JavaScript is disabled in your browser. Please enable JavaScript to view this website.
AB53146

Anti-MMP19 antibody

5

(2 Reviews)

|

(9 Publications)

Rabbit Polyclonal MMP19 antibody. Suitable for WB, IHC-P and reacts with Human samples. Cited in 9 publications. Immunogen corresponding to Synthetic Peptide within Human MMP19 aa 1-100.

View Alternative Names

MMP18, RASI, MMP19, Matrix metalloproteinase-19, MMP-19, Matrix metalloproteinase RASI, Matrix metalloproteinase-18, MMP-18

2 Images
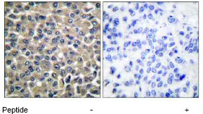
Immunohistochemistry (Formalin/PFA-fixed paraffin-embedded sections) - Anti-MMP19 antibody (AB53146)
  • IHC-P

Unknown

Immunohistochemistry (Formalin/PFA-fixed paraffin-embedded sections) - Anti-MMP19 antibody (AB53146)

Immunohistochemical analysis of paraffin-embedded human breast carcinoma tissue using ab53146 at a dilution of 1/50-1/100. Right hand image : treated with immunising peptide. Left hand image : untreated.

Western blot - Anti-MMP19 antibody (AB53146)
  • WB

Unknown

Western blot - Anti-MMP19 antibody (AB53146)

All lanes:

Western blot - Anti-MMP19 antibody (ab53146) at 1/500 dilution

Lane 1:

Extracts of Huv Ec cells with no peptide

Lane 2:

Extracts of Huv Ec cells with peptide

Predicted band size: 57 kDa

Observed band size: 62 kDa

false

Key facts

Host species

Rabbit

Clonality

Polyclonal

Isotype

IgG

Carrier free

No

Reacts with

Human

Applications

WB, IHC-P

applications

Immunogen

Synthetic Peptide within Human MMP19 aa 1-100. The exact immunogen used to generate this antibody is proprietary information.

Q99542

Reactivity data

{ "title": "Reactivity Data", "filters": { "stats": ["", "Species", "Dilution Info", "Notes"], "tabs": { "all-applications": {"fullname" : "All Applications", "shortname": "All Applications"}, "WB" : {"fullname" : "Western blot", "shortname":"WB"}, "IHCP" : {"fullname" : "Immunohistochemistry (Formalin/PFA-fixed paraffin-embedded sections)", "shortname":"IHC-P"} }, "product-promise": { "all": "all", "testedAndGuaranteed": "tested", "guaranteed": "expected", "predicted": "predicted", "notRecommended": "not-recommended" } }, "values": { "Human": { "WB-species-checked": "testedAndGuaranteed", "WB-species-dilution-info": "", "WB-species-notes": "<p></p>", "IHCP-species-checked": "testedAndGuaranteed", "IHCP-species-dilution-info": "", "IHCP-species-notes": "<p></p>" }, "Rat": { "WB-species-checked": "predicted", "WB-species-dilution-info": "", "WB-species-notes": "", "IHCP-species-checked": "predicted", "IHCP-species-dilution-info": "", "IHCP-species-notes": "" } } }

Properties and storage information

Form
Liquid
Purification technique
Affinity purification Immunogen
Purification notes
ab53146 was affinity purified from rabbit antiserum by affinity chromatography using epitope specific immunogen.
Storage buffer
pH: 7.4 Preservative: 0.02% Sodium azide Constituents: PBS, 50% Glycerol (glycerin, glycerine), 0.87% Sodium chloride
Shipped at conditions
Blue Ice
Appropriate short-term storage conditions
+4°C
Appropriate long-term storage conditions
-20°C
Storage information
Stable for 12 months at -20°C

Supplementary information

This supplementary information is collated from multiple sources and compiled automatically.

MMP19 also known as Matrix Metalloproteinase 19 is an enzyme that plays a role in the breakdown of extracellular matrix components. The protein has a molecular weight of approximately 54 kDa. MMP19 is expressed in various tissues including the skin lung and cartilage. It participates in the remodeling of the extracellular matrix which is significant for processes such as tissue repair and embryonic development.
Biological function summary

MMP19 contributes to cellular processes by modulating the extracellular environment and interacting with other matrix proteins. It does not usually appear as a part of large complexes but may influence the behavior of cell migration proliferation and differentiation. Its action helps in regulating cellular responses to their environment which emphasizes its involvement in maintaining tissue homeostasis.

Pathways

MMP19 is associated with the extracellular matrix degradation pathway which is essential for tissue remodeling. It also interacts with signaling molecules in the MAPK pathway that integrate external signals into various cellular responses. Through these pathways MMP19 relates to other matrix metalloproteinases such as MMP2 and MMP9 contributing to coordinated extracellular matrix turnover.

Involvement of MMP19 is significant in cancer progression and rheumatoid arthritis. In cancer abnormal expression of MMP19 can lead to increased invasion and metastasis by degrading the extracellular matrix barriers. In rheumatoid arthritis MMP19 contributes to the breakdown of joint cartilage exacerbating the disease. MMP19's relationship with proteins like tissue inhibitors of metalloproteinases (TIMPs) further influences these disease processes by balancing its proteolytic activity.

Product protocols

For this product, it's our understanding that no specific protocols are required. You can visit:

Target data

Endopeptidase that degrades various components of the extracellular matrix, such as aggrecan and cartilage oligomeric matrix protein (comp), during development, haemostasis and pathological conditions (arthritic disease). May also play a role in neovascularization or angiogenesis. Hydrolyzes collagen type IV, laminin, nidogen, nascin-C isoform, fibronectin, and type I gelatin.
See full target information MMP19

Publications (9)

Recent publications for all applications. Explore the full list and refine your search

Aging 15:14411-14421 PubMed38059889

2023

MicroRNA 211-5p inhibits cancer cell proliferation and migration in pancreatic cancer by targeting BMP2.

Applications

Unspecified application

Species

Unspecified reactive species

Dan Li,Chen Luo,Jianyong Deng,Yongkang Xu,Shumin Fu,Kan Liu,Jianbing Wu

Molecular genetics and metabolism 138:107371 PubMed36709534

2023

Proteomics identifies novel biomarkers of synovial joint disease in a canine model of mucopolysaccharidosis I.

Applications

Unspecified application

Species

Unspecified reactive species

Chenghao Zhang,Rahul Gawri,Yian Khai Lau,Lynn A Spruce,Hossein Fazelinia,Zhirui Jiang,Stephanie Y Jo,Carla R Scanzello,Wilfried Mai,George R Dodge,Margret L Casal,Lachlan J Smith

Frontiers in oncology 12:967982 PubMed36158683

2022

Identification of macrophage correlated biomarkers to predict the prognosis in patients with intrahepatic cholangiocarcinoma.

Applications

Unspecified application

Species

Unspecified reactive species

Linping Xu,Meimei Yan,Jianpeng Long,Mengmeng Liu,Hui Yang,Wei Li

Oncology reports 46: PubMed33982764

2021

Long non‑coding RNA NEAT1 regulates glioma cell proliferation and apoptosis by competitively binding to microRNA‑324‑5p and upregulating KCTD20 expression.

Applications

Unspecified application

Species

Unspecified reactive species

Jiale Zhang,Yangyang Li,Yuqi Liu,Guangzhi Xu,Yue Hei,Xiaoming Lu,Weiping Liu

European review for medical and pharmacological sciences 23:5260-5269 PubMed31298377

2019

MicroRNA-16 inhibits the proliferation, migration and invasion of non-small cell lung carcinoma cells by down-regulating matrix metalloproteinase-19 expression.

Applications

Unspecified application

Species

Unspecified reactive species

G Tian,S-W Wang,M Song,Y-F Hu,X-N Cao,J-W Ge

Oncology research 25:1555-1566 PubMed28337965

2017

Knockdown of E2F3 Inhibits Proliferation, Migration, and Invasion and Increases Apoptosis in Glioma Cells.

Applications

Unspecified application

Species

Unspecified reactive species

Zhi-Gang Shen,Xiao-Zhou Liu,Chang-Xiu Chen,Jing-Min Lu

Molecular cancer therapeutics 12:2157-66 PubMed23956056

2013

Overexpression of asparagine synthetase and matrix metalloproteinase 19 confers cisplatin sensitivity in nasopharyngeal carcinoma cells.

Applications

Unspecified application

Species

Human

Ran-Yi Liu,Zizheng Dong,Jianguo Liu,Ling Zhou,Wenlin Huang,Sok Kean Khoo,Zhongfa Zhang,David Petillo,Bin Tean Teh,Chao-Nan Qian,Jian-Ting Zhang

Clinical & translational oncology : official publication of the Federation of Spanish Oncology Societies and of the National Cancer Institute of Mexico 15:139-45 PubMed22855183

2012

Co-expression of MMP-14 and MMP-19 predicts poor survival in human glioma.

Applications

Unspecified application

Species

Unspecified reactive species

Liang Wang,Jun Yuan,Yanyang Tu,Xinggang Mao,Shiming He,Guoqiang Fu,Jianhai Zong,Yongsheng Zhang

The Journal of thoracic and cardiovascular surgery 144:459-66 PubMed21955474

2011

Matrix metalloproteinase 14 and 19 expression is associated with thoracic aortic aneurysms.

Applications

Unspecified application

Species

Human

Veronica Jackson,Therese Olsson,Sanela Kurtovic,Lasse Folkersen,Valentina Paloschi,Dick Wågsäter,Anders Franco-Cereceda,Per Eriksson
View all publications

Product promise

We are committed to supporting your work with high-quality reagents, and we're here for you every step of the way. In the unlikely event that one of our products does not perform as expected, you're protected by our Product Promise.
For full details, please see our Terms & Conditions

Please note: All products are 'FOR RESEARCH USE ONLY. NOT FOR USE IN DIAGNOSTIC OR THERAPEUTIC PROCEDURES'.

For licensing inquiries, please contact partnerships@abcam.com