JavaScript is disabled in your browser. Please enable JavaScript to view this website.
AB14206

Anti-MLH1 antibody [G168-15]

Be the first to review this product! Submit a review

|

(45 Publications)

Mouse Monoclonal MLH1 antibody. Suitable for ICC, Flow Cyt, IHC-P and reacts with Human, Mouse samples. Cited in 45 publications. Immunogen corresponding to Recombinant Full Length Protein corresponding to Mouse Mlh1.

View Alternative Names

COCA2, MLH1, DNA mismatch repair protein Mlh1, MutL protein homolog 1

4 Images
Flow Cytometry - Anti-MLH1 antibody [G168-15] (AB14206)
  • Flow Cyt

Unknown

Flow Cytometry - Anti-MLH1 antibody [G168-15] (AB14206)

Overlay histogram showing HeLa cells stained with ab14206 (red line). The cells were fixed with 80% methanol (5 min) and then permeabilized with 0.1% PBS-Tween for 20 min. The cells were then incubated in 1x PBS / 10% normal goat serum / 0.3M glycine to block non-specific protein-protein interactions followed by the antibody (ab14206, 1/50 dilution) for 30 min at 22°C. The secondary antibody used was DyLight® 488 goat anti-mouse IgG (H+L) (ab96879) at 1/500 dilution for 30 min at 22°C. Isotype control antibody (black line) was mouse IgG1 [ICIGG1] (ab91353, 2μg/1x106 cells) used under the same conditions. Acquisition of >5,000 events was performed.

Immunocytochemistry - Anti-MLH1 antibody [G168-15] (AB14206)
  • ICC

Lab

Immunocytochemistry - Anti-MLH1 antibody [G168-15] (AB14206)

ICC/IF image of ab14206 stained HepG2 cells. The cells were 4% formaldehyde fixed (10 min) and then incubated in 1%BSA / 10% normal goat serum / 0.3M glycine in 0.1% PBS-Tween for 1h to permeabilise the cells and block non-specific protein-protein interactions. The cells were then incubated with the antibody ab14206 at 1/50 dilution overnight at +4°C. The secondary antibody (green) was DyLight® 488 goat anti- mouse (ab96879) IgG (H+L) used at a 1/1000 dilution for 1h. Alexa Fluor® 594 WGA was used to label plasma membranes (red) at a 1/200 dilution for 1h. DAPI was used to stain the cell nuclei (blue) at a concentration of 1.43μM.

Immunohistochemistry (Formalin/PFA-fixed paraffin-embedded sections) - Anti-MLH1 antibody [G168-15] (AB14206)
  • IHC-P

Unknown

Immunohistochemistry (Formalin/PFA-fixed paraffin-embedded sections) - Anti-MLH1 antibody [G168-15] (AB14206)

Immunohistochemical analysis of formalin-fixed, paraffin-embedded Human colon carcinoma tissue, staining MLH1 with ab14206.

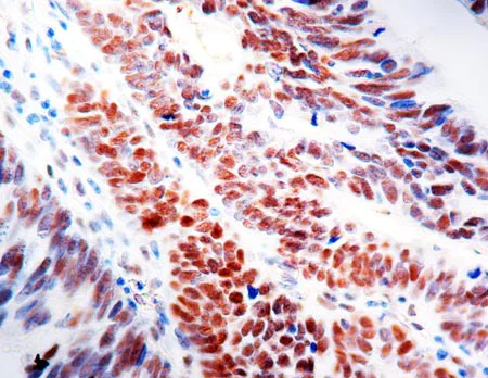
Immunohistochemistry (Formalin/PFA-fixed paraffin-embedded sections) - Anti-MLH1 antibody [G168-15] (AB14206)
  • IHC-P

Unknown

Immunohistochemistry (Formalin/PFA-fixed paraffin-embedded sections) - Anti-MLH1 antibody [G168-15] (AB14206)

Formalin fixed paraffin embedded human tonsil stained with MLH1 using ABC and DAB chromogen.

Key facts

Host species

Mouse

Clonality

Monoclonal

Clone number

G168-15

Isotype

IgG1

Carrier free

No

Reacts with

Mouse, Human

Applications

IHC-P, ICC, Flow Cyt

applications

Immunogen

Recombinant Full Length Protein corresponding to Mouse Mlh1.

Q9JK91

Reactivity data

{ "title": "Reactivity Data", "filters": { "stats": ["", "Species", "Dilution Info", "Notes"], "tabs": { "all-applications": {"fullname" : "All Applications", "shortname": "All Applications"}, "ICC" : {"fullname" : "Immunocytochemistry", "shortname":"ICC"}, "FlowCyt" : {"fullname" : "Flow Cytometry", "shortname":"Flow Cyt"}, "IHCP" : {"fullname" : "Immunohistochemistry (Formalin/PFA-fixed paraffin-embedded sections)", "shortname":"IHC-P"} }, "product-promise": { "all": "all", "testedAndGuaranteed": "tested", "guaranteed": "expected", "predicted": "predicted", "notRecommended": "not-recommended" } }, "values": { "Human": { "ICC-species-checked": "testedAndGuaranteed", "ICC-species-dilution-info": "", "ICC-species-notes": "<p></p>", "FlowCyt-species-checked": "testedAndGuaranteed", "FlowCyt-species-dilution-info": "1/50", "FlowCyt-species-notes": "<p><a href='/en-us/products/primary-antibodies/mouse-igg1-kappa-monoclonal-15-6e10a7-isotype-control-ab170190'>ab170190</a> - Mouse monoclonal IgG1, is suitable for use as an isotype control with this antibody.</p>", "IHCP-species-checked": "testedAndGuaranteed", "IHCP-species-dilution-info": "1/25 - 1/50", "IHCP-species-notes": "<p></p> Perform heat-mediated antigen retrieval before commencing with IHC staining protocol." }, "Mouse": { "ICC-species-checked": "guaranteed", "ICC-species-dilution-info": "", "ICC-species-notes": "<p></p>", "FlowCyt-species-checked": "guaranteed", "FlowCyt-species-dilution-info": "1/50", "FlowCyt-species-notes": "<p><a href='/en-us/products/primary-antibodies/mouse-igg1-kappa-monoclonal-15-6e10a7-isotype-control-ab170190'>ab170190</a> - Mouse monoclonal IgG1, is suitable for use as an isotype control with this antibody.</p>", "IHCP-species-checked": "guaranteed", "IHCP-species-dilution-info": "1/25 - 1/50", "IHCP-species-notes": "<p></p> Perform heat-mediated antigen retrieval before commencing with IHC staining protocol." } } }

Properties and storage information

Form
Liquid
Purification technique
Affinity purification Protein A
Storage buffer
pH: 7.3 - 7.5 Preservative: 0.05% Sodium azide Constituents: 1% BSA
Shipped at conditions
Blue Ice
Appropriate short-term storage duration
1-2 weeks
Appropriate short-term storage conditions
+4°C
Appropriate long-term storage conditions
-20°C
Storage information
Avoid freeze / thaw cycle

Supplementary information

This supplementary information is collated from multiple sources and compiled automatically.

MLH1 also known as MutL homolog 1 is a protein involved in DNA mismatch repair an important mechanism for maintaining genetic stability. It has a molecular weight of approximately 87 kDa. This protein is expressed in various tissues but is most abundant in the colonic epithelium and endometrium. MLH1 acts mechanically by forming heterodimers with other proteins collaborating in correcting errors that occur during DNA replication.
Biological function summary

The function of MLH1 involves its role in the mismatch repair (MMR) system. It is part of a complex with PMS2 forming a heterodimer known as MutLα which is essential for the repair process. This complex scans newly synthesized DNA for mispaired bases and initiates repair preserving genomic integrity. The proper function of MLH1 and its interaction with PMS2 ensures that DNA replication errors do not accumulate and cause harmful mutations.

Pathways

MLH1 operates within the mismatch repair pathway and interacts closely with MLH3 and PMS2 proteins. It plays a critical role in the recognition and repair of mismatched bases that occur during DNA replication particularly in the G2 phase of the cell cycle. Through its involvement in the mismatch repair pathway MLH1 is connected to cell cycle regulation and the DNA damage response pathway.

MLH1 mutations are closely linked to Lynch syndrome and sporadic colorectal cancer. Lynch syndrome a hereditary condition significantly raises the risk of colorectal cancer and other cancers due to defective DNA mismatch repair. MLH1 mutations often lead to the loss of MLH1 protein expression particularly observed in MLH1 IHC staining. Additionally in colorectal cancer the MLH1 protein may interact with APC and TP53 playing a role in cancer progression and tumorigenesis.

Product protocols

For this product, it's our understanding that no specific protocols are required. You can visit:

Target data

Heterodimerizes with PMS2 to form MutL alpha, a component of the post-replicative DNA mismatch repair system (MMR). DNA repair is initiated by MutS alpha (MSH2-MSH6) or MutS beta (MSH2-MSH3) binding to a dsDNA mismatch, then MutL alpha is recruited to the heteroduplex. Assembly of the MutL-MutS-heteroduplex ternary complex in presence of RFC and PCNA is sufficient to activate endonuclease activity of PMS2. It introduces single-strand breaks near the mismatch and thus generates new entry points for the exonuclease EXO1 to degrade the strand containing the mismatch. DNA methylation would prevent cleavage and therefore assure that only the newly mutated DNA strand is going to be corrected. MutL alpha (MLH1-PMS2) interacts physically with the clamp loader subunits of DNA polymerase III, suggesting that it may play a role to recruit the DNA polymerase III to the site of the MMR. Also implicated in DNA damage signaling, a process which induces cell cycle arrest and can lead to apoptosis in case of major DNA damages. Heterodimerizes with MLH3 to form MutL gamma which plays a role in meiosis.
See full target information MLH1

Publications (45)

Recent publications for all applications. Explore the full list and refine your search

Genetics and molecular biology 48:e20240219 PubMed40757736

2025

Crossover frequencies in spermatocytes of Robertsonian homozygotes and heterozygotes of Mus musculus domesticus.

Applications

Unspecified application

Species

Unspecified reactive species

Eliana Ayarza,Marisel González,Jesús Page,Soledad Berríos

PLoS genetics 21:e1011772 PubMed40758762

2025

Recombination plasticity in response to temperature variation in reptiles.

Applications

Unspecified application

Species

Unspecified reactive species

Laura González-Rodelas,Cristina Marín-García,Clara Romero,Gala Pujol,Laia Marín-Gual,Lukáš Kratochvíl,Aurora Ruiz-Herrera

Romanian journal of morphology and embryology = Revue roumaine de morphologie et embryologie 65:745-757 PubMed39957036

2025

Clinicopathological and molecular landscape in colorectal cancer associated with colorectal polyps and inflammatory bowel disease.

Applications

Unspecified application

Species

Unspecified reactive species

Diana Lavinia Pricope,Adriana Grigoraş,Constantin Aleodor Costin,Cornelia Amălinei

Scientific reports 15:3094 PubMed39856096

2025

Natural repeated backcrosses lead to triploidy and tetraploidy in parthenogenetic butterfly lizards (Leiolepis: Agamidae).

Applications

Unspecified application

Species

Unspecified reactive species

Eduard Galoyan,Roman Nazarov,Marie Altmanová,Sergey Matveevsky,Ivan Kropachev,Dmitrij Dedukh,Eugene Iryshkov,Mark Pankin,Natalia Sopilko,Oleg Nikolaev,Nikolai Orlov,Marine Arakelyan,Jiří Klíma,Evgeniya Solovyeva,Tao Nguyen,Lukáš Kratochvíl

Human reproduction open 2024:hoae020 PubMed38650655

2024

Effects of knockout on energy chain transportation and spermatogenesis: implications for male infertility.

Applications

Unspecified application

Species

Unspecified reactive species

Marta Olszewska,Agnieszka Malcher,Tomasz Stokowy,Nijole Pollock,Andrea J Berman,Sylwia Budkiewicz,Marzena Kamieniczna,Hanna Jackowiak,Joanna Suszynska-Zajczyk,Piotr Jedrzejczak,Alexander N Yatsenko,Maciej Kurpisz

Communications biology 7:424 PubMed38589507

2024

A cyclical switch of gametogenic pathways in hybrids depends on the ploidy level.

Applications

Unspecified application

Species

Unspecified reactive species

Dmitrij Dedukh,Anatolie Marta,Ra-Yeon Myung,Myeong-Hun Ko,Da-Song Choi,Yong-Jin Won,Karel Janko

Molecular biology and evolution 41: PubMed38513632

2024

Multiple Genomic Landscapes of Recombination and Genomic Divergence in Wild Populations of House Mice-The Role of Chromosomal Fusions and Prdm9.

Applications

Unspecified application

Species

Unspecified reactive species

Cristina Marín-García,Lucía Álvarez-González,Laia Marín-Gual,Sònia Casillas,Judith Picón,Keren Yam,María Magdalena Garcias-Ramis,Covadonga Vara,Jacint Ventura,Aurora Ruiz-Herrera

Cytogenetic and genome research 164:1-15 PubMed38452741

2024

Spaghetti Connections: Synaptonemal Complexes as a Tool to Explore Chromosome Structure, Evolution, and Meiotic Behavior in Fish.

Applications

Unspecified application

Species

Unspecified reactive species

Artem Lisachov,Dmitrij Dedukh,Sergey Simanovsky,Thitipong Panthum,Worapong Singchat,Kornsorn Srikulnath

Journal of experimental zoology. Part B, Molecular and developmental evolution 342:45-58 PubMed38059675

2023

Natural male hybrid common shrews with a very long chromosomal multivalent at meiosis appear not to be completely sterile.

Applications

Unspecified application

Species

Unspecified reactive species

Sergey N Matveevsky,Oxana L Kolomiets,Nikolay A Shchipanov,Svetlana V Pavlova

eLife 12: PubMed37930936

2023

Genetic and karyotype divergence between parents affect clonality and sterility in hybrids.

Applications

Unspecified application

Species

Unspecified reactive species

Anatolie Marta,Tomáš Tichopád,Oldřich Bartoš,Jiří Klíma,Mujahid Ali Shah,Vendula Šlechtová Bohlen,Joerg Bohlen,Karel Halačka,Lukáš Choleva,Matthias Stöck,Dmitrij Dedukh,Karel Janko
View all publications

Product promise

We are committed to supporting your work with high-quality reagents, and we're here for you every step of the way. In the unlikely event that one of our products does not perform as expected, you're protected by our Product Promise.
For full details, please see our Terms & Conditions

Please note: All products are 'FOR RESEARCH USE ONLY. NOT FOR USE IN DIAGNOSTIC OR THERAPEUTIC PROCEDURES'.

For licensing inquiries, please contact partnerships@abcam.com