JavaScript is disabled in your browser. Please enable JavaScript to view this website.
AB251576

Anti-MLH1 antibody [EPR20522] - BSA and Azide free

Be the first to review this product! Submit a review

|

(2 Publications)

Rabbit Recombinant Monoclonal MLH1 antibody. Carrier free. Suitable for ICC/IF, IP, WB, Flow Cyt (Intra), IHC-P and reacts with Human samples. Cited in 2 publications.

View Alternative Names

COCA2, MLH1, DNA mismatch repair protein Mlh1, MutL protein homolog 1

12 Images
Flow Cytometry (Intracellular) - Anti-MLH1 antibody [EPR20522] - BSA and Azide free (AB251576)
  • Flow Cyt (Intra)

Lab

Flow Cytometry (Intracellular) - Anti-MLH1 antibody [EPR20522] - BSA and Azide free (AB251576)

This data was developed using the same antibody clone in a different buffer formulation containing PBS, BSA, glycerol, and sodium azide (ab223844).

Flow cytometry overlay histogram showing wild-type Hap1 (green line) and MLH1 knockout Hap1 stained with ab223844 (red line). The cells were fixed with 80% methanol (5 min) and then permeabilised with 0.1% PBS-Triton X-100 for 15 min. The cells were then incubated in 1x PBS containing 10% normal goat serum to block non-specific protein-protein interaction followed by the antibody (ab223844) (1x 106 in 100μl at 1.0 μg/ml (1/2070)) for 30min at 22°C.

The secondary antibody Goat Anti-Rabbit IgG H&L (Alexa Fluor® 488) preadsorbed was incubated at 1/4000 for 30min at 22°C

Isotype control antibody Recombinant Rabbit IgG, monoclonal [EPR25A] - Isotype Control was used at the same concentration and conditions as the primary antibody (wild-type Hap1 - black line, MLH1 knockout Hap1 - grey line). Unlabelled sample was also used as a control (this line is not shown for the purpose of simplicity).

Acquisition of >5000 events were collected using a 50 mW Blue laser (488nm) and 525/40 bandpass filter.

Immunohistochemistry (Formalin/PFA-fixed paraffin-embedded sections) - Anti-MLH1 antibody [EPR20522] - BSA and Azide free (AB251576)
  • IHC-P

Supplier Data

Immunohistochemistry (Formalin/PFA-fixed paraffin-embedded sections) - Anti-MLH1 antibody [EPR20522] - BSA and Azide free (AB251576)

This data was developed using ab223844, the same antibody clone in a different buffer formulation.

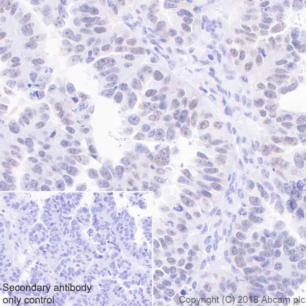
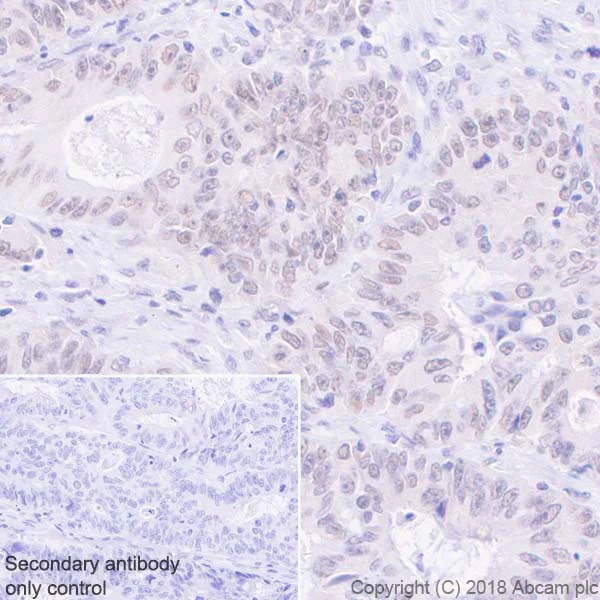
Immunohistochemical analysis of paraffin-embedded human ovary cancer tissue labelling MLH1 with ab223844 at 1/100 dilution, followed by Goat Anti-Rabbit IgG H&L (HRP) ready to use. Nuclear staining in tumor cells of human ovarian cancer (PMID : 10778972) is observed. Counter stained with hematoxylin.

Secondary antobody only control : used PBS instead of primary antibody, secondary antibody is Goat Anti-Rabbit IgG H&L (HRP) ready to use.

Perform heat mediated antigen retrieval with Tris/EDTA buffer pH 9.0 before commencing with IHC staining protocol.

Flow Cytometry (Intracellular) - Anti-MLH1 antibody [EPR20522] - BSA and Azide free (AB251576)
  • Flow Cyt (Intra)

Supplier Data

Flow Cytometry (Intracellular) - Anti-MLH1 antibody [EPR20522] - BSA and Azide free (AB251576)

This data was developed using ab223844, the same antibody clone in a different buffer formulation.

Intracellular flow cytometric analysis of 4% paraformaldehyde-fixed, 90% methanol-permeabilized HCT 116 (human colorectal carcinoma epithelial cell line, left) / SW480 (human colorectal adenocarcinoma cell line, right) cells labelling MLH1 with ab223844 at 1/600 dilution (red) compared with a Rabbit IgG, monoclonal [EPR25A] - Isotype Control (ab172730) (black) and an unlabelled control (cells without incubation with primary antibody and secondary antibody) (blue). Goat Anti-Rabbit IgG H&L (Alexa Fluor® 488) (ab150077) at 1/2000 dilution was used as the secondary antibody.

The HCT 116 (human colorectal carcinoma epithelial) cell line is a negative control for MLH1 (PMID : 23724141) (left panel).

Immunohistochemistry (Formalin/PFA-fixed paraffin-embedded sections) - Anti-MLH1 antibody [EPR20522] - BSA and Azide free (AB251576)
  • IHC-P

Supplier Data

Immunohistochemistry (Formalin/PFA-fixed paraffin-embedded sections) - Anti-MLH1 antibody [EPR20522] - BSA and Azide free (AB251576)

This data was developed using ab223844, the same antibody clone in a different buffer formulation.

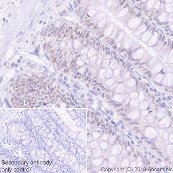
Immunohistochemical analysis of paraffin-embedded human colon tissue labelling MLH1 with ab223844 at 1/100 dilution, followed by Goat Anti-Rabbit IgG H&L (HRP) ready to use. Nuclear staining in human colon is observed (PMID : 10535979). Counter stained with hematoxylin.

Secondary antobody only control : used PBS instead of primary antibody, secondary antibody is Goat Anti-Rabbit IgG H&L (HRP) ready to use.

Perform heat mediated antigen retrieval with Tris/EDTA buffer pH 9.0 before commencing with IHC staining protocol.

Immunohistochemistry (Formalin/PFA-fixed paraffin-embedded sections) - Anti-MLH1 antibody [EPR20522] - BSA and Azide free (AB251576)
  • IHC-P

Supplier Data

Immunohistochemistry (Formalin/PFA-fixed paraffin-embedded sections) - Anti-MLH1 antibody [EPR20522] - BSA and Azide free (AB251576)

This data was developed using ab223844, the same antibody clone in a different buffer formulation.

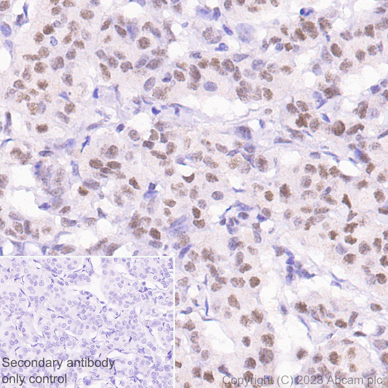
Immunohistochemical analysis of paraffin-embedded human colon cancer tissue labelling MLH1 with ab223844 at 1/100 dilution, followed by Goat Anti-Rabbit IgG H&L (HRP) ready to use. Nuclear staining in tumor cells of human colon cancer is observed (PMID : 22608206). Counter stained with hematoxylin.

Secondary antobody only control : used PBS instead of primary antibody, secondary antibody is Goat Anti-Rabbit IgG H&L (HRP) ready to use.

Perform heat mediated antigen retrieval with Tris/EDTA buffer pH 9.0 before commencing with IHC staining protocol.

Immunohistochemistry (Formalin/PFA-fixed paraffin-embedded sections) - Anti-MLH1 antibody [EPR20522] - BSA and Azide free (AB251576)
  • IHC-P

Supplier Data

Immunohistochemistry (Formalin/PFA-fixed paraffin-embedded sections) - Anti-MLH1 antibody [EPR20522] - BSA and Azide free (AB251576)
Immunocytochemistry/ Immunofluorescence - Anti-MLH1 antibody [EPR20522] - BSA and Azide free (AB251576)
  • ICC/IF

Supplier Data

Immunocytochemistry/ Immunofluorescence - Anti-MLH1 antibody [EPR20522] - BSA and Azide free (AB251576)

This data was developed using ab223844, the same antibody clone in a different buffer formulation.

Immunofluorecent analysis of 4% paraformaldehyde-fixed, 0.1% Triton X-100 permeabilised SW480 (human colorectal adenocarcinoma cell line) cells labelling MLH1 with ab223844 at 1/100 dilution, followed by AlexaFluor®488 Goat anti-Rabbit secondary (ab150077) at 1/1000 dilution (green). Confocal image showing nuclear staining in SW480 cell line.

DAPI was used as the Nuclear counterstain (blue). Alpha Tubulin is detected with Anti-alpha Tubulin antibody [DM1A] - Microtubule Marker (Alexa Fluor® 594) (ab195889) at 1/200 dilution (red).

The HCT 116 (human colorectal carcinoma epithelial) cell line is a negative control for MLH1 (PMID : 23724141).

Secondary antibody only control : PBS instead of ab223844, followed by AlexaFluor®488 Goat anti-Rabbit secondary (ab150077) at 1/1000 dilution.

Immunocytochemistry/ Immunofluorescence - Anti-MLH1 antibody [EPR20522] - BSA and Azide free (AB251576)
  • ICC/IF

Lab

Immunocytochemistry/ Immunofluorescence - Anti-MLH1 antibody [EPR20522] - BSA and Azide free (AB251576)

ab223844 staining MLH1 in wild-type Hap1 cells, with negative expression in MLH1 knockout Hap1 cells. The cells were fixed with 4% formaldehyde (10 min), permeabilised with 0.1% Triton x-100 for 5 minutes and then blocked with 1% BSA/10% normal goat serum/0.3M glycine in 0.1% PBS-Tween for 1h. The cells were then incubated overnight at +4°C with ab223844 at 0.2 μg/ml and ab7291, Mouse monoclonal [DM1A] to alpha Tubulin at 0.5 μg/ml. Cells were then incubated with ab150081, Goat polyclonal Secondary Antibody to Rabbit IgG - H&L (Alexa Fluor® 488), pre-adsorbed at 1/1000 dilution (shown in green) and ab150119, Goat polyclonal Secondary Antibody to Mouse IgG - H&L (Alexa Fluor® 647), pre-adsorbed at 1/1000 dilution (shown in red). Nuclear DNA was labelled with DAPI (shown in blue). Image was acquired with a confocal microscope (Leica-Microsystems TCS SP8) and a single confocal section is shown. This data was developed using ab223844, the same antibody clone in a different buffer formulation.

Immunoprecipitation - Anti-MLH1 antibody [EPR20522] - BSA and Azide free (AB251576)
  • IP

Supplier Data

Immunoprecipitation - Anti-MLH1 antibody [EPR20522] - BSA and Azide free (AB251576)

This data was developed using ab223844, the same antibody clone in a different buffer formulation.

MLH1 was immunoprecipitated from 0.35 mg HeLa (human epithelial cell line from cervix adenocarcinoma) whole cell lysate with ab223844 at 1/30 dilution. Western blot was performed from the immunoprecipitate using ab223844 at 1/1000 dilution. VeriBlot for IP Detection Reagent (HRP) (ab131366) was used for detection at 1/10000 dilution.

Lane 1 : HeLa whole cell lysate 10 μg (input).

Lane 2 : ab223844 IP in HeLa whole cell lysate.

Lane 3 : Rabbit IgG, monoclonal [EPR25A] - Isotype Control (ab172730) instead of ab223844 in HeLa whole cell lysate.

Blocking and dilution buffer : 5% NFDM/TBST.

Exposure time : Less than 1 second.

All lanes:

Immunoprecipitation - Anti-MLH1 antibody [EPR20522] (<a href='/en-us/products/primary-antibodies/mlh1-antibody-epr20522-ab223844'>ab223844</a>)

Predicted band size: 85 kDa

Observed band size: 84 kDa

false

Western blot - Anti-MLH1 antibody [EPR20522] - BSA and Azide free (AB251576)
  • WB

Lab

Western blot - Anti-MLH1 antibody [EPR20522] - BSA and Azide free (AB251576)

This data was developed using ab223844, the same antibody clone in a different buffer formulation.

Lanes 1 - 4 : Merged signal (red and green). Green - ab223844 observed at 85 kDa. Red - loading control, ab9484, observed at 37 kDa

ab223844 was shown to specifically react with MLH1 in wild-type HAP1 cells as signal was lost in MLH1 knockout cells. Wild-type and MLH1 knockout samples were subjected to SDS-PAGE. ab223844 and ab9484 (Mouse anti-GAPDH loading control) were incubated overnight at 4°C at 1 μg/ml and 1/20000 dilution respectively. Blots were developed with Goat anti-Rabbit IgG H&L (IRDye® 800CW) preabsorbed ab216773 and Goat anti-Mouse IgG H&L (IRDye® 680RD) preabsorbed ab216776 secondary antibodies at 1/20000 dilution for 1 hour at room temperature before imaging.

All lanes:

Western blot - Anti-MLH1 antibody [EPR20522] (<a href='/en-us/products/primary-antibodies/mlh1-antibody-epr20522-ab223844'>ab223844</a>) at 1 µg/mL

Lane 1:

Wild-type HAP1 whole cell lysate at 20 µg

Lane 2:

MLH1 knockout HAP1 whole cell lysate at 20 µg

Lane 3:

HCT116 whole cell lysate at 20 µg

Lane 4:

Hek293 whole cell lysate at 20 µg

Predicted band size: 85 kDa

false

Western blot - Anti-MLH1 antibody [EPR20522] - BSA and Azide free (AB251576)
  • WB

Supplier Data

Western blot - Anti-MLH1 antibody [EPR20522] - BSA and Azide free (AB251576)

This data was developed using ab223844, the same antibody clone in a different buffer formulation.

Exposure times : Lanes 1-3 : 8 seconds; Lane 4 : 3 minutes.

The expression profile observed is consistent with the literature (PMID : 15249596). The HCT116 cell line is a negative control for MLH1 (PMID : 23724141).

All lanes:

Western blot - Anti-MLH1 antibody [EPR20522] (<a href='/en-us/products/primary-antibodies/mlh1-antibody-epr20522-ab223844'>ab223844</a>) at 1/1000 dilution

Lane 1:

SW480 (human colorectal adenocarcinoma cell line) whole cell lysate at 20 µg

Lane 2:

HCT 116 (human colorectal carcinoma epithelial cell line) whole cell lysate at 20 µg

Lane 3:

HeLa (human epithelial cell line from cervix adenocarcinoma) whole cell lysate at 20 µg

Lane 4:

Human colon tissue lysate at 20 µg

Secondary

All lanes:

Western blot - Goat Anti-Rabbit IgG H&L (HRP) (<a href='/en-us/products/secondary-antibodies/goat-rabbit-igg-h-l-hrp-ab97051'>ab97051</a>) at 1/100000 dilution

Predicted band size: 85 kDa

Observed band size: 84 kDa

false

Western blot - Anti-MLH1 antibody [EPR20522] - BSA and Azide free (AB251576)
  • WB

Lab

Western blot - Anti-MLH1 antibody [EPR20522] - BSA and Azide free (AB251576)

This data was developed using ab223844, the same antibody clone in a different buffer formulation.

False colour image of Western blot : Anti-MLH1 antibody [EPR20522] staining at 1/1000 dilution shown in green; Mouse anti-GAPDH antibody [6C5] (ab8245) loading control staining at 1/20000 dilution shown in red. In Western blot ab223844 was shown to bind specifically to MLH1. A band was observed at 85 kDa in wild-type A549 cell lysates with no signal observed at this size in MLH1 CRISPR-Cas9 edited cell line ab276105 (CRISPR-Cas9 edited cell lysate ab288239). The band observed in the CRISPR-Cas9 edited lysate lane below 85 kDa is likely to represent a truncated form of MLH1. This has not been investigated further and the functional properties of the gene product have not been determined. To generate this image wild-type and MLH1 CRISPR-Cas9 edited A549 cell lysates were analysed. First samples were run on an SDS-PAGE gel then transferred onto a nitrocellulose membrane. Membranes were blocked in 3 % milk in TBS-0.1 % Tween® 20 (TBS-T) before incubation with primary antibodies overnight at 4°. Blots were washed four times in TBS-T incubated with secondary antibodies for 1 h at room temperature washed again four times then imaged. Secondary antibodies used were Goat anti-Rabbit IgG H&L (IRDye® 800CW) preabsorbed (ab216773) and Goat anti-Mouse IgG H&L (IRDye® 680RD) preabsorbed (ab216776) at 1/20000 dilution.

All lanes:

Western blot - Anti-MLH1 antibody [EPR20522] (<a href='/en-us/products/primary-antibodies/mlh1-antibody-epr20522-ab223844'>ab223844</a>) at 1/1000 dilution

Lane 1:

Wild-type A549 cell lysate at 20 µg

Lane 2:

Western blot - Human MLH1 knockout A549 cell lysate (<a href='/en-us/products/cell-lysates/human-mlh1-knockout-a549-cell-lysate-ab288239'>ab288239</a>) at 20 µg

Lane 3:

Jurkat cell lysate at 20 µg

Lane 4:

HCT 116 cell lysate at 20 µg

Predicted band size: 85 kDa

Observed band size: 85 kDa

false

Key facts

Host species

Rabbit

Clonality

Monoclonal

Clone number

EPR20522

Isotype

IgG

Carrier free

Yes

Reacts with

Human

Applications

IHC-P, ICC/IF, IP, WB, Flow Cyt (Intra)

applications

Immunogen

The exact immunogen used to generate this antibody is proprietary information.

Reactivity data

{ "title": "Reactivity Data", "filters": { "stats": ["", "Species", "Dilution Info", "Notes"], "tabs": { "all-applications": {"fullname" : "All Applications", "shortname": "All Applications"}, "ICCIF" : {"fullname" : "Immunocytochemistry/ Immunofluorescence", "shortname":"ICC/IF"}, "IP" : {"fullname" : "Immunoprecipitation", "shortname":"IP"}, "WB" : {"fullname" : "Western blot", "shortname":"WB"}, "FlowCytIntra" : {"fullname" : "Flow Cytometry (Intracellular)", "shortname":"Flow Cyt (Intra)"}, "IHCP" : {"fullname" : "Immunohistochemistry (Formalin/PFA-fixed paraffin-embedded sections)", "shortname":"IHC-P"} }, "product-promise": { "all": "all", "testedAndGuaranteed": "tested", "guaranteed": "expected", "predicted": "predicted", "notRecommended": "not-recommended" } }, "values": { "Human": { "ICCIF-species-checked": "testedAndGuaranteed", "ICCIF-species-dilution-info": "", "ICCIF-species-notes": "<p>This product gave a positive signal in Hap1 (MLH1 knockout Hap1 cells used as a negative control) fixed with 4% formaldehyde (10 min).</p>", "IP-species-checked": "testedAndGuaranteed", "IP-species-dilution-info": "", "IP-species-notes": "<p></p>", "WB-species-checked": "testedAndGuaranteed", "WB-species-dilution-info": "", "WB-species-notes": "<p></p>", "FlowCytIntra-species-checked": "testedAndGuaranteed", "FlowCytIntra-species-dilution-info": "", "FlowCytIntra-species-notes": "<p></p>", "IHCP-species-checked": "testedAndGuaranteed", "IHCP-species-dilution-info": "", "IHCP-species-notes": "<p></p>" } } }

Product details

ab251576 is the carrier-free version of ab223844.

Patented technology
Our RabMAb® technology is a patented hybridoma-based technology for making rabbit monoclonal antibodies. For details on our patents, please refer to RabMAb® patents.

What are the advantages of a recombinant monoclonal antibody?
This product is a recombinant monoclonal antibody, which offers several advantages including:

  • - High batch-to-batch consistency and reproducibility
  • - Improved sensitivity and specificity
  • - Long-term security of supply
  • - Animal-free batch production

For more information, read more on recombinant antibodies.

Conjugation ready
Our carrier-free antibodies are typically supplied in a PBS-only formulation, purified and free of BSA, sodium azide and glycerol. This conjugation-ready format is designed for use with fluorochromes, metal isotopes, oligonucleotides, and enzymes, which makes them ideal for antibody labelling, functional and cell-based assays, flow-based assays (e.g. mass cytometry) and Multiplex Imaging applications.

Use our conjugation kits for antibody conjugates that are ready-to-use in as little as 20 minutes with 1 minute hands-on-time and 100% antibody recovery: available for fluorescent dyes, HRP, biotin and gold.

Compatibility
This product is compatible with the Maxpar® Antibody Labeling Kit from Fluidigm, without the need for antibody preparation. Maxpar® is a trademark of Fluidigm Canada Inc.

Properties and storage information

Form
Liquid
Purification technique
Affinity purification Protein A
Storage buffer
pH: 7.2 - 7.4 Constituents: PBS
Shipped at conditions
Blue Ice
Appropriate short-term storage conditions
+4°C
Appropriate long-term storage conditions
+4°C
Storage information
Do Not Freeze

Supplementary information

This supplementary information is collated from multiple sources and compiled automatically.

MLH1 also known as MutL homolog 1 is a protein involved in DNA mismatch repair an important mechanism for maintaining genetic stability. It has a molecular weight of approximately 87 kDa. This protein is expressed in various tissues but is most abundant in the colonic epithelium and endometrium. MLH1 acts mechanically by forming heterodimers with other proteins collaborating in correcting errors that occur during DNA replication.
Biological function summary

The function of MLH1 involves its role in the mismatch repair (MMR) system. It is part of a complex with PMS2 forming a heterodimer known as MutLα which is essential for the repair process. This complex scans newly synthesized DNA for mispaired bases and initiates repair preserving genomic integrity. The proper function of MLH1 and its interaction with PMS2 ensures that DNA replication errors do not accumulate and cause harmful mutations.

Pathways

MLH1 operates within the mismatch repair pathway and interacts closely with MLH3 and PMS2 proteins. It plays a critical role in the recognition and repair of mismatched bases that occur during DNA replication particularly in the G2 phase of the cell cycle. Through its involvement in the mismatch repair pathway MLH1 is connected to cell cycle regulation and the DNA damage response pathway.

MLH1 mutations are closely linked to Lynch syndrome and sporadic colorectal cancer. Lynch syndrome a hereditary condition significantly raises the risk of colorectal cancer and other cancers due to defective DNA mismatch repair. MLH1 mutations often lead to the loss of MLH1 protein expression particularly observed in MLH1 IHC staining. Additionally in colorectal cancer the MLH1 protein may interact with APC and TP53 playing a role in cancer progression and tumorigenesis.

Product protocols

For this product, it's our understanding that no specific protocols are required. You can visit:

Target data

Heterodimerizes with PMS2 to form MutL alpha, a component of the post-replicative DNA mismatch repair system (MMR). DNA repair is initiated by MutS alpha (MSH2-MSH6) or MutS beta (MSH2-MSH3) binding to a dsDNA mismatch, then MutL alpha is recruited to the heteroduplex. Assembly of the MutL-MutS-heteroduplex ternary complex in presence of RFC and PCNA is sufficient to activate endonuclease activity of PMS2. It introduces single-strand breaks near the mismatch and thus generates new entry points for the exonuclease EXO1 to degrade the strand containing the mismatch. DNA methylation would prevent cleavage and therefore assure that only the newly mutated DNA strand is going to be corrected. MutL alpha (MLH1-PMS2) interacts physically with the clamp loader subunits of DNA polymerase III, suggesting that it may play a role to recruit the DNA polymerase III to the site of the MMR. Also implicated in DNA damage signaling, a process which induces cell cycle arrest and can lead to apoptosis in case of major DNA damages. Heterodimerizes with MLH3 to form MutL gamma which plays a role in meiosis.
See full target information MLH1

Publications (2)

Recent publications for all applications. Explore the full list and refine your search

Advanced science (Weinheim, Baden-Wurttemberg, Germany) 11:e2306622 PubMed38353402

2024

Modulation of Cerebrospinal Fluid Dysregulation via a SPAK and OSR1 Targeted Framework Nucleic Acid in Hydrocephalus.

Applications

Unspecified application

Species

Unspecified reactive species

Qiguang Wang,Jian Cheng,Fei Liu,Jianwei Zhu,Yue Li,Yuxuan Zhao,Xiang Li,Huan Zhang,Yan Ju,Lu Ma,Xuhui Hui,Yunfeng Lin

Genetics in medicine : official journal of the American College of Medical Genetics 24:1821-1830 PubMed35616648

2022

Cancer Risk C (CR-C), a functional genomics test is a sensitive and rapid test for germline mismatch repair deficiency.

Applications

Unspecified application

Species

Unspecified reactive species

Ishraq Alim,Johnny Loke,Sarah Yam,Allyson S Templeton,Polly Newcomb,Noralane M Lindor,Rish K Pai,Mark A Jenkins,Daniel D Buchanan,Steven Gallinger,Susan Klugman,Harry Ostrer
View all publications

Product promise

We are committed to supporting your work with high-quality reagents, and we're here for you every step of the way. In the unlikely event that one of our products does not perform as expected, you're protected by our Product Promise.
For full details, please see our Terms & Conditions

Please note: All products are 'FOR RESEARCH USE ONLY. NOT FOR USE IN DIAGNOSTIC OR THERAPEUTIC PROCEDURES'.

For licensing inquiries, please contact partnerships@abcam.com