JavaScript is disabled in your browser. Please enable JavaScript to view this website.
AB247747

Anti-MLLT11 antibody [CHCR115] - BSA and Azide free

Be the first to review this product! Submit a review

|

(1 Publication)

Rabbit Recombinant Monoclonal MLLT11 antibody. Carrier free. Suitable for IHC-P, WB and reacts with Human samples. Cited in 1 publication.

View Alternative Names

AF1Q, MLLT11, Protein AF1q

2 Images
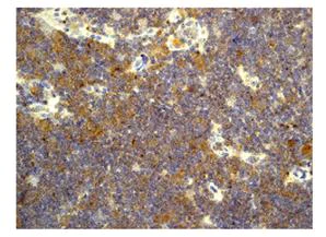
Immunohistochemistry (Formalin/PFA-fixed paraffin-embedded sections) - Anti-MLLT11 antibody [CHCR115] - BSA and Azide free (AB247747)
  • IHC-P

Unknown

Immunohistochemistry (Formalin/PFA-fixed paraffin-embedded sections) - Anti-MLLT11 antibody [CHCR115] - BSA and Azide free (AB247747)

This data was developed using ab109016, the same antibody clone in a different buffer formulation.

Immunohistochemical analysis of MLLT11 expression in paraffin-embedded Human thymus tissue using ab109016 at 1/100 dilution.

Perform heat mediated antigen retrieval with citrate buffer pH 6 before commencing with IHC staining protocol.

Western blot - Anti-MLLT11 antibody [CHCR115] - BSA and Azide free (AB247747)
  • WB

Unknown

Western blot - Anti-MLLT11 antibody [CHCR115] - BSA and Azide free (AB247747)

This data was developed using ab109016, the same antibody clone in a different buffer formulation.

All lanes:

Western blot - Anti-MLLT11 antibody [CHCR115] (<a href='/en-us/products/primary-antibodies/mllt11-antibody-chcr115-ab109016'>ab109016</a>) at 1/1000 dilution

Lane 1:

Jurkat cell lysate at 10 µg

Lane 2:

K562 cell lysate at 10 µg

Lane 3:

Molt4 cell lysate at 10 µg

Predicted band size: 10 kDa,36 kDa

false

Key facts

Host species

Rabbit

Clonality

Monoclonal

Clone number

CHCR115

Isotype

IgG

Carrier free

Yes

Reacts with

Human

Applications

IHC-P, WB

applications

Immunogen

The exact immunogen used to generate this antibody is proprietary information.

Reactivity data

{ "title": "Reactivity Data", "filters": { "stats": ["", "Species", "Dilution Info", "Notes"], "tabs": { "all-applications": {"fullname" : "All Applications", "shortname": "All Applications"}, "IHCP" : {"fullname" : "Immunohistochemistry (Formalin/PFA-fixed paraffin-embedded sections)", "shortname":"IHC-P"}, "IP" : {"fullname" : "Immunoprecipitation", "shortname":"IP"}, "FlowCyt" : {"fullname" : "Flow Cytometry", "shortname":"Flow Cyt"}, "WB" : {"fullname" : "Western blot", "shortname":"WB"} }, "product-promise": { "all": "all", "testedAndGuaranteed": "tested", "guaranteed": "expected", "predicted": "predicted", "notRecommended": "not-recommended" } }, "values": { "Human": { "IHCP-species-checked": "testedAndGuaranteed", "IHCP-species-dilution-info": "", "IHCP-species-notes": "<p></p>", "IP-species-checked": "notRecommended", "IP-species-dilution-info": "", "IP-species-notes": "<p></p>", "FlowCyt-species-checked": "notRecommended", "FlowCyt-species-dilution-info": "", "FlowCyt-species-notes": "<p></p>", "WB-species-checked": "testedAndGuaranteed", "WB-species-dilution-info": "", "WB-species-notes": "<p></p>" } } }

Product details

ab247747 is the carrier-free version of ab109016.

Species reactivity
Mouse, Rat: We have preliminary internal testing data to indicate this antibody may not react with these species.
Please contact us for more information.

Patented technology
Our RabMAb® technology is a patented hybridoma-based technology for making rabbit monoclonal antibodies. For details on our patents, please refer to RabMAb® patents.

What are the advantages of a recombinant monoclonal antibody?
This product is a recombinant monoclonal antibody, which offers several advantages including:

  • - High batch-to-batch consistency and reproducibility
  • - Improved sensitivity and specificity
  • - Long-term security of supply
  • - Animal-free batch production

For more information, read more on recombinant antibodies.

Conjugation ready
Our carrier-free antibodies are typically supplied in a PBS-only formulation, purified and free of BSA, sodium azide and glycerol. This conjugation-ready format is designed for use with fluorochromes, metal isotopes, oligonucleotides, and enzymes, which makes them ideal for antibody labelling, functional and cell-based assays, flow-based assays (e.g. mass cytometry) and Multiplex Imaging applications.

Use our conjugation kits for antibody conjugates that are ready-to-use in as little as 20 minutes with 1 minute hands-on-time and 100% antibody recovery: available for fluorescent dyes, HRP, biotin and gold.

Compatibility
This product is compatible with the Maxpar® Antibody Labeling Kit from Fluidigm, without the need for antibody preparation. Maxpar® is a trademark of Fluidigm Canada Inc.

Properties and storage information

Form
Liquid
Purification technique
Affinity purification
Storage buffer
pH: 7.2 - 7.4 Constituents: PBS
Shipped at conditions
Blue Ice
Appropriate short-term storage conditions
+4°C
Appropriate long-term storage conditions
+4°C
Storage information
Do Not Freeze

Supplementary information

This supplementary information is collated from multiple sources and compiled automatically.

MLLT11 also known as ENL is a protein involved in transcriptional regulation. It has a mass of approximately 68 kDa. The protein is expressed in various tissues including bone marrow and fetal liver. MLLT11 has a role in positive regulation of transcription from RNA polymerase II promoter which is critical for gene expression during development. It interacts with other proteins to form a complex highlighting its involvement in regulating gene activity.
Biological function summary

MLLT11 participates in chromatin remodeling and transcriptional elongation. This protein forms part of the super elongation complex (SEC) which includes other essential transcription-related proteins like P-TEFb and AF4/FMR2. The presence of MLLT11 in the SEC facilitates the elongation phase of transcription ensuring proper gene expression needed for cellular differentiation and proliferation processes.

Pathways

MLLT11 plays a significant role in the regulation of gene expression pathways particularly the transcriptional misregulation in cancer pathway. Its involvement in these pathways supports the proper function of transcriptional regulation machinery through interactions with proteins such as DOT1L and AF9. These interactions are necessary for the maintenance of transcriptional fidelity across various biological processes.

MLLT11 has been implicated in mixed-lineage leukemia (MLL) due to its participation in chromosomal translocations that result in oncogenic fusion proteins. These fusion proteins disrupt normal transcriptional regulation contributing to leukemogenesis. MLLT11's interaction with the MLL protein in the context of these translocations highlights its involvement in acute leukemia. The complex nature of its interactions makes it a point of interest for understanding the molecular basis of certain cancers.

Product protocols

For this product, it's our understanding that no specific protocols are required. You can visit:

Target data

Cofactor for the transcription factor TCF7 (PubMed : 26079538). Involved in regulation of lymphoid development by driving multipotent hematopoietic progenitor cells towards a T cell fate (PubMed : 21715312).
See full target information MLLT11

Publications (1)

Recent publications for all applications. Explore the full list and refine your search

Oncology letters 26:409 PubMed37600337

2023

Renal epithelioid angiomyolipoma: A case report.

Applications

Unspecified application

Species

Unspecified reactive species

Hongyun Li,Xuebei Zhang,Qingli Zhao,Jin Wang,Xiaoqing Yang,Shengliang Huang
View all publications

Product promise

We are committed to supporting your work with high-quality reagents, and we're here for you every step of the way. In the unlikely event that one of our products does not perform as expected, you're protected by our Product Promise.
For full details, please see our Terms & Conditions

Please note: All products are 'FOR RESEARCH USE ONLY. NOT FOR USE IN DIAGNOSTIC OR THERAPEUTIC PROCEDURES'.

For licensing inquiries, please contact partnerships@abcam.com