JavaScript is disabled in your browser. Please enable JavaScript to view this website.
AB214441

Anti-MLH1 antibody [EPR3894] - BSA and Azide free

Be the first to review this product! Submit a review

|

(6 Publications)

Rabbit Recombinant Monoclonal MLH1 antibody. Carrier free. Suitable for IHC-P, WB, ICC/IF, Flow Cyt (Intra) and reacts with Human, Mouse, Rat samples. Cited in 6 publications.

View Alternative Names

COCA2, MLH1, DNA mismatch repair protein Mlh1, MutL protein homolog 1

12 Images
Immunohistochemistry (Formalin/PFA-fixed paraffin-embedded sections) - Anti-MLH1 antibody [EPR3894] - BSA and Azide free (AB214441)
  • IHC-P

Lab

Immunohistochemistry (Formalin/PFA-fixed paraffin-embedded sections) - Anti-MLH1 antibody [EPR3894] - BSA and Azide free (AB214441)

Tissue Microarrays stained for "Anti-MLH1 antibody [EPR3894]" using "ab92312"in immunohistochemical analysis. This table provides a detailed overview of positive (tick mark) and negative (cross mark) staining per sample type tested. The sections were pre-treated using Heat mediated antigen retrieval using ab93678 (citrate buffer, pH 6.0). The sections were incubated with ab92312 at +4°C overnight. ImmunoHistoProbe one step HRP Polymer (ready to use) was used as the secondary antibody.

Immunohistochemistry (Formalin/PFA-fixed paraffin-embedded sections) - Anti-MLH1 antibody [EPR3894] - BSA and Azide free (AB214441)
  • IHC-P

PubMed

Immunohistochemistry (Formalin/PFA-fixed paraffin-embedded sections) - Anti-MLH1 antibody [EPR3894] - BSA and Azide free (AB214441)

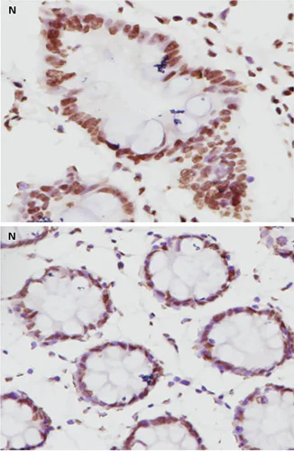
Unpurified ab92312 staining MLH1 in human colorectal (top) and gastric tissue (bottom) by immunohistochemistry (Formalin/PFA-fixed paraffin-embedded sections).

Heat mediated antigen retrieval was performed via the pressure cooker method before commencing with IHC staining protocol.

This data was developed using the same antibody clone in a different buffer formulation containing PBS, BSA, glycerol, and sodium azide (ab92312).

Image from Wang X et al. PLoS One. 2011;6(10):e25913. Epub 2011 Oct 12. Fig 3.; doi:10.1371/journal.pone.0025913; October 12 2011 PLoS ONE 6(10): e25913.

Flow Cytometry (Intracellular) - Anti-MLH1 antibody [EPR3894] - BSA and Azide free (AB214441)
  • Flow Cyt (Intra)

Lab

Flow Cytometry (Intracellular) - Anti-MLH1 antibody [EPR3894] - BSA and Azide free (AB214441)

This data was developed using the same antibody clone in a different buffer formulation containing PBS, BSA, glycerol, and sodium azide (ab92312). Flow cytometry overlay histogram showing wild-type Hap1 (green line) and MLH1 knockout Hap1 stained with ab92312 (red line). The cells were fixed with 80% methanol (5 min) and then permeabilised with 0.1% PBS-Triton X-100 for 15 min. The cells were then incubated in 1x PBS containing 10% normal goat serum to block non-specific protein-protein interaction followed by the antibody (ab92312) (1x 106 in 100μl at 0.2 μg/ml (1/9835)) for 30min at 22°C. The secondary antibody Goat Anti-Rabbit IgG H&L (Alexa Fluor® 647) preadsorbed was incubated at 1/4000 for 30min at 22°C Isotype control antibody Recombinant Rabbit IgG, monoclonal [EPR25A] - Isotype Control was used at the same concentration and conditions as the primary antibody (wild-type Hap1 - black line, MLH1 knockout Hap1 - grey line). Unlabelled sample was also used as a control (this line is not shown for the purpose of simplicity).

Western blot - Anti-MLH1 antibody [EPR3894] - BSA and Azide free (AB214441)
  • WB

Supplier Data

Western blot - Anti-MLH1 antibody [EPR3894] - BSA and Azide free (AB214441)

This data was developed using the same antibody clone in a different buffer formulation (ab92312).

Lanes 1-4 : Merged signal (red and green). Green - ab92312 observed at 90 kDa. Red - loading control ab8245 observed at 37 kDa.

ab92312 Anti-MLH1 antibody [EPR3894] was shown to specifically react with MLH1 in wild-type HeLa cells. Loss of signal was observed when knockout cell line ab267223 (knockout cell lysate ab257172) was used. Wild-type and MLH1 knockout samples were subjected to SDS-PAGE. ab92312 and Anti-GAPDH antibody [6C5] - Loading Control were incubated overnight at 4°C at 1 in 10000 dilution and 1 in 20000 dilution respectively. Blots were developed with Goat anti-Rabbit IgG H&L (IRDye® 800CW) preadsorbed (ab216773) and Goat anti-Mouse IgG H&L (IRDye® 680RD) preadsorbed (ab216776) secondary antibodies at 1 in 20000 dilution for 1 hour at room temperature before imaging.

All lanes:

Western blot - Anti-MLH1 antibody [EPR3894] (<a href='/en-us/products/primary-antibodies/mlh1-antibody-epr3894-ab92312'>ab92312</a>) at 1/10000 dilution

Lane 1:

Wild-type HeLa cell lysate at 20 µg

Lane 2:

MLH1 knockout HeLa cell lysate at 20 µg

Lane 2:

Western blot - Human MLH1 knockout HeLa cell line (<a href='/en-us/products/cell-lines/human-mlh1-knockout-hela-cell-line-ab267223'>ab267223</a>)

Lane 3:

Jurkat cell lysate at 20 µg

Lane 4:

HCT116 cell lysate at 20 µg

Secondary

All lanes:

Western blot - Goat anti-Rabbit IgG H&L (IRDye® 800CW) preadsorbed (<a href='/en-us/products/secondary-antibodies/goat-rabbit-igg-h-l-irdye-800cw-preadsorbed-ab216773'>ab216773</a>) at 1/20000 dilution

Predicted band size: 85 kDa

Observed band size: 85 kDa

false

Immunohistochemistry (Formalin/PFA-fixed paraffin-embedded sections) - Anti-MLH1 antibody [EPR3894] - BSA and Azide free (AB214441)
  • IHC-P

Lab

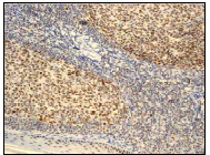
Immunohistochemistry (Formalin/PFA-fixed paraffin-embedded sections) - Anti-MLH1 antibody [EPR3894] - BSA and Azide free (AB214441)

Immunohistochemistry (Formalin/PFA-fixed paraffin-embedded sections) analysis of human colon tissue sections labeling MLH1 with purified ab92312 at 1 : 250 dilution (2.9 μg/ml). Heat mediated antigen retrieval was performed using citrate (pH 6.0) ImmunoHistoProbe one step HRP Polymer (ready to use) was used as the secondary antibody. Negative control : PBS instead of the primary antibody. Hematoxylin was used as a counterstain

This data was developed using the same antibody clone in a different buffer formulation containing PBS, BSA, glycerol, and sodium azide (ab92312).

Immunocytochemistry/ Immunofluorescence - Anti-MLH1 antibody [EPR3894] - BSA and Azide free (AB214441)
  • ICC/IF

Unknown

Immunocytochemistry/ Immunofluorescence - Anti-MLH1 antibody [EPR3894] - BSA and Azide free (AB214441)

Immunocytochemistry/Immunofluorescence analysis of HeLa (human cervix adenocarcinoma) labelling MLH1 with purified ab92312 at 1/1000. Cells were fixed with 4% PFA and permeabilized with 0.1% Triton X-100. An Alexa Fluor® 488-conjugated goat anti-rabbit IgG (1/1000) was used as the secondary antibody (ab150077). Nuclei counterstained with DAPI (blue).

Control : PBS only

This data was developed using the same antibody clone in a different buffer formulation containing PBS, BSA, glycerol, and sodium azide (ab92312).

Immunohistochemistry (Formalin/PFA-fixed paraffin-embedded sections) - Anti-MLH1 antibody [EPR3894] - BSA and Azide free (AB214441)
  • IHC-P

Unknown

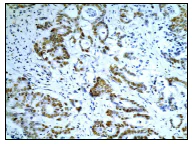
Immunohistochemistry (Formalin/PFA-fixed paraffin-embedded sections) - Anti-MLH1 antibody [EPR3894] - BSA and Azide free (AB214441)

Unpurified ab92312 at 1/100 dilution staining MLH1 in human colonic adenocarcinoma by immunohistochemistry, paraffin-embedded tissue. The use of an HRP/AP polymerized antibody is recommended for a secondary antibody.

Heat mediated antigen retrieval was performed via the pressure cooker method before commencing with IHC staining protocol.

This data was developed using the same antibody clone in a different buffer formulation containing PBS, BSA, glycerol, and sodium azide (ab92312).

Immunohistochemistry (Formalin/PFA-fixed paraffin-embedded sections) - Anti-MLH1 antibody [EPR3894] - BSA and Azide free (AB214441)
  • IHC-P

Unknown

Immunohistochemistry (Formalin/PFA-fixed paraffin-embedded sections) - Anti-MLH1 antibody [EPR3894] - BSA and Azide free (AB214441)

Unpurified ab92312 at 1/100 dilution staining MLH1 in human tonsil by immunohistochemistry, paraffin-embedded tissue. The use of an HRP/AP polymerized antibody is recommended for a secondary antibody.

Heat mediated antigen retrieval was performed via the pressure cooker method before commencing with IHC staining protocol.

This data was developed using the same antibody clone in a different buffer formulation containing PBS, BSA, glycerol, and sodium azide (ab92312).

Immunocytochemistry/ Immunofluorescence - Anti-MLH1 antibody [EPR3894] - BSA and Azide free (AB214441)
  • ICC/IF

AbReview29256****

Immunocytochemistry/ Immunofluorescence - Anti-MLH1 antibody [EPR3894] - BSA and Azide free (AB214441)

Unpurified ab92312 (1/200) staining MLH1 in HeLa cells (green). Cells were fixed in paraformaldehyde, permeabilised with 0.5% Triton X100/PBS and counterstained with DAPI in order to highlight the nucleus (red). For further experimental details please refer to abreview.

This data was developed using the same antibody clone in a different buffer formulation containing PBS, BSA, glycerol, and sodium azide (ab92312).

This image is courtesy of an Abreview submitted by Kirk McManus.

Immunocytochemistry/ Immunofluorescence - Anti-MLH1 antibody [EPR3894] - BSA and Azide free (AB214441)
  • ICC/IF

Unknown

Immunocytochemistry/ Immunofluorescence - Anti-MLH1 antibody [EPR3894] - BSA and Azide free (AB214441)

Immunocytochemistry/ Immunofluorescence analysis of SW480 (Human colorectal adenocarcinoma epithelial cell) cells labeling MLH1 with purified ab92312 at 1 : 500 dilution (1.6 μg/ml). Cells were fixed in 4% paraformaldehyde and permeabilized with 0.1% tritonX-100. Cells were counterstained with ab195889 anti-alpha tubulin antibody [DM1A] - Microtubule Marker (Alexa Fluor®594) 1 : 200 (2.5 μg/ml). Goat anti rabbit IgG (Alexa Fluor®488, ab150077) was used as the secondary antibody at 1 : 1000 (2 μg/ml) dilution. DAPI nuclear counterstain. PBS instead of the primary antibody was used as the secondary antibody only control.

This data was developed using the same antibody clone in a different buffer formulation containing PBS, BSA, glycerol, and sodium azide (ab92312).

Flow Cytometry (Intracellular) - Anti-MLH1 antibody [EPR3894] - BSA and Azide free (AB214441)
  • Flow Cyt (Intra)

Unknown

Flow Cytometry (Intracellular) - Anti-MLH1 antibody [EPR3894] - BSA and Azide free (AB214441)

Overlay histogram showing HeLa cells stained with unpurified ab92312 (red line). The cells were fixed with 80% methanol (5 min) and then permeabilized with 0.1% PBS-Tween for 20 min. The cells were then incubated in 1x PBS / 10% normal goat serum / 0.3M glycine to block non-specific protein-protein interactions followed by the antibody (ab92312, 1/100 dilution) for 30 min at 22°C. The secondary antibody used was DyLight® 488 goat anti-rabbit IgG (H+L) (ab96899) at 1/500 dilution for 30 min at 22°C. Isotype control antibody (black line) was rabbit IgG (monoclonal) (1μg/1x106 cells) used under the same conditions. Acquisition of >5,000 events was performed.

This data was developed using the same antibody clone in a different buffer formulation containing PBS, BSA, glycerol, and sodium azide (ab92312).

Western blot - Anti-MLH1 antibody [EPR3894] - BSA and Azide free (AB214441)
  • WB

Lab

Western blot - Anti-MLH1 antibody [EPR3894] - BSA and Azide free (AB214441)

False colour image of Western blot : Anti-MLH1 antibody [EPR3894] staining at 1/2000 dilution, shown in green; Mouse anti-GAPDH antibody [6C5] (ab8245) loading control staining at 1/20000 dilution, shown in red. In Western blot, ab92312 was shown to bind specifically to MLH1. A band was observed at 85 kDa in wild-type A549 cell lysates with no signal observed at this size in MLH1 CRISPR-Cas9 edited cell line ab276105 (CRISPR-Cas9 edited cell lysate ab283566). The band observed in the CRISPR-Cas9 edited lysate lane below 85 kDa is likely to represent a truncated form of MLH1. This has not been investigated further and the functional properties of the gene product have not been determined. To generate this image, wild-type and MLH1 CRISPR-Cas9 edited A549 cell lysates were analysed. First, samples were run on an SDS-PAGE gel then transferred onto a nitrocellulose membrane. Membranes were blocked in 3 % milk in TBS-0.1 % Tween® 20 (TBS-T) before incubation with primary antibodies overnight at 4°C. Blots were washed four times in TBS-T, incubated with secondary antibodies for 1 h at room temperature, washed again four times then imaged. Secondary antibodies used were Goat anti-Rabbit IgG H&L (IRDye® 800CW) preabsorbed (ab216773) and Goat anti-Mouse IgG H&L (IRDye® 680RD) preabsorbed (ab216776) at 1/20000 dilution.

All lanes:

Western blot - Anti-MLH1 antibody [EPR3894] (<a href='/en-us/products/primary-antibodies/mlh1-antibody-epr3894-ab92312'>ab92312</a>) at 1/2000 dilution

Lane 1:

Wild-type A549 cell lysate at 20 µg

Lane 2:

MLH1 CRISPR-Cas9 edited A549 cell lysate at 20 µg

Lane 2:

Western blot - Human MLH1 knockout A549 cell line (<a href='/en-us/products/cell-lines/human-mlh1-knockout-a549-cell-line-ab276105'>ab276105</a>)

Lane 2:

Western blot - Human MLH1 knockout A549 cell lysate (<a href='/en-us/products/cell-lysates/human-mlh1-knockout-a549-cell-lysate-ab288239'>ab288239</a>)

Lane 3:

Jurkat cell lysate at 20 µg

Lane 4:

HCT 116 cell lysate at 20 µg

Predicted band size: 85 kDa

Observed band size: 85 kDa

false

Key facts

Host species

Rabbit

Clonality

Monoclonal

Clone number

EPR3894

Isotype

IgG

Carrier free

Yes

Reacts with

Mouse, Rat, Human

Applications

WB, ICC/IF, Flow Cyt (Intra), IHC-P

applications

Immunogen

The exact immunogen used to generate this antibody is proprietary information.

Specificity

The mouse and rat recommendation is based on the WB results. We do not guarantee IHC-P for mouse and rat.

Reactivity data

{ "title": "Reactivity Data", "filters": { "stats": ["", "Species", "Dilution Info", "Notes"], "tabs": { "all-applications": {"fullname" : "All Applications", "shortname": "All Applications"}, "IHCP" : {"fullname" : "Immunohistochemistry (Formalin/PFA-fixed paraffin-embedded sections)", "shortname":"IHC-P"}, "IP" : {"fullname" : "Immunoprecipitation", "shortname":"IP"}, "WB" : {"fullname" : "Western blot", "shortname":"WB"}, "ICCIF" : {"fullname" : "Immunocytochemistry/ Immunofluorescence", "shortname":"ICC/IF"}, "FlowCytIntra" : {"fullname" : "Flow Cytometry (Intracellular)", "shortname":"Flow Cyt (Intra)"} }, "product-promise": { "all": "all", "testedAndGuaranteed": "tested", "guaranteed": "expected", "predicted": "predicted", "notRecommended": "not-recommended" } }, "values": { "Human": { "IHCP-species-checked": "testedAndGuaranteed", "IHCP-species-dilution-info": "", "IHCP-species-notes": "<p></p>", "IP-species-checked": "notRecommended", "IP-species-dilution-info": "", "IP-species-notes": "<p></p>", "WB-species-checked": "testedAndGuaranteed", "WB-species-dilution-info": "", "WB-species-notes": "<p></p>", "ICCIF-species-checked": "testedAndGuaranteed", "ICCIF-species-dilution-info": "", "ICCIF-species-notes": "<p></p>", "FlowCytIntra-species-checked": "testedAndGuaranteed", "FlowCytIntra-species-dilution-info": "", "FlowCytIntra-species-notes": "<p><a href='/en-us/products/primary-antibodies/rabbit-igg-monoclonal-epr25a-isotype-control-low-endotoxin-azide-free-ab199376'>ab199376</a> - Rabbitmonoclonal IgG, is suitable for use as an isotype control with this antibody.</p>" }, "Mouse": { "IHCP-species-checked": "notRecommended", "IHCP-species-dilution-info": "", "IHCP-species-notes": "<p></p>", "IP-species-checked": "notRecommended", "IP-species-dilution-info": "", "IP-species-notes": "<p></p>", "WB-species-checked": "testedAndGuaranteed", "WB-species-dilution-info": "", "WB-species-notes": "<p></p>", "ICCIF-species-checked": "guaranteed", "ICCIF-species-dilution-info": "", "ICCIF-species-notes": "", "FlowCytIntra-species-checked": "guaranteed", "FlowCytIntra-species-dilution-info": "", "FlowCytIntra-species-notes": "" }, "Rat": { "IHCP-species-checked": "notRecommended", "IHCP-species-dilution-info": "", "IHCP-species-notes": "<p></p>", "IP-species-checked": "notRecommended", "IP-species-dilution-info": "", "IP-species-notes": "<p></p>", "WB-species-checked": "testedAndGuaranteed", "WB-species-dilution-info": "", "WB-species-notes": "<p></p>", "ICCIF-species-checked": "guaranteed", "ICCIF-species-dilution-info": "", "ICCIF-species-notes": "", "FlowCytIntra-species-checked": "guaranteed", "FlowCytIntra-species-dilution-info": "", "FlowCytIntra-species-notes": "" } } }

Product details

ab214441 is the carrier-free version of ab92312.

Patented technology
Our RabMAb® technology is a patented hybridoma-based technology for making rabbit monoclonal antibodies. For details on our patents, please refer to RabMAb® patents.

What are the advantages of a recombinant monoclonal antibody?
This product is a recombinant monoclonal antibody, which offers several advantages including:

  • - High batch-to-batch consistency and reproducibility
  • - Improved sensitivity and specificity
  • - Long-term security of supply
  • - Animal-free batch production

For more information, read more on recombinant antibodies.

Conjugation ready
Our carrier-free antibodies are typically supplied in a PBS-only formulation, purified and free of BSA, sodium azide and glycerol. This conjugation-ready format is designed for use with fluorochromes, metal isotopes, oligonucleotides, and enzymes, which makes them ideal for antibody labelling, functional and cell-based assays, flow-based assays (e.g. mass cytometry) and Multiplex Imaging applications.

Use our conjugation kits for antibody conjugates that are ready-to-use in as little as 20 minutes with 1 minute hands-on-time and 100% antibody recovery: available for fluorescent dyes, HRP, biotin and gold.

Compatibility
This product is compatible with the Maxpar® Antibody Labeling Kit from Fluidigm, without the need for antibody preparation. Maxpar® is a trademark of Fluidigm Canada Inc.

Properties and storage information

Form
Liquid
Purification technique
Affinity purification Protein A
Storage buffer
pH: 7.2 - 7.4 Constituents: PBS
Shipped at conditions
Blue Ice
Appropriate short-term storage conditions
+4°C
Appropriate long-term storage conditions
+4°C
Storage information
Do Not Freeze

Supplementary information

This supplementary information is collated from multiple sources and compiled automatically.

MLH1 also known as MutL homolog 1 is a protein involved in DNA mismatch repair an important mechanism for maintaining genetic stability. It has a molecular weight of approximately 87 kDa. This protein is expressed in various tissues but is most abundant in the colonic epithelium and endometrium. MLH1 acts mechanically by forming heterodimers with other proteins collaborating in correcting errors that occur during DNA replication.
Biological function summary

The function of MLH1 involves its role in the mismatch repair (MMR) system. It is part of a complex with PMS2 forming a heterodimer known as MutLα which is essential for the repair process. This complex scans newly synthesized DNA for mispaired bases and initiates repair preserving genomic integrity. The proper function of MLH1 and its interaction with PMS2 ensures that DNA replication errors do not accumulate and cause harmful mutations.

Pathways

MLH1 operates within the mismatch repair pathway and interacts closely with MLH3 and PMS2 proteins. It plays a critical role in the recognition and repair of mismatched bases that occur during DNA replication particularly in the G2 phase of the cell cycle. Through its involvement in the mismatch repair pathway MLH1 is connected to cell cycle regulation and the DNA damage response pathway.

MLH1 mutations are closely linked to Lynch syndrome and sporadic colorectal cancer. Lynch syndrome a hereditary condition significantly raises the risk of colorectal cancer and other cancers due to defective DNA mismatch repair. MLH1 mutations often lead to the loss of MLH1 protein expression particularly observed in MLH1 IHC staining. Additionally in colorectal cancer the MLH1 protein may interact with APC and TP53 playing a role in cancer progression and tumorigenesis.

Product protocols

For this product, it's our understanding that no specific protocols are required. You can visit:

Target data

Heterodimerizes with PMS2 to form MutL alpha, a component of the post-replicative DNA mismatch repair system (MMR). DNA repair is initiated by MutS alpha (MSH2-MSH6) or MutS beta (MSH2-MSH3) binding to a dsDNA mismatch, then MutL alpha is recruited to the heteroduplex. Assembly of the MutL-MutS-heteroduplex ternary complex in presence of RFC and PCNA is sufficient to activate endonuclease activity of PMS2. It introduces single-strand breaks near the mismatch and thus generates new entry points for the exonuclease EXO1 to degrade the strand containing the mismatch. DNA methylation would prevent cleavage and therefore assure that only the newly mutated DNA strand is going to be corrected. MutL alpha (MLH1-PMS2) interacts physically with the clamp loader subunits of DNA polymerase III, suggesting that it may play a role to recruit the DNA polymerase III to the site of the MMR. Also implicated in DNA damage signaling, a process which induces cell cycle arrest and can lead to apoptosis in case of major DNA damages. Heterodimerizes with MLH3 to form MutL gamma which plays a role in meiosis.
See full target information MLH1

Publications (6)

Recent publications for all applications. Explore the full list and refine your search

International journal of molecular sciences 24: PubMed37373171

2023

BRAF-AXL-PD-L1 Signaling Axis as a Possible Biological Marker for RAI Treatment in the Thyroid Cancer ATA Intermediate Risk Category.

Applications

Unspecified application

Species

Unspecified reactive species

Cristina Pizzimenti,Vincenzo Fiorentino,Antonio Ieni,Esther Diana Rossi,Emanuela Germanà,Luca Giovanella,Maria Lentini,Ylenia Alessi,Giovanni Tuccari,Alfredo Campennì,Maurizio Martini,Guido Fadda

Investigative ophthalmology & visual science 55:6960-7 PubMed25249609

2014

Retinal mitochondrial DNA mismatch repair in the development of diabetic retinopathy, and its continued progression after termination of hyperglycemia.

Applications

WB

Species

Unspecified reactive species

Manish Mishra,Renu A Kowluru

Cancer research 74:446-59 PubMed24322981

2013

Immune chaperone gp96 drives the contributions of macrophages to inflammatory colon tumorigenesis.

Applications

Unspecified application

Species

Mouse

Crystal Morales,Saleh Rachidi,Feng Hong,Shaoli Sun,Xinshou Ouyang,Caroline Wallace,Yongliang Zhang,Elizabeth Garret-Mayer,Jennifer Wu,Bei Liu,Zihai Li

Gynecologic oncology 131:309-14 PubMed23938375

2013

MMR deficiency is common in high-grade endometrioid carcinomas and is associated with an unfavorable outcome.

Applications

ICC/IF

Species

Human

Gregg S Nelson,Aaron Pink,Sandra Lee,Guangming Han,Don Morris,Travis Ogilvie,Máire A Duggan,Martin Köbel

Proceedings of the National Academy of Sciences of 110:11982-7 PubMed23818604

2013

Highly multiplexed single-cell analysis of formalin-fixed, paraffin-embedded cancer tissue.

Applications

ICC/IF

Species

Human

Michael J Gerdes,Christopher J Sevinsky,Anup Sood,Sudeshna Adak,Musodiq O Bello,Alexander Bordwell,Ali Can,Alex Corwin,Sean Dinn,Robert J Filkins,Denise Hollman,Vidya Kamath,Sireesha Kaanumalle,Kevin Kenny,Melinda Larsen,Michael Lazare,Qing Li,Christina Lowes,Colin C McCulloch,Elizabeth McDonough,Michael C Montalto,Zhengyu Pang,Jens Rittscher,Alberto Santamaria-Pang,Brion D Sarachan,Maximilian L Seel,Antti Seppo,Kashan Shaikh,Yunxia Sui,Jingyu Zhang,Fiona Ginty

PloS one 6:e25913 PubMed22022465

2011

Spreading of Alu methylation to the promoter of the MLH1 gene in gastrointestinal cancer.

Applications

IHC-P

Species

Human

Xiyin Wang,Jing Fan,Dong Liu,Siqing Fu,Sigurdur Ingvarsson,Huiping Chen
View all publications

Product promise

We are committed to supporting your work with high-quality reagents, and we're here for you every step of the way. In the unlikely event that one of our products does not perform as expected, you're protected by our Product Promise.
For full details, please see our Terms & Conditions

Associated Products

Select an associated product type
Alternative Product
Primary Antibodies

AB14206

Anti-MLH1 antibody [G168-15]

primary-antibodies

mlh1-antibody-g168-15-ab14206

0

(0 reviews)

Alternative Product
Primary Antibodies

AB108622

Anti-MLH1 antibody [EPR3893]

primary-antibodies

mlh1-antibody-epr3893-ab108622

5

(1 reviews)

Alternative Product
Primary Antibodies

AB229191

Anti-MLH1 antibody [EPR20741]

primary-antibodies

mlh1-antibody-epr20741-ab229191

0

(0 reviews)

Alternative Product
Primary Antibodies

AB223844

Anti-MLH1 antibody [EPR20522]

primary-antibodies

mlh1-antibody-epr20522-ab223844

0

(0 reviews)

Alternative Version
Primary Antibodies

AB199494

Alexa Fluor® 647 Anti-MLH1 antibody [EPR3894]

primary-antibodies

alexa-fluor-647-mlh1-antibody-epr3894-ab199494

0

(0 reviews)

Alternative Version
Primary Antibodies

AB199237

Alexa Fluor® 488 Anti-MLH1 antibody [EPR3894]

primary-antibodies

alexa-fluor-488-mlh1-antibody-epr3894-ab199237

3

(1 reviews)

Alternative Version
Primary Antibodies

AB303048

APC Anti-MLH1 antibody [EPR3894]

primary-antibodies

apc-mlh1-antibody-epr3894-ab303048

0

(0 reviews)

Alternative Version
Primary Antibodies

AB303049

HRP Anti-MLH1 antibody [EPR3894]

primary-antibodies

hrp-mlh1-antibody-epr3894-ab303049

0

(0 reviews)

Alternative Version
Primary Antibodies

AB312589

Alexa Fluor® 568 Anti-MLH1 antibody [EPR3894]

primary-antibodies

alexa-fluor-568-mlh1-antibody-epr3894-ab312589

0

(0 reviews)

Alternative Version
Primary Antibodies

AB215303

Alexa Fluor® 555 Anti-MLH1 antibody [EPR3894]

primary-antibodies

alexa-fluor-555-mlh1-antibody-epr3894-ab215303

0

(0 reviews)

Alternative Version
Primary Antibodies

AB303047

PE Anti-MLH1 antibody [EPR3894]

primary-antibodies

pe-mlh1-antibody-epr3894-ab303047

0

(0 reviews)

Alternative Version
Primary Antibodies

AB310577

Alexa Fluor® 594 Anti-MLH1 antibody [EPR3894]

primary-antibodies

alexa-fluor-594-mlh1-antibody-epr3894-ab310577

0

(0 reviews)

Please note: All products are 'FOR RESEARCH USE ONLY. NOT FOR USE IN DIAGNOSTIC OR THERAPEUTIC PROCEDURES'.

For licensing inquiries, please contact partnerships@abcam.com