JavaScript is disabled in your browser. Please enable JavaScript to view this website.
AB198844

Anti-MLK3 antibody - C-terminal

Be the first to review this product! Submit a review

|

(2 Publications)

Rabbit Polyclonal MLK3 antibody. C-terminal. Suitable for WB, IHC-P and reacts with Human samples. Cited in 2 publications. Immunogen corresponding to Synthetic Peptide within Human MAP3K11.

View Alternative Names

MLK3, PTK1, SPRK, MAP3K11, Mitogen-activated protein kinase kinase kinase 11, Mixed lineage kinase 3, Src-homology 3 domain-containing proline-rich kinase

3 Images
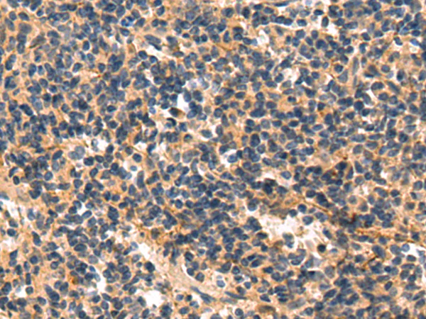
Immunohistochemistry (Formalin/PFA-fixed paraffin-embedded sections) - Anti-MLK3 antibody - C-terminal (AB198844)
  • IHC-P

Unknown

Immunohistochemistry (Formalin/PFA-fixed paraffin-embedded sections) - Anti-MLK3 antibody - C-terminal (AB198844)

Immunohistochemical analysis of paraffin-embedded Human tonsil tissue using ab198844 at dilution 1/30.

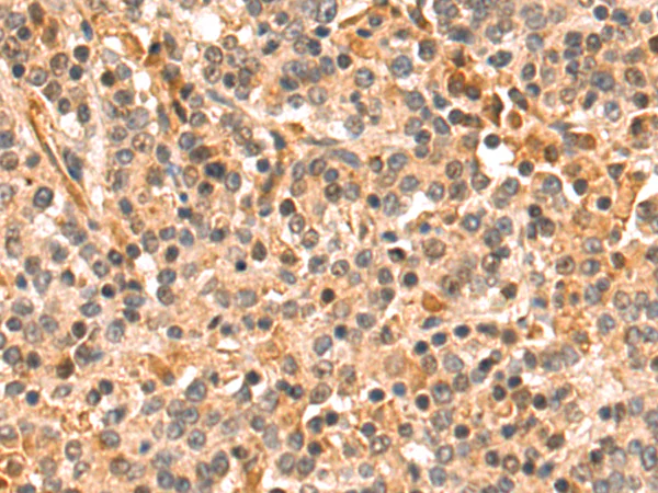
Immunohistochemistry (Formalin/PFA-fixed paraffin-embedded sections) - Anti-MLK3 antibody - C-terminal (AB198844)
  • IHC-P

Unknown

Immunohistochemistry (Formalin/PFA-fixed paraffin-embedded sections) - Anti-MLK3 antibody - C-terminal (AB198844)

Immunohistochemical analysis of paraffin-embedded Human gastric camcer tissue using ab198844 at dilution 1/30.

Western blot - Anti-MLK3 antibody - C-terminal (AB198844)
  • WB

Unknown

Western blot - Anti-MLK3 antibody - C-terminal (AB198844)

All lanes:

Western blot - Anti-MLK3 antibody - C-terminal (ab198844) at 1/400 dilution

Lane 1:

LO2 cell lysate at 40 µg

Lane 2:

PC-3 cell lysates at 40 µg

Secondary

All lanes:

Goat anti rabbit IgG at 1/5000 dilution

Predicted band size: 93 kDa

false

Exposure time: 5min

Key facts

Host species

Rabbit

Clonality

Polyclonal

Isotype

IgG

Carrier free

No

Reacts with

Human

Applications

IHC-P, WB

applications

Immunogen

Synthetic Peptide within Human MAP3K11. The exact immunogen used to generate this antibody is proprietary information.

Q16584

Reactivity data

{ "title": "Reactivity Data", "filters": { "stats": ["", "Species", "Dilution Info", "Notes"], "tabs": { "all-applications": {"fullname" : "All Applications", "shortname": "All Applications"}, "WB" : {"fullname" : "Western blot", "shortname":"WB"}, "IHCP" : {"fullname" : "Immunohistochemistry (Formalin/PFA-fixed paraffin-embedded sections)", "shortname":"IHC-P"} }, "product-promise": { "all": "all", "testedAndGuaranteed": "tested", "guaranteed": "expected", "predicted": "predicted", "notRecommended": "not-recommended" } }, "values": { "Human": { "WB-species-checked": "testedAndGuaranteed", "WB-species-dilution-info": "1/500 - 1/2000", "WB-species-notes": "<p></p>", "IHCP-species-checked": "testedAndGuaranteed", "IHCP-species-dilution-info": "1/50 - 1/100", "IHCP-species-notes": "<p></p>" }, "Mouse": { "WB-species-checked": "predicted", "WB-species-dilution-info": "", "WB-species-notes": "", "IHCP-species-checked": "predicted", "IHCP-species-dilution-info": "", "IHCP-species-notes": "" }, "Rat": { "WB-species-checked": "predicted", "WB-species-dilution-info": "", "WB-species-notes": "", "IHCP-species-checked": "predicted", "IHCP-species-dilution-info": "", "IHCP-species-notes": "" } } }

Product details

The protein encoded by this gene is a member of the serine/threonine kinase family. This kinase contains a SH3 domain and a leucine zipper-basic motif. This kinase preferentially activates MAPK8/JNK kinase, and functions as a positive regulator of JNK signaling pathway. This kinase can directly phosphorylate, and activates IkappaB kinase alpha and beta, and is found to be involved in the transcription activity of NF-kappaB mediated by Rho family GTPases and CDC42.

Properties and storage information

Form
Liquid
Purification technique
Affinity purification Immunogen
Storage buffer
pH: 7.4 Preservative: 0.05% Sodium azide Constituents: PBS, 50% Glycerol (glycerin, glycerine)
Shipped at conditions
Blue Ice
Appropriate short-term storage duration
1-2 weeks
Appropriate short-term storage conditions
+4°C
Appropriate long-term storage conditions
-20°C
Aliquoting information
Upon delivery aliquot
Storage information
Avoid freeze / thaw cycle

Supplementary information

This supplementary information is collated from multiple sources and compiled automatically.

MLK3 also known as MEKK11 is a kinase widely expressed in human tissues. This protein with a molecular mass of approximately 97 kDa functions as a mitogen-activated protein kinase kinase kinase (MAP3K). MLK3 mechanically activates the c-Jun N-terminal kinase (JNK) and p38 MAP kinase pathways by phosphorylating downstream MAP2Ks. It is involved in various cell processes including apoptosis and inflammation.
Biological function summary

MLK3 plays a critical role in cellular response to stress and inflammation. It acts as part of a signaling complex that regulates the JNK and p38 pathways key mediators in immune responses. These pathways control the production of pro-inflammatory cytokines and the cellular stress response. Through its kinase activity MLK3 supports the activation of transcription factors such as AP-1 which drive gene expression changes needed for its biological functions.

Pathways

MLK3 is intricately involved in the MAPK signaling cascade. It connects with other MAP3Ks like MLK1 and MLK2 contributing to the complexity of MAPK signaling. MLK3’s participation in the JNK and p38 pathways links it to cytokine signaling and cellular stress responses. These pathways are significant for maintaining cellular homeostasis and coordinating responses to external stimuli.

MLK3 has implications in cancer and neurodegenerative diseases. In cancer MLK3 modulates pathways that influence cell proliferation and survival potentially leading to tumor growth and metastasis when dysregulated. Similarly altered MLK3 signaling is observed in neurodegenerative diseases possibly due to its role in managing cellular stress. MLK3 interacts with proteins like JNK and p38 which are important in disease mechanisms and progression.

Product protocols

For this product, it's our understanding that no specific protocols are required. You can visit:

Target data

Activates the JUN N-terminal pathway. Required for serum-stimulated cell proliferation and for mitogen and cytokine activation of MAPK14 (p38), MAPK3 (ERK) and MAPK8 (JNK1) through phosphorylation and activation of MAP2K4/MKK4 and MAP2K7/MKK7. Plays a role in mitogen-stimulated phosphorylation and activation of BRAF, but does not phosphorylate BRAF directly. Influences microtubule organization during the cell cycle.
See full target information MAP3K11

Publications (2)

Recent publications for all applications. Explore the full list and refine your search

Journal of cellular physiology 237:4275-4291 PubMed36103355

2022

MAP3K11 facilitates autophagy activity and is correlated with malignancy of oral squamous cell carcinoma.

Applications

Unspecified application

Species

Unspecified reactive species

Pei-Feng Liu,Chun-Feng Chen,Luo-Ping Ger,Wei-Lun Tsai,Ho-Hsing Tseng,Cheng-Hsin Lee,Wen-Hsin Yang,Chih-Wen Shu

Cell death & disease 12:889 PubMed34588426

2021

Corosolic acid inhibits cancer progression by decreasing the level of CDK19-mediated O-GlcNAcylation in liver cancer cells.

Applications

Unspecified application

Species

Unspecified reactive species

Congcong Zhang,Yongjie Niu,Zhixian Wang,Xin Xu,Yan Li,Lifang Ma,Jiayi Wang,Yongchun Yu
View all publications

Product promise

We are committed to supporting your work with high-quality reagents, and we're here for you every step of the way. In the unlikely event that one of our products does not perform as expected, you're protected by our Product Promise.
For full details, please see our Terms & Conditions

Please note: All products are 'FOR RESEARCH USE ONLY. NOT FOR USE IN DIAGNOSTIC OR THERAPEUTIC PROCEDURES'.

For licensing inquiries, please contact partnerships@abcam.com