JavaScript is disabled in your browser. Please enable JavaScript to view this website.
AB314017

Anti-MMP12 antibody [2G3]

Be the first to review this product! Submit a review

|

(0 Publication)

Anti-MMP12 antibody [2G3] is a Rabbit Monoclonal antibody that is used in MMP12 IHC-P, Western Blot. Suitable for Human samples.

MMP12 (Matrix Metallopeptidase 12), also known as macrophage elastase, is an enzyme encoded by the MMP12 gene. It plays a crucial role in the breakdown of extracellular matrix components, particularly elastin, and is involved in processes such as tissue remodeling and inflammation. It plays a role in cancer progression by promoting processes like angiogenesis, invasion, and metastasis, making it a potential diagnostic and prognostic biomarker.

View Alternative Names

HME, MMP12, Macrophage metalloelastase, MME, Macrophage elastase, Matrix metalloproteinase-12, ME, hME, MMP-12

2 Images
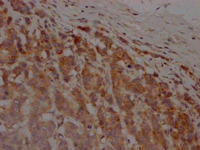
Immunohistochemistry (Formalin/PFA-fixed paraffin-embedded sections) - Anti-MMP12 antibody [2G3] (AB314017)
  • IHC-P

Supplier Data

Immunohistochemistry (Formalin/PFA-fixed paraffin-embedded sections) - Anti-MMP12 antibody [2G3] (AB314017)

Immunohistochemical analysis of ab314017 diluted at 1 : 100 and staining in paraffin-embedded human breast cancer performed on a Leica BondTM system. After dewaxing and hydration, antigen retrieval was mediated by high pressure in a citrate buffer (pH 6.0). Section was blocked with 10% normal goat serum 30min at RT. Then primary antibody (1% BSA) was incubated at 4°C overnight. The primary is detected by a Goat anti-rabbit IgG polymer labeled by HRP and visualized using 0.05% DAB.

Western blot - Anti-MMP12 antibody [2G3] (AB314017)
  • WB

Supplier Data

Western blot - Anti-MMP12 antibody [2G3] (AB314017)

All lanes:

Western blot - Anti-MMP12 antibody [2G3] (ab314017) at 1/1000 dilution

Lane 1:

HEK293T whole cell lysate

Lane 2:

MCF7 whole cell lysate

Lane 3:

THP-1 whole cell lysate

Secondary

All lanes:

Goat polyclonal to rabbit IgG at 1/50000 dilution

Observed band size: 45 kDa,54 kDa

false

Key facts

Host species

Rabbit

Clonality

Monoclonal

Clone number

2G3

Isotype

IgG

Carrier free

No

Reacts with

Human

Applications

WB, IHC-P

applications

Immunogen

Synthetic Peptide within Human MMP12.

P39900

Reactivity data

{ "title": "Reactivity Data", "filters": { "stats": ["", "Species", "Dilution Info", "Notes"], "tabs": { "all-applications": {"fullname" : "All Applications", "shortname": "All Applications"}, "WB" : {"fullname" : "Western blot", "shortname":"WB"}, "IHCP" : {"fullname" : "Immunohistochemistry (Formalin/PFA-fixed paraffin-embedded sections)", "shortname":"IHC-P"} }, "product-promise": { "all": "all", "testedAndGuaranteed": "tested", "guaranteed": "expected", "predicted": "predicted", "notRecommended": "not-recommended" } }, "values": { "Human": { "WB-species-checked": "testedAndGuaranteed", "WB-species-dilution-info": "1/500 - 1/5000", "WB-species-notes": "<p></p>", "IHCP-species-checked": "testedAndGuaranteed", "IHCP-species-dilution-info": "1/50 - 1/200", "IHCP-species-notes": "<p></p>" } } }

Product details

What are the advantages of a recombinant monoclonal antibody?
This product is a recombinant monoclonal antibody, which offers several advantages including:

  • - High batch-to-batch consistency and reproducibility
  • - Improved sensitivity and specificity
  • - Long-term security of supply
  • - Animal-free batch production

For more information, read more on recombinant antibodies.

Properties and storage information

Form
Liquid
Purification technique
Affinity purification
Storage buffer
pH: 7.4 Preservative: 0.02% Sodium azide Constituents: PBS, 50% Glycerol (glycerin, glycerine), 0.88% Sodium chloride
Shipped at conditions
Blue Ice
Appropriate short-term storage duration
1-2 weeks
Appropriate short-term storage conditions
+4°C
Appropriate long-term storage conditions
-20°C
Aliquoting information
Upon delivery aliquot
Storage information
Avoid freeze / thaw cycle

Supplementary information

This supplementary information is collated from multiple sources and compiled automatically.

Matrix metallopeptidase 12 commonly known as MMP12 or macrophage elastase is an enzyme with a molecular mass of approximately 54 kDa. Found mainly in macrophages MMP12 belongs to the matrix metallopeptidase family. It functions to break down extracellular matrix proteins specifically elastin. Besides macrophages it sees expression in other tissues including the lungs and skin but it holds particular importance in immune cell-related environments.
Biological function summary

MMP12 plays an important role in tissue remodeling and repair processes. It interacts with other proteases within the extracellular matrix. The degradation of elastin by MMP12 contributes to structural organization and it participates in immune response modulation. As part of the matrix metalloproteinase family MMP12 takes part in the larger proteolytic system which comprises multiple enzymes working in concert.

Pathways

MMP12 is an essential factor in the extracellular matrix degradation pathway. This pathway regulates tissue remodeling and inflammatory response. MMP12 independently breaks down elastin while it interacts with proteins like MMP2 and MMP9 which assist in remodeling processes. It also contributes to the regulation of cytokines that orchestrate immune functions.

Overexpression of MMP12 is strongly linked to chronic obstructive pulmonary disease (COPD) and atherosclerosis. In COPD MMP12's breakdown of elastin contributes to tissue damage in the lung. In atherosclerosis the enzyme accelerates plaque destabilization impacting cardiovascular health. Additionally MMP12 shares functional relationships with proteins such as TIMPs (tissue inhibitors of metalloproteinases) which regulate its activity and play roles in disease pathogenesis.

Product protocols

For this product, it's our understanding that no specific protocols are required. You can visit:

Target data

May be involved in tissue injury and remodeling. Has significant elastolytic activity. Can accept large and small amino acids at the P1' site, but has a preference for leucine. Aromatic or hydrophobic residues are preferred at the P1 site, with small hydrophobic residues (preferably alanine) occupying P3.
See full target information MMP12

Product promise

We are committed to supporting your work with high-quality reagents, and we're here for you every step of the way. In the unlikely event that one of our products does not perform as expected, you're protected by our Product Promise.
For full details, please see our Terms & Conditions

Please note: All products are 'FOR RESEARCH USE ONLY. NOT FOR USE IN DIAGNOSTIC OR THERAPEUTIC PROCEDURES'.

For licensing inquiries, please contact partnerships@abcam.com