JavaScript is disabled in your browser. Please enable JavaScript to view this website.
AB243596

Anti-MMAB antibody

Be the first to review this product! Submit a review

|

(0 Publication)

Rabbit Polyclonal MMAB antibody. Suitable for IHC-P, WB, ICC/IF and reacts with Human samples. Immunogen corresponding to Recombinant Fragment Protein within Human MMAB aa 150 to C-terminus.

View Alternative Names

Corrinoid adenosyltransferase MMAB, ATP:co(I)rrinoid adenosyltransferase MMAB, Methylmalonic aciduria type B protein, MMAB

3 Images
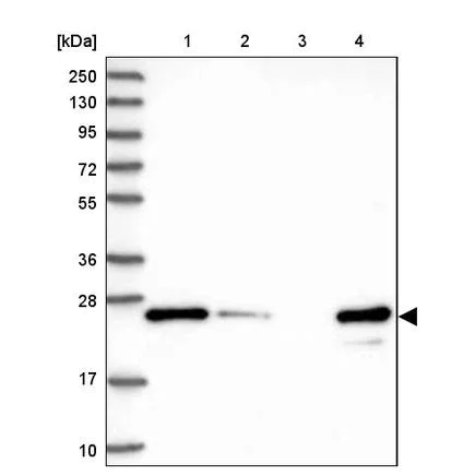
Western blot - Anti-MMAB antibody (AB243596)
  • WB

Supplier Data

Western blot - Anti-MMAB antibody (AB243596)

All lanes:

Western blot - Anti-MMAB antibody (ab243596) at 0.4 µg/mL

Lane 1:

RT (Human urinary bladder cancer cell line) whole cell lysate

Lane 2:

U-251 MG (Human brain glioma cell line) whole cell lysate

Lane 3:

Human plasma (IgG/HSA depleted)

Lane 4:

Human liver tissue lysate

Predicted band size: 27 kDa

false

Immunocytochemistry/ Immunofluorescence - Anti-MMAB antibody (AB243596)
  • ICC/IF

Supplier Data

Immunocytochemistry/ Immunofluorescence - Anti-MMAB antibody (AB243596)

Paraformaldehyde-fixed, Triton X-100 permeabilized A431 (human epidermoid carcinoma cell line) cells labeling MMAB (Green) using ab243596 at 4 μg/mL in ICC/IF analysis.

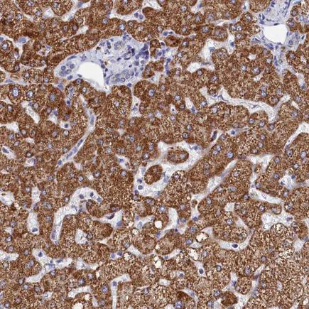
Immunohistochemistry (Formalin/PFA-fixed paraffin-embedded sections) - Anti-MMAB antibody (AB243596)
  • IHC-P

Supplier Data

Immunohistochemistry (Formalin/PFA-fixed paraffin-embedded sections) - Anti-MMAB antibody (AB243596)

Formalin-fixed, paraffin-embedded human liver tissue stained for MMAB using ab243596 at 1/500 dilution in immunohistochemical analysis.

Key facts

Host species

Rabbit

Clonality

Polyclonal

Isotype

IgG

Carrier free

No

Reacts with

Human

Applications

IHC-P, ICC/IF, WB

applications

Immunogen

Recombinant Fragment Protein within Human MMAB aa 150 to C-terminus. The exact immunogen used to generate this antibody is proprietary information.

Q96EY8

Reactivity data

{ "title": "Reactivity Data", "filters": { "stats": ["", "Species", "Dilution Info", "Notes"], "tabs": { "all-applications": {"fullname" : "All Applications", "shortname": "All Applications"}, "IHCP" : {"fullname" : "Immunohistochemistry (Formalin/PFA-fixed paraffin-embedded sections)", "shortname":"IHC-P"}, "WB" : {"fullname" : "Western blot", "shortname":"WB"}, "ICCIF" : {"fullname" : "Immunocytochemistry/ Immunofluorescence", "shortname":"ICC/IF"} }, "product-promise": { "all": "all", "testedAndGuaranteed": "tested", "guaranteed": "expected", "predicted": "predicted", "notRecommended": "not-recommended" } }, "values": { "Human": { "IHCP-species-checked": "testedAndGuaranteed", "IHCP-species-dilution-info": "1/500 - 1/1000", "IHCP-species-notes": "<p></p> Perform heat-mediated antigen retrieval with citrate buffer pH 6 before commencing with IHC staining protocol.", "WB-species-checked": "testedAndGuaranteed", "WB-species-dilution-info": "0.04-0.4 µg/mL", "WB-species-notes": "<p></p>", "ICCIF-species-checked": "testedAndGuaranteed", "ICCIF-species-dilution-info": "0.25-2 µg/mL", "ICCIF-species-notes": "<p></p>" }, "Mouse": { "IHCP-species-checked": "predicted", "IHCP-species-dilution-info": "", "IHCP-species-notes": "", "WB-species-checked": "predicted", "WB-species-dilution-info": "", "WB-species-notes": "", "ICCIF-species-checked": "predicted", "ICCIF-species-dilution-info": "", "ICCIF-species-notes": "" }, "Cow": { "IHCP-species-checked": "predicted", "IHCP-species-dilution-info": "", "IHCP-species-notes": "", "WB-species-checked": "predicted", "WB-species-dilution-info": "", "WB-species-notes": "", "ICCIF-species-checked": "predicted", "ICCIF-species-dilution-info": "", "ICCIF-species-notes": "" } } }

Properties and storage information

Form
Liquid
Purification technique
Affinity purification Immunogen
Storage buffer
pH: 7.2 Preservative: 0.02% Sodium azide Constituents: PBS, 40% Glycerol (glycerin, glycerine)
Shipped at conditions
Blue Ice
Appropriate short-term storage duration
1-2 weeks
Appropriate short-term storage conditions
+4°C
Appropriate long-term storage conditions
-20°C
Aliquoting information
Upon delivery aliquot
Storage information
Avoid freeze / thaw cycle

Supplementary information

This supplementary information is collated from multiple sources and compiled automatically.

MMAB also known as methylmalonic aciduria type B protein plays a critical role in the conversion of certain molecules within the mitochondria. This protein weighing approximately 38 kDa assists in the conversion of vitamin B12 into adenosylcobalamin an active coenzyme form. MMAB is present in many tissues with significant expression in liver and kidney where significant mitochondrial activities occur. Methylmalonyl-CoA a byproduct needing processing for energy production relies on MMAB for transformation.
Biological function summary

MMAB is indispensable for vitamin B12 metabolism and mitochondrial function. This protein acts within a larger enzymatic complex that converts methylmalonyl-CoA to succinyl-CoA. By playing a role in this conversion MMAB facilitates the Krebs cycle an essential biochemical pathway for energy production. Its interaction with other proteins like methylmalonyl-CoA mutase ensures proper biochemical transformations highlighting its importance in metabolic processes.

Pathways

Methylmalonic acidemia results from disruptions in the MMAB-mediated pathway notably affecting energy metabolism. This protein integrates into the mitochondrial pathway that handles odd-chain fatty acids and amino acid breakdown. The effective collaboration of MMAB with methylmalonyl-CoA mutase ensures efficient functioning within these pathways linking MMAB to essential metabolic activities like gluconeogenesis and energy production.

Mutations in MMAB contribute to methylmalonic acidemia a metabolic disorder characterized by accumulation of methylmalonic acid in the body. This condition can lead to developmental delay metabolic crisis and other severe symptoms if untreated. Alongside methylmalonyl-CoA mutase MMAB mutations impact vitamin B12-related pathways highlighting their joint role in this genetic disorder. Early diagnosis and treatment targeting this pathway help mitigate symptoms related to these enzymatic dysfunctions.

Product protocols

For this product, it's our understanding that no specific protocols are required. You can visit:

Target data

Converts cob(I)alamin to adenosylcobalamin (adenosylcob(III)alamin), a coenzyme for methylmalonyl-CoA mutase, therefore participates in the final step of the vitamin B12 conversion (PubMed : 12514191). Generates adenosylcobalamin (AdoCbl) and directly delivers the cofactor to MUT in a transfer that is stimulated by ATP-binding to MMAB and gated by MMAA (Probable).
See full target information MMAB

Product promise

We are committed to supporting your work with high-quality reagents, and we're here for you every step of the way. In the unlikely event that one of our products does not perform as expected, you're protected by our Product Promise.
For full details, please see our Terms & Conditions

Please note: All products are 'FOR RESEARCH USE ONLY. NOT FOR USE IN DIAGNOSTIC OR THERAPEUTIC PROCEDURES'.

For licensing inquiries, please contact partnerships@abcam.com