JavaScript is disabled in your browser. Please enable JavaScript to view this website.
AB271840

Anti-MMP14 antibody [EP1264Y] - BSA and Azide free

  • BOND RX™ Validated
  • RabMAb
  • Recombinant
  • KO Validated
  • What is this?

Be the first to review this product! Submit a review

|

(0 Publication)

Rabbit Recombinant Monoclonal MMP14 antibody. Carrier free. Suitable for IP, WB, IHC-P, ICC/IF, Flow Cyt and reacts with Human, Rat, Mouse samples.

View Alternative Names

Matrix metalloproteinase-14, MMP-14, MMP-X1, Membrane-type matrix metalloproteinase 1, Membrane-type-1 matrix metalloproteinase, MT-MMP 1, MTMMP1, MT1-MMP, MT1MMP, MMP14

9 Images
Flow Cytometry - Anti-MMP14 antibody [EP1264Y] - BSA and Azide free (AB271840)
  • Flow Cyt

Lab

Flow Cytometry - Anti-MMP14 antibody [EP1264Y] - BSA and Azide free (AB271840)

This data was developed using ab51074, the same antibody clone in a different buffer formulation.

Flow cytometry overlay histogram showing wild-type A431 (green line) and A431 MMP14 knockout stained with ab51074 (magenta line). The cells were incubated in 1x PBS containing 10% normal goat serum to block non-specific protein-protein interaction followed by the antibody (ab51074) (1x 106in 100μl at 1.0 μg/ml (1/2070)) for 30min on ice.

The secondary antibody Goat Anti-Rabbit IgG H&L (Alexa Fluor® 488) preadsorbed was incubated at 1/4000 for 30min on ice

Isotype control antibody Recombinant Rabbit IgG, monoclonal [EPR25A] - Isotype Control was used at the same concentration and conditions as the primary antibody (wild-type A431 - black line, A431 MMP14 knockout - grey line). Unlabelled sample was also used as a control (this line is not shown for the purpose of simplicity).

Acquisition of >5000 events were collected using a 50 mW Blue laser (488nm) and 525/40 bandpass filter.

Immunohistochemistry (Formalin/PFA-fixed paraffin-embedded sections) - Anti-MMP14 antibody [EP1264Y] - BSA and Azide free (AB271840)
  • IHC-P

Lab

Immunohistochemistry (Formalin/PFA-fixed paraffin-embedded sections) - Anti-MMP14 antibody [EP1264Y] - BSA and Azide free (AB271840)

This data was developed using the same antibody clone in a different buffer formulation containing PBS, BSA, glycerol, and sodium azide (ab51074).

Immunohistochemical analysis of paraffin-embedded Human endometrial cancer labeling MMP14 with ab51074 at 1/500 (3.26 ug/ml) dilution followed by a ready to use Rabbit specific IHC polymer detection kit HRP/DAB (ab209101). Postive staining on the human endometrial tumour stroma cells and weak staining on the tumour cells. The section was incubated with ab51074 for 30 mins at room temperature. The immunostaining was performed on a Leica Biosystems BOND® RX instrument. Counterstained with Hematoxylin.

Heat mediated antigen retrieval using Bond™ Epitope Retrieval Solution 2 (pH 9.0) for 20 minutes.

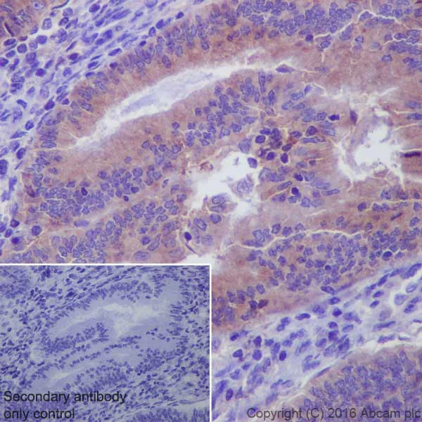
Immunohistochemistry (Formalin/PFA-fixed paraffin-embedded sections) - Anti-MMP14 antibody [EP1264Y] - BSA and Azide free (AB271840)
  • IHC-P

Lab

Immunohistochemistry (Formalin/PFA-fixed paraffin-embedded sections) - Anti-MMP14 antibody [EP1264Y] - BSA and Azide free (AB271840)

This data was developed using the same antibody clone in a different buffer formulation containing PBS, BSA, glycerol, and sodium azide (ab51074).

Immunohistochemical analysis of paraffin-embedded Human endometrial cancer labeling MMP14 with ab51074 at 1/500 (3.26 ug/ml) dilution followed by a ready to use Rabbit specific IHC polymer detection kit HRP/DAB (ab209101). Positive staining on human endometrial cancer. The section was incubated with ab51074 for 30 mins at room temperature. The immunostaining was performed on a Leica Biosystems BOND® RX instrument. Counterstained with Hematoxylin.

Heat mediated antigen retrieval using Bond™ Epitope Retrieval Solution 2 (pH 9.0) for 20 minutes.

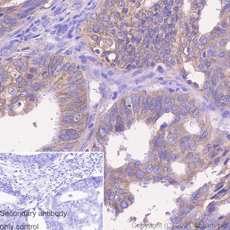
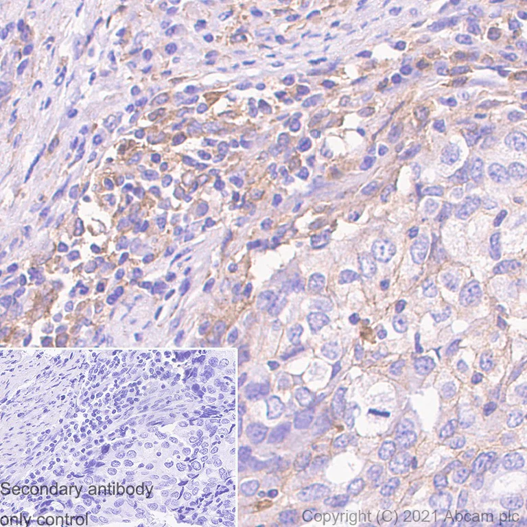
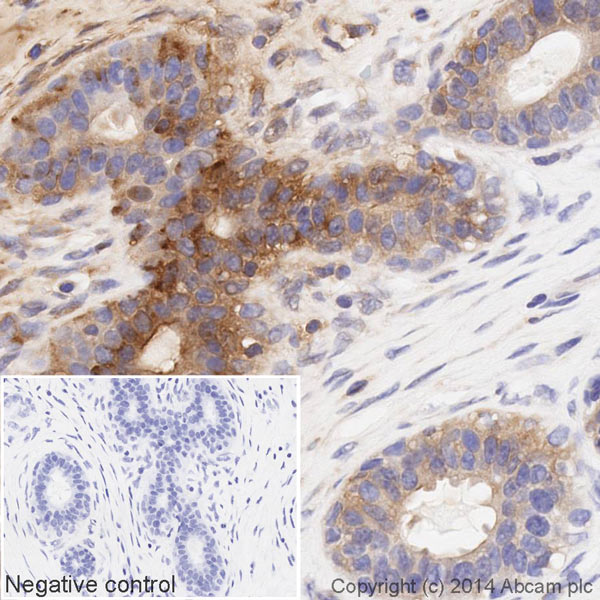
Immunohistochemistry (Formalin/PFA-fixed paraffin-embedded sections) - Anti-MMP14 antibody [EP1264Y] - BSA and Azide free (AB271840)
  • IHC-P

Unknown

Immunohistochemistry (Formalin/PFA-fixed paraffin-embedded sections) - Anti-MMP14 antibody [EP1264Y] - BSA and Azide free (AB271840)

Immunohistochemistry (Formalin/PFA-fixed paraffin-embedded sections) analysis of human endometrium carcinoma tissue sections labeling MMP14 with purified ab51074 at 1/100 dilution (1.7 μg/ml). Heat mediated antigen retrieval was performed using EDTA Buffer, PH9. Hematoxylin was used to counterstain. ab97051, a Goat Anti-Rabbit IgG H&L (HRP) secondary antibody was used at 1/500 dilution.

PBS instead of the primary antibody was used as the negative control (inset).

This data was developed using the same antibody clone in a different buffer formulation containing PBS, BSA, glycerol, and sodium azide (ab51074).

Immunocytochemistry/ Immunofluorescence - Anti-MMP14 antibody [EP1264Y] - BSA and Azide free (AB271840)
  • ICC/IF

Lab

Immunocytochemistry/ Immunofluorescence - Anti-MMP14 antibody [EP1264Y] - BSA and Azide free (AB271840)

This data was developed using the same antibody clone in a different buffer formulation (ab51074). ab51074 staining MMP14 in wild-type A431 cells (top panel) and MMP14 knockout A431 cells (bottom panel) (ab261890). The cells were fixed with 4% paraformaldehyde (10 min) then permeabilized with 0.1% Triton X-100 for 5 minutes and then blocked with 1% BSA/10% normal goat serum/0.3M glycine in 0.1% PBS-Tween for 1h. The cells were then incubated with ab51074 at 0.2μg/ml concentration and ab7291 (Mouse monoclonal to alpha Tubulin) at 1/1000 dilution overnight at 4°C followed by a further incubation at room temperature for 1h with a goat secondary antibody to rabbit IgG (Alexa Fluor® 488) (ab150081) at 2 μg/ml (shown in green) and a goat secondary antibody to mouse IgG (Alexa Fluor® 594) (ab150120) at 2 μg/ml (shown in red). Nuclear DNA was labelled in blue with DAPI. Image was taken with a confocal microscope (Leica-Microsystems TCS SP8).

Western blot - Anti-MMP14 antibody [EP1264Y] - BSA and Azide free (AB271840)
  • WB

Lab

Western blot - Anti-MMP14 antibody [EP1264Y] - BSA and Azide free (AB271840)

This data was developed using ab51074, the same antibody clone in a different buffer formulation.

Blocking and diluting buffer and concentration : 5% NFDM/TBST.

All lanes:

Western blot - Anti-MMP14 antibody [EP1264Y] (<a href='/en-us/products/primary-antibodies/mmp14-antibody-ep1264y-ab51074'>ab51074</a>) at 1/2000 dilution

All lanes:

Human lung tissue lysate at 20 µg

Secondary

All lanes:

Western blot - Goat Anti-Rabbit IgG H&L (HRP) (<a href='/en-us/products/secondary-antibodies/goat-rabbit-igg-h-l-hrp-ab97051'>ab97051</a>) at 1/20000 dilution

Observed band size: 66 kDa

false

Exposure time: 40s

Immunocytochemistry/ Immunofluorescence - Anti-MMP14 antibody [EP1264Y] - BSA and Azide free (AB271840)
  • ICC/IF

Lab

Immunocytochemistry/ Immunofluorescence - Anti-MMP14 antibody [EP1264Y] - BSA and Azide free (AB271840)

ab51074 staining MMP14 in HT-1080 (human fibrosarcoma epithelial cell) cells by ICC/IF (Immunocytochemistry/Immunofluorescence).

Cells were fixed with 4% paraformaldehyde and permeabilized with 0.1% Triton X-100. Samples were incubated with primary antibody at 1/1000 dilution (0.2 μg/ml). An Alexa Fluor® 488 Goat anti-rabbit (ab150077) was used as the secondary antibody at 1/1000 dilution (2 μg/ml). Anti-alpha Tubulin antibody [DM1A] - Microtubule Marker (Alexa Fluor® 594, ab195889) was used as the counterstain antibody at 1/200 dilution (2.5 μg/ml). DAPI was used as a nuclear counterstain. Confocal image showing cytoplasmic and weakly membranous staining in HT-1080 cell line.

Negative control (bottom panels) : MCF7 PMID : 19208838.

This data was developed using the same antibody clone in a different buffer formulation containing PBS, BSA, glycerol, and sodium azide (ab51074).

Flow Cytometry (Intracellular) - Anti-MMP14 antibody [EP1264Y] - BSA and Azide free (AB271840)
  • Flow Cyt (Intra)

Lab

Flow Cytometry (Intracellular) - Anti-MMP14 antibody [EP1264Y] - BSA and Azide free (AB271840)

Intracellular Flow Cytometry analysis of MCF7 (Human breast adenocarcinoma epithelial cell, Left) / HT-1080 (Human fibrosarcoma epithelial cell, Right) cells labeling MMP14 with ab51074 at 1/200 dilution (0.1 μg) (red). Goat anti-rabbit IgG (Alexa Fluor® 488, ab150077) was used as the secondary antibody at 1/2000 dilution. Rabbit monoclonal IgG (ab172730) / black was used as the isotype control. Cells incubated with secondary antibody only (blue) was used as the unlabeled control. Gated on viable cells.

Positive control (Right panel) : HT-1080 cells.

Negative control (Left panel) : MCF7 cells.

This data was developed using the same antibody clone in a different buffer formulation containing PBS, BSA, glycerol, and sodium azide (ab51074).

Immunoprecipitation - Anti-MMP14 antibody [EP1264Y] - BSA and Azide free (AB271840)
  • IP

Unknown

Immunoprecipitation - Anti-MMP14 antibody [EP1264Y] - BSA and Azide free (AB271840)

ab51074 (purified) at 1/20 dilution (2 μg) immunoprecipitating MMP14 in A431 (human epidermoid carcinoma) whole cell lysate.

Lane 1 : A431 whole cell lysate 10ug
Lane 2 : ab51074 + A431 whole cell lysate
Lane 3 : Rabbit monoclonal IgG (ab172730) instead of ab51074 in A431 whole cell lysate

For western blotting, ab131366 VeriBlot for IP (HRP) was used for detection (1/1000).

Blocking and diluting buffer and concentration : 5% NFDM/TBST.

This data was developed using the same antibody clone in a different buffer formulation containing PBS, BSA, glycerol, and sodium azide (ab51074).

All lanes:

Immunoprecipitation - Anti-MMP14 antibody [EP1264Y] (<a href='/en-us/products/primary-antibodies/mmp14-antibody-ep1264y-ab51074'>ab51074</a>)

Predicted band size: 65 kDa

Observed band size: 66 kDa

false

Key facts

Host species

Rabbit

Clonality

Monoclonal

Clone number

EP1264Y

Isotype

IgG

Carrier free

Yes

Reacts with

Mouse, Rat, Human

Applications

Flow Cyt, ICC/IF, IP, WB, IHC-P

applications

Immunogen

The exact immunogen used to generate this antibody is proprietary information.

Reactivity data

{ "title": "Reactivity Data", "filters": { "stats": ["", "Species", "Dilution Info", "Notes"], "tabs": { "all-applications": {"fullname" : "All Applications", "shortname": "All Applications"}, "IP" : {"fullname" : "Immunoprecipitation", "shortname":"IP"}, "WB" : {"fullname" : "Western blot", "shortname":"WB"}, "IHCP" : {"fullname" : "Immunohistochemistry (Formalin/PFA-fixed paraffin-embedded sections)", "shortname":"IHC-P"}, "ICCIF" : {"fullname" : "Immunocytochemistry/ Immunofluorescence", "shortname":"ICC/IF"}, "FlowCyt" : {"fullname" : "Flow Cytometry", "shortname":"Flow Cyt"} }, "product-promise": { "all": "all", "testedAndGuaranteed": "tested", "guaranteed": "expected", "predicted": "predicted", "notRecommended": "not-recommended" } }, "values": { "Human": { "IP-species-checked": "testedAndGuaranteed", "IP-species-dilution-info": "", "IP-species-notes": "<p>For unpurified use at 1/100.</p>", "WB-species-checked": "testedAndGuaranteed", "WB-species-dilution-info": "", "WB-species-notes": "<p>For unpurified use at 1/2000.</p>", "IHCP-species-checked": "testedAndGuaranteed", "IHCP-species-dilution-info": "", "IHCP-species-notes": "<p></p>", "ICCIF-species-checked": "testedAndGuaranteed", "ICCIF-species-dilution-info": "", "ICCIF-species-notes": "<p></p>", "FlowCyt-species-checked": "testedAndGuaranteed", "FlowCyt-species-dilution-info": "", "FlowCyt-species-notes": "<p></p>" }, "Mouse": { "IP-species-checked": "guaranteed", "IP-species-dilution-info": "", "IP-species-notes": "", "WB-species-checked": "testedAndGuaranteed", "WB-species-dilution-info": "", "WB-species-notes": "<p>For unpurified use at 1/2000.</p>", "IHCP-species-checked": "guaranteed", "IHCP-species-dilution-info": "", "IHCP-species-notes": "", "ICCIF-species-checked": "guaranteed", "ICCIF-species-dilution-info": "", "ICCIF-species-notes": "", "FlowCyt-species-checked": "guaranteed", "FlowCyt-species-dilution-info": "", "FlowCyt-species-notes": "" }, "Rat": { "IP-species-checked": "guaranteed", "IP-species-dilution-info": "", "IP-species-notes": "", "WB-species-checked": "testedAndGuaranteed", "WB-species-dilution-info": "", "WB-species-notes": "<p>For unpurified use at 1/2000.</p>", "IHCP-species-checked": "guaranteed", "IHCP-species-dilution-info": "", "IHCP-species-notes": "", "ICCIF-species-checked": "guaranteed", "ICCIF-species-dilution-info": "", "ICCIF-species-notes": "", "FlowCyt-species-checked": "guaranteed", "FlowCyt-species-dilution-info": "", "FlowCyt-species-notes": "" }, "Cow": { "IP-species-checked": "predicted", "IP-species-dilution-info": "", "IP-species-notes": "", "WB-species-checked": "predicted", "WB-species-dilution-info": "", "WB-species-notes": "", "IHCP-species-checked": "predicted", "IHCP-species-dilution-info": "", "IHCP-species-notes": "", "ICCIF-species-checked": "predicted", "ICCIF-species-dilution-info": "", "ICCIF-species-notes": "", "FlowCyt-species-checked": "predicted", "FlowCyt-species-dilution-info": "", "FlowCyt-species-notes": "" } } }

Product details

The mouse and rat recommendation is based on the WB results. This antibody may not be suitable for IHC with mouse or rat samples.

ab271840 is the carrier-free version of ab51074.

Patented technology
Our RabMAb® technology is a patented hybridoma-based technology for making rabbit monoclonal antibodies. For details on our patents, please refer to RabMAb® patents.

What are the advantages of a recombinant monoclonal antibody?
This product is a recombinant monoclonal antibody, which offers several advantages including:

  • - High batch-to-batch consistency and reproducibility
  • - Improved sensitivity and specificity
  • - Long-term security of supply
  • - Animal-free batch production

For more information, read more on recombinant antibodies.

Conjugation ready
Our carrier-free antibodies are typically supplied in a PBS-only formulation, purified and free of BSA, sodium azide and glycerol. This conjugation-ready format is designed for use with fluorochromes, metal isotopes, oligonucleotides, and enzymes, which makes them ideal for antibody labelling, functional and cell-based assays, flow-based assays (e.g. mass cytometry) and Multiplex Imaging applications.

Use our conjugation kits for antibody conjugates that are ready-to-use in as little as 20 minutes with 1 minute hands-on-time and 100% antibody recovery: available for fluorescent dyes, HRP, biotin and gold.

Compatibility
This product is compatible with the Maxpar® Antibody Labeling Kit from Fluidigm, without the need for antibody preparation. Maxpar® is a trademark of Fluidigm Canada Inc.

Properties and storage information

Form
Liquid
Purification technique
Affinity purification Protein A
Storage buffer
pH: 7.2 - 7.4 Constituents: PBS
Shipped at conditions
Blue Ice
Appropriate short-term storage conditions
+4°C
Appropriate long-term storage conditions
+4°C
Storage information
Do Not Freeze

Supplementary information

This supplementary information is collated from multiple sources and compiled automatically.

Matrix metalloproteinase 14 (MMP14) also known as MT1-MMP is a membrane-bound enzyme involved in the breakdown of the extracellular matrix. This protease has a molecular weight of approximately 66 kDa and consists of various structural domains including a catalytic domain and a hinge region. MMP14 is expressed in many tissues including the stromal and cancer cells where it facilitates cell migration and tissue remodeling.
Biological function summary

MMP14 influences extracellular matrix degradation enabling cellular invasion and migration. It exists as a part of macromolecular complexes at the cell surface interacting with other metalloproteinases. This interaction assists in the activation of other MMPs such as pro-MMP2 which further amplify matrix remodeling activities. The hinge region of MMP14 lends flexibility allowing it to effectively engage with substrate proteins.

Pathways

MMP14 significantly affects cell signaling and tissue remodeling pathways. One critical pathway involves the activation of pro-MMP2 which is dependent on MMP14's proteolytic activity. MMP14 also plays a role in the regulation of cell proliferation and apoptosis through its interaction with proteins such as TIMP-2. This relationship between MMP14 and other regulatory proteins emphasizes its functional integration within major biological networks.

High MMP14 levels correlate strongly with cancer progression especially in cancers such as breast cancer and melanoma. The ability of MMP14 to degrade the extracellular matrix facilitates tumor invasion and metastasis. Through its regulatory activities MMP14 connects with other proteins like VEGF influencing angiogenesis within tumor microenvironments. Additionally MMP14 involvement in arthritic conditions highlights its role in joint degradation processes worsening the disease through augmented cartilage breakdown.

Product protocols

For this product, it's our understanding that no specific protocols are required. You can visit:

Target data

Endopeptidase that degrades various components of the extracellular matrix such as collagen (PubMed : 8015608). Essential for pericellular collagenolysis and modeling of skeletal and extraskeletal connective tissues during development (By similarity). Activates progelatinase A/MMP2, thereby acting as a positive regulator of cell growth and migration (PubMed : 22065321, PubMed : 8015608). Involved in the formation of the fibrovascular tissues in association with pro-MMP2 (PubMed : 12714657, PubMed : 22065321). May be involved in actin cytoskeleton reorganization by cleaving PTK7 (PubMed : 20837484). Acts as a regulator of Notch signaling by mediating cleavage and inhibition of DLL1 (PubMed : 21572390). Cleaves ADGRB1 to release vasculostatin-40 which inhibits angiogenesis (PubMed : 22330140). Acts as a negative regulator of the GDF15-GFRAL aversive response by mediating cleavage and inactivation of GFRAL (PubMed : 35177851).
See full target information MMP14

Product promise

We are committed to supporting your work with high-quality reagents, and we're here for you every step of the way. In the unlikely event that one of our products does not perform as expected, you're protected by our Product Promise.
For full details, please see our Terms & Conditions

Please note: All products are 'FOR RESEARCH USE ONLY. NOT FOR USE IN DIAGNOSTIC OR THERAPEUTIC PROCEDURES'.

For licensing inquiries, please contact partnerships@abcam.com