JavaScript is disabled in your browser. Please enable JavaScript to view this website.
AB92312

Anti-MLH1 antibody [EPR3894]

5

(4 Reviews)

|

(83 Publications)

Anti-MLH1 antibody [EPR3894] (ab92312) is a rabbit monoclonal antibody detecting MLH1 in Western Blot, Flow Cytometry (Intra), Flow Cytometry, IHC-P, ICC/IF. Suitable for Human, Mouse, Rat.

- KO validated for confirmed specificity
- Biophysical QC for unrivalled batch-batch consistency
- Over 80 publications
- Trusted since 2010

View Alternative Names

COCA2, MLH1, DNA mismatch repair protein Mlh1, MutL protein homolog 1

15 Images
Immunohistochemistry (Formalin/PFA-fixed paraffin-embedded sections) - Anti-MLH1 antibody [EPR3894] (AB92312)
  • IHC-P

Lab

Immunohistochemistry (Formalin/PFA-fixed paraffin-embedded sections) - Anti-MLH1 antibody [EPR3894] (AB92312)

Tissue Microarrays stained for "Anti-MLH1 antibody [EPR3894]" using "ab92312"in immunohistochemical analysis. This table provides a detailed overview of positive (tick mark) and negative (cross mark) staining per sample type tested. The sections were pre-treated using Heat mediated antigen retrieval using ab93678 (citrate buffer, pH 6.0). The sections were incubated with ab92312 at +4°C overnight. ImmunoHistoProbe one step HRP Polymer (ready to use) was used as the secondary antibody.

Immunohistochemistry (Formalin/PFA-fixed paraffin-embedded sections) - Anti-MLH1 antibody [EPR3894] (AB92312)
  • IHC-P

PubMed

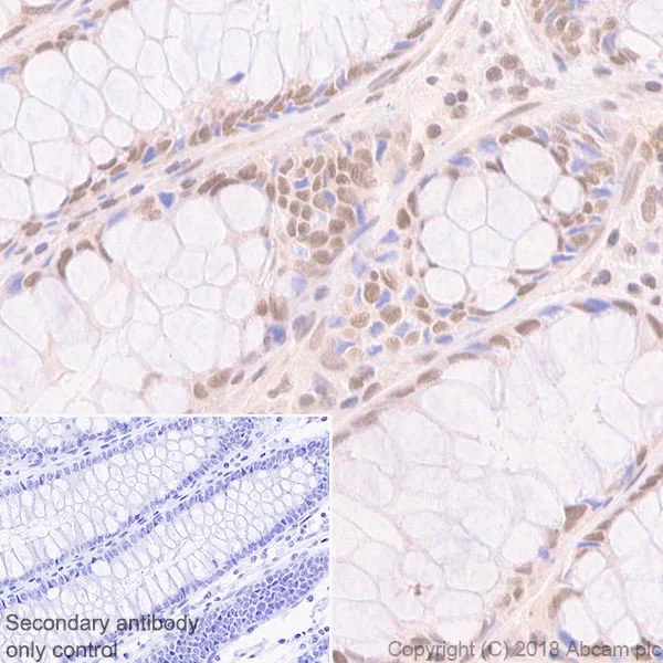
Immunohistochemistry (Formalin/PFA-fixed paraffin-embedded sections) - Anti-MLH1 antibody [EPR3894] (AB92312)

Unpurified ab92312 staining MLH1 in Human colorectal (top) and gastric tissue (bottom) by Immunohistochemistry (Formalin/PFA-fixed paraffin-embedded sections). Perform heat mediated antigen retrieval via the pressure cooker method before commencing with IHC staining protocol.

Image from Wang X et al. PLoS One. 2011;6(10):e25913. Epub 2011 Oct 12. Fig 3.; doi:10.1371/journal.pone.0025913; October 12 2011 PLoS ONE 6(10): e25913.

Flow Cytometry (Intracellular) - Anti-MLH1 antibody [EPR3894] (AB92312)
  • Flow Cyt (Intra)

Lab

Flow Cytometry (Intracellular) - Anti-MLH1 antibody [EPR3894] (AB92312)

Flow cytometry overlay histogram showing wild-type Hap1 (green line) and MLH1 knockout Hap1 stained with ab92312 (red line). The cells were fixed with 80% methanol (5 min) and then permeabilised with 0.1% PBS-Triton X-100 for 15 min. The cells were then incubated in 1x PBS containing 10% normal goat serum to block non-specific protein-protein interaction followed by the antibody (ab92312) (1x 106 in 100μl at 0.2 μg/ml (1/9835)) for 30min at 22°C. The secondary antibody Goat Anti-Rabbit IgG H&L (Alexa Fluor® 647) preadsorbed was incubated at 1/4000 for 30min at 22°C Isotype control antibody Recombinant Rabbit IgG, monoclonal [EPR25A] - Isotype Control was used at the same concentration and conditions as the primary antibody (wild-type Hap1 - black line, MLH1 knockout Hap1 - grey line). Unlabelled sample was also used as a control (this line is not shown for the purpose of simplicity).

Western blot - Anti-MLH1 antibody [EPR3894] (AB92312)
  • WB

Unknown

Western blot - Anti-MLH1 antibody [EPR3894] (AB92312)

Blocking and diluting buffer : 5% NFDM/TBST.
According to PMID : 23653048, HCT116 is MLH1 negative cell line.

All lanes:

Western blot - Anti-MLH1 antibody [EPR3894] (ab92312) at 0.4 µg/mL

Lane 1:

HeLa (Human cervix adenocarcinoma epithelial cell) whole cell lysates at 20 µg

Lane 2:

HCT116 (Human colorectal carcinoma epithelial cell) whole cell lysates, negative control at 20 µg

Lane 3:

Human testis lysates at 20 µg

Lane 4:

Rat testis lysates at 20 µg

Lane 5:

Mouse thymus lysates at 20 µg

Lane 6:

Rat thymus lysates at 20 µg

Secondary

All lanes:

Western blot - Goat Anti-Rabbit IgG H&L (HRP) (<a href='/en-us/products/secondary-antibodies/goat-rabbit-igg-h-l-hrp-ab97051'>ab97051</a>) at 1/20000 dilution

Predicted band size: 85 kDa

false

Western blot - Anti-MLH1 antibody [EPR3894] (AB92312)
  • WB

Supplier Data

Western blot - Anti-MLH1 antibody [EPR3894] (AB92312)

Lanes 1-4 : Merged signal (red and green). Green - ab92312 observed at 90 kDa. Red - loading control ab8245 observed at 37 kDa.

ab92312 Anti-MLH1 antibody [EPR3894] was shown to specifically react with MLH1 in wild-type HeLa cells. Loss of signal was observed when knockout cell line ab267223 (knockout cell lysate ab257172) was used. Wild-type and MLH1 knockout samples were subjected to SDS-PAGE. ab92312 and Anti-GAPDH antibody [6C5] - Loading Control were incubated overnight at 4°C at 1 in 10000 dilution and 1 in 20000 dilution respectively. Blots were developed with Goat anti-Rabbit IgG H&L (IRDye® 800CW) preadsorbed (ab216773) and Goat anti-Mouse IgG H&L (IRDye® 680RD) preadsorbed (ab216776) secondary antibodies at 1 in 20000 dilution for 1 hour at room temperature before imaging.

All lanes:

Western blot - Anti-MLH1 antibody [EPR3894] (ab92312) at 1/10000 dilution

Lane 1:

Wild-type HeLa cell lysate at 20 µg

Lane 2:

MLH1 knockout HeLa cell lysate at 20 µg

Lane 2:

Western blot - Human MLH1 knockout HeLa cell line (<a href='/en-us/products/cell-lines/human-mlh1-knockout-hela-cell-line-ab267223'>ab267223</a>)

Lane 3:

Jurkat cell lysate at 20 µg

Lane 4:

HCT116 cell lysate at 20 µg

Secondary

All lanes:

Western blot - Goat anti-Rabbit IgG H&L (IRDye® 800CW) preadsorbed (<a href='/en-us/products/secondary-antibodies/goat-rabbit-igg-h-l-irdye-800cw-preadsorbed-ab216773'>ab216773</a>) at 1/20000 dilution

Predicted band size: 85 kDa

Observed band size: 85 kDa

false

Immunohistochemistry (Formalin/PFA-fixed paraffin-embedded sections) - Anti-MLH1 antibody [EPR3894] (AB92312)
  • IHC-P

Unknown

Immunohistochemistry (Formalin/PFA-fixed paraffin-embedded sections) - Anti-MLH1 antibody [EPR3894] (AB92312)

Unpurified ab92312 at 1/100 dilution staining MLH1 in Human tonsil by Immunohistochemistry, Paraffin-embedded tissue. The use of an HRP/AP polymerized antibody is recommended for a secondary antibody. Heat mediated antigen retrieval was performed via the pressure cooker method before commencing with IHC staining protocol.

Immunocytochemistry/ Immunofluorescence - Anti-MLH1 antibody [EPR3894] (AB92312)
  • ICC/IF

AbReview29256****

Immunocytochemistry/ Immunofluorescence - Anti-MLH1 antibody [EPR3894] (AB92312)

Unpurified ab92312 (1/200) staining MLH1 in HeLa cells (green). Cells were fixed in paraformaldehyde, permeabilised with 0.5% Triton X100/PBS and counterstained with DAPI in order to highlight the nucleus (red). For further experimental details please refer to abreview.

This image is courtesy of an Abreview submitted by Kirk McManus.

Immunocytochemistry/ Immunofluorescence - Anti-MLH1 antibody [EPR3894] (AB92312)
  • ICC/IF

Unknown

Immunocytochemistry/ Immunofluorescence - Anti-MLH1 antibody [EPR3894] (AB92312)

Immunocytochemistry/ Immunofluorescence analysis of SW480 (Human colorectal adenocarcinoma epithelial cell) cells labeling MLH1 with Purified ab92312 at 1 : 500 dilution (1.6 µg/ml). Cells were fixed in 4% Paraformaldehyde and permeabilized with 0.1% tritonX-100. Cells were counterstained with ab195889 Anti-alpha Tubulin antibody [DM1A] - Microtubule Marker (Alexa Fluor®594) 1 : 200 (2.5 µg/ml). Goat anti rabbit IgG (Alexa Fluor®488, ab150077) was used as the secondary antibody at 1 : 1000 (2 µg/ml) dilution. DAPI nuclear counterstain. PBS instead of the primary antibody was used as the secondary antibody only control.

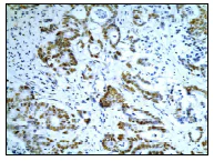
Immunohistochemistry (Formalin/PFA-fixed paraffin-embedded sections) - Anti-MLH1 antibody [EPR3894] (AB92312)
  • IHC-P

Lab

Immunohistochemistry (Formalin/PFA-fixed paraffin-embedded sections) - Anti-MLH1 antibody [EPR3894] (AB92312)

Immunohistochemistry (Formalin/PFA-fixed paraffin-embedded sections) analysis of Human colon tissue sections labeling MLH1 with Purified ab92312 at 1 : 250 dilution (2.9 μg/ml). Heat mediated antigen retrieval was performed using citrate (pH 6.0)ImmunoHistoProbe one step HRP Polymer (ready to use)was used as the secondary antibody.Negative control : PBS instead of the primary antibody.Hematoxylinwas used as a counterstain

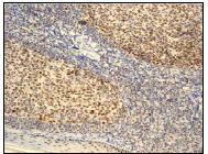
Immunohistochemistry (Formalin/PFA-fixed paraffin-embedded sections) - Anti-MLH1 antibody [EPR3894] (AB92312)
  • IHC-P

Unknown

Immunohistochemistry (Formalin/PFA-fixed paraffin-embedded sections) - Anti-MLH1 antibody [EPR3894] (AB92312)

Unpurified ab92312 at 1/100 dilution staining MLH1 in Human colonic adenocarcinoma by Immunohistochemistry, Paraffin-embedded tissue. The use of an HRP/AP polymerized antibody is recommended for a secondary antibody. Heat mediated antigen retrieval was performed via the pressure cooker method before commencing with IHC staining protocol.

Immunocytochemistry/ Immunofluorescence - Anti-MLH1 antibody [EPR3894] (AB92312)
  • ICC/IF

Unknown

Immunocytochemistry/ Immunofluorescence - Anti-MLH1 antibody [EPR3894] (AB92312)

Immunocytochemistry/Immunofluorescence analysis of HeLa (human cervix adenocarcinoma) labelling MLH1 with purified ab92312 at 1/1000. Cells were fixed with 4% PFA and permeabilized with 0.1% Triton X-100. An Alexa Fluor® 488-conjugated goat anti-rabbit IgG (1/1000) was used as the secondary antibody (ab150077). Nuclei counterstained with DAPI (blue).

Control : PBS only

Flow Cytometry (Intracellular) - Anti-MLH1 antibody [EPR3894] (AB92312)
  • Flow Cyt (Intra)

Unknown

Flow Cytometry (Intracellular) - Anti-MLH1 antibody [EPR3894] (AB92312)

Overlay histogram showing HeLa cells stained with unpurifiedab92312 (red line). The cells were fixed with 80% methanol (5 min) and then permeabilized with 0.1% PBS-Tween for 20 min. The cells were then incubated in 1x PBS / 10% normal goat serum / 0.3M glycine to block non-specific protein-protein interactions followed by the antibody (ab92312, 1/100 dilution) for 30 min at 22°C. The secondary antibody used was DyLight® 488 goat anti-rabbit IgG (H+L) (ab96899) at 1/500 dilution for 30 min at 22°C. Isotype control antibody (black line) was rabbit IgG (monoclonal) (1μg/1x106 cells) used under the same conditions. Acquisition of >5,000 events was performed.

Western blot - Anti-MLH1 antibody [EPR3894] (AB92312)
  • WB

Supplier Data

Western blot - Anti-MLH1 antibody [EPR3894] (AB92312)

Lanes 1 - 4 : Merged signal (red and green). Green - ab92312 observed at 88 kDa. Red - loading control, ab8245, observed at 37 kDa.

Unpurified ab92312 was shown to recognize MLH1 in wild-type HAP1 cells along with additonal cross reactive bands. No band was observed when MLH1 knockout samples were examined. Wild-type and MLH1 knockout samples were subjected to SDS-PAGE. ab92312 and ab8245 (loading control to GAPDH) were both diluted 1/1000 and incubated overnight at 4°C. Blots were developed with Goat anti-Rabbit IgG H&L (IRDye® 800CW) preadsorbed (ab216773) and Goat anti-Mouse IgG H&L (IRDye® 680RD) preadsorbed (ab216776) secondary antibodies at 1/10,000 dilution for 1 hour at room temperature before imaging.

All lanes:

Western blot - Anti-MLH1 antibody [EPR3894] (ab92312) at 1/1000 dilution

Lane 1:

Wild-type HAP1 cell lysate at 20 µg

Lane 2:

MLH1 knockout HAP1 cell lysate at 20 µg

Lane 3:

HCT116 cell lysate at 20 µg

Lane 4:

293T cell lysate at 20 µg

Predicted band size: 85 kDa

false

Western blot - Anti-MLH1 antibody [EPR3894] (AB92312)
  • WB

Unknown

Western blot - Anti-MLH1 antibody [EPR3894] (AB92312)

All lanes:

Western blot - Anti-MLH1 antibody [EPR3894] (ab92312) at 1/10000 dilution

Lane 1:

293 cell lysate at 10 µg

Lane 2:

HeLa cell lysate at 10 µg

Lane 3:

A431 cell lysate at 10 µg

Lane 4:

SW480 cell lysate at 10 µg

Secondary

All lanes:

goat anti-rabbit HRP at 1/2000 dilution

Predicted band size: 85 kDa

false

Western blot - Anti-MLH1 antibody [EPR3894] (AB92312)
  • WB

Lab

Western blot - Anti-MLH1 antibody [EPR3894] (AB92312)

False colour image of Western blot : Anti-MLH1 antibody [EPR3894] staining at 1/2000 dilution, shown in green; Mouse anti-GAPDH antibody [6C5] (ab8245) loading control staining at 1/20000 dilution, shown in red. In Western blot, ab92312 was shown to bind specifically to MLH1. A band was observed at 85 kDa in wild-type A549 cell lysates with no signal observed at this size in MLH1 CRISPR-Cas9 edited cell line ab276105 (CRISPR-Cas9 edited cell lysate ab283566). The band observed in the CRISPR-Cas9 edited lysate lane below 85 kDa is likely to represent a truncated form of MLH1. This has not been investigated further and the functional properties of the gene product have not been determined. To generate this image, wild-type and MLH1 CRISPR-Cas9 edited A549 cell lysates were analysed. First, samples were run on an SDS-PAGE gel then transferred onto a nitrocellulose membrane. Membranes were blocked in 3 % milk in TBS-0.1 % Tween® 20 (TBS-T) before incubation with primary antibodies overnight at 4°C. Blots were washed four times in TBS-T, incubated with secondary antibodies for 1 h at room temperature, washed again four times then imaged. Secondary antibodies used were Goat anti-Rabbit IgG H&L (IRDye® 800CW) preabsorbed (ab216773) and Goat anti-Mouse IgG H&L (IRDye® 680RD) preabsorbed (ab216776) at 1/20000 dilution.

All lanes:

Western blot - Anti-MLH1 antibody [EPR3894] (ab92312) at 1/2000 dilution

Lane 1:

Wild-type A549 cell lysate at 20 µg

Lane 2:

MLH1 CRISPR-Cas9 edited A549 cell lysate at 20 µg

Lane 2:

Western blot - Human MLH1 knockout A549 cell line (<a href='/en-us/products/cell-lines/human-mlh1-knockout-a549-cell-line-ab276105'>ab276105</a>)

Lane 2:

Western blot - Human MLH1 knockout A549 cell lysate (<a href='/en-us/products/cell-lysates/human-mlh1-knockout-a549-cell-lysate-ab288239'>ab288239</a>)

Lane 3:

Jurkat cell lysate at 20 µg

Lane 4:

HCT 116 cell lysate at 20 µg

Predicted band size: 85 kDa

Observed band size: 85 kDa

false

Key facts

Host species

Rabbit

Clonality

Monoclonal

Clone number

EPR3894

Isotype

IgG

Carrier free

No

Reacts with

Mouse, Rat, Human

Applications

WB, ICC/IF, Flow Cyt (Intra), IHC-P

applications

Immunogen

The exact immunogen used to generate this antibody is proprietary information.

Specificity

The mouse and rat recommendation is based on the WB results. We do not guarantee IHC-P for mouse and rat.

Reactivity data

{ "title": "Reactivity Data", "filters": { "stats": ["", "Species", "Dilution Info", "Notes"], "tabs": { "all-applications": {"fullname" : "All Applications", "shortname": "All Applications"}, "IP" : {"fullname" : "Immunoprecipitation", "shortname":"IP"}, "WB" : {"fullname" : "Western blot", "shortname":"WB"}, "IHCP" : {"fullname" : "Immunohistochemistry (Formalin/PFA-fixed paraffin-embedded sections)", "shortname":"IHC-P"}, "ICCIF" : {"fullname" : "Immunocytochemistry/ Immunofluorescence", "shortname":"ICC/IF"}, "FlowCytIntra" : {"fullname" : "Flow Cytometry (Intracellular)", "shortname":"Flow Cyt (Intra)"} }, "product-promise": { "all": "all", "testedAndGuaranteed": "tested", "guaranteed": "expected", "predicted": "predicted", "notRecommended": "not-recommended" } }, "values": { "Human": { "IP-species-checked": "notRecommended", "IP-species-dilution-info": "", "IP-species-notes": "<p></p>", "WB-species-checked": "testedAndGuaranteed", "WB-species-dilution-info": "1/2000", "WB-species-notes": "<p><strong>For unpurifid use at 1/10000 - 1/50000</strong></p>", "IHCP-species-checked": "testedAndGuaranteed", "IHCP-species-dilution-info": "", "IHCP-species-notes": "<p></p>", "ICCIF-species-checked": "testedAndGuaranteed", "ICCIF-species-dilution-info": "1/500", "ICCIF-species-notes": "<p></p>", "FlowCytIntra-species-checked": "testedAndGuaranteed", "FlowCytIntra-species-dilution-info": "1/10 - 1/100", "FlowCytIntra-species-notes": "<p><a href='/en-us/products/primary-antibodies/rabbit-igg-monoclonal-epr25a-isotype-control-ab172730'>ab172730</a> - Rabbit monoclonal IgG, is suitable for use as an isotype control with this antibody.</p>" }, "Mouse": { "IP-species-checked": "notRecommended", "IP-species-dilution-info": "", "IP-species-notes": "<p></p>", "WB-species-checked": "testedAndGuaranteed", "WB-species-dilution-info": "1/2000", "WB-species-notes": "<p><strong>For unpurifid use at 1/10000 - 1/50000</strong></p>", "IHCP-species-checked": "notRecommended", "IHCP-species-dilution-info": "", "IHCP-species-notes": "<p></p>", "ICCIF-species-checked": "guaranteed", "ICCIF-species-dilution-info": "", "ICCIF-species-notes": "", "FlowCytIntra-species-checked": "guaranteed", "FlowCytIntra-species-dilution-info": "", "FlowCytIntra-species-notes": "" }, "Rat": { "IP-species-checked": "notRecommended", "IP-species-dilution-info": "", "IP-species-notes": "<p></p>", "WB-species-checked": "testedAndGuaranteed", "WB-species-dilution-info": "1/2000", "WB-species-notes": "<p><strong>For unpurifid use at 1/10000 - 1/50000</strong></p>", "IHCP-species-checked": "notRecommended", "IHCP-species-dilution-info": "", "IHCP-species-notes": "<p></p>", "ICCIF-species-checked": "guaranteed", "ICCIF-species-dilution-info": "", "ICCIF-species-notes": "", "FlowCytIntra-species-checked": "guaranteed", "FlowCytIntra-species-dilution-info": "", "FlowCytIntra-species-notes": "" } } }

Product details

What is this antibody validated in?
Anti-MLH1 antibody [EPR3894] (ab92312) is a rabbit recombinant monoclonal antibody and is validated for use in Western Blot (WB), Flow Cytometry (Intra), Flow Cytometry (Flow Cyt), Immunohistochemistry (IHC-P), Immunocytochemistry/immunofluorescence (ICC/IF) in Human, Mouse, Rat samples.

What is the molecular weight of MLH1?
Anti-MLH1 [EPR3894] (ab92312) specifically detects a band for MLH1 (UniProt: P40692) at a molecular weight of 84kDa.

Trusted by the scientific community
Anti-MLH1 [EPR3894] (ab92312) was first used in a scientific publication in 2010 and has been cited over 80 times in peer-reviewed journals.

Trial sizes available!
Test your antibody or perform pre-screening before committing to a larger quantity. Sold in 10µl. Discover our selection of trial-size antibodies.

Specificity confirmed
The specificity of Anti-MLH1 antibody [EPR3894] (ab92312) has been confirmed by Western blot testing in MLH1 Knockout HAP1 cell line, ab276105.

Other related products
We have a range of other formats of antibody clone [EPR3894] also available for your convenience: ab92312, Alexa Fluor® 488 - ab199237, Alexa Fluor® 647 - ab199494, Carrier free - ab214441, Alexa Fluor® 555 - ab215303, PE - ab303047, APC - ab303048, HRP - ab303049, Alkaline Phosphatase - ab308849, Alexa Fluor® 594 - ab310577, Alexa Fluor® 568 - ab312589, Alexa Fluor® 750 - ab321745

Patented technology
Our RabMAb® technology is a patented hybridoma-based technology for making rabbit monoclonal antibodies. For details on our patents, please refer to RabMAb® patents.

What are the advantages of a recombinant monoclonal antibody?
This product is a recombinant monoclonal antibody, which offers several advantages including:

  • - High batch-to-batch consistency and reproducibility
  • - Improved sensitivity and specificity
  • - Long-term security of supply
  • - Animal-free batch production

For more information, read more on recombinant antibodies.

Properties and storage information

Form
Liquid
Purification technique
Affinity purification Protein A
Storage buffer
pH: 7.2 - 7.4 Preservative: 0.01% Sodium azide Constituents: 59% PBS, 40% Glycerol (glycerin, glycerine), 0.05% BSA
Shipped at conditions
Conditional Ambient
Appropriate short-term storage duration
1-2 weeks
Appropriate short-term storage conditions
+4°C
Appropriate long-term storage conditions
-20°C
Aliquoting information
Upon delivery aliquot
Storage information
Avoid freeze / thaw cycle

Supplementary information

This supplementary information is collated from multiple sources and compiled automatically.

MLH1 also known as MutL homolog 1 is a protein involved in DNA mismatch repair an important mechanism for maintaining genetic stability. It has a molecular weight of approximately 87 kDa. This protein is expressed in various tissues but is most abundant in the colonic epithelium and endometrium. MLH1 acts mechanically by forming heterodimers with other proteins collaborating in correcting errors that occur during DNA replication.
Biological function summary

The function of MLH1 involves its role in the mismatch repair (MMR) system. It is part of a complex with PMS2 forming a heterodimer known as MutLα which is essential for the repair process. This complex scans newly synthesized DNA for mispaired bases and initiates repair preserving genomic integrity. The proper function of MLH1 and its interaction with PMS2 ensures that DNA replication errors do not accumulate and cause harmful mutations.

Pathways

MLH1 operates within the mismatch repair pathway and interacts closely with MLH3 and PMS2 proteins. It plays a critical role in the recognition and repair of mismatched bases that occur during DNA replication particularly in the G2 phase of the cell cycle. Through its involvement in the mismatch repair pathway MLH1 is connected to cell cycle regulation and the DNA damage response pathway.

MLH1 mutations are closely linked to Lynch syndrome and sporadic colorectal cancer. Lynch syndrome a hereditary condition significantly raises the risk of colorectal cancer and other cancers due to defective DNA mismatch repair. MLH1 mutations often lead to the loss of MLH1 protein expression particularly observed in MLH1 IHC staining. Additionally in colorectal cancer the MLH1 protein may interact with APC and TP53 playing a role in cancer progression and tumorigenesis.

Product protocols

For this product, it's our understanding that no specific protocols are required. You can visit:

Target data

Heterodimerizes with PMS2 to form MutL alpha, a component of the post-replicative DNA mismatch repair system (MMR). DNA repair is initiated by MutS alpha (MSH2-MSH6) or MutS beta (MSH2-MSH3) binding to a dsDNA mismatch, then MutL alpha is recruited to the heteroduplex. Assembly of the MutL-MutS-heteroduplex ternary complex in presence of RFC and PCNA is sufficient to activate endonuclease activity of PMS2. It introduces single-strand breaks near the mismatch and thus generates new entry points for the exonuclease EXO1 to degrade the strand containing the mismatch. DNA methylation would prevent cleavage and therefore assure that only the newly mutated DNA strand is going to be corrected. MutL alpha (MLH1-PMS2) interacts physically with the clamp loader subunits of DNA polymerase III, suggesting that it may play a role to recruit the DNA polymerase III to the site of the MMR. Also implicated in DNA damage signaling, a process which induces cell cycle arrest and can lead to apoptosis in case of major DNA damages. Heterodimerizes with MLH3 to form MutL gamma which plays a role in meiosis.
See full target information MLH1

Publications (83)

Recent publications for all applications. Explore the full list and refine your search

Cancers 15: PubMed37835526

2023

Mismatch Repair Deficiency Is a Prognostic Factor Predicting Good Survival of -Associated Cholangiocarcinoma at Early Cancer Stage.

Applications

Unspecified application

Species

Unspecified reactive species

Natcha Khuntikeo,Sureerat Padthaisong,Watcharin Loilome,Poramate Klanrit,Soontaree Ratchatapusit,Anchalee Techasen,Apiwat Jareanrat,Vasin Thanasukarn,Tharatip Srisuk,Vor Luvira,Jarin Chindaprasirt,Prakasit Sa-Ngiamwibool,Chaiwat Aphivatanasiri,Piyapharom Intarawichian,Supinda Koonmee,Piya Prajumwongs,Attapol Titapun

Nature genetics 55:1686-1695 PubMed37709863

2023

Mismatch repair deficiency is not sufficient to elicit tumor immunogenicity.

Applications

Unspecified application

Species

Unspecified reactive species

Peter M K Westcott,Francesc Muyas,Haley Hauck,Olivia C Smith,Nathan J Sacks,Zackery A Ely,Alex M Jaeger,William M Rideout,Daniel Zhang,Arjun Bhutkar,Mary C Beytagh,David A Canner,Grissel C Jaramillo,Roderick T Bronson,Santiago Naranjo,Abbey Jin,J J Patten,Amanda M Cruz,Sean-Luc Shanahan,Isidro Cortes-Ciriano,Tyler Jacks

Genes 14: PubMed37239382

2023

Chromosome Asynapsis Is the Main Cause of Male Sterility in the Interspecies Hybrids of East Asian Voles (, Rodentia, Arvicolinae).

Applications

Unspecified application

Species

Unspecified reactive species

Tatiana Bikchurina,Marina Pavlenko,Elena Kizilova,Daria Rubtsova,Irina Sheremetyeva,Irina Kartavtseva,Anna Torgasheva,Pavel Borodin

Journal for immunotherapy of cancer 11: PubMed37072347

2023

BRD4 inhibition impairs DNA mismatch repair, induces mismatch repair mutation signatures and creates therapeutic vulnerability to immune checkpoint blockade in MMR-proficient tumors.

Applications

Unspecified application

Species

Unspecified reactive species

Yu Fu,Bin Yang,Yaoyuan Cui,Xingyuan Hu,Xi Li,Funian Lu,Tianyu Qin,Li Zhang,Zhe Hu,Ensong Guo,Junpeng Fan,Rourou Xiao,Wenting Li,Xu Qin,Dianxing Hu,Wenju Peng,Jingbo Liu,Beibei Wang,Gordon B Mills,Gang Chen,Chaoyang Sun

Science immunology 8:eade1167 PubMed36961908

2023

DNA repair mechanisms that promote insertion-deletion events during immunoglobulin gene diversification.

Applications

Unspecified application

Species

Unspecified reactive species

Qian Hao,Chuanzong Zhan,Chaoyang Lian,Simin Luo,Wenyi Cao,Binbin Wang,Xia Xie,Xiaofei Ye,Tuantuan Gui,Claudia Voena,Chiara Pighi,Yanyan Wang,Ying Tian,Xin Wang,Pengfei Dai,Yanni Cai,Xiaojing Liu,Shengqun Ouyang,Shiqi Sun,Qianwen Hu,Jun Liu,Youqiong Ye,Jingkun Zhao,Aiguo Lu,Ji-Yang Wang,Chuanxin Huang,Bing Su,Fei-Long Meng,Roberto Chiarle,Qiang Pan-Hammarström,Leng-Siew Yeap

Science advances 9:eadd8564 PubMed36921054

2023

Synthetic enforcement of STING signaling in cancer cells appropriates the immune microenvironment for checkpoint inhibitor therapy.

Applications

Unspecified application

Species

Unspecified reactive species

Larsen Vornholz,Sophie E Isay,Zsuzsanna Kurgyis,Daniel C Strobl,Patricia Loll,Mohammed H Mosa,Malte D Luecken,Michael Sterr,Heiko Lickert,Christof Winter,Florian R Greten,Henner F Farin,Fabian J Theis,Jürgen Ruland

Cell reports. Medicine 4:100883 PubMed36630951

2023

Inherited mutations in Chinese patients with upper tract urothelial carcinoma.

Applications

Unspecified application

Species

Unspecified reactive species

Junlong Wu,Shengming Jin,Chengyuan Gu,Yu Wei,Yao Zhu,Andrea Necchi,Shahrokh F Shariat,Jian Pan,Hualei Gan,Bo Dai,Hailiang Zhang,Guohai Shi,Yu Zhu,Yijun Shen,Yiping Zhu,Dingwei Ye

Cancer cell 41:196-209.e5 PubMed36584674

2022

Genetic and pharmacological modulation of DNA mismatch repair heterogeneous tumors promotes immune surveillance.

Applications

Unspecified application

Species

Unspecified reactive species

Vito Amodio,Simona Lamba,Rosaria Chilà,Chiara M Cattaneo,Benedetta Mussolin,Giorgio Corti,Giuseppe Rospo,Enrico Berrino,Claudio Tripodo,Federica Pisati,Alice Bartolini,Maria Costanza Aquilano,Silvia Marsoni,Gianluca Mauri,Caterina Marchiò,Sergio Abrignani,Federica Di Nicolantonio,Giovanni Germano,Alberto Bardelli

Cancers 15: PubMed36612181

2022

Immunohistochemical Study of Bladder Cancer Molecular Subtypes and Their Association with PD-L1 Expression.

Applications

Unspecified application

Species

Unspecified reactive species

Dimitrios Goutas,Kostas Palamaris,Anastasios Stofas,Nektarios Politakis,Antonia Despotidi,Ioanna Giannopoulou,Nikolaos Goutas,Dimitrios Vlachodimitropoulos,Nikolaos Kavantzas,Andreas C Lazaris,Hariklia Gakiopoulou

Frontiers in oncology 12:1012168 PubMed36387191

2022

Clinicopathological characteristics and loss of mismatch repair protein expression in Chinese upper tract urothelial carcinomas.

Applications

Unspecified application

Species

Unspecified reactive species

Zhi Shang,Shengming Jin,Wenwen Wang,Yu Wei,Chengyuan Gu,Chen Yang,Yu Zhu,Yao Zhu,Yijun Shen,Junlong Wu,Dingwei Ye
View all publications

Product promise

We are committed to supporting your work with high-quality reagents, and we're here for you every step of the way. In the unlikely event that one of our products does not perform as expected, you're protected by our Product Promise.
For full details, please see our Terms & Conditions

Associated Products

Select an associated product type
Alternative Product
Primary Antibodies

AB14206

Anti-MLH1 antibody [G168-15]

primary-antibodies

mlh1-antibody-g168-15-ab14206

0

(0 reviews)

Alternative Product
Primary Antibodies

AB108622

Anti-MLH1 antibody [EPR3893]

primary-antibodies

mlh1-antibody-epr3893-ab108622

5

(1 reviews)

Alternative Product
Primary Antibodies

AB229191

Anti-MLH1 antibody [EPR20741]

primary-antibodies

mlh1-antibody-epr20741-ab229191

0

(0 reviews)

Alternative Product
Primary Antibodies

AB223844

Anti-MLH1 antibody [EPR20522]

primary-antibodies

mlh1-antibody-epr20522-ab223844

0

(0 reviews)

Please note: All products are 'FOR RESEARCH USE ONLY. NOT FOR USE IN DIAGNOSTIC OR THERAPEUTIC PROCEDURES'.

For licensing inquiries, please contact partnerships@abcam.com