JavaScript is disabled in your browser. Please enable JavaScript to view this website.
AB243142

Anti-MLKL antibody [3H1]

Be the first to review this product! Submit a review

|

(23 Publications)

Rat Recombinant Monoclonal MLKL antibody. Suitable for WB and reacts with Mouse, Rat, Human samples. Cited in 23 publications.

View Alternative Names

Mixed lineage kinase domain-like protein, hMLKL, MLKL

1 Images
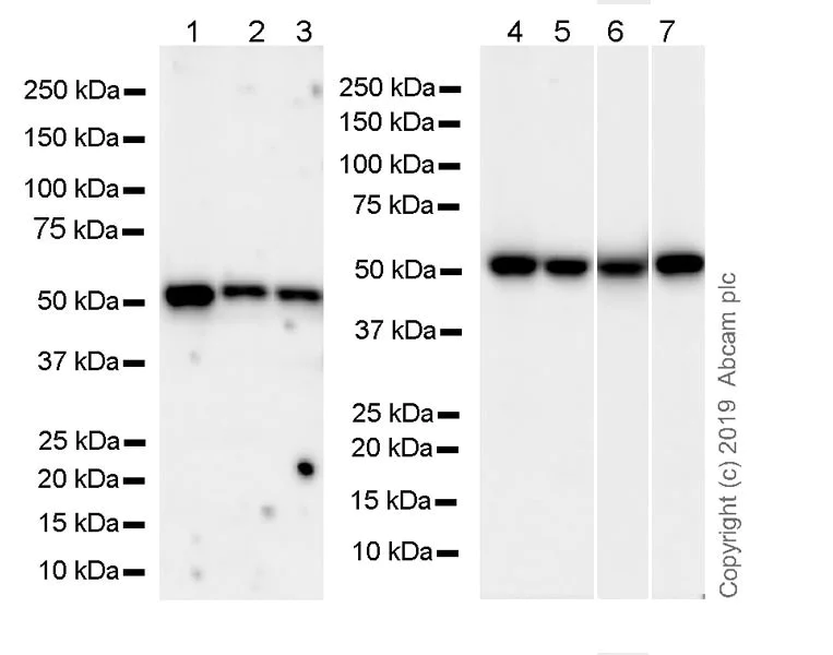
Western blot - Anti-MLKL antibody [3H1] (AB243142)
  • WB

Supplier Data

Western blot - Anti-MLKL antibody [3H1] (AB243142)

Blocking/Dilution buffer : 5% NFDM/TBST.

Exposure times : Lanes 1-3 : 5 secs; Lanes 4/5/7 : 3 secs; Lane 6 : 15 secs.

All lanes:

Western blot - Anti-MLKL antibody [3H1] (ab243142) at 1/2000 dilution

Lane 1:

HUVEC (human umbilical vein endothelial cell), whole cell lysate at 10 µg

Lane 2:

HT-29 (human colorectal adenocarcinoma epithelial cell), whole cell lysate at 10 µg

Lane 3:

HeLa (human cervix adenocarcinoma epithelial cell), whole cell lysate at 10 µg

Lane 4:

C6 (rat glial tumor glial cell), whole cell lysate at 10 µg

Lane 5:

RAW264.7 (mouse Abelson murine leukemia virus-induced tumor macrophage), whole cell lysate at 10 µg

Lane 6:

PC-12 (rat adrenal gland pheochromocytoma), whole cell lysate at 10 µg

Lane 7:

NIH/3T3 (mouse embryonic fibroblast), whole cell lysate at 10 µg

Secondary

All lanes:

Western blot - Goat Anti-Rat IgG H&L (HRP) (<a href='/en-us/products/secondary-antibodies/goat-rat-igg-h-l-hrp-ab205720'>ab205720</a>) at 1/2000 dilution

Predicted band size: 54 kDa

false

  • Carrier free

    Anti-MLKL antibody [3H1] - BSA and Azide free

Key facts

Host species

Rat

Clonality

Monoclonal

Clone number

3H1

Isotype

IgG1

Carrier free

No

Reacts with

Mouse, Rat, Human

Applications

WB

applications

Immunogen

The exact immunogen used to generate this antibody is proprietary information.

Reactivity data

{ "title": "Reactivity Data", "filters": { "stats": ["", "Species", "Dilution Info", "Notes"], "tabs": { "all-applications": {"fullname" : "All Applications", "shortname": "All Applications"}, "WB" : {"fullname" : "Western blot", "shortname":"WB"} }, "product-promise": { "all": "all", "testedAndGuaranteed": "tested", "guaranteed": "expected", "predicted": "predicted", "notRecommended": "not-recommended" } }, "values": { "Human": { "WB-species-checked": "testedAndGuaranteed", "WB-species-dilution-info": "1/2000", "WB-species-notes": "<p></p>" }, "Mouse": { "WB-species-checked": "testedAndGuaranteed", "WB-species-dilution-info": "1/2000", "WB-species-notes": "<p></p>" }, "Rat": { "WB-species-checked": "testedAndGuaranteed", "WB-species-dilution-info": "1/2000", "WB-species-notes": "<p></p>" } } }

You may be interested in:

AB263892

Human MLKL ELISA Kit

0

0 Reviews

View product

We recommend this product because it’s often used in the same experiment or related research.

We advise that you always check the datasheet to ensure it fits your experiments, or contact ourtechnical teamfor help.

Product details

What are the advantages of a recombinant monoclonal antibody?
This product is a recombinant monoclonal antibody, which offers several advantages including:

  • - High batch-to-batch consistency and reproducibility
  • - Improved sensitivity and specificity
  • - Long-term security of supply
  • - Animal-free batch production

For more information, read more on recombinant antibodies.

Want a custom formulation?
This antibody clone is manufactured by Abcam. If you require a custom buffer formulation or conjugation for your experiments, please contact orders@abcam.com

Properties and storage information

Form
Liquid
Purification technique
Affinity purification Protein A
Storage buffer
pH: 7.2 - 7.4 Preservative: 0.01% Sodium azide Constituents: PBS, 40% Glycerol (glycerin, glycerine), 0.05% BSA
Shipped at conditions
Blue Ice
Appropriate short-term storage duration
1-2 weeks
Appropriate short-term storage conditions
+4°C
Appropriate long-term storage conditions
-20°C
Aliquoting information
Upon delivery aliquot
Storage information
Avoid freeze / thaw cycle

Supplementary information

This supplementary information is collated from multiple sources and compiled automatically.

MLKL also known as mixed lineage kinase domain-like protein plays a critical role in the process of necroptosis a form of programmed cell death. The MLKL protein has a molecular weight of approximately 54 kDa. The protein exists mainly within the cytoplasm but translocates to the plasma membrane during cell death execution. Expression of MLKL happens in various tissues indicating its wide biological importance. Phosphorylation of MLKL often referred to as p-MLKL is key to triggering its activity marking the transition from an inactive to an active state during necroptosis.
Biological function summary

The MLKL protein acts as an executioner of cell death by forming a complex that disrupts the plasma membrane integrity. This process is downstream of receptor-interacting serine/threonine-protein kinase 3 (RIPK3) which phosphorylates MLKL to form the active necrosome complex. Active MLKL oligomerizes and migrates towards the inner leaflet of the plasma membrane binding to phosphatidylinositol phosphates which assists in pore formation and cellular rupture. The ability to measure MLKL activity levels such as via MLKL ELISA kits is important for understanding necrotic processes in detailed studies.

Pathways

MLKL is integrally involved in the necroptotic pathway alongside RIPK1 and RIPK3 which are key initiators of necroptosis. Phosphorylated MLKL acts downstream of RIPK3 resulting in cell death without caspase activation distinguishing necroptosis from apoptosis. MLKL and RIPK3 are tightly linked within this pathway with MLKL phosphorylation serving as a vital event for the execution phase. The necroptosis pathway is part of larger networks including inflammatory response pathways highlighting the importance of MLKL's role beyond sheer cell death.

MLKL has been implicated in various inflammatory conditions and neurodegenerative diseases. The dysregulation of necroptosis can contribute to disorders such as inflammatory bowel disease and amyotrophic lateral sclerosis. In inflammatory bowel disease increased levels of p-MLKL might lead to excessive cell death exacerbating inflammation. Similarly in neurodegenerative disorders the harmful activation of MLKL may accelerate neuronal cell death. Key interactions with proteins like RIPK3 and RIPK1 highlight MLKL's involvement in these pathological processes making it a potential target for therapeutic intervention.

Product protocols

For this product, it's our understanding that no specific protocols are required. You can visit:

Target data

Pseudokinase that plays a key role in TNF-induced necroptosis, a programmed cell death process (PubMed : 22265413, PubMed : 22265414, PubMed : 22421439, PubMed : 24316671). Does not have protein kinase activity (PubMed : 22265413, PubMed : 22265414, PubMed : 22421439, PubMed : 24316671). Activated following phosphorylation by RIPK3, leading to homotrimerization, localization to the plasma membrane and execution of programmed necrosis characterized by calcium influx and plasma membrane damage (PubMed : 22265413, PubMed : 22265414, PubMed : 22421439, PubMed : 24316671). In addition to TNF-induced necroptosis, necroptosis can also take place in the nucleus in response to orthomyxoviruses infection : following activation by ZBP1, MLKL is phosphorylated by RIPK3 in the nucleus, triggering disruption of the nuclear envelope and leakage of cellular DNA into the cytosol.following ZBP1 activation, which senses double-stranded Z-RNA structures, nuclear RIPK3 catalyzes phosphorylation and activation of MLKL, promoting disruption of the nuclear envelope and leakage of cellular DNA into the cytosol (By similarity). Binds to highly phosphorylated inositol phosphates such as inositolhexakisphosphate (InsP6) which is essential for its necroptotic function (PubMed : 29883610).
See full target information MLKL

Publications (23)

Recent publications for all applications. Explore the full list and refine your search

Nature communications 14:6610 PubMed37857647

2023

Adaptive design of mRNA-loaded extracellular vesicles for targeted immunotherapy of cancer.

Applications

Unspecified application

Species

Unspecified reactive species

Shiyan Dong,Xuan Liu,Ye Bi,Yifan Wang,Abin Antony,DaeYong Lee,Kristin Huntoon,Seongdong Jeong,Yifan Ma,Xuefeng Li,Weiye Deng,Benjamin R Schrank,Adam J Grippin,JongHoon Ha,Minjeong Kang,Mengyu Chang,Yarong Zhao,Rongze Sun,Xiangshi Sun,Jie Yang,Jiayi Chen,Sarah K Tang,L James Lee,Andrew S Lee,Lirong Teng,Shengnian Wang,Lesheng Teng,Betty Y S Kim,Zhaogang Yang,Wen Jiang

Communications biology 6:972 PubMed37741898

2023

Repurposing of Ibrutinib and Quizartinib as potent inhibitors of necroptosis.

Applications

Unspecified application

Species

Unspecified reactive species

Fangmin Huang,Jiankun Liang,Yingying Lin,Yushi Chen,Fen Hu,Jianting Feng,Qiang Zeng,Zeteng Han,Qiaofa Lin,Yan Li,Jingyi Li,Lanqin Wu,Lisheng Li

Cell death & disease 14:432 PubMed37454215

2023

PTRF-IL33-ZBP1 signaling mediating macrophage necroptosis contributes to HDM-induced airway inflammation.

Applications

Unspecified application

Species

Unspecified reactive species

Juan Du,Yahui Liu,Gelei Lan,Yao Zhou,Yingmeng Ni,Kai Liao,Fang Zheng,Qijian Cheng,Guochao Shi,Xiao Su

Journal of inflammation (London, England) 20:24 PubMed37443080

2023

Inhibition of GSK3β activity alleviates acute liver failure via suppressing multiple programmed cell death.

Applications

Unspecified application

Species

Unspecified reactive species

Danmei Zhang,Chunxia Shi,Qingqi Zhang,Yukun Wang,Jin Guo,Zuojiong Gong

International journal of medical sciences 20:870-887 PubMed37324188

2023

Identification and validation of novel signature associated with hepatocellular carcinoma prognosis using Single-cell and WGCNA analysis.

Applications

Unspecified application

Species

Unspecified reactive species

Hang Song,Yang Ge,Jing Xu,Rui Shen,Peng-Cheng Zhang,Guo-Quan Wang,Bin Liu

Frontiers in immunology 14:1135014 PubMed36993980

2023

KW2449 ameliorates collagen-induced arthritis by inhibiting RIPK1-dependent necroptosis.

Applications

Unspecified application

Species

Unspecified reactive species

Qiong Wang,Qinbin Ye,Xiaoyu Xi,Xiaoxue Cao,Xing Wang,Mengxiao Zhang,Yuan Xu,Tingting Deng,Xiaobing Deng,Guoqiang Zhang,Cheng Xiao

Cell death & disease 14:111 PubMed36774342

2023

RIPK3 controls MAIT cell accumulation during development but not during infection.

Applications

Unspecified application

Species

Unspecified reactive species

Timothy Patton,Zhe Zhao,Xin Yi Lim,Eleanor Eddy,Huimeng Wang,Adam G Nelson,Bronte Ennis,Sidonia B G Eckle,Michael N T Souter,Troi J Pediongco,Hui-Fern Koay,Jian-Guo Zhang,Tirta M Djajawi,Cynthia Louis,Najoua Lalaoui,Nicolas Jacquelot,Andrew M Lew,Daniel G Pellicci,James McCluskey,Yifan Zhan,Zhenjun Chen,Kate E Lawlor,Alexandra J Corbett

Advanced science (Weinheim, Baden-Wurttemberg, Germany) 10:e2206344 PubMed36721037

2023

Loss of RPA1 Impairs Peripheral T Cell Homeostasis and Exacerbates Inflammatory Damage through Triggering T Cell Necroptosis.

Applications

Unspecified application

Species

Unspecified reactive species

Jia Song,Xin Zhang,Yue Yin,Mengfan Guo,Xuyang Zhao,Likun Wang,Caixia Ren,Yuxin Yin,Xuehui Zhang,Xuliang Deng,Dan Lu

CNS neuroscience & therapeutics 29:1178-1191 PubMed36694328

2023

PERK-STING-RIPK3 pathway facilitates cognitive impairment by inducing neuronal necroptosis in sepsis-associated encephalopathy.

Applications

Unspecified application

Species

Unspecified reactive species

Guo Xiaofeng,Wu You,Jia Qi,Ma Hongwei,Fan Zhongmin,Wang Shiquan,Du Lixia,Peng Yuliang,Fang Zongping,Zhang Xijing

Frontiers in cellular and infection microbiology 12:1068324 PubMed36619743

2022

New insights of necroptosis and immune infiltration in sepsis-induced myocardial dysfunction from bioinformatics analysis through RNA-seq in mice.

Applications

Unspecified application

Species

Unspecified reactive species

Yan Du,Ying Zhong,Ruilin Ding,Xiaojie Wang,Fenfen Xia,Qian Zhang,Qing Peng
View all publications

Product promise

We are committed to supporting your work with high-quality reagents, and we're here for you every step of the way. In the unlikely event that one of our products does not perform as expected, you're protected by our Product Promise.
For full details, please see our Terms & Conditions

Associated Products

Select an associated product type
Alternative Product
Primary Antibodies

AB184718

Anti-MLKL antibody [EPR17514]

primary-antibodies

mlkl-antibody-epr17514-ab184718

5

(5 reviews)

Alternative Product
Primary Antibodies

AB196436

Anti-MLKL (phospho S345) antibody [EPR9515(2)]

primary-antibodies

mlkl-phospho-s345-antibody-epr95152-ab196436

4

(27 reviews)

Alternative Product
Primary Antibodies

AB271971

Anti-MLKL (phospho Y222) antibody [EPR19816] - BSA and Azide free

primary-antibodies

mlkl-phospho-y222-antibody-epr19816-bsa-and-azide-free-ab271971

0

(0 reviews)

Alternative Product
Primary Antibodies

AB208910

Anti-MLKL (phospho S345) antibody [EPR9515(2)] - BSA and Azide free

primary-antibodies

mlkl-phospho-s345-antibody-epr95152-bsa-and-azide-free-ab208910

0

(0 reviews)

Alternative Product
Primary Antibodies

AB211045

Anti-MLKL antibody [EPR17514] - BSA and Azide free

primary-antibodies

mlkl-antibody-epr17514-bsa-and-azide-free-ab211045

0

(0 reviews)

Alternative Product
Primary Antibodies

AB187091

Anti-MLKL (phospho S358) antibody [EPR9514]

primary-antibodies

mlkl-phospho-s358-antibody-epr9514-ab187091

4

(17 reviews)

Alternative Product
Primary Antibodies

AB208909

Anti-MLKL (phospho S358) antibody [EPR9514] - BSA and Azide free

primary-antibodies

mlkl-phospho-s358-antibody-epr9514-bsa-and-azide-free-ab208909

0

(0 reviews)

Please note: All products are 'FOR RESEARCH USE ONLY. NOT FOR USE IN DIAGNOSTIC OR THERAPEUTIC PROCEDURES'.

For licensing inquiries, please contact partnerships@abcam.com