JavaScript is disabled in your browser. Please enable JavaScript to view this website.
AB271866

Anti-MMP2 antibody [EPR1184] - BSA and Azide free

Be the first to review this product! Submit a review

|

(0 Publication)

Rabbit Recombinant Monoclonal MMP2 antibody. Carrier free. Suitable for WB, ICC/IF, Flow Cyt (Intra) and reacts with Mouse, Rat, Human samples.

View Alternative Names

CLG4A, MMP2, 72 kDa type IV collagenase, 72 kDa gelatinase, Gelatinase A, Matrix metalloproteinase-2, TBE-1, MMP-2

9 Images
Immunocytochemistry/ Immunofluorescence - Anti-MMP2 antibody [EPR1184] - BSA and Azide free (AB271866)
  • ICC/IF

Unknown

Immunocytochemistry/ Immunofluorescence - Anti-MMP2 antibody [EPR1184] - BSA and Azide free (AB271866)

Immunofluorescence staining of PC-3 cells with purified ab92536 at a working dilution of 1/250, counter-stained with DAPI. The secondary antibody was Alexa Fluor® 488 goat anti-rabbit (ab150077), used at a dilution of 1/1000. ab7291, a mouse anti-tubulin antibody (1/1000), was used to stain tubulin along with ab150120 (Alexa Fluor® 594 goat anti-mouse, 1/1000), shown in the top right hand panel. The cells were fixed in 4% PFA and permeabilized using 0.1% Triton X 100. The negative controls are shown in bottom middle and right hand panels - for negative control 1, purified ab92536 was used at a dilution of 1/500 followed by an Alexa Fluor® 594 goat anti-mouse antibody (ab150120) at a dilution of 1/500. For negative control 2, ab7291 (mouse anti-tubulin) was used at a dilution of 1/500 followed by an Alexa Fluor® 488 goat anti-rabbit antibody (ab150077) at a dilution of 1/400.

This data was developed using the same antibody clone in a different buffer formulation containing PBS, BSA, glycerol, and sodium azide (ab92536).

Flow Cytometry (Intracellular) - Anti-MMP2 antibody [EPR1184] - BSA and Azide free (AB271866)
  • Flow Cyt (Intra)

Unknown

Flow Cytometry (Intracellular) - Anti-MMP2 antibody [EPR1184] - BSA and Azide free (AB271866)

Overlay histogram showing HeLa cells fixed in 4% PFA and stained with purified ab92536 at a dilution of 1 in 400 (red line). The secondary antibody used was FITC goat anti-rabbit at a dilution of 1 in 500. Rabbit monoclonal IgG was used as an isotype control (black line) and cells incubated in the absence of both primary and secondary antibody were used as a negative control (blue line).

This data was developed using the same antibody clone in a different buffer formulation containing PBS, BSA, glycerol, and sodium azide (ab92536).

Flow Cytometry (Intracellular) - Anti-MMP2 antibody [EPR1184] - BSA and Azide free (AB271866)
  • Flow Cyt (Intra)

Lab

Flow Cytometry (Intracellular) - Anti-MMP2 antibody [EPR1184] - BSA and Azide free (AB271866)

Intracellular Flow Cytometry analysis of PC-3 (human prostate adenocarcinoma) cells labeling MMP2 with purified ab92536 at 1/180 dilution (10ug/ml) (red). Cells were fixed with 4% paraformaldehyde and permeabilised with 90% methanol. A Goat anti rabbit IgG (Alexa Fluor® 488) (1/2000 dilution) was used as the secondary antibody. Rabbit monoclonal IgG (Black) was used as the isotype control, cells without incubation with primary antibody and secondary antibody (Blue) were used as the unlabeled control.

This data was developed using the same antibody clone in a different buffer formulation containing PBS, BSA, glycerol, and sodium azide (ab92536).

Western blot - Anti-MMP2 antibody [EPR1184] - BSA and Azide free (AB271866)
  • WB

Supplier Data

Western blot - Anti-MMP2 antibody [EPR1184] - BSA and Azide free (AB271866)

This data was developed using the same antibody clone in a different buffer formulation containing PBS, BSA, glycerol, and sodium azide (ab92536).

The 72 KDa band is pro-MMP2 and the 69 KDa band is active-MMP2 reported by PMID 11489818 and 22190701.

Blocking and diluting buffer and concentration : 5% NFDM/TBST.

This antibody shows low affinity in detecting mouse liver and HepG2 lysates which are positive for MMP2 reported by PMID 24096707 and 24297510.

All lanes:

Western blot - Anti-MMP2 antibody [EPR1184] (<a href='/en-us/products/primary-antibodies/mmp2-antibody-epr1184-ab92536'>ab92536</a>) at 1/1000 dilution

Lane 1:

L6 (Rat skeletal muscle myoblast) whole cell lysates prepared in 1%SDS Hot lysis method at 20 µg

Lane 2:

Mouse liver lysates prepared in RIPA lysis method at 20 µg

Lane 3:

Mouse liver lysates prepared in 1%SDS Hot lysis method at 20 µg

Lane 4:

Raw264.7 (Mouse Abelson murine leukemia virus-induced tumor macrophage) whole cell lysates prepared in RIPA lysis method at 20 µg

Lane 5:

Raw264.7 (Mouse Abelson murine leukemia virus-induced tumor macrophage) whole cell lysates prepared in 1%SDS Hot lysis method at 20 µg

Lane 6:

HepG2 (Human hepatocellular carcinoma epithelial cell) whole cell lysates prepared in RIPA lysis method at 20 µg

Lane 7:

HepG2 (Human hepatocellular carcinoma epithelial cell) whole cell lysates prepared in 1%SDS Hot lysis method at 20 µg

Secondary

All lanes:

Western blot - Goat Anti-Rabbit IgG H&L (HRP) (<a href='/en-us/products/secondary-antibodies/goat-rabbit-igg-h-l-hrp-ab97051'>ab97051</a>) at 1/20000 dilution

Predicted band size: 73 kDa

Observed band size: 69 kDa,72 kDa

false

Exposure time: 10s

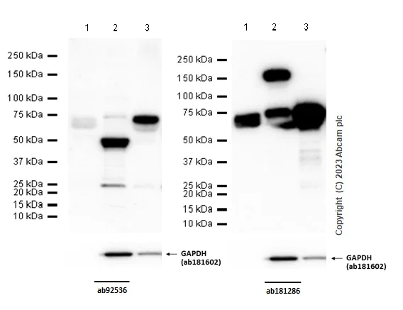
Western blot - Anti-MMP2 antibody [EPR1184] - BSA and Azide free (AB271866)
  • WB

Lab

Western blot - Anti-MMP2 antibody [EPR1184] - BSA and Azide free (AB271866)

This data was developed using the same antibody clone in a different buffer formulation containing PBS, BSA, glycerol, and sodium azide (ab92536). Blocking and diluting buffer and concentration : 5% NFDM /TBST. ab181602 was used as GAPDH loading control. Compared with ab92536, ab181286 has higher sensitivity. We recommend ab181286 as an alternative for testing MMP2 in western blot.

Lanes 1 - 5:

Western blot - Anti-MMP2 antibody [EPR1184] (<a href='/en-us/products/primary-antibodies/mmp2-antibody-epr1184-ab92536'>ab92536</a>) at 1/1000 dilution

Lanes 1 - 5:

Western blot - Anti-MMP2 antibody [EPR17003-25] (<a href='/en-us/products/primary-antibodies/mmp2-antibody-epr17003-25-ab181286'>ab181286</a>)

Lane 1:

HT-1080 (Human fibrosarcoma epithelial cell) whole cell lysate at 20 µg

Lane 2:

Untreated HepG2 (Human hepatocellular carcinoma epithelial cell) whole cell lysate at 20 µg

Lane 3:

HepG2 (Human hepatocellular carcinoma epithelial cell) treated with 300ng/ml BFA for 24 hours whole cell lysate at 20 µg

Lane 4:

Huh7 (Human hepatocellular carcinoma epithelial cell) whole cell lysate at 20 µg

Lane 5:

U-87 MG (Human glioblastoma-astrocytoma epithelial cell) whole cell lysate at 20 µg

Secondary

All lanes:

Goat Anti-Rabbit IgG (HRP) with minimal cross-reactivity with human IgG at 1/2000 dilution

Predicted band size: 73 kDa

false

Exposure time: 60s

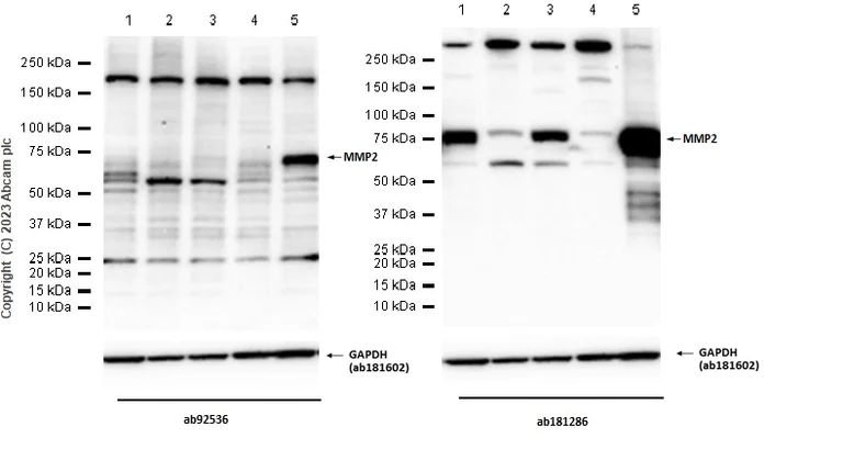
Western blot - Anti-MMP2 antibody [EPR1184] - BSA and Azide free (AB271866)
  • WB

Lab

Western blot - Anti-MMP2 antibody [EPR1184] - BSA and Azide free (AB271866)

This data was developed using the same antibody clone in a different buffer formulation containing PBS, BSA, glycerol, and sodium azide (ab92536). Blocking and diluting buffer and concentration : 5% NFDM/TBST. ab181602 was used as a GAPDH loading control. Compared with ab92536, ab181286 has higher sensitivity. We recommend ab181286 as an alternative for testing MMP2 in western blot.

Lanes 1 - 3:

Western blot - Anti-MMP2 antibody [EPR1184] (<a href='/en-us/products/primary-antibodies/mmp2-antibody-epr1184-ab92536'>ab92536</a>) at 1/1000 dilution

Lanes 1 - 3:

Western blot - Anti-MMP2 antibody [EPR17003-25] (<a href='/en-us/products/primary-antibodies/mmp2-antibody-epr17003-25-ab181286'>ab181286</a>)

Lane 1:

Human plasma tissue lysate at 20 µg

Lane 2:

Human brain tissue lysate at 20 µg

Lane 3:

Human breast tissue lysate at 20 µg

Secondary

All lanes:

Goat Anti-Rabbit IgG (HRP) with minimal cross-reactivity with human IgG at 1/2000 dilution

Predicted band size: 73 kDa

Observed band size: 69 kDa,72 kDa

false

Exposure time: 60s

Western blot - Anti-MMP2 antibody [EPR1184] - BSA and Azide free (AB271866)
  • WB

Unknown

Western blot - Anti-MMP2 antibody [EPR1184] - BSA and Azide free (AB271866)

This data was developed using the same antibody clone in a different buffer formulation containing PBS, BSA, glycerol, and sodium azide (ab92536).

All lanes:

Western blot - Anti-MMP2 antibody [EPR1184] (<a href='/en-us/products/primary-antibodies/mmp2-antibody-epr1184-ab92536'>ab92536</a>) at 1/1000 dilution

Lane 1:

L6 cell lysate at 10 µg

Lane 2:

Fetal heart lysate at 10 µg

Lane 3:

NIH/3T3 cell lysate at 10 µg

Secondary

All lanes:

HRP labelled goat anti-rabbit at 1/2000 dilution

Predicted band size: 73 kDa

false

Western blot - Anti-MMP2 antibody [EPR1184] - BSA and Azide free (AB271866)
  • WB

Lab

Western blot - Anti-MMP2 antibody [EPR1184] - BSA and Azide free (AB271866)

This data was developed using the same antibody clone in a different buffer formulation containing PBS, BSA, glycerol, and sodium azide (ab92536).

Blocking buffer : 5% NFDM/TBST
Dilution buffer : 5% NFDM/TBST

72kDa : propeptide; 64kDa : active form

All lanes:

Western blot - Anti-MMP2 antibody [EPR1184] (<a href='/en-us/products/primary-antibodies/mmp2-antibody-epr1184-ab92536'>ab92536</a>) at 1/5000 dilution

All lanes:

human skin at 10 µg

Secondary

All lanes:

HRP goat anti-rabbit IgG (H+L) at 1/1000 dilution

Predicted band size: 73 kDa

Observed band size: 64 kDa,72 kDa

false

Western blot - Anti-MMP2 antibody [EPR1184] - BSA and Azide free (AB271866)
  • WB

Lab

Western blot - Anti-MMP2 antibody [EPR1184] - BSA and Azide free (AB271866)

This data was developed using the same antibody clone in a different buffer formulation containing PBS, BSA, glycerol, and sodium azide (ab92536).

Blocking buffer : 5% NFDM/TBST
Dilution buffer : 5% NFDM/TBST

72kDa : propeptide; 64kDa : active form

All lanes:

Western blot - Anti-MMP2 antibody [EPR1184] (<a href='/en-us/products/primary-antibodies/mmp2-antibody-epr1184-ab92536'>ab92536</a>) at 1/10000 dilution

Lane 1:

L6 cell lysate at 20 µg

Lane 2:

NIH/3T3 cell lysate at 20 µg

Secondary

All lanes:

HRP goat anti-rabbit IgG (H+L) at 1/1000 dilution

Predicted band size: 73 kDa

Observed band size: 64 kDa,72 kDa

false

Key facts

Host species

Rabbit

Clonality

Monoclonal

Clone number

EPR1184

Isotype

IgG

Carrier free

Yes

Reacts with

Human

Applications

ICC/IF, WB, Flow Cyt (Intra)

applications

Immunogen

The exact immunogen used to generate this antibody is proprietary information.

Specificity

In Western Blot, this product typically gives a weaker signal in some hepatocarcinoma like HepG2, MHCC97L (PMID: 33184263) et al. Please use recommended positive control when testing these cells.

Compared with ab92536, ab181286 has higher sensitivity. We recommend ab181286 as an alternative for testing MMP2 in western blot.

This antibody shows low affinity in detecting mouse liver and HepG2 lysates which are positive for MMP2 reported by PMID 24096707 and 24297510.

Reactivity data

{ "title": "Reactivity Data", "filters": { "stats": ["", "Species", "Dilution Info", "Notes"], "tabs": { "all-applications": {"fullname" : "All Applications", "shortname": "All Applications"}, "WB" : {"fullname" : "Western blot", "shortname":"WB"}, "IHCP" : {"fullname" : "Immunohistochemistry (Formalin/PFA-fixed paraffin-embedded sections)", "shortname":"IHC-P"}, "ICCIF" : {"fullname" : "Immunocytochemistry/ Immunofluorescence", "shortname":"ICC/IF"}, "FlowCytIntra" : {"fullname" : "Flow Cytometry (Intracellular)", "shortname":"Flow Cyt (Intra)"} }, "product-promise": { "all": "all", "testedAndGuaranteed": "tested", "guaranteed": "expected", "predicted": "predicted", "notRecommended": "not-recommended" } }, "values": { "Human": { "WB-species-checked": "testedAndGuaranteed", "WB-species-dilution-info": "", "WB-species-notes": "<p>For Lysate preparation protocol, please refer to the protocol <a href=\"../../technical-resources/protocols/lysate-preparation-for-western-blot\" tabindex=\"-1\">here.</a></p><p>Compared with <a href='/en-us/products/primary-antibodies/mmp2-antibody-epr1184-ab92536'>ab92536</a>, <a href='/en-us/products/primary-antibodies/mmp2-antibody-epr17003-25-ab181286'>ab181286</a> has higher sensitivity. We recommend <a href='/en-us/products/primary-antibodies/mmp2-antibody-epr17003-25-ab181286'>ab181286</a> as an alternative for testing MMP2 in western blot.</p>", "IHCP-species-checked": "notRecommended", "IHCP-species-dilution-info": "", "IHCP-species-notes": "<p></p>", "ICCIF-species-checked": "testedAndGuaranteed", "ICCIF-species-dilution-info": "", "ICCIF-species-notes": "<p></p>", "FlowCytIntra-species-checked": "testedAndGuaranteed", "FlowCytIntra-species-dilution-info": "", "FlowCytIntra-species-notes": "<p><a href='/en-us/products/primary-antibodies/rabbit-igg-monoclonal-epr25a-isotype-control-ab172730'>ab172730</a> - Rabbit monoclonal IgG, is suitable for use as an isotype control with this antibody.</p>" }, "Mouse": { "WB-species-checked": "testedAndGuaranteed", "WB-species-dilution-info": "", "WB-species-notes": "<p>For Lysate preparation protocol, please refer to the protocol <a href=\"../../technical-resources/protocols/lysate-preparation-for-western-blot\" tabindex=\"-1\">here.</a></p><p>Compared with <a href='/en-us/products/primary-antibodies/mmp2-antibody-epr1184-ab92536'>ab92536</a>, <a href='/en-us/products/primary-antibodies/mmp2-antibody-epr17003-25-ab181286'>ab181286</a> has higher sensitivity. We recommend <a href='/en-us/products/primary-antibodies/mmp2-antibody-epr17003-25-ab181286'>ab181286</a> as an alternative for testing MMP2 in western blot.</p>", "IHCP-species-checked": "notRecommended", "IHCP-species-dilution-info": "", "IHCP-species-notes": "", "ICCIF-species-checked": "guaranteed", "ICCIF-species-dilution-info": "", "ICCIF-species-notes": "", "FlowCytIntra-species-checked": "guaranteed", "FlowCytIntra-species-dilution-info": "", "FlowCytIntra-species-notes": "" }, "Rat": { "WB-species-checked": "testedAndGuaranteed", "WB-species-dilution-info": "", "WB-species-notes": "<p>For Lysate preparation protocol, please refer to the protocol <a href=\"../../technical-resources/protocols/lysate-preparation-for-western-blot\" tabindex=\"-1\">here.</a></p><p>Compared with <a href='/en-us/products/primary-antibodies/mmp2-antibody-epr1184-ab92536'>ab92536</a>, <a href='/en-us/products/primary-antibodies/mmp2-antibody-epr17003-25-ab181286'>ab181286</a> has higher sensitivity. We recommend <a href='/en-us/products/primary-antibodies/mmp2-antibody-epr17003-25-ab181286'>ab181286</a> as an alternative for testing MMP2 in western blot.</p>", "IHCP-species-checked": "notRecommended", "IHCP-species-dilution-info": "", "IHCP-species-notes": "", "ICCIF-species-checked": "guaranteed", "ICCIF-species-dilution-info": "", "ICCIF-species-notes": "", "FlowCytIntra-species-checked": "guaranteed", "FlowCytIntra-species-dilution-info": "", "FlowCytIntra-species-notes": "" } } }

Product details

ab271866 is the carrier-free version of ab92536.

Patented technology
Our RabMAb® technology is a patented hybridoma-based technology for making rabbit monoclonal antibodies. For details on our patents, please refer to RabMAb® patents.

What are the advantages of a recombinant monoclonal antibody?
This product is a recombinant monoclonal antibody, which offers several advantages including:

  • - High batch-to-batch consistency and reproducibility
  • - Improved sensitivity and specificity
  • - Long-term security of supply
  • - Animal-free batch production

For more information, read more on recombinant antibodies.

Conjugation ready
Our carrier-free antibodies are typically supplied in a PBS-only formulation, purified and free of BSA, sodium azide and glycerol. This conjugation-ready format is designed for use with fluorochromes, metal isotopes, oligonucleotides, and enzymes, which makes them ideal for antibody labelling, functional and cell-based assays, flow-based assays (e.g. mass cytometry) and Multiplex Imaging applications.

Use our conjugation kits for antibody conjugates that are ready-to-use in as little as 20 minutes with 1 minute hands-on-time and 100% antibody recovery: available for fluorescent dyes, HRP, biotin and gold.

Compatibility
This product is compatible with the Maxpar® Antibody Labeling Kit from Fluidigm, without the need for antibody preparation. Maxpar® is a trademark of Fluidigm Canada Inc.

Properties and storage information

Form
Liquid
Purification technique
Affinity purification Protein A
Storage buffer
pH: 7.2 - 7.4 Constituents: PBS
Shipped at conditions
Blue Ice
Appropriate short-term storage conditions
+4°C
Appropriate long-term storage conditions
+4°C
Storage information
Do Not Freeze

Supplementary information

This supplementary information is collated from multiple sources and compiled automatically.

The MMP-2 protein also known as matrix metalloproteinase-2 or gelatinase A is an enzyme involved in the breakdown of extracellular matrix components. It plays a critical role in tissue remodeling and cell migration. Comprised of a molecular weight of approximately 72 kDa this metalloproteinase is secreted as an inactive proenzyme that requires activation. MMP2 is expressed in various tissues including the brain heart and blood vessels where it contributes to normal physiological processes and pathological conditions.
Biological function summary

Matrix metalloproteinase-2 is mainly involved in the degradation of type IV and V collagens gelatin and fibronectin. As part of the metalloproteinase family it works alongside other MMPs to maintain tissue homeostasis and repair. MMP-2 forms part of a complex network that ensures the timely degradation of matrix components balancing synthesis and breakdown. It remains regulated by tissue inhibitors of metalloproteinases (TIMPs) preventing excessive degradation that could lead to tissue damage.

Pathways

MMP-2 plays a significant role within the extracellular matrix (ECM) remodeling and angiogenesis pathways. It interacts with various proteins including integrins and TIMP-2 to modulate cellular behaviors such as migration and invasion. MMP-2 contributes to processes like wound healing and embryonic development through its involvement in ECM degradation and new tissue formation.

Matrix metalloproteinase-2 is linked to cancer progression and cardiovascular diseases. In cancer abnormal MMP-2 activity facilitates tumor invasion and metastasis by breaking down matrix barriers. Increased MMP-2 expression associates with poor prognosis in cancers like breast and prostate. In cardiovascular diseases such as atherosclerosis it contributes to plaque destabilization and vascular remodeling. The imbalance in MMP-2 activity and its regulation by proteins like TIMP-1 are involved in the pathology of these disorders.

Product protocols

For this product, it's our understanding that no specific protocols are required. You can visit:

Target data

Ubiquitinous metalloproteinase that is involved in diverse functions such as remodeling of the vasculature, angiogenesis, tissue repair, tumor invasion, inflammation, and atherosclerotic plaque rupture. As well as degrading extracellular matrix proteins, can also act on several nonmatrix proteins such as big endothelial 1 and beta-type CGRP promoting vasoconstriction. Also cleaves KISS at a Gly-|-Leu bond. Appears to have a role in myocardial cell death pathways. Contributes to myocardial oxidative stress by regulating the activity of GSK3beta. Cleaves GSK3beta in vitro. Involved in the formation of the fibrovascular tissues in association with MMP14.. PEX, the C-terminal non-catalytic fragment of MMP2, possesses anti-angiogenic and anti-tumor properties and inhibits cell migration and cell adhesion to FGF2 and vitronectin. Ligand for integrinv/beta3 on the surface of blood vessels.. Isoform 2. Mediates the proteolysis of CHUK/IKKA and initiates a primary innate immune response by inducing mitochondrial-nuclear stress signaling with activation of the pro-inflammatory NF-kappaB, NFAT and IRF transcriptional pathways.
See full target information MMP2

Product promise

We are committed to supporting your work with high-quality reagents, and we're here for you every step of the way. In the unlikely event that one of our products does not perform as expected, you're protected by our Product Promise.
For full details, please see our Terms & Conditions

Please note: All products are 'FOR RESEARCH USE ONLY. NOT FOR USE IN DIAGNOSTIC OR THERAPEUTIC PROCEDURES'.

For licensing inquiries, please contact partnerships@abcam.com