JavaScript is disabled in your browser. Please enable JavaScript to view this website.
AB211045

Anti-MLKL antibody [EPR17514] - BSA and Azide free

Be the first to review this product! Submit a review

|

(2 Publications)

Anti-MLKL antibody [EPR17514] - BSA and Azide free (ab211045) is a rabbit recombinant monoclonal antibody provided in a PBS only buffer for easy conjugation detecting MLKL in Western Blot, IHC-P, ICC/IF. Suitable for Human.

- KO validated for confirmed specificity
- BSA, sodium azide, and glycerol-free for easy conjugation
- Biophysical QC for unrivalled batch-batch consistency

View Alternative Names

Mixed lineage kinase domain-like protein, hMLKL, MLKL

6 Images
Immunocytochemistry/ Immunofluorescence - Anti-MLKL antibody [EPR17514] - BSA and Azide free (AB211045)
  • ICC/IF

Lab

Immunocytochemistry/ Immunofluorescence - Anti-MLKL antibody [EPR17514] - BSA and Azide free (AB211045)

Clone EPR17514 (ab211045) has been successfully conjugated by Abcam. This image was generated using Anti-MLKL antibody [EPR17514] (Alexa Fluor® 647). Please refer to ab207902 for protocol details.

ab207902 staining MLKL in SW480 cells. The cells were fixed with 100% methanol (5 min), permeabilized with 0.1% Triton X-100 for 5 minutes and then blocked with 1% BSA/10% normal goat serum/0.3M glycine in 0.1% PBS-Tween for 1h. The cells were then incubated overnight at +4°C with ab207902 at a 1/50 dilution (shown in red) and ab195887, Mouse monoclonal to alpha Tubulin (Alexa Fluor® 488), at a 1/250 dilution (shown in green). Nuclear DNA was labelled with DAPI (shown in blue).

Image was taken with a confocal microscope (Leica-Microsystems, TCS SP8).

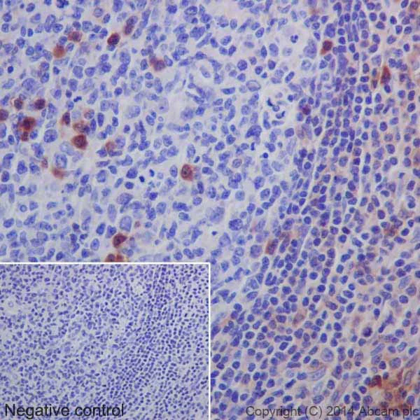
Immunohistochemistry (Formalin/PFA-fixed paraffin-embedded sections) - Anti-MLKL antibody [EPR17514] - BSA and Azide free (AB211045)
  • IHC-P

Supplier Data

Immunohistochemistry (Formalin/PFA-fixed paraffin-embedded sections) - Anti-MLKL antibody [EPR17514] - BSA and Azide free (AB211045)

Immunohistochemical analysis of paraffin-embedded Human tonsil tissue labeling MLKL with ab184718 at 1/400 dilution, followed by Goat Anti-Rabbit IgG H&L (HRP) secondary antibody (ab97051) at 1/500 dilution. Cytoplasmic staining on the lymphocytes of human tonsil is observed. Counter stained with Hematoxylin.

Negative control : Using PBS instead of primary antibody, secondary antibody is Goat Anti-Rabbit IgG H&L (HRP) (ab97051) at 1/500 dilution.

This data was developed using the same antibody clone in a different buffer formulation containing PBS, BSA, glycerol, and sodium azide (ab184718).

Perform heat mediated antigen retrieval with Tris/EDTA buffer pH 9.0 before commencing with IHC staining protocol.

Immunocytochemistry/ Immunofluorescence - Anti-MLKL antibody [EPR17514] - BSA and Azide free (AB211045)
  • ICC/IF

Lab

Immunocytochemistry/ Immunofluorescence - Anti-MLKL antibody [EPR17514] - BSA and Azide free (AB211045)

ab184718 staining MLKL in HT-29 (Human colorectal adenocarcinoma epithelial cell) cells by Immunocytochemistry (ICC). Cells were fixed with 100% Methanol. Samples were incubated with primary antibody at 1/200 dilution (6.5μg/ml).  An AlexaFluor® 488 Goat anti-Rabbit (ab150077) was used as the secondary antibody at 1/1000 dilution (2μg/ml). ab195889 , Anti-alpha Tubulin antibody [DM1A] - Microtubule Marker (Alexa Fluor® 594)  was used as the counterstain antibody (1/200 dilution, 2.5 μg/ml . DAPI was used as a nuclear counterstain. Confocal image showing cytoplasmic staining on HT-29 cell line.

This data was developed using the same antibody clone in a different buffer formulation containing PBS, BSA, glycerol, and sodium azide (ab184718).

Immunocytochemistry/ Immunofluorescence - Anti-MLKL antibody [EPR17514] - BSA and Azide free (AB211045)
  • ICC/IF

Lab

Immunocytochemistry/ Immunofluorescence - Anti-MLKL antibody [EPR17514] - BSA and Azide free (AB211045)

Clone EPR17514 (ab211045) has been successfully conjugated by Abcam. This image was generated using Anti-MLKL antibody [EPR17514] (Alexa Fluor® 488). Please refer to ab207901 for protocol details.

ab207901 staining MLKL in SW480 cells. The cells were fixed with 100% methanol (5 min), permeabilized with 0.1% Triton X-100 for 5 minutes and then blocked with 1% BSA/10% normal goat serum/0.3M glycine in 0.1% PBS-Tween for 1h. The cells were then incubated overnight at +4°C with ab207901 at a 1/100 dilution (shown in green) and ab195889, Mouse monoclonal to alpha Tubulin (Alexa Fluor® 594), at a 1/250 dilution (shown in red). Nuclear DNA was labelled with DAPI (shown in blue).

Image was taken with a confocal microscope (Leica-Microsystems, TCS SP8).

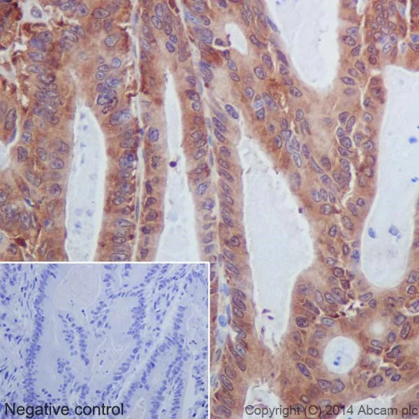
Immunohistochemistry (Formalin/PFA-fixed paraffin-embedded sections) - Anti-MLKL antibody [EPR17514] - BSA and Azide free (AB211045)
  • IHC-P

Supplier Data

Immunohistochemistry (Formalin/PFA-fixed paraffin-embedded sections) - Anti-MLKL antibody [EPR17514] - BSA and Azide free (AB211045)

Immunohistochemical analysis of paraffin-embedded human colonic adenocarcinoma tissue labeling MLKL with ab184718 at 1/400 dilution, followed by goat anti-rabbit IgG H&L (HRP) secondary antibody (ab97051) at 1/500 dilution. Cytoplasmic staining on tumor cells of human colonic adenocarcinoma is observed. Counter stained with Hematoxylin.

Negative control : Using PBS instead of primary antibody, secondary antibody is goat anti-rabbit IgG H&L (HRP) (ab97051) at 1/500 dilution.

This data was developed using the same antibody clone in a different buffer formulation containing PBS, BSA, glycerol, and sodium azide (ab184718).

Perform heat mediated antigen retrieval with Tris/EDTA buffer pH 9.0 before commencing with IHC staining protocol.

Western blot - Anti-MLKL antibody [EPR17514] - BSA and Azide free (AB211045)
  • WB

Unknown

Western blot - Anti-MLKL antibody [EPR17514] - BSA and Azide free (AB211045)

This data was developed using the same antibody clone in a different buffer formulation (ab184718).

Lanes 1 - 4 : Merged signal (red and green). Green - ab184718 observed at 54 kDa. Red - loading control, ab8245 observed at 37 kDa.

ab184718 was shown to react with MLKL in wild-type HeLa cells. Loss of signal was observed when knockout cell line ab255408 (knockout cell lysate ab263788) was used. Wild-type and MLKL knockout samples were subjected to SDS-PAGE. ab184718 and Anti-GAPDH antibody [6C5] - Loading Control (ab8245) were incubated overnight at 4°C at 1 in 1000 dilution and 1 in 20000 dilution respectively. Blots were developed with Goat anti-Rabbit IgG H&L (IRDye® 800CW) preadsorbed (ab216773) and Goat anti-Mouse IgG H&L (IRDye® 680RD) preadsorbed (ab216776) secondary antibodies at 1 in 20000 dilution for 1 hour at room temperature before imaging.

All lanes:

Western blot - Anti-MLKL antibody [EPR17514] (<a href='/en-us/products/primary-antibodies/mlkl-antibody-epr17514-ab184718'>ab184718</a>) at 1/1000 dilution

Lane 1:

HUVEC cell lysate at 20 µg

Lane 2:

HT-29 cell lysate at 20 µg

Lane 2:

Western blot - Human MLKL knockout HeLa cell line (<a href='/en-us/products/cell-lines/human-mlkl-knockout-hela-cell-line-ab255408'>ab255408</a>)

Lane 3:

Wild-type HeLa cell lysate at 20 µg

Lane 4:

MLKL knockout HeLa cell lysate at 20 µg

Secondary

All lanes:

Western blot - Goat anti-Rabbit IgG H&L (IRDye® 800CW) preadsorbed (<a href='/en-us/products/secondary-antibodies/goat-rabbit-igg-h-l-irdye-800cw-preadsorbed-ab216773'>ab216773</a>) at 1/20000 dilution

Predicted band size: 54 kDa

Observed band size: 37 kDa,54 kDa

false

Key facts

Host species

Rabbit

Clonality

Monoclonal

Clone number

EPR17514

Isotype

IgG

Carrier free

Yes

Reacts with

Human

Applications

IHC-P, ICC/IF, WB

applications

Immunogen

The exact immunogen used to generate this antibody is proprietary information.

Reactivity data

{ "title": "Reactivity Data", "filters": { "stats": ["", "Species", "Dilution Info", "Notes"], "tabs": { "all-applications": {"fullname" : "All Applications", "shortname": "All Applications"}, "ICCIF" : {"fullname" : "Immunocytochemistry/ Immunofluorescence", "shortname":"ICC/IF"}, "WB" : {"fullname" : "Western blot", "shortname":"WB"}, "IHCP" : {"fullname" : "Immunohistochemistry (Formalin/PFA-fixed paraffin-embedded sections)", "shortname":"IHC-P"} }, "product-promise": { "all": "all", "testedAndGuaranteed": "tested", "guaranteed": "expected", "predicted": "predicted", "notRecommended": "not-recommended" } }, "values": { "Human": { "ICCIF-species-checked": "testedAndGuaranteed", "ICCIF-species-dilution-info": "", "ICCIF-species-notes": "<p></p>", "WB-species-checked": "testedAndGuaranteed", "WB-species-dilution-info": "", "WB-species-notes": "<p></p>", "IHCP-species-checked": "testedAndGuaranteed", "IHCP-species-dilution-info": "", "IHCP-species-notes": "<p></p>" } } }

Product details

What is this antibody validated in?
Anti-MLKL antibody [EPR17514] - BSA and Azide free (ab211045) is a rabbit recombinant monoclonal antibody and is validated for use in Western Blot (WB), Immunohistochemistry (IHC-P), Immunocytochemistry/immunofluorescence (ICC/IF) in Human samples.

What is the molecular weight of MLKL?
Anti-MLKL [EPR17514] - BSA and Azide free (ab211045) specifically detects a band for MLKL (UniProt: Q8NB16) at a molecular weight of 54kDa.

Trial sizes available!
Test your antibody or perform pre-screening before committing to a larger quantity. Sold in 10µl. Discover our selection of trial-size antibodies.

Specificity confirmed
The specificity of Anti-MLKL antibody [EPR17514] - BSA and Azide free (ab211045) has been confirmed by Western blot testing in MLKL Knockout HeLa cell line, ab255408.

Other related products
We have a range of other formats of antibody clone [EPR17514] also available for your convenience: ab184718, Alexa Fluor® 488 - ab207901, Alexa Fluor® 647 - ab207902, Alexa Fluor® 594 - ab208082, Carrier free - ab211045

Patented technology
Our RabMAb® technology is a patented hybridoma-based technology for making rabbit monoclonal antibodies. For details on our patents, please refer to RabMAb® patents.

What are the advantages of a recombinant monoclonal antibody?
This product is a recombinant monoclonal antibody, which offers several advantages including:

  • - High batch-to-batch consistency and reproducibility
  • - Improved sensitivity and specificity
  • - Long-term security of supply
  • - Animal-free batch production

For more information, read more on recombinant antibodies.

Conjugation ready
Our carrier-free antibodies are typically supplied in a PBS-only formulation, purified and free of BSA, sodium azide and glycerol. This conjugation-ready format is designed for use with fluorochromes, metal isotopes, oligonucleotides, and enzymes, which makes them ideal for antibody labelling, functional and cell-based assays, flow-based assays (e.g. mass cytometry) and Multiplex Imaging applications.

Use our conjugation kits for antibody conjugates that are ready-to-use in as little as 20 minutes with 1 minute hands-on-time and 100% antibody recovery: available for fluorescent dyes, HRP, biotin and gold.

Compatibility
This product is compatible with the Maxpar® Antibody Labeling Kit from Fluidigm, without the need for antibody preparation. Maxpar® is a trademark of Fluidigm Canada Inc.

Properties and storage information

Form
Liquid
Purification technique
Affinity purification Protein A
Storage buffer
pH: 7.2 - 7.4 Constituents: PBS
Shipped at conditions
Blue Ice
Appropriate short-term storage conditions
+4°C
Appropriate long-term storage conditions
+4°C
Storage information
Do Not Freeze

Supplementary information

This supplementary information is collated from multiple sources and compiled automatically.

MLKL also known as mixed lineage kinase domain-like protein plays a critical role in the process of necroptosis a form of programmed cell death. The MLKL protein has a molecular weight of approximately 54 kDa. The protein exists mainly within the cytoplasm but translocates to the plasma membrane during cell death execution. Expression of MLKL happens in various tissues indicating its wide biological importance. Phosphorylation of MLKL often referred to as p-MLKL is key to triggering its activity marking the transition from an inactive to an active state during necroptosis.
Biological function summary

The MLKL protein acts as an executioner of cell death by forming a complex that disrupts the plasma membrane integrity. This process is downstream of receptor-interacting serine/threonine-protein kinase 3 (RIPK3) which phosphorylates MLKL to form the active necrosome complex. Active MLKL oligomerizes and migrates towards the inner leaflet of the plasma membrane binding to phosphatidylinositol phosphates which assists in pore formation and cellular rupture. The ability to measure MLKL activity levels such as via MLKL ELISA kits is important for understanding necrotic processes in detailed studies.

Pathways

MLKL is integrally involved in the necroptotic pathway alongside RIPK1 and RIPK3 which are key initiators of necroptosis. Phosphorylated MLKL acts downstream of RIPK3 resulting in cell death without caspase activation distinguishing necroptosis from apoptosis. MLKL and RIPK3 are tightly linked within this pathway with MLKL phosphorylation serving as a vital event for the execution phase. The necroptosis pathway is part of larger networks including inflammatory response pathways highlighting the importance of MLKL's role beyond sheer cell death.

MLKL has been implicated in various inflammatory conditions and neurodegenerative diseases. The dysregulation of necroptosis can contribute to disorders such as inflammatory bowel disease and amyotrophic lateral sclerosis. In inflammatory bowel disease increased levels of p-MLKL might lead to excessive cell death exacerbating inflammation. Similarly in neurodegenerative disorders the harmful activation of MLKL may accelerate neuronal cell death. Key interactions with proteins like RIPK3 and RIPK1 highlight MLKL's involvement in these pathological processes making it a potential target for therapeutic intervention.

Product protocols

For this product, it's our understanding that no specific protocols are required. You can visit:

Target data

Pseudokinase that plays a key role in TNF-induced necroptosis, a programmed cell death process (PubMed : 22265413, PubMed : 22265414, PubMed : 22421439, PubMed : 24316671). Does not have protein kinase activity (PubMed : 22265413, PubMed : 22265414, PubMed : 22421439, PubMed : 24316671). Activated following phosphorylation by RIPK3, leading to homotrimerization, localization to the plasma membrane and execution of programmed necrosis characterized by calcium influx and plasma membrane damage (PubMed : 22265413, PubMed : 22265414, PubMed : 22421439, PubMed : 24316671). In addition to TNF-induced necroptosis, necroptosis can also take place in the nucleus in response to orthomyxoviruses infection : following activation by ZBP1, MLKL is phosphorylated by RIPK3 in the nucleus, triggering disruption of the nuclear envelope and leakage of cellular DNA into the cytosol.following ZBP1 activation, which senses double-stranded Z-RNA structures, nuclear RIPK3 catalyzes phosphorylation and activation of MLKL, promoting disruption of the nuclear envelope and leakage of cellular DNA into the cytosol (By similarity). Binds to highly phosphorylated inositol phosphates such as inositolhexakisphosphate (InsP6) which is essential for its necroptotic function (PubMed : 29883610).
See full target information MLKL

Publications (2)

Recent publications for all applications. Explore the full list and refine your search

Journal of cell communication and signaling 19:e70031 PubMed40620356

2025

Sirtuin 2 regulates NOD-like receptor protein 3/nuclear factor kappa B axis to promote cartilage repair in osteoarthritis.

Applications

Unspecified application

Species

Unspecified reactive species

Xiaotian Chen,Yining Song,Fan Zhang,Fangyan Hu,Zhenfei Ding,Jianzhong Guan

iScience 25:105118 PubMed36185361

2022

Inhibition of the pseudokinase MLKL alters extracellular vesicle release and reduces tumor growth in glioblastoma.

Applications

Unspecified application

Species

Unspecified reactive species

Gwennan André-Grégoire,Clément Maghe,Tiphaine Douanne,Sara Rosińska,Fiorella Spinelli,An Thys,Kilian Trillet,Kathryn A Jacobs,Cyndie Ballu,Aurélien Dupont,Anne-Marie Lyne,Florence M G Cavalli,Ignacio Busnelli,Vincent Hyenne,Jacky G Goetz,Nicolas Bidère,Julie Gavard
View all publications

Product promise

We are committed to supporting your work with high-quality reagents, and we're here for you every step of the way. In the unlikely event that one of our products does not perform as expected, you're protected by our Product Promise.
For full details, please see our Terms & Conditions

Please note: All products are 'FOR RESEARCH USE ONLY. NOT FOR USE IN DIAGNOSTIC OR THERAPEUTIC PROCEDURES'.

For licensing inquiries, please contact partnerships@abcam.com