JavaScript is disabled in your browser. Please enable JavaScript to view this website.
AB255747

Anti-MLKL antibody [3H1] - BSA and Azide free

Be the first to review this product! Submit a review

|

(1 Publication)

Rat Recombinant Monoclonal MLKL antibody. Carrier free. Suitable for WB and reacts with Mouse, Rat, Human samples. Cited in 1 publication.

View Alternative Names

Mixed lineage kinase domain-like protein, hMLKL, MLKL

1 Images
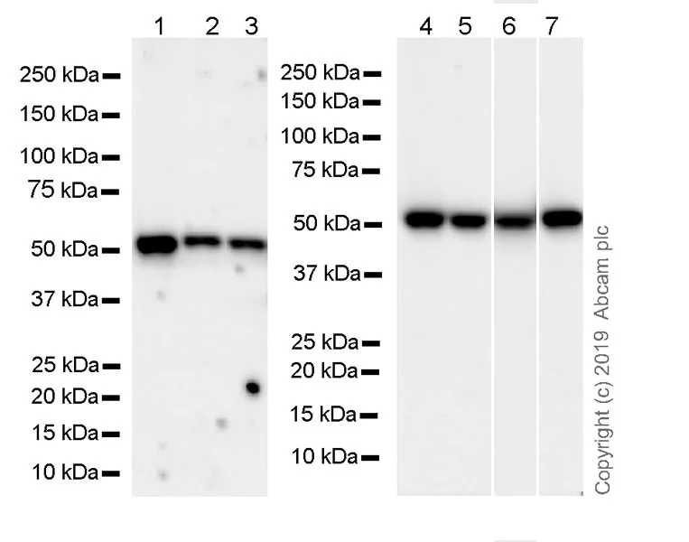
Western blot - Anti-MLKL antibody [3H1] - BSA and Azide free (AB255747)
  • WB

Supplier Data

Western blot - Anti-MLKL antibody [3H1] - BSA and Azide free (AB255747)

Blocking/Dilution buffer : 5% NFDM/TBST.

Exposure times : Lanes 1-3 : 5 secs; Lanes 4/5/7 : 3 secs; Lane 6 : 15 secs.

This data was developed using the same antibody clone in a different buffer formulation containing PBS, BSA, glycerol, and sodium azide (abab243142).

All lanes:

Western blot - Anti-MLKL antibody [3H1] (<a href='/en-us/products/primary-antibodies/mlkl-antibody-3h1-ab243142'>ab243142</a>) at 1/2000 dilution

Lane 1:

HUVEC (human umbilical vein endothelial cell), whole cell lysate at 10 µg

Lane 2:

HT-29 (human colorectal adenocarcinoma epithelial cell), whole cell lysate at 10 µg

Lane 3:

HeLa (human cervix adenocarcinoma epithelial cell), whole cell lysate at 10 µg

Lane 4:

C6 (rat glial tumor glial cell), whole cell lysate at 10 µg

Lane 5:

RAW264.7 (mouse Abelson murine leukemia virus-induced tumor macrophage), whole cell lysate at 10 µg

Lane 6:

PC-12 (rat adrenal gland pheochromocytoma), whole cell lysate at 10 µg

Lane 7:

NIH/3T3 (mouse embryonic fibroblast), whole cell lysate at 10 µg

Secondary

All lanes:

Western blot - Goat Anti-Rat IgG H&L (HRP) (<a href='/en-us/products/secondary-antibodies/goat-rat-igg-h-l-hrp-ab205720'>ab205720</a>) at 1/2000 dilution

Predicted band size: 54 kDa

false

Key facts

Host species

Rat

Clonality

Monoclonal

Clone number

3H1

Isotype

IgG1

Carrier free

Yes

Reacts with

Mouse, Rat, Human

Applications

WB

applications

Immunogen

The exact immunogen used to generate this antibody is proprietary information.

Reactivity data

{ "title": "Reactivity Data", "filters": { "stats": ["", "Species", "Dilution Info", "Notes"], "tabs": { "all-applications": {"fullname" : "All Applications", "shortname": "All Applications"}, "WB" : {"fullname" : "Western blot", "shortname":"WB"} }, "product-promise": { "all": "all", "testedAndGuaranteed": "tested", "guaranteed": "expected", "predicted": "predicted", "notRecommended": "not-recommended" } }, "values": { "Human": { "WB-species-checked": "testedAndGuaranteed", "WB-species-dilution-info": "1/2000", "WB-species-notes": "<p></p>" }, "Mouse": { "WB-species-checked": "testedAndGuaranteed", "WB-species-dilution-info": "1/2000", "WB-species-notes": "<p></p>" }, "Rat": { "WB-species-checked": "testedAndGuaranteed", "WB-species-dilution-info": "1/2000", "WB-species-notes": "<p></p>" } } }

Product details

ab255747 is the carrier-free version of ab243142.

What are the advantages of a recombinant monoclonal antibody?
This product is a recombinant monoclonal antibody, which offers several advantages including:

  • - High batch-to-batch consistency and reproducibility
  • - Improved sensitivity and specificity
  • - Long-term security of supply
  • - Animal-free batch production

For more information, read more on recombinant antibodies.

Want a custom formulation?
This antibody clone is manufactured by Abcam. If you require a custom buffer formulation or conjugation for your experiments, please contact orders@abcam.com

Conjugation ready
Our carrier-free antibodies are typically supplied in a PBS-only formulation, purified and free of BSA, sodium azide and glycerol. This conjugation-ready format is designed for use with fluorochromes, metal isotopes, oligonucleotides, and enzymes, which makes them ideal for antibody labelling, functional and cell-based assays, flow-based assays (e.g. mass cytometry) and Multiplex Imaging applications.

Use our conjugation kits for antibody conjugates that are ready-to-use in as little as 20 minutes with 1 minute hands-on-time and 100% antibody recovery: available for fluorescent dyes, HRP, biotin and gold.

Compatibility
This product is compatible with the Maxpar® Antibody Labeling Kit from Fluidigm, without the need for antibody preparation. Maxpar® is a trademark of Fluidigm Canada Inc.

Properties and storage information

Form
Liquid
Purification technique
Affinity purification Protein A
Storage buffer
pH: 7.2 - 7.4 Constituents: PBS
Shipped at conditions
Blue Ice
Appropriate short-term storage conditions
+4°C
Appropriate long-term storage conditions
+4°C
Storage information
Do Not Freeze

Supplementary information

This supplementary information is collated from multiple sources and compiled automatically.

MLKL also known as mixed lineage kinase domain-like protein plays a critical role in the process of necroptosis a form of programmed cell death. The MLKL protein has a molecular weight of approximately 54 kDa. The protein exists mainly within the cytoplasm but translocates to the plasma membrane during cell death execution. Expression of MLKL happens in various tissues indicating its wide biological importance. Phosphorylation of MLKL often referred to as p-MLKL is key to triggering its activity marking the transition from an inactive to an active state during necroptosis.
Biological function summary

The MLKL protein acts as an executioner of cell death by forming a complex that disrupts the plasma membrane integrity. This process is downstream of receptor-interacting serine/threonine-protein kinase 3 (RIPK3) which phosphorylates MLKL to form the active necrosome complex. Active MLKL oligomerizes and migrates towards the inner leaflet of the plasma membrane binding to phosphatidylinositol phosphates which assists in pore formation and cellular rupture. The ability to measure MLKL activity levels such as via MLKL ELISA kits is important for understanding necrotic processes in detailed studies.

Pathways

MLKL is integrally involved in the necroptotic pathway alongside RIPK1 and RIPK3 which are key initiators of necroptosis. Phosphorylated MLKL acts downstream of RIPK3 resulting in cell death without caspase activation distinguishing necroptosis from apoptosis. MLKL and RIPK3 are tightly linked within this pathway with MLKL phosphorylation serving as a vital event for the execution phase. The necroptosis pathway is part of larger networks including inflammatory response pathways highlighting the importance of MLKL's role beyond sheer cell death.

MLKL has been implicated in various inflammatory conditions and neurodegenerative diseases. The dysregulation of necroptosis can contribute to disorders such as inflammatory bowel disease and amyotrophic lateral sclerosis. In inflammatory bowel disease increased levels of p-MLKL might lead to excessive cell death exacerbating inflammation. Similarly in neurodegenerative disorders the harmful activation of MLKL may accelerate neuronal cell death. Key interactions with proteins like RIPK3 and RIPK1 highlight MLKL's involvement in these pathological processes making it a potential target for therapeutic intervention.

Product protocols

For this product, it's our understanding that no specific protocols are required. You can visit:

Target data

Pseudokinase that plays a key role in TNF-induced necroptosis, a programmed cell death process (PubMed : 22265413, PubMed : 22265414, PubMed : 22421439, PubMed : 24316671). Does not have protein kinase activity (PubMed : 22265413, PubMed : 22265414, PubMed : 22421439, PubMed : 24316671). Activated following phosphorylation by RIPK3, leading to homotrimerization, localization to the plasma membrane and execution of programmed necrosis characterized by calcium influx and plasma membrane damage (PubMed : 22265413, PubMed : 22265414, PubMed : 22421439, PubMed : 24316671). In addition to TNF-induced necroptosis, necroptosis can also take place in the nucleus in response to orthomyxoviruses infection : following activation by ZBP1, MLKL is phosphorylated by RIPK3 in the nucleus, triggering disruption of the nuclear envelope and leakage of cellular DNA into the cytosol.following ZBP1 activation, which senses double-stranded Z-RNA structures, nuclear RIPK3 catalyzes phosphorylation and activation of MLKL, promoting disruption of the nuclear envelope and leakage of cellular DNA into the cytosol (By similarity). Binds to highly phosphorylated inositol phosphates such as inositolhexakisphosphate (InsP6) which is essential for its necroptotic function (PubMed : 29883610).
See full target information MLKL

Publications (1)

Recent publications for all applications. Explore the full list and refine your search

Molecular biology reports 48:4153-4162 PubMed34032977

2021

Taurine attenuates valproic acid-induced hepatotoxicity via modulation of RIPK1/RIPK3/MLKL-mediated necroptosis signaling in mice.

Applications

Unspecified application

Species

Unspecified reactive species

Mohammad Javad Khodayar,Heibatullah Kalantari,Layasadat Khorsandi,Nematollah Ahangar,Azin Samimi,Hadis Alidadi
View all publications

Product promise

We are committed to supporting your work with high-quality reagents, and we're here for you every step of the way. In the unlikely event that one of our products does not perform as expected, you're protected by our Product Promise.
For full details, please see our Terms & Conditions

Please note: All products are 'FOR RESEARCH USE ONLY. NOT FOR USE IN DIAGNOSTIC OR THERAPEUTIC PROCEDURES'.

For licensing inquiries, please contact partnerships@abcam.com