JavaScript is disabled in your browser. Please enable JavaScript to view this website.
AB271845

Anti-MMP1 antibody [EP1247Y] - BSA and Azide free

4

(1 Review)

|

(0 Publication)

Rabbit Recombinant Monoclonal MMP1 antibody. Carrier free. Suitable for IHC-P, ICC/IF, Flow Cyt (Intra) and reacts with Human samples.

View Alternative Names

CLG, MMP1, Interstitial collagenase, Fibroblast collagenase, Matrix metalloproteinase-1, MMP-1

9 Images
Immunohistochemistry (Formalin/PFA-fixed paraffin-embedded sections) - Anti-MMP1 antibody [EP1247Y] - BSA and Azide free (AB271845)
  • IHC-P

Unknown

Immunohistochemistry (Formalin/PFA-fixed paraffin-embedded sections) - Anti-MMP1 antibody [EP1247Y] - BSA and Azide free (AB271845)

Immunohistochemistry (Formalin/PFA-fixed paraffin-embedded sections) analysis of human cervical carcinoma tissue labelling MMP1 with ab52631 at 1/50.

Perform heat mediated antigen retrieval with Tris/EDTA buffer pH 9.0 before commencing with IHC staining protocol.

This data was developed using the same antibody clone in a different buffer formulation containing PBS, BSA, glycerol, and sodium azide (ab52631).

Flow Cytometry (Intracellular) - Anti-MMP1 antibody [EP1247Y] - BSA and Azide free (AB271845)
  • Flow Cyt (Intra)

Unknown

Flow Cytometry (Intracellular) - Anti-MMP1 antibody [EP1247Y] - BSA and Azide free (AB271845)

Intracellular Flow Cytometry analysis of HeLa cells labelling MMP1 with purified ab52631 at 1/70 (red). Cells were fixed with 2% paraformaldehyde. A FITC-conjugated goat anti-rabbit IgG was used as the secondary antibody (1/150). Green - Isotype control, rabbit monoclonal IgG.

This data was developed using the same antibody clone in a different buffer formulation containing PBS, BSA, glycerol, and sodium azide (ab52631).

Immunocytochemistry/ Immunofluorescence - Anti-MMP1 antibody [EP1247Y] - BSA and Azide free (AB271845)
  • ICC/IF

Unknown

Immunocytochemistry/ Immunofluorescence - Anti-MMP1 antibody [EP1247Y] - BSA and Azide free (AB271845)

ICC/IF image of unpurified ab52631 stained MCF7 cells. The cells were 4% PFA fixed (10 min) and then incubated in 1% BSA / 10% normal goat serum / 0.3M glycine in 0.1% PBS-Tween for 1h to permeabilise the cells and block non-specific protein-protein interactions. The cells were then incubated with the antibody (ab52631, 1/1000 dilution) overnight at +4°C. The secondary antibody (green) was Alexa Fluor® 488 goat anti-rabbit IgG (H+L) used at a 1/1000 dilution for 1h. Alexa Fluor® 594 WGA was used to label plasma membranes (red) at a 1/200 dilution for 1h. DAPI was used to stain the cell nuclei (blue) at a concentration of 1.43μM.

This data was developed using the same antibody clone in a different buffer formulation containing PBS, BSA, glycerol, and sodium azide (ab52631).

Immunohistochemistry (Formalin/PFA-fixed paraffin-embedded sections) - Anti-MMP1 antibody [EP1247Y] - BSA and Azide free (AB271845)
  • IHC-P

Unknown

Immunohistochemistry (Formalin/PFA-fixed paraffin-embedded sections) - Anti-MMP1 antibody [EP1247Y] - BSA and Azide free (AB271845)

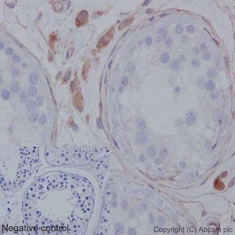
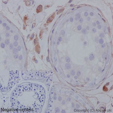
Immunohistochemistry (Formalin/PFA-fixed paraffin-embedded sections) analysis of human testis tissue labelling MMP1 with unpurified ab52631 at 1/60. Heat mediated antigen retrieval was performed using Tris/EDTA buffer pH 9. A prediluted HRP-polymer conjugated anti-rabbit IgG was used as the secondary antibody. Negative control using PBS instead of primary antibody. Counterstained with hematoxylin.

IHC result showed parenchymal cells (such as spermatogonium and spermatocytes) in seminiferous tubules were negative, and the stromal cells were stained.

This data was developed using the same antibody clone in a different buffer formulation containing PBS, BSA, glycerol, and sodium azide (ab52631).

Immunocytochemistry/ Immunofluorescence - Anti-MMP1 antibody [EP1247Y] - BSA and Azide free (AB271845)
  • ICC/IF

Unknown

Immunocytochemistry/ Immunofluorescence - Anti-MMP1 antibody [EP1247Y] - BSA and Azide free (AB271845)

Immunocytochemistry/Immunofluorescence analysis of HeLa cells labelling MMP1 with unpurified ab52631 at 1/30. Cells were fixed with 4% paraformaldehyde. An Alexa Fluor® 555-conjugated goat anti-rabbit IgG (1/500) was used as the secondary antibody. DAPI (blue) was used as the nuclear counterstain.

Control : primary antibody (1/30) and secondary antibody, ab150120, an Alexa Fluor® 594-conjugated goat anti-mouse IgG (1/500).

This data was developed using the same antibody clone in a different buffer formulation containing PBS, BSA, glycerol, and sodium azide (ab52631).

Immunocytochemistry/ Immunofluorescence - Anti-MMP1 antibody [EP1247Y] - BSA and Azide free (AB271845)
  • ICC/IF

Unknown

Immunocytochemistry/ Immunofluorescence - Anti-MMP1 antibody [EP1247Y] - BSA and Azide free (AB271845)

Immunocytochemistry/Immunofluorescence analysis of HeLa cells labelling MMP1 with purified ab52631 at 1/50. Cells were fixed with 4% paraformaldehyde. An Alexa Fluor® 555-conjugated goat anti-rabbit IgG (1/500) was used as the secondary antibody. DAPI (blue) was used as the nuclear counterstain.

Control : primary antibody (1/50) and secondary antibody, ab150120, an Alexa Fluor® 594-conjugated goat anti-mouse IgG (1/500).

This data was developed using the same antibody clone in a different buffer formulation containing PBS, BSA, glycerol, and sodium azide (ab52631).

Flow Cytometry (Intracellular) - Anti-MMP1 antibody [EP1247Y] - BSA and Azide free (AB271845)
  • Flow Cyt (Intra)

Unknown

Flow Cytometry (Intracellular) - Anti-MMP1 antibody [EP1247Y] - BSA and Azide free (AB271845)

Intracellular Flow Cytometry analysis of HeLa cells labelling MMP1 with unpurified ab52631 at 1/50 (red). Cells were fixed with 2% paraformaldehyde. A FITC-conjugated goat anti-rabbit IgG (1/150) was used as the secondary antibody. Green - Isotype control, rabbit monoclonal IgG.

This data was developed using the same antibody clone in a different buffer formulation containing PBS, BSA, glycerol, and sodium azide (ab52631).

Immunohistochemistry (Formalin/PFA-fixed paraffin-embedded sections) - Anti-MMP1 antibody [EP1247Y] - BSA and Azide free (AB271845)
  • IHC-P

Unknown

Immunohistochemistry (Formalin/PFA-fixed paraffin-embedded sections) - Anti-MMP1 antibody [EP1247Y] - BSA and Azide free (AB271845)

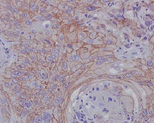
Immunohistochemical analysis of paraffin-embedded human squamous cell carcinoma of cervix tissue labeling MMP1 with ab52631 at 1/100 dilution followed by Goat Anti-Rabbit IgG H&L (HRP) (ab97051, 1/500). Counterstained with hematoxylin.

Perform heat mediated antigen retrieval with Tris/EDTA buffer pH 9.0 before commencing with IHC staining protocol.

This data was developed using the same antibody clone in a different buffer formulation containing PBS, BSA, glycerol, and sodium azide (ab52631).

Immunohistochemistry (Formalin/PFA-fixed paraffin-embedded sections) - Anti-MMP1 antibody [EP1247Y] - BSA and Azide free (AB271845)
  • IHC-P

Unknown

Immunohistochemistry (Formalin/PFA-fixed paraffin-embedded sections) - Anti-MMP1 antibody [EP1247Y] - BSA and Azide free (AB271845)

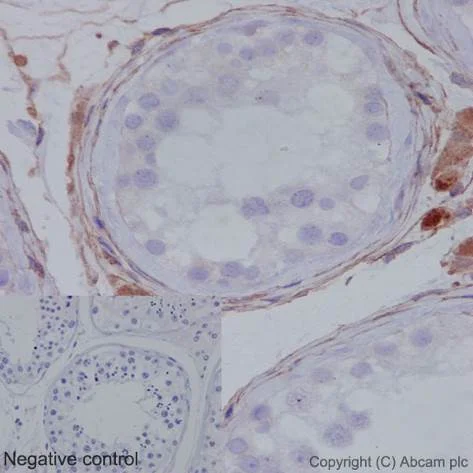
Immunohistochemistry (Formalin/PFA-fixed paraffin-embedded sections) analysis of human testis tissue labelling MMP1 with purified ab52631 at 1/100. Heat mediated antigen retrieval was performed using Tris/EDTA buffer pH 9. A prediluted HRP-polymer conjugated anti-rabbit IgG was used as the secondary antibody. Negative control using PBS instead of primary antibody. Counterstained with hematoxylin.

IHC result showed parenchymal cells (such as spermatogonium and spermatocytes) in seminiferous tubules were negative, and the stromal cells were stained.

This data was developed using the same antibody clone in a different buffer formulation containing PBS, BSA, glycerol, and sodium azide (ab52631).

Key facts

Host species

Rabbit

Clonality

Monoclonal

Clone number

EP1247Y

Isotype

IgG

Carrier free

Yes

Reacts with

Human

Applications

ICC/IF, Flow Cyt (Intra), IHC-P

applications

Immunogen

The exact immunogen used to generate this antibody is proprietary information.

Reactivity data

{ "title": "Reactivity Data", "filters": { "stats": ["", "Species", "Dilution Info", "Notes"], "tabs": { "all-applications": {"fullname" : "All Applications", "shortname": "All Applications"}, "IP" : {"fullname" : "Immunoprecipitation", "shortname":"IP"}, "WB" : {"fullname" : "Western blot", "shortname":"WB"}, "IHCP" : {"fullname" : "Immunohistochemistry (Formalin/PFA-fixed paraffin-embedded sections)", "shortname":"IHC-P"}, "ICCIF" : {"fullname" : "Immunocytochemistry/ Immunofluorescence", "shortname":"ICC/IF"}, "FlowCytIntra" : {"fullname" : "Flow Cytometry (Intracellular)", "shortname":"Flow Cyt (Intra)"} }, "product-promise": { "all": "all", "testedAndGuaranteed": "tested", "guaranteed": "expected", "predicted": "predicted", "notRecommended": "not-recommended" } }, "values": { "Human": { "IP-species-checked": "notRecommended", "IP-species-dilution-info": "", "IP-species-notes": "<p></p>", "WB-species-checked": "notRecommended", "WB-species-dilution-info": "", "WB-species-notes": "<p></p>", "IHCP-species-checked": "testedAndGuaranteed", "IHCP-species-dilution-info": "", "IHCP-species-notes": "<p></p>", "ICCIF-species-checked": "testedAndGuaranteed", "ICCIF-species-dilution-info": "", "ICCIF-species-notes": "<p></p>", "FlowCytIntra-species-checked": "testedAndGuaranteed", "FlowCytIntra-species-dilution-info": "", "FlowCytIntra-species-notes": "<p><a href='/en-us/products/primary-antibodies/rabbit-igg-monoclonal-epr25a-isotype-control-ab172730'>ab172730</a> - Rabbit monoclonal IgG, is suitable for use as an isotype control with this antibody.</p>" } } }

Product details

ab271845 is the carrier-free version of ab52631.

Patented technology
Our RabMAb® technology is a patented hybridoma-based technology for making rabbit monoclonal antibodies. For details on our patents, please refer to RabMAb® patents.

What are the advantages of a recombinant monoclonal antibody?
This product is a recombinant monoclonal antibody, which offers several advantages including:

  • - High batch-to-batch consistency and reproducibility
  • - Improved sensitivity and specificity
  • - Long-term security of supply
  • - Animal-free batch production

For more information, read more on recombinant antibodies.

Species reactivity
Rat: We have preliminary internal testing data to indicate this antibody may not react with this species.
Please contact us for more information.

Conjugation ready
Our carrier-free antibodies are typically supplied in a PBS-only formulation, purified and free of BSA, sodium azide and glycerol. This conjugation-ready format is designed for use with fluorochromes, metal isotopes, oligonucleotides, and enzymes, which makes them ideal for antibody labelling, functional and cell-based assays, flow-based assays (e.g. mass cytometry) and Multiplex Imaging applications.

Use our conjugation kits for antibody conjugates that are ready-to-use in as little as 20 minutes with 1 minute hands-on-time and 100% antibody recovery: available for fluorescent dyes, HRP, biotin and gold.

Compatibility
This product is compatible with the Maxpar® Antibody Labeling Kit from Fluidigm, without the need for antibody preparation. Maxpar® is a trademark of Fluidigm Canada Inc.

Properties and storage information

Form
Liquid
Purification technique
Affinity purification Protein A
Storage buffer
pH: 7.2 - 7.4 Constituents: PBS
Shipped at conditions
Blue Ice
Appropriate short-term storage conditions
+4°C
Appropriate long-term storage conditions
+4°C
Storage information
Do Not Freeze

Supplementary information

This supplementary information is collated from multiple sources and compiled automatically.

MMP1 also known as collagenase-1 is an enzyme belonging to the matrix metalloproteinase (MMP) family. It is responsible for the degradation of type I II and III collagens making it an important player in collagen turnover. MMP1 has a molecular weight of approximately 54 kDa. This enzyme is expressed in various tissues including skin lung and reproductive organs primarily during tissue remodeling and repair. Scientists often use MMP1 ELISA kits and MMP1 inhibitors to study its expression and activity levels.
Biological function summary

MMP1 plays a significant role in the modulation of the extracellular matrix. It facilitates cellular processes by breaking down structural proteins and allowing for cell migration proliferation and differentiation. Although it acts independently MMP1 works in harmony with other MMP family members to maintain extracellular matrix homeostasis and is often linked to tissue remodeling complexes. This makes the MMP1 a valuable target for researchers interested in tissue repair and fibrosis.

Pathways

Studies show MMP1 involvement in critical processes such as the inflammatory response and wound healing. In the inflammatory pathway MMP1 expression is regulated by cytokines that respond to tissue injury. Within the wound healing pathway this enzyme interacts with proteins like transforming growth factor-beta (TGF-beta) to coordinate the repair process by remodeling extracellular matrix components. This illustrates the interconnected nature of MMP1 with significant regulatory proteins.

MMP1 has significant associations with osteoarthritis and cancer metastasis. MMP1 contributes to the breakdown of cartilage in osteoarthritis highlighting its role in disease progression and joint degradation. In the context of cancer elevated MMP1 expression correlates with the metastatic potential where it assists tumor invasion by degrading the surrounding matrix. MMP1's involvement with other MMPs including MMP2 and MMP9 highlights its importance in these pathological conditions making it a therapeutic target in related research.

Product protocols

For this product, it's our understanding that no specific protocols are required. You can visit:

Target data

Cleaves collagens of types I, II, and III at one site in the helical domain. Also cleaves collagens of types VII and X (PubMed : 1645757, PubMed : 2153297, PubMed : 2557822). In case of HIV infection, interacts and cleaves the secreted viral Tat protein, leading to a decrease in neuronal Tat's mediated neurotoxicity (PubMed : 16807369).
See full target information MMP1

Product promise

We are committed to supporting your work with high-quality reagents, and we're here for you every step of the way. In the unlikely event that one of our products does not perform as expected, you're protected by our Product Promise.
For full details, please see our Terms & Conditions

Please note: All products are 'FOR RESEARCH USE ONLY. NOT FOR USE IN DIAGNOSTIC OR THERAPEUTIC PROCEDURES'.

For licensing inquiries, please contact partnerships@abcam.com