JavaScript is disabled in your browser. Please enable JavaScript to view this website.
AB208909

Anti-MLKL (phospho S358) antibody [EPR9514] - BSA and Azide free

Be the first to review this product! Submit a review

|

(5 Publications)

Rabbit Recombinant Monoclonal MLKL phospho S358 antibody. Carrier free. Suitable for IHC-P, Dot, WB and reacts with Human, Synthetic peptide samples. Cited in 5 publications.

View Alternative Names

Mixed lineage kinase domain-like protein, hMLKL, MLKL

3 Images
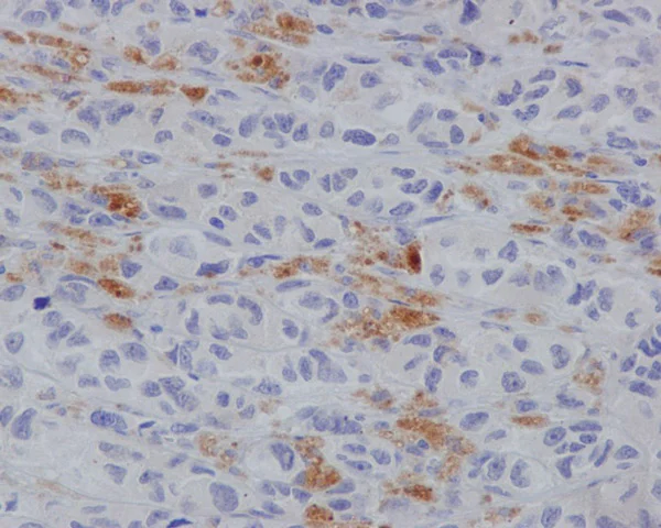
Immunohistochemistry (Formalin/PFA-fixed paraffin-embedded sections) - Anti-MLKL (phospho S358) antibody [EPR9514] - BSA and Azide free (AB208909)
  • IHC-P

Lab

Immunohistochemistry (Formalin/PFA-fixed paraffin-embedded sections) - Anti-MLKL (phospho S358) antibody [EPR9514] - BSA and Azide free (AB208909)

ab187091 at 1 : 250 staining MLKL (phospho S358) in Human melanoma tissue by immunohistochemistry (FFPE).

Antigen retrival required on FFPE tissue : HIER using 10mM Citrate buffer pH 6.0, see recommended HIER protocol.

For additional IHC guideline, please see IHC resource page.

This data was developed using the same antibody clone in a different buffer formulation containing PBS, BSA, glycerol, and sodium azide (ab187091).

Immunohistochemistry (Formalin/PFA-fixed paraffin-embedded sections) - Anti-MLKL (phospho S358) antibody [EPR9514] - BSA and Azide free (AB208909)
  • IHC-P

Lab

Immunohistochemistry (Formalin/PFA-fixed paraffin-embedded sections) - Anti-MLKL (phospho S358) antibody [EPR9514] - BSA and Azide free (AB208909)

This IHC data was generated using the same anti-MLKL (phospho S358) in a different buffer formulation (cat# ab187091).

ab187091 at 1 : 250 staining MLKL (phospho S358) in Human skin tissue by immunohistochemistry (FFPE).

Antigen retrival required on FFPE tissue : HIER using 10mM Citrate buffer pH 6.0, see recommended HIER protocol

For additional IHC guideline, please see IHC resource page

Dot Blot - Anti-MLKL (phospho S358) antibody [EPR9514] - BSA and Azide free (AB208909)
  • Dot

Lab

Dot Blot - Anti-MLKL (phospho S358) antibody [EPR9514] - BSA and Azide free (AB208909)

Dot blot analysis of MLKL peptides using ab187091 at 1/1000 dilution followed by Goat Anti-Rabbit IgG, (H+L),Peroxidase conjugated secondary antibody at 1/1000 dilution. Blocking and diluting buffer was 5% NFDM/TBST, exposure time 3 minuts.

Lane 1 : MLKL (pT357) phospho peptide

Lane 2 : MLKL (pS358) phospho peptide

Lane 3 : MLKL (pT357/pS358) phospho peptide

Lane 4 : MLKL non-phospho peptide

This data was developed using the same antibody clone in a different buffer formulation containing PBS, BSA, glycerol, and sodium azide (ab187091).

Key facts

Host species

Rabbit

Clonality

Monoclonal

Clone number

EPR9514

Isotype

IgG

Carrier free

Yes

Reacts with

Human

Applications

Dot, IHC-P, WB

applications

Immunogen

The exact immunogen used to generate this antibody is proprietary information.

Specificity

Stimulation may be required to allow detection of the phosphorylated protein. Please see images below for recommended treatment conditions and positive controls.

FURTHER INFORMATION ON SPECIFICITY (Chinese Version) available under the product protocols section. This file includes key technical notes of experience when using this product.

Reactivity data

{ "title": "Reactivity Data", "filters": { "stats": ["", "Species", "Dilution Info", "Notes"], "tabs": { "all-applications": {"fullname" : "All Applications", "shortname": "All Applications"}, "IHCP" : {"fullname" : "Immunohistochemistry (Formalin/PFA-fixed paraffin-embedded sections)", "shortname":"IHC-P"}, "Dot" : {"fullname" : "Dot Blot", "shortname":"Dot"}, "WB" : {"fullname" : "Western blot", "shortname":"WB"} }, "product-promise": { "all": "all", "testedAndGuaranteed": "tested", "guaranteed": "expected", "predicted": "predicted", "notRecommended": "not-recommended" } }, "values": { "Human": { "IHCP-species-checked": "testedAndGuaranteed", "IHCP-species-dilution-info": "", "IHCP-species-notes": "<p>Not Suitable for Mouse and Rat</p> Perform heat-mediated antigen retrieval with citrate buffer pH 6 before commencing with IHC staining protocol.", "Dot-species-checked": "guaranteed", "Dot-species-dilution-info": "", "Dot-species-notes": "", "WB-species-checked": "guaranteed", "WB-species-dilution-info": "", "WB-species-notes": "<p></p>" }, "Mouse": { "IHCP-species-checked": "notRecommended", "IHCP-species-dilution-info": "", "IHCP-species-notes": "<p>Not Suitable for Mouse and Rat</p> Perform heat-mediated antigen retrieval with citrate buffer pH 6 before commencing with IHC staining protocol.", "Dot-species-checked": "notRecommended", "Dot-species-dilution-info": "", "Dot-species-notes": "<p></p>", "WB-species-checked": "notRecommended", "WB-species-dilution-info": "", "WB-species-notes": "<p></p>" }, "Rat": { "IHCP-species-checked": "notRecommended", "IHCP-species-dilution-info": "", "IHCP-species-notes": "<p>Not Suitable for Mouse and Rat</p> Perform heat-mediated antigen retrieval with citrate buffer pH 6 before commencing with IHC staining protocol.", "Dot-species-checked": "notRecommended", "Dot-species-dilution-info": "", "Dot-species-notes": "<p></p>", "WB-species-checked": "notRecommended", "WB-species-dilution-info": "", "WB-species-notes": "<p></p>" }, "Synthetic peptide": { "IHCP-species-checked": "notRecommended", "IHCP-species-dilution-info": "", "IHCP-species-notes": "", "Dot-species-checked": "testedAndGuaranteed", "Dot-species-dilution-info": "", "Dot-species-notes": "<p></p>", "WB-species-checked": "notRecommended", "WB-species-dilution-info": "", "WB-species-notes": "" } } }

Product details

ab208909 is the carrier-free version of ab187091.

This antibody was developed through collaboration with the lab of Xiaodong Wang at the National Institute of Biological Sciences, Beijing.

Patented technology
Our RabMAb® technology is a patented hybridoma-based technology for making rabbit monoclonal antibodies. For details on our patents, please refer to RabMAb® patents.

What are the advantages of a recombinant monoclonal antibody?
This product is a recombinant monoclonal antibody, which offers several advantages including:

  • - High batch-to-batch consistency and reproducibility
  • - Improved sensitivity and specificity
  • - Long-term security of supply
  • - Animal-free batch production

For more information, read more on recombinant antibodies.

Conjugation ready
Our carrier-free antibodies are typically supplied in a PBS-only formulation, purified and free of BSA, sodium azide and glycerol. This conjugation-ready format is designed for use with fluorochromes, metal isotopes, oligonucleotides, and enzymes, which makes them ideal for antibody labelling, functional and cell-based assays, flow-based assays (e.g. mass cytometry) and Multiplex Imaging applications.

Use our conjugation kits for antibody conjugates that are ready-to-use in as little as 20 minutes with 1 minute hands-on-time and 100% antibody recovery: available for fluorescent dyes, HRP, biotin and gold.

Compatibility
This product is compatible with the Maxpar® Antibody Labeling Kit from Fluidigm, without the need for antibody preparation. Maxpar® is a trademark of Fluidigm Canada Inc.

Properties and storage information

Form
Liquid
Purification technique
Affinity purification Protein A
Storage buffer
pH: 7.2 - 7.4 Constituents: PBS
Shipped at conditions
Blue Ice
Appropriate short-term storage conditions
+4°C
Appropriate long-term storage conditions
+4°C
Storage information
Do Not Freeze

Supplementary information

This supplementary information is collated from multiple sources and compiled automatically.

MLKL also known as mixed lineage kinase domain-like protein plays a critical role in the process of necroptosis a form of programmed cell death. The MLKL protein has a molecular weight of approximately 54 kDa. The protein exists mainly within the cytoplasm but translocates to the plasma membrane during cell death execution. Expression of MLKL happens in various tissues indicating its wide biological importance. Phosphorylation of MLKL often referred to as p-MLKL is key to triggering its activity marking the transition from an inactive to an active state during necroptosis.
Biological function summary

The MLKL protein acts as an executioner of cell death by forming a complex that disrupts the plasma membrane integrity. This process is downstream of receptor-interacting serine/threonine-protein kinase 3 (RIPK3) which phosphorylates MLKL to form the active necrosome complex. Active MLKL oligomerizes and migrates towards the inner leaflet of the plasma membrane binding to phosphatidylinositol phosphates which assists in pore formation and cellular rupture. The ability to measure MLKL activity levels such as via MLKL ELISA kits is important for understanding necrotic processes in detailed studies.

Pathways

MLKL is integrally involved in the necroptotic pathway alongside RIPK1 and RIPK3 which are key initiators of necroptosis. Phosphorylated MLKL acts downstream of RIPK3 resulting in cell death without caspase activation distinguishing necroptosis from apoptosis. MLKL and RIPK3 are tightly linked within this pathway with MLKL phosphorylation serving as a vital event for the execution phase. The necroptosis pathway is part of larger networks including inflammatory response pathways highlighting the importance of MLKL's role beyond sheer cell death.

MLKL has been implicated in various inflammatory conditions and neurodegenerative diseases. The dysregulation of necroptosis can contribute to disorders such as inflammatory bowel disease and amyotrophic lateral sclerosis. In inflammatory bowel disease increased levels of p-MLKL might lead to excessive cell death exacerbating inflammation. Similarly in neurodegenerative disorders the harmful activation of MLKL may accelerate neuronal cell death. Key interactions with proteins like RIPK3 and RIPK1 highlight MLKL's involvement in these pathological processes making it a potential target for therapeutic intervention.

Product protocols

For this product, it's our understanding that no specific protocols are required. You can visit:

Target data

Pseudokinase that plays a key role in TNF-induced necroptosis, a programmed cell death process (PubMed : 22265413, PubMed : 22265414, PubMed : 22421439, PubMed : 24316671). Does not have protein kinase activity (PubMed : 22265413, PubMed : 22265414, PubMed : 22421439, PubMed : 24316671). Activated following phosphorylation by RIPK3, leading to homotrimerization, localization to the plasma membrane and execution of programmed necrosis characterized by calcium influx and plasma membrane damage (PubMed : 22265413, PubMed : 22265414, PubMed : 22421439, PubMed : 24316671). In addition to TNF-induced necroptosis, necroptosis can also take place in the nucleus in response to orthomyxoviruses infection : following activation by ZBP1, MLKL is phosphorylated by RIPK3 in the nucleus, triggering disruption of the nuclear envelope and leakage of cellular DNA into the cytosol.following ZBP1 activation, which senses double-stranded Z-RNA structures, nuclear RIPK3 catalyzes phosphorylation and activation of MLKL, promoting disruption of the nuclear envelope and leakage of cellular DNA into the cytosol (By similarity). Binds to highly phosphorylated inositol phosphates such as inositolhexakisphosphate (InsP6) which is essential for its necroptotic function (PubMed : 29883610).
See full target information MLKL phospho S358

Publications (5)

Recent publications for all applications. Explore the full list and refine your search

ESC heart failure 9:3435-3451 PubMed35851586

2022

Enhanced nuclear localization of phosphorylated MLKL predicts adverse events in patients with dilated cardiomyopathy.

Applications

Unspecified application

Species

Unspecified reactive species

Yugo Fujita,Toshiyuki Yano,Hiromitsu Kanamori,Daigo Nagahara,Atsuko Muranaka,Hidemichi Kouzu,Atsushi Mochizuki,Masayuki Koyama,Nobutaka Nagano,Takefumi Fujito,Ryo Nishikawa,Naoyuki Kamiyama,Marenao Tanaka,Atsushi Kuno,Masaya Tanno,Tetsuji Miura

Cell death & disease 5:e1496 PubMed25356865

2014

Triggering necroptosis in cisplatin and IAP antagonist-resistant ovarian carcinoma.

Applications

Unspecified application

Species

Unspecified reactive species

K E McCabe,K Bacos,D Lu,J R Delaney,J Axelrod,M D Potter,M Vamos,V Wong,N D P Cosford,R Xiang,D G Stupack

PloS one 9:e103224 PubMed25068797

2014

Carbamoylating activity associated with the activation of the antitumor agent laromustine inhibits angiogenesis by inducing ASK1-dependent endothelial cell death.

Applications

Unspecified application

Species

Human

Weidong Ji,Mei Yang,Alexandra Praggastis,Yonghao Li,Huanjiao Jenny Zhou,Yun He,Roxanne Ghazvinian,Dylan J Cincotta,Kevin P Rice,Wang Min

Molecular cell 54:133-146 PubMed24703947

2014

Mixed lineage kinase domain-like protein MLKL causes necrotic membrane disruption upon phosphorylation by RIP3.

Applications

Unspecified application

Species

Unspecified reactive species

Huayi Wang,Liming Sun,Lijing Su,Josep Rizo,Lei Liu,Li-Feng Wang,Fu-Sheng Wang,Xiaodong Wang

Cell 148:213-27 PubMed22265413

2012

Mixed lineage kinase domain-like protein mediates necrosis signaling downstream of RIP3 kinase.

Applications

Unspecified application

Species

Unspecified reactive species

Liming Sun,Huayi Wang,Zhigao Wang,Sudan He,She Chen,Daohong Liao,Lai Wang,Jiacong Yan,Weilong Liu,Xiaoguang Lei,Xiaodong Wang
View all publications
websiteProtocolBooklet
zh

Product promise

We are committed to supporting your work with high-quality reagents, and we're here for you every step of the way. In the unlikely event that one of our products does not perform as expected, you're protected by our Product Promise.
For full details, please see our Terms & Conditions

Please note: All products are 'FOR RESEARCH USE ONLY. NOT FOR USE IN DIAGNOSTIC OR THERAPEUTIC PROCEDURES'.

For licensing inquiries, please contact partnerships@abcam.com