JavaScript is disabled in your browser. Please enable JavaScript to view this website.
AB181286

Anti-MMP2 antibody [EPR17003-25]

Be the first to review this product! Submit a review

|

(39 Publications)

Rabbit Recombinant Monoclonal MMP2 antibody. Suitable for IP, WB and reacts with Human, Mouse, Rat samples. Cited in 39 publications.

View Alternative Names

CLG4A, MMP2, 72 kDa type IV collagenase, 72 kDa gelatinase, Gelatinase A, Matrix metalloproteinase-2, TBE-1, MMP-2

4 Images
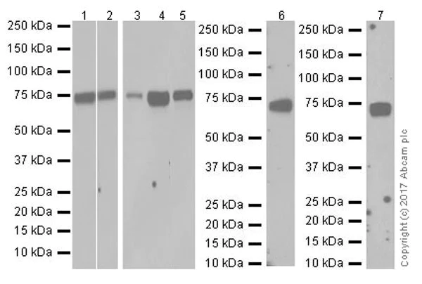
Western blot - Anti-MMP2 antibody [EPR17003-25] (AB181286)
  • WB

Supplier Data

Western blot - Anti-MMP2 antibody [EPR17003-25] (AB181286)

Exposure time : Lanes 1-2 : 3 minutes; Lanes 3-5 : 10 seconds; Lanes 6-7 : 30 seconds.

Blocking/Dilution buffer : 5% NFDM/TBST.

Lanes 1 - 5:

Western blot - Anti-MMP2 antibody [EPR17003-25] (ab181286) at 1/1000 dilution

Lanes 6 - 7:

Western blot - Anti-MMP2 antibody [EPR17003-25] (ab181286) at 1/2000 dilution

Lane 1:

Mouse plasma lysate at 20 µg

Lane 2:

Rat serum lysate at 20 µg

Lane 3:

Mouse lung lysate at 20 µg

Lane 4:

Rat plasma lysate at 20 µg

Lane 5:

Rat lung lysate at 20 µg

Lane 6:

HT1080 (human fibrosarcoma cell line) whole cell lysate at 10 µg

Lane 7:

Human plasma lysate at 10 µg

Secondary

All lanes:

Goat Anti-Rabbit IgG Peroxidase Conjugate, specific to the non-reduced form of IgG at 1/10000 dilution

Predicted band size: 73 kDa

Observed band size: 72 kDa

false

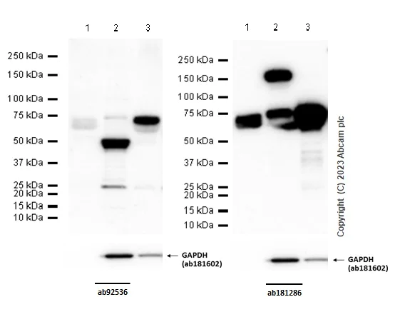
Western blot - Anti-MMP2 antibody [EPR17003-25] (AB181286)
  • WB

Lab

Western blot - Anti-MMP2 antibody [EPR17003-25] (AB181286)

Blocking and diluting buffer and concentration : 5% NFDM /TBST. ab181602 was used as GAPDH loading control. Compared with ab92536, ab181286 has higher sensitivity. We recommend ab181286 as an alternative for testing MMP2 in western blot.

Lanes 1 - 5:

Western blot - Anti-MMP2 antibody [EPR1184] (<a href='/en-us/products/primary-antibodies/mmp2-antibody-epr1184-ab92536'>ab92536</a>) at 1/1000 dilution

Lanes 1 - 5:

Western blot - Anti-MMP2 antibody [EPR17003-25] (ab181286)

Lane 1:

HT-1080 (Human fibrosarcoma epithelial cell) whole cell lysate at 20 µg

Lane 2:

Untreated HepG2 (Human hepatocellular carcinoma epithelial cell) whole cell lysate at 20 µg

Lane 3:

HepG2 (Human hepatocellular carcinoma epithelial cell) treated with 300ng/ml BFA for 24 hours whole cell lysate at 20 µg

Lane 4:

Huh7 (Human hepatocellular carcinoma epithelial cell) whole cell lysate at 20 µg

Lane 5:

U-87 MG (Human glioblastoma-astrocytoma epithelial cell) whole cell lysate at 20 µg

Secondary

All lanes:

Goat Anti-Rabbit IgG (HRP) with minimal cross-reactivity with human IgG at 1/2000 dilution

Predicted band size: 73 kDa

false

Exposure time: 60s

Western blot - Anti-MMP2 antibody [EPR17003-25] (AB181286)
  • WB

Lab

Western blot - Anti-MMP2 antibody [EPR17003-25] (AB181286)

Blocking and diluting buffer and concentration : 5% NFDM/TBST. ab181602 was used as a GAPDH loading control. Compared with ab92536, ab181286 has higher sensitivity. We recommend ab181286 as an alternative for testing MMP2 in western blot.

Lanes 1 - 3:

Western blot - Anti-MMP2 antibody [EPR1184] (<a href='/en-us/products/primary-antibodies/mmp2-antibody-epr1184-ab92536'>ab92536</a>) at 1/1000 dilution

Lanes 1 - 3:

Western blot - Anti-MMP2 antibody [EPR17003-25] (ab181286)

Lane 1:

Human plasma tissue lysate at 20 µg

Lane 2:

Human brain tissue lysate at 20 µg

Lane 3:

Human breast tissue lysate at 20 µg

Secondary

All lanes:

Goat Anti-Rabbit IgG (HRP) with minimal cross-reactivity with human IgG at 1/2000 dilution

Predicted band size: 73 kDa

Observed band size: 69 kDa,72 kDa

false

Exposure time: 60s

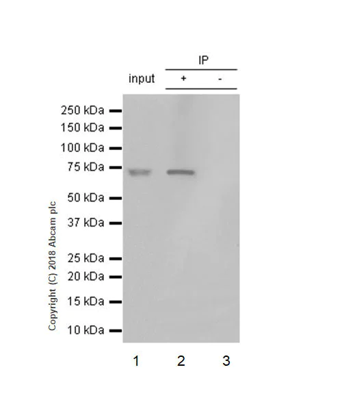
Immunoprecipitation - Anti-MMP2 antibody [EPR17003-25] (AB181286)
  • IP

Unknown

Immunoprecipitation - Anti-MMP2 antibody [EPR17003-25] (AB181286)

MMP2 was immunoprecipitated from 0.35 mg HT1080 (human fibrosarcoma cell line) whole cell lysate with ab181286 at 1/30 dilution. Western blot was performed from the immunoprecipitate using ab181286 at 1/1000 dilution. VeriBlot for IP Detection Reagent (HRP) (ab131366), was used for detection at 1/10000 dilution.

Lane 1 : HT1080 whole cell lysate 10 μg (Input).
Lane 2 : ab181286 IP in HT1080 whole cell lysate (+).
Lane 3 : Rabbit monoclonal IgG (ab172730) instead of ab181286 in HT1080 whole cell lysate (-).

Blocking and dilution buffer and concentration : 5% NFDM/TBST.

Exposure time : 3 minutes.

All lanes:

Immunoprecipitation - Anti-MMP2 antibody [EPR17003-25] (ab181286)

Predicted band size: 73 kDa

false

  • Carrier free

    Anti-MMP2 antibody [EPR17003-25] - BSA and Azide free

Key facts

Host species

Rabbit

Clonality

Monoclonal

Clone number

EPR17003-25

Isotype

IgG

Carrier free

No

Reacts with

Mouse, Rat, Human

Applications

WB, IP

applications

Immunogen

The exact immunogen used to generate this antibody is proprietary information.

Reactivity data

{ "title": "Reactivity Data", "filters": { "stats": ["", "Species", "Dilution Info", "Notes"], "tabs": { "all-applications": {"fullname" : "All Applications", "shortname": "All Applications"}, "IP" : {"fullname" : "Immunoprecipitation", "shortname":"IP"}, "WB" : {"fullname" : "Western blot", "shortname":"WB"} }, "product-promise": { "all": "all", "testedAndGuaranteed": "tested", "guaranteed": "expected", "predicted": "predicted", "notRecommended": "not-recommended" } }, "values": { "Human": { "IP-species-checked": "testedAndGuaranteed", "IP-species-dilution-info": "1/30", "IP-species-notes": "<p></p>", "WB-species-checked": "testedAndGuaranteed", "WB-species-dilution-info": "1/1000", "WB-species-notes": "<p></p>" }, "Mouse": { "IP-species-checked": "guaranteed", "IP-species-dilution-info": "", "IP-species-notes": "", "WB-species-checked": "testedAndGuaranteed", "WB-species-dilution-info": "1/1000", "WB-species-notes": "<p></p>" }, "Rat": { "IP-species-checked": "guaranteed", "IP-species-dilution-info": "", "IP-species-notes": "", "WB-species-checked": "testedAndGuaranteed", "WB-species-dilution-info": "1/1000", "WB-species-notes": "<p></p>" } } }

Product details

Patented technology
Our RabMAb® technology is a patented hybridoma-based technology for making rabbit monoclonal antibodies. For details on our patents, please refer to RabMAb® patents.

What are the advantages of a recombinant monoclonal antibody?
This product is a recombinant monoclonal antibody, which offers several advantages including:

  • - High batch-to-batch consistency and reproducibility
  • - Improved sensitivity and specificity
  • - Long-term security of supply
  • - Animal-free batch production

For more information, read more on recombinant antibodies.

Properties and storage information

Form
Liquid
Purification technique
Affinity purification Protein A
Storage buffer
Preservative: 0.01% Sodium azide Constituents: PBS, 40% Glycerol (glycerin, glycerine), 0.05% BSA
Shipped at conditions
Blue Ice
Appropriate short-term storage duration
1-2 weeks
Appropriate short-term storage conditions
+4°C
Appropriate long-term storage conditions
-20°C
Aliquoting information
Upon delivery aliquot
Storage information
Avoid freeze / thaw cycle

Supplementary information

This supplementary information is collated from multiple sources and compiled automatically.

The MMP-2 protein also known as matrix metalloproteinase-2 or gelatinase A is an enzyme involved in the breakdown of extracellular matrix components. It plays a critical role in tissue remodeling and cell migration. Comprised of a molecular weight of approximately 72 kDa this metalloproteinase is secreted as an inactive proenzyme that requires activation. MMP2 is expressed in various tissues including the brain heart and blood vessels where it contributes to normal physiological processes and pathological conditions.
Biological function summary

Matrix metalloproteinase-2 is mainly involved in the degradation of type IV and V collagens gelatin and fibronectin. As part of the metalloproteinase family it works alongside other MMPs to maintain tissue homeostasis and repair. MMP-2 forms part of a complex network that ensures the timely degradation of matrix components balancing synthesis and breakdown. It remains regulated by tissue inhibitors of metalloproteinases (TIMPs) preventing excessive degradation that could lead to tissue damage.

Pathways

MMP-2 plays a significant role within the extracellular matrix (ECM) remodeling and angiogenesis pathways. It interacts with various proteins including integrins and TIMP-2 to modulate cellular behaviors such as migration and invasion. MMP-2 contributes to processes like wound healing and embryonic development through its involvement in ECM degradation and new tissue formation.

Matrix metalloproteinase-2 is linked to cancer progression and cardiovascular diseases. In cancer abnormal MMP-2 activity facilitates tumor invasion and metastasis by breaking down matrix barriers. Increased MMP-2 expression associates with poor prognosis in cancers like breast and prostate. In cardiovascular diseases such as atherosclerosis it contributes to plaque destabilization and vascular remodeling. The imbalance in MMP-2 activity and its regulation by proteins like TIMP-1 are involved in the pathology of these disorders.

Product protocols

For this product, it's our understanding that no specific protocols are required. You can visit:

Target data

Ubiquitinous metalloproteinase that is involved in diverse functions such as remodeling of the vasculature, angiogenesis, tissue repair, tumor invasion, inflammation, and atherosclerotic plaque rupture. As well as degrading extracellular matrix proteins, can also act on several nonmatrix proteins such as big endothelial 1 and beta-type CGRP promoting vasoconstriction. Also cleaves KISS at a Gly-|-Leu bond. Appears to have a role in myocardial cell death pathways. Contributes to myocardial oxidative stress by regulating the activity of GSK3beta. Cleaves GSK3beta in vitro. Involved in the formation of the fibrovascular tissues in association with MMP14.. PEX, the C-terminal non-catalytic fragment of MMP2, possesses anti-angiogenic and anti-tumor properties and inhibits cell migration and cell adhesion to FGF2 and vitronectin. Ligand for integrinv/beta3 on the surface of blood vessels.. Isoform 2. Mediates the proteolysis of CHUK/IKKA and initiates a primary innate immune response by inducing mitochondrial-nuclear stress signaling with activation of the pro-inflammatory NF-kappaB, NFAT and IRF transcriptional pathways.
See full target information MMP2

Publications (39)

Recent publications for all applications. Explore the full list and refine your search

Cells 13: PubMed39451222

2024

Decreased Circulating Gonadotropin-Releasing Hormone Associated with Keratoconus.

Applications

Unspecified application

Species

Unspecified reactive species

Paulina Escandon,Alexander J Choi,Steve Mabry,Sarah E Nicholas,Rebecca L Cunningham,Liam Redden,David A Murphy,Kamran M Riaz,Tina B McKay,Dimitrios Karamichos

Journal of orthopaedic surgery and research 18:848 PubMed37940978

2023

INHBA gene silencing inhibits proliferation, migration, and invasion of osteosarcoma cells by repressing TGF-β signaling pathway activation.

Applications

Unspecified application

Species

Unspecified reactive species

Hongyu Zhang,Yuemei Huang,Qiuting Wen,Yan Li,Lin Guo,Na Ge

Molecular medicine (Cambridge, Mass.) 29:127 PubMed37710176

2023

Quercetin inhibits the metabolism of arachidonic acid by inhibiting the activity of CYP3A4, thereby inhibiting the progression of breast cancer.

Applications

Unspecified application

Species

Unspecified reactive species

Huaming Tang,Yuanli Kuang,Wan Wu,Bing Peng,Qianmei Fu

Folia neuropathologica 61:144-152 PubMed37587889

2023

ADAMTS8 inhibits glioma development in vitro and in vivo.

Applications

Unspecified application

Species

Unspecified reactive species

Baosheng Zhou,Yong Liu,Guangshuo Ma,Xiuyu Wang,Binge Chang,Hongwei Lu,Xuequan Feng

Journal of biochemical and molecular toxicology 37:e23406 PubMed37392398

2023

CircDUS2L (circ_0039908) promotes lung adenocarcinoma progression by upregulating PGAM1 by acting as a miR-590-5p molecular sponge.

Applications

Unspecified application

Species

Unspecified reactive species

Qing Tian,Ying Guo,Jinfeng Liu,Chao Pang,Qiang Wang,Qi Xie,Jianke Li

International journal of molecular sciences 24: PubMed37446016

2023

Accumulation of Renal Fibrosis in Hyperuricemia Rats Is Attributed to the Recruitment of Mast Cells, Activation of the TGF-β1/Smad2/3 Pathway, and Aggravation of Oxidative Stress.

Applications

Unspecified application

Species

Unspecified reactive species

Mingkang Zhang,Ruirui Cui,Yan Zhou,Yanrong Ma,Yongwen Jin,Lina Wang,Wen Kou,Xin'an Wu

The Tohoku journal of experimental medicine 261:57-67 PubMed37286519

2023

JMJD3 is Involved in Intracranial Aneurysm Development by Regulating DLX2 Expression through H3K27me3 Modification.

Applications

Unspecified application

Species

Unspecified reactive species

Xuan Wang,Nan Li,Tong Li

Biology direct 18:25 PubMed37226251

2023

LncRNA XIST facilitates hypertrophy of ligamentum flavum by activating VEGFA-mediated autophagy through sponging miR-302b-3p.

Applications

Unspecified application

Species

Unspecified reactive species

Yanlin Cao,Jianjun Li,Sujun Qiu,Songjia Ni,Yang Duan

Hereditas 160:12 PubMed36949536

2023

Circular RNA circHMCU promotes breast tumorigenesis through miR-4458/PGK1 regulatory cascade.

Applications

Unspecified application

Species

Unspecified reactive species

Shubian Qiu,Lele Zou,Ruimin Qiu,Xin Wang

Annals of thoracic and cardiovascular surgery : official journal of the Association of Thoracic and Cardiovascular Surgeons of Asia 29:11-22 PubMed36575008

2022

Circ_0006220 Contributes to NSCLC Progression through miR-342-3p/GOT2 Axis.

Applications

Unspecified application

Species

Unspecified reactive species

Jichun Tang,Xuan Li,Lili Zhao,Jiajun Hui,Ning Ding
View all publications

Product promise

We are committed to supporting your work with high-quality reagents, and we're here for you every step of the way. In the unlikely event that one of our products does not perform as expected, you're protected by our Product Promise.
For full details, please see our Terms & Conditions

Please note: All products are 'FOR RESEARCH USE ONLY. NOT FOR USE IN DIAGNOSTIC OR THERAPEUTIC PROCEDURES'.

For licensing inquiries, please contact partnerships@abcam.com