JavaScript is disabled in your browser. Please enable JavaScript to view this website.
AB137444

Anti-MMP12 antibody

4

(1 Review)

|

(10 Publications)

Rabbit Polyclonal MMP12 antibody. Suitable for WB, IHC-P and reacts with Human samples. Cited in 10 publications. Immunogen corresponding to Recombinant Fragment Protein within Human MMP12 aa 200-450.

View Alternative Names

HME, MMP12, Macrophage metalloelastase, MME, Macrophage elastase, Matrix metalloproteinase-12, ME, hME, MMP-12

2 Images
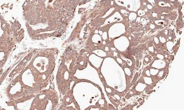
Immunohistochemistry (Formalin/PFA-fixed paraffin-embedded sections) - Anti-MMP12 antibody (AB137444)
  • IHC-P

Unknown

Immunohistochemistry (Formalin/PFA-fixed paraffin-embedded sections) - Anti-MMP12 antibody (AB137444)

Immunohistochemical analysis of parafin embedded Gastric CAN 87 xenograft tissue labelling MMP12 with ab137444 at 1/100 dilution.

Western blot - Anti-MMP12 antibody (AB137444)
  • WB

Supplier Data

Western blot - Anti-MMP12 antibody (AB137444)

Samples were separated by 7.5% SDS-PAGE.

All lanes:

Western blot - Anti-MMP12 antibody (ab137444) at 1/1000 dilution

All lanes:

293T Whole cell extract at 30 µg

Secondary

All lanes:

HRP-conjugated anti-rabbit IgG antibody

Predicted band size: 54 kDa

false

Key facts

Host species

Rabbit

Clonality

Polyclonal

Isotype

IgG

Carrier free

No

Reacts with

Human

Applications

IHC-P, WB

applications

Immunogen

Recombinant Fragment Protein within Human MMP12 aa 200-450. The exact immunogen used to generate this antibody is proprietary information.

P39900

Reactivity data

{ "title": "Reactivity Data", "filters": { "stats": ["", "Species", "Dilution Info", "Notes"], "tabs": { "all-applications": {"fullname" : "All Applications", "shortname": "All Applications"}, "WB" : {"fullname" : "Western blot", "shortname":"WB"}, "IHCP" : {"fullname" : "Immunohistochemistry (Formalin/PFA-fixed paraffin-embedded sections)", "shortname":"IHC-P"} }, "product-promise": { "all": "all", "testedAndGuaranteed": "tested", "guaranteed": "expected", "predicted": "predicted", "notRecommended": "not-recommended" } }, "values": { "Human": { "WB-species-checked": "testedAndGuaranteed", "WB-species-dilution-info": "1/500 - 1/3000", "WB-species-notes": "<p></p>", "IHCP-species-checked": "testedAndGuaranteed", "IHCP-species-dilution-info": "1/100 - 1/1000", "IHCP-species-notes": "<p></p>" } } }

Properties and storage information

Form
Liquid
Purification technique
Affinity purification Immunogen
Storage buffer
pH: 7 Preservative: 0.01% Thimerosal (merthiolate) Constituents: 10% Glycerol (glycerin, glycerine), 1.21% Tris, 0.75% Glycine
Shipped at conditions
Blue Ice
Appropriate short-term storage conditions
+4°C
Appropriate long-term storage conditions
-20°C
Aliquoting information
Upon delivery aliquot
Storage information
Avoid freeze / thaw cycle

Supplementary information

This supplementary information is collated from multiple sources and compiled automatically.

Matrix metallopeptidase 12 commonly known as MMP12 or macrophage elastase is an enzyme with a molecular mass of approximately 54 kDa. Found mainly in macrophages MMP12 belongs to the matrix metallopeptidase family. It functions to break down extracellular matrix proteins specifically elastin. Besides macrophages it sees expression in other tissues including the lungs and skin but it holds particular importance in immune cell-related environments.
Biological function summary

MMP12 plays an important role in tissue remodeling and repair processes. It interacts with other proteases within the extracellular matrix. The degradation of elastin by MMP12 contributes to structural organization and it participates in immune response modulation. As part of the matrix metalloproteinase family MMP12 takes part in the larger proteolytic system which comprises multiple enzymes working in concert.

Pathways

MMP12 is an essential factor in the extracellular matrix degradation pathway. This pathway regulates tissue remodeling and inflammatory response. MMP12 independently breaks down elastin while it interacts with proteins like MMP2 and MMP9 which assist in remodeling processes. It also contributes to the regulation of cytokines that orchestrate immune functions.

Overexpression of MMP12 is strongly linked to chronic obstructive pulmonary disease (COPD) and atherosclerosis. In COPD MMP12's breakdown of elastin contributes to tissue damage in the lung. In atherosclerosis the enzyme accelerates plaque destabilization impacting cardiovascular health. Additionally MMP12 shares functional relationships with proteins such as TIMPs (tissue inhibitors of metalloproteinases) which regulate its activity and play roles in disease pathogenesis.

Product protocols

For this product, it's our understanding that no specific protocols are required. You can visit:

Target data

May be involved in tissue injury and remodeling. Has significant elastolytic activity. Can accept large and small amino acids at the P1' site, but has a preference for leucine. Aromatic or hydrophobic residues are preferred at the P1 site, with small hydrophobic residues (preferably alanine) occupying P3.
See full target information MMP12

Publications (10)

Recent publications for all applications. Explore the full list and refine your search

OncoTargets and therapy 17:1209-1222 PubMed39735788

2024

Development of a Prognostic Risk Model for Esophageal Cancer Based on M0 Macrophage-Related Genes.

Applications

Unspecified application

Species

Unspecified reactive species

Xiaoping Zuo,Fuqiang Wang,Guofeng Liu,Shenglong Xie,Senyi Deng,Yun Wang

Frontiers in oncology 14:1471267 PubMed39493455

2024

Identification and validation of matrix metalloproteinase hub genes as potential biomarkers for Skin Cutaneous Melanoma.

Applications

Unspecified application

Species

Unspecified reactive species

Zhongyi Zhang,Mei Zhao,Zubing Zhou,Xiaodan Ren,Yunliang He,Tao Shen,Hongping Zeng,Kai Li,Yong Zhang

Cancer control : journal of the Moffitt Cancer Center 31:10732748241235468 PubMed38410859

2024

MMP12 is a Potential Predictive and Prognostic Biomarker of Various Cancers Including Lung Adenocarcinoma.

Applications

Unspecified application

Species

Unspecified reactive species

Guo-Sheng Li,Yu-Xing Tang,Wei Zhang,Jian-Di Li,He-Qing Huang,Jun Liu,Zong-Wang Fu,Rong-Quan He,Jin-Liang Kong,Hua-Fu Zhou,Gang Chen

Journal of hepatocellular carcinoma 11:95-111 PubMed38250306

2024

The Role of GNMT and MMP12 Expression in Determining TACE Efficacy: Validation at Transcription and Protein Levels.

Applications

Unspecified application

Species

Unspecified reactive species

Tianhao Cong,Chao Yang,Qi Cao,Jinrui Ren,Yingen Luo,Pei Yuan,Bo Zheng,Yu Liu,Hongcai Yang,Wendi Kang,Aixin Ou,Xiao Li

Nature communications 12:6349 PubMed34732729

2021

Agrin-Matrix Metalloproteinase-12 axis confers a mechanically competent microenvironment in skin wound healing.

Applications

Unspecified application

Species

Unspecified reactive species

Sayan Chakraborty,Divyaleka Sampath,Melissa Ong Yu Lin,Matthew Bilton,Cheng-Kuang Huang,Mui Hoon Nai,Kizito Njah,Pierre-Alexis Goy,Cheng-Chun Wang,Ernesto Guccione,Chwee-Teck Lim,Wanjin Hong

Oncology letters 22:830 PubMed34691257

2021

Integrated bioinformatics analyses of key genes involved in hepatocellular carcinoma immunosuppression.

Applications

Unspecified application

Species

Unspecified reactive species

Hongyan Huang,Youwen Hu,Li Guo,Zhili Wen

American journal of translational research 12:1114-1122 PubMed32269738

2020

Axin1 inhibits proliferation, invasion, migration and EMT of hepatocellular carcinoma by targeting miR-650.

Applications

Unspecified application

Species

Unspecified reactive species

Ancheng Qin,Jianwu Wu,Min Zhai,Yijie Lu,Bo Huang,Xingsheng Lu,Xinwei Jiang,Zhiming Qiao

mBio 9: PubMed30459195

2018

Streptococcus agalactiae Induces Placental Macrophages To Release Extracellular Traps Loaded with Tissue Remodeling Enzymes via an Oxidative Burst-Dependent Mechanism.

Applications

Unspecified application

Species

Unspecified reactive species

Ryan S Doster,Jessica A Sutton,Lisa M Rogers,David M Aronoff,Jennifer A Gaddy

Cellular physiology and biochemistry : internation 48:1804-1814 PubMed30078021

2018

miR-27b Suppresses Endothelial Cell Proliferation and Migration by Targeting Smad7 in Kawasaki Disease.

Applications

Unspecified application

Species

Unspecified reactive species

Xing Rong,Donghui Ge,Danping Shen,Xianda Chen,Xuliang Wang,Lu Zhang,Chang Jia,Jingjing Zeng,Yue'e He,Huixian Qiu,Xiaoping Su,Maoping Chu

Journal of immunology (Baltimore, Md. : 1950) 199:4023-4035 PubMed29101312

2017

Gingival Tissue Inflammation Promotes Increased Matrix Metalloproteinase-12 Production by CD200R Monocyte-Derived Cells in Periodontitis.

Applications

Unspecified application

Species

Unspecified reactive species

Sofia Björnfot Holmström,Reuben Clark,Stephanie Zwicker,Daniela Bureik,Egle Kvedaraite,Eric Bernasconi,Anh Thu Nguyen Hoang,Gunnar Johannsen,Benjamin J Marsland,Elisabeth A Boström,Mattias Svensson
View all publications

Product promise

We are committed to supporting your work with high-quality reagents, and we're here for you every step of the way. In the unlikely event that one of our products does not perform as expected, you're protected by our Product Promise.
For full details, please see our Terms & Conditions

Please note: All products are 'FOR RESEARCH USE ONLY. NOT FOR USE IN DIAGNOSTIC OR THERAPEUTIC PROCEDURES'.

For licensing inquiries, please contact partnerships@abcam.com