected, you're protected by our Product Promise.
For full details, please see our Terms & Conditions

Please note: All products are 'FOR RESEARCH USE ONLY. NOT FOR USE IN DIAGNOSTIC OR THERAPEUTIC PROCEDURES'.

For licensing inquiries, please contact partnerships@abcam.com