JavaScript is disabled in your browser. Please enable JavaScript to view this website.
AB214794

Anti-MMP3 antibody [EP1186Y] - BSA and Azide free

Be the first to review this product! Submit a review

|

(15 Publications)

Rabbit Recombinant Monoclonal MMP3 antibody. Carrier free. Suitable for WB, ICC/IF, IHC-P and reacts with Rat, Mouse, Human samples. Cited in 15 publications.

View Alternative Names

STMY1, MMP3, Stromelysin-1, SL-1, Matrix metalloproteinase-3, Transin-1, MMP-3

5 Images
Immunohistochemistry (Formalin/PFA-fixed paraffin-embedded sections) - Anti-MMP3 antibody [EP1186Y] - BSA and Azide free (AB214794)
  • IHC-P

Unknown

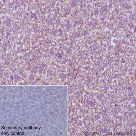
Immunohistochemistry (Formalin/PFA-fixed paraffin-embedded sections) - Anti-MMP3 antibody [EP1186Y] - BSA and Azide free (AB214794)

This IHC data was generated using the same anti-MMP3 antibody clone, EP1186Y, in a different buffer formulation (cat# ab52915).

Immunohistochemical staining of paraffin embedded human liver with purified ab52915 at a working dilution of 1/50. The secondary antibody used is ab97051, a goat anti-rabbit IgG (H&L) at a dilution of 1/500. The sample is counter-stained with hematoxylin. Antigen retrieval was perfomed using Tris-EDTA buffer, pH 9.0. PBS was used instead of the primary antibody as the negative control, and is shown in the inset.

Immunocytochemistry/ Immunofluorescence - Anti-MMP3 antibody [EP1186Y] - BSA and Azide free (AB214794)
  • ICC/IF

Unknown

Immunocytochemistry/ Immunofluorescence - Anti-MMP3 antibody [EP1186Y] - BSA and Azide free (AB214794)

This ICC data was generated using the same anti-MMP3 antibody clone, EP1186Y, in a different buffer formulation (cat# ab52915).

Immunofluorescence staining of HT-29 cells with purified ab52915 at a working dilution of 1/100, counter-stained with DAPI. The secondary antibody was Alexa Fluor® 488 goat anti-rabbit (ab150077), used at a dilution of 1/1000. ab7291, a mouse anti-tubulin antibody (1/1000), was used to stain tubulin along with ab150120 (Alexa Fluor® 594 goat anti-mouse, 1/1000), shown in the top right hand panel. The cells were fixed in 100% methanol and permeabilized using 0.1% Triton X 100. The negative controls are shown in bottom middle and right hand panels - for negative control 1, purified ab52915 was used at a dilution of 1/500 followed by an Alexa Fluor® 594 goat anti-mouse antibody (ab150120) at a dilution of 1/500. For negative control 2, ab7291 (mouse anti-tubulin) was used at a dilution of 1/500 followed by an Alexa Fluor® 488 goat anti-rabbit antibody (ab150077) at a dilution of 1/400.

Immunohistochemistry (Formalin/PFA-fixed paraffin-embedded sections) - Anti-MMP3 antibody [EP1186Y] - BSA and Azide free (AB214794)
  • IHC-P

Unknown

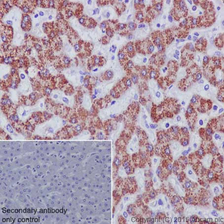
Immunohistochemistry (Formalin/PFA-fixed paraffin-embedded sections) - Anti-MMP3 antibody [EP1186Y] - BSA and Azide free (AB214794)

Immunohistochemical staining of paraffin embedded mouse liver with purified ab52915 at a working dilution of 1/50. The secondary antibody used is ab97051, a goat anti-rabbit IgG (H&L) at a dilution of 1/500. The sample is counter-stained with hematoxylin. Antigen retrieval was perfomed using Tris-EDTA buffer, pH 9.0. PBS was used instead of the primary antibody as the negative control, and is shown in the inset.This data was developed using the same antibody clone in a different buffer formulation containing PBS, BSA, glycerol, and sodium azide (ab52915).

Immunohistochemistry (Formalin/PFA-fixed paraffin-embedded sections) - Anti-MMP3 antibody [EP1186Y] - BSA and Azide free (AB214794)
  • IHC-P

Unknown

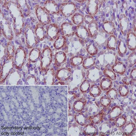
Immunohistochemistry (Formalin/PFA-fixed paraffin-embedded sections) - Anti-MMP3 antibody [EP1186Y] - BSA and Azide free (AB214794)

Immunohistochemical staining of paraffin embedded rat kidney with purified ab52915 at a working dilution of 1/50. The secondary antibody used is ab97051, a goat anti-rabbit IgG (H&L) at a dilution of 1/500. The sample is counter-stained with hematoxylin. Antigen retrieval was perfomed using Tris-EDTA buffer, pH 9.0. PBS was used instead of the primary antibody as the negative control, and is shown in the inset.This data was developed using the same antibody clone in a different buffer formulation containing PBS, BSA, glycerol, and sodium azide (ab52915).

Western blot - Anti-MMP3 antibody [EP1186Y] - BSA and Azide free (AB214794)
  • WB

Lab

Western blot - Anti-MMP3 antibody [EP1186Y] - BSA and Azide free (AB214794)

This data was developed using the same antibody clone in a different buffer formulation (ab52915).

Western blot : Anti-MMP3 antibody [EP1186Y] (ab52915) staining at 1/1000 dilution, shown in green; Mouse anti-CANX [CANX/1543] (ab238078) loading control staining at 1/20000 dilution, shown in magenta. In Western blot, ab52915 was shown to bind specifically to MMP3. A band was observed at 55-60 kDa in wild-type U-87 MG cell lysates with no signal observed at this size in MMP3 knockout cell line. To generate this image, wild-type and MMP3 knockout U-87 MG cell lysates were analysed. First, samples were run on an SDS-PAGE gel then transferred onto a nitrocellulose membrane. Membranes were blocked in 3 % milk in TBS-0.1 % Tween® 20 (TBS-T) before incubation with primary antibodies overnight at 4 °C. Blots were washed four times in TBS-T, incubated with secondary antibodies for 1 h at room temperature, washed again four times then imaged. Secondary antibodies used were Goat anti-Rabbit IgG H&L 800CW and Goat anti-Mouse IgG H&L 680RD at 1/20000 dilution.

All lanes:

Western blot - Anti-MMP3 antibody [EP1186Y] (<a href='/en-us/products/primary-antibodies/mmp3-antibody-ep1186y-ab52915'>ab52915</a>) at 1/1000 dilution

Lane 1:

Wild-type U-87 MG cell lysate at 20 µg

Lane 2:

MMP3 knockout U-87 MG cell lysate at 20 µg

Lane 3:

Wild-type HeLa Treated: IL-1beta (10 ng/mL, 48 h) cell lysate at 20 µg

Lane 4:

Wild-type HeLa Vehicle control: IL-1beta (0 ng/mL, 48 h) cell lysate at 20 µg

Lane 5:

HeLa cell lysate at 20 µg

Lane 6:

MCF7 cell lysate at 20 µg

Secondary

All lanes:

Goat anti-Rabbit IgG H&L 800CW and Goat anti-Mouse IgG H&L 680RD at 1/20000 dilution

Predicted band size: 53 kDa

Observed band size: 55 kDa,60 kDa

false

Key facts

Host species

Rabbit

Clonality

Monoclonal

Clone number

EP1186Y

Isotype

IgG

Carrier free

Yes

Reacts with

Mouse, Rat, Human

Applications

IHC-P, ICC/IF, WB

applications

Immunogen

The exact immunogen used to generate this antibody is proprietary information.

Specificity

79% identities with MMP10

Reactivity data

{ "title": "Reactivity Data", "filters": { "stats": ["", "Species", "Dilution Info", "Notes"], "tabs": { "all-applications": {"fullname" : "All Applications", "shortname": "All Applications"}, "WB" : {"fullname" : "Western blot", "shortname":"WB"}, "ICCIF" : {"fullname" : "Immunocytochemistry/ Immunofluorescence", "shortname":"ICC/IF"}, "IHCP" : {"fullname" : "Immunohistochemistry (Formalin/PFA-fixed paraffin-embedded sections)", "shortname":"IHC-P"} }, "product-promise": { "all": "all", "testedAndGuaranteed": "tested", "guaranteed": "expected", "predicted": "predicted", "notRecommended": "not-recommended" } }, "values": { "Human": { "WB-species-checked": "testedAndGuaranteed", "WB-species-dilution-info": "", "WB-species-notes": "<p></p>", "ICCIF-species-checked": "testedAndGuaranteed", "ICCIF-species-dilution-info": "", "ICCIF-species-notes": "<p></p>", "IHCP-species-checked": "testedAndGuaranteed", "IHCP-species-dilution-info": "", "IHCP-species-notes": "<p>We recommend using a polymer-HRP conjugated secondary antibody. Incubate with <a href='/en-us/products/primary-antibodies/mmp3-antibody-ep1186y-ab52915'>ab52915</a> at 4C overnight.</p>" }, "Mouse": { "WB-species-checked": "testedAndGuaranteed", "WB-species-dilution-info": "", "WB-species-notes": "<p></p>", "ICCIF-species-checked": "guaranteed", "ICCIF-species-dilution-info": "", "ICCIF-species-notes": "", "IHCP-species-checked": "testedAndGuaranteed", "IHCP-species-dilution-info": "", "IHCP-species-notes": "<p>We recommend using a polymer-HRP conjugated secondary antibody. Incubate with <a href='/en-us/products/primary-antibodies/mmp3-antibody-ep1186y-ab52915'>ab52915</a> at 4C overnight.</p>" }, "Rat": { "WB-species-checked": "testedAndGuaranteed", "WB-species-dilution-info": "", "WB-species-notes": "<p></p>", "ICCIF-species-checked": "guaranteed", "ICCIF-species-dilution-info": "", "ICCIF-species-notes": "", "IHCP-species-checked": "testedAndGuaranteed", "IHCP-species-dilution-info": "", "IHCP-species-notes": "<p>We recommend using aa polymer-HRP conjugated secondary antibody. Incubate with <a href='/en-us/products/primary-antibodies/mmp3-antibody-ep1186y-ab52915'>ab52915</a> at 4C overnight.</p>" } } }

Product details

ab214794 is the carrier-free version of ab52915.

Patented technology
Our RabMAb® technology is a patented hybridoma-based technology for making rabbit monoclonal antibodies. For details on our patents, please refer to RabMAb® patents.

What are the advantages of a recombinant monoclonal antibody?
This product is a recombinant monoclonal antibody, which offers several advantages including:

  • - High batch-to-batch consistency and reproducibility
  • - Improved sensitivity and specificity
  • - Long-term security of supply
  • - Animal-free batch production

For more information, read more on recombinant antibodies.

Conjugation ready
Our carrier-free antibodies are typically supplied in a PBS-only formulation, purified and free of BSA, sodium azide and glycerol. This conjugation-ready format is designed for use with fluorochromes, metal isotopes, oligonucleotides, and enzymes, which makes them ideal for antibody labelling, functional and cell-based assays, flow-based assays (e.g. mass cytometry) and Multiplex Imaging applications.

Use our conjugation kits for antibody conjugates that are ready-to-use in as little as 20 minutes with 1 minute hands-on-time and 100% antibody recovery: available for fluorescent dyes, HRP, biotin and gold.

Compatibility
This product is compatible with the Maxpar® Antibody Labeling Kit from Fluidigm, without the need for antibody preparation. Maxpar® is a trademark of Fluidigm Canada Inc.

Properties and storage information

Form
Liquid
Purification technique
Affinity purification Protein A
Storage buffer
pH: 7.2 - 7.4 Constituents: PBS
Shipped at conditions
Blue Ice
Appropriate short-term storage conditions
+4°C
Appropriate long-term storage conditions
+4°C
Storage information
Do Not Freeze

Supplementary information

This supplementary information is collated from multiple sources and compiled automatically.

MMP3 also known as stromelysin-1 is a member of the matrix metalloproteinase (MMP) family. These proteins are zinc-dependent endopeptidases. MMP3 specifically has a molecular weight of approximately 54 kDa and is responsible for degrading extracellular matrix components such as collagen fibronectin and laminin. MMP3 is expressed in various tissues including fibroblasts chondrocytes and endothelial cells. It plays a significant role in tissue remodeling wound healing and potentially aids in the breakdown of cellular matrices.
Biological function summary

MMP3 contributes to multiple physiological and pathological processes. It supports the remodeling of connective tissues and assists in normal developmental processes. MMP3 can work as part of a complex with other MMP proteins which can enhance or inhibit its activity. The balance of MMPs including MMP3 regulates the extracellular matrix turnover and is important for maintaining tissue homeostasis.

Pathways

MMP3 participates in pathways involved in tissue remodeling and inflammatory responses. It is part of cellular pathways regulated by cytokines like interleukin-1 (IL-1) and tumor necrosis factor-alpha (TNF-alpha). These pathways link MMP3 to other proteins such as MMP1 and MMP9 which perform overlapping and distinct roles in matrix degradation during inflammation and tissue repair.

MMP3 is implicated in conditions like arthritis and cardiovascular diseases. MMP3 contributes to cartilage degradation in rheumatoid arthritis and is associated with the breakdown of vascular structures in atherosclerosis. Proteins like MMP9 and MMP13 often interact with MMP3 in these pathological conditions forming a network that exacerbates tissue damage and disease progression.

Product protocols

For this product, it's our understanding that no specific protocols are required. You can visit:

Target data

Metalloproteinase with a rather broad substrate specificity that can degrade fibronectin, laminin, gelatins of type I, III, IV, and V; collagens III, IV, X, and IX, and cartilage proteoglycans. Activates different molecules including growth factors, plasminogen or other matrix metalloproteinases such as MMP9 (PubMed : 11029580, PubMed : 1371271). Once released into the extracellular matrix (ECM), the inactive pro-enzyme is activated by the plasmin cascade signaling pathway (PubMed : 2383557). Acts also intracellularly (PubMed : 22265821). For example, in dopaminergic neurons, gets activated by the serine protease HTRA2 upon stress and plays a pivotal role in DA neuronal degeneration by mediating microglial activation and alpha-synuclein/SNCA cleavage (PubMed : 21330369). In addition, plays a role in immune response and possesses antiviral activity against various viruses such as vesicular stomatitis virus, influenza A virus (H1N1) and human herpes virus 1 (PubMed : 35940311). Mechanistically, translocates from the cytoplasm into the cell nucleus upon virus infection to influence NF-kappa-B activities (PubMed : 35940311).
See full target information MMP3

Publications (15)

Recent publications for all applications. Explore the full list and refine your search

Journal of nanobiotechnology 22:292 PubMed38802882

2024

Effective delivery of miR-150-5p with nucleus pulposus cell-specific nanoparticles attenuates intervertebral disc degeneration.

Applications

Unspecified application

Species

Unspecified reactive species

Hua Jiang,Hongyu Qin,Qinghua Yang,Longao Huang,Xiao Liang,Congyang Wang,Abu Moro,Sheng Xu,Qingjun Wei

eLife 12: PubMed38277211

2024

Association of genetic variation in with adolescent idiopathic scoliosis.

Applications

Unspecified application

Species

Unspecified reactive species

Hao Yu,Anas M Khanshour,Aki Ushiki,Nao Otomo,Yoshinao Koike,Elisabet Einarsdottir,Yanhui Fan,Lilian Antunes,Yared H Kidane,Reuel Cornelia,Rory R Sheng,Yichi Zhang,Jimin Pei,Nick V Grishin,Bret M Evers,Jason Pui Yin Cheung,John A Herring,Chikashi Terao,You-Qiang Song,Christina A Gurnett,Paul Gerdhem,Shiro Ikegawa,Jonathan J Rios,Nadav Ahituv,Carol A Wise

Scientific reports 6:20500 PubMed26846153

2016

Norcantharidin Suppresses Colon Cancer Cell Epithelial-Mesenchymal Transition by Inhibiting the αvβ6-ERK-Ets1 Signaling Pathway.

Applications

Unspecified application

Species

Unspecified reactive species

Cheng Peng,Zequn Li,Zhengchuan Niu,Wei Niu,Zongquan Xu,Huijie Gao,Weibo Niu,JiaYong Wang,Zhaobin He,Chao Gao,Pengfei Lin,Michael Agrez,Zongli Zhang,Jun Niu

Journal of cellular and molecular medicine 20:842-54 PubMed26843424

2016

Paired box 5 is a frequently methylated lung cancer tumour suppressor gene interfering β-catenin signalling and GADD45G expression.

Applications

Unspecified application

Species

Unspecified reactive species

Lijuan Zhao,Shuman Li,Lin Gan,Chunhong Li,Zhu Qiu,Yixiao Feng,Jisheng Li,Lili Li,Chen Li,Weiyan Peng,Can Xu,Zhenyu Wang,Tianli Hui,Guosheng Ren,Qian Tao,Tingxiu Xiang

BMC ophthalmology 15:187 PubMed26714639

2015

Matrix metalloproteinases in the mouse retina: a comparative study of expression patterns and MMP antibodies.

Applications

Unspecified application

Species

Unspecified reactive species

Lies De Groef,Lien Andries,Kim Lemmens,Inge Van Hove,Lieve Moons

PloS one 10:e0131702 PubMed26114879

2015

AIM2 Drives Joint Inflammation in a Self-DNA Triggered Model of Chronic Polyarthritis.

Applications

Unspecified application

Species

Unspecified reactive species

Christopher Jakobs,Sven Perner,Veit Hornung

PLoS biology 12:e1001881 PubMed24914685

2014

Hypoxia-inducible factor-2α is an essential catabolic regulator of inflammatory rheumatoid arthritis.

Applications

Unspecified application

Species

Unspecified reactive species

Je-Hwang Ryu,Chang-Suk Chae,Ji-Sun Kwak,Hwanhee Oh,Youngnim Shin,Yun Hyun Huh,Choong-Gu Lee,Yong-Wook Park,Churl-Hong Chun,Young-Myeong Kim,Sin-Hyeog Im,Jang-Soo Chun

The Journal of biological chemistry 289:7374-87 PubMed24464580

2014

CCN2 suppresses catabolic effects of interleukin-1β through α5β1 and αVβ3 integrins in nucleus pulposus cells: implications in intervertebral disc degeneration.

Applications

Unspecified application

Species

Unspecified reactive species

Cassie M Tran,Zachary R Schoepflin,Dessislava Z Markova,Christopher K Kepler,D Greg Anderson,Irving M Shapiro,Makarand V Risbud

American journal of physiology. Gastrointestinal a 305:G58-65 PubMed23639809

2013

Gastroesophageal reflux activates the NF-κB pathway and impairs esophageal barrier function in mice.

Applications

Unspecified application

Species

Unspecified reactive species

Yu Fang,Hao Chen,Yuhui Hu,Zorka Djukic,Whitney Tevebaugh,Nicholas J Shaheen,Roy C Orlando,Jianguo Hu,Xiaoxin Chen

Journal of neurochemistry 123:203-16 PubMed22862420

2012

Matrix metalloproteinase-3 in the central nervous system: a look on the bright side.

Applications

Unspecified application

Species

Unspecified reactive species

Inge Van Hove,Kim Lemmens,Sarah Van de Velde,Mieke Verslegers,Lieve Moons
View all publications

Product promise

We are committed to supporting your work with high-quality reagents, and we're here for you every step of the way. In the unlikely event that one of our products does not perform as expected, you're protected by our Product Promise.
For full details, please see our Terms & Conditions

Please note: All products are 'FOR RESEARCH USE ONLY. NOT FOR USE IN DIAGNOSTIC OR THERAPEUTIC PROCEDURES'.

For licensing inquiries, please contact partnerships@abcam.com