JavaScript is disabled in your browser. Please enable JavaScript to view this website.
AB236305

Anti-MMP3 antibody [MMP3/1994R] - BSA and Azide free

Be the first to review this product! Submit a review

|

(1 Publication)

Rabbit Recombinant Monoclonal MMP3 antibody. Carrier free. Suitable for IHC-P and reacts with Human samples. Cited in 1 publication. Immunogen corresponding to Recombinant Fragment Protein within Human MMP3 aa 300-350.

View Alternative Names

STMY1, MMP3, Stromelysin-1, SL-1, Matrix metalloproteinase-3, Transin-1, MMP-3

1 Images
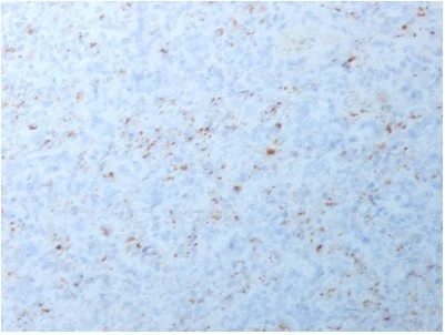
Immunohistochemistry (Formalin/PFA-fixed paraffin-embedded sections) - Anti-MMP3 antibody [MMP3/1994R] - BSA and Azide free (AB236305)
  • IHC-P

Supplier Data

Immunohistochemistry (Formalin/PFA-fixed paraffin-embedded sections) - Anti-MMP3 antibody [MMP3/1994R] - BSA and Azide free (AB236305)

Formalin-fixed, paraffin-embedded human spleen tissue stained for MMP3 using ab234310 at 1 μg/ml in immunohistochemical analysis.

This data was developed using the same antibody clone in a different buffer formulation containing PBS, BSA, glycerol, and sodium azide (ab234310).

Key facts

Host species

Rabbit

Clonality

Monoclonal

Clone number

MMP3/1994R

Isotype

IgG

Carrier free

Yes

Reacts with

Human

Applications

IHC-P

applications

Immunogen

Recombinant Fragment Protein within Human MMP3 aa 300-350. The exact immunogen used to generate this antibody is proprietary information.

P08254

Reactivity data

{ "title": "Reactivity Data", "filters": { "stats": ["", "Species", "Dilution Info", "Notes"], "tabs": { "all-applications": {"fullname" : "All Applications", "shortname": "All Applications"}, "IHCP" : {"fullname" : "Immunohistochemistry (Formalin/PFA-fixed paraffin-embedded sections)", "shortname":"IHC-P"} }, "product-promise": { "all": "all", "testedAndGuaranteed": "tested", "guaranteed": "expected", "predicted": "predicted", "notRecommended": "not-recommended" } }, "values": { "Human": { "IHCP-species-checked": "testedAndGuaranteed", "IHCP-species-dilution-info": "0.5-1 µg/mL", "IHCP-species-notes": "<p>Primary incubation for 30 minutes at room temperature.</p> Perform heat-mediated antigen retrieval with citrate buffer pH 6 before commencing with IHC staining protocol." } } }

Properties and storage information

Form
Liquid
Purification technique
Affinity purification Protein A
Storage buffer
pH: 7.2 - 7.4 Constituents: PBS
Shipped at conditions
Blue Ice
Appropriate short-term storage duration
1-2 weeks
Appropriate short-term storage conditions
+4°C
Appropriate long-term storage conditions
-20°C
Aliquoting information
Upon delivery aliquot
Storage information
Avoid freeze / thaw cycle

Supplementary information

This supplementary information is collated from multiple sources and compiled automatically.

MMP3 also known as stromelysin-1 is a member of the matrix metalloproteinase (MMP) family. These proteins are zinc-dependent endopeptidases. MMP3 specifically has a molecular weight of approximately 54 kDa and is responsible for degrading extracellular matrix components such as collagen fibronectin and laminin. MMP3 is expressed in various tissues including fibroblasts chondrocytes and endothelial cells. It plays a significant role in tissue remodeling wound healing and potentially aids in the breakdown of cellular matrices.
Biological function summary

MMP3 contributes to multiple physiological and pathological processes. It supports the remodeling of connective tissues and assists in normal developmental processes. MMP3 can work as part of a complex with other MMP proteins which can enhance or inhibit its activity. The balance of MMPs including MMP3 regulates the extracellular matrix turnover and is important for maintaining tissue homeostasis.

Pathways

MMP3 participates in pathways involved in tissue remodeling and inflammatory responses. It is part of cellular pathways regulated by cytokines like interleukin-1 (IL-1) and tumor necrosis factor-alpha (TNF-alpha). These pathways link MMP3 to other proteins such as MMP1 and MMP9 which perform overlapping and distinct roles in matrix degradation during inflammation and tissue repair.

MMP3 is implicated in conditions like arthritis and cardiovascular diseases. MMP3 contributes to cartilage degradation in rheumatoid arthritis and is associated with the breakdown of vascular structures in atherosclerosis. Proteins like MMP9 and MMP13 often interact with MMP3 in these pathological conditions forming a network that exacerbates tissue damage and disease progression.

Product protocols

For this product, it's our understanding that no specific protocols are required. You can visit:

Target data

Metalloproteinase with a rather broad substrate specificity that can degrade fibronectin, laminin, gelatins of type I, III, IV, and V; collagens III, IV, X, and IX, and cartilage proteoglycans. Activates different molecules including growth factors, plasminogen or other matrix metalloproteinases such as MMP9 (PubMed : 11029580, PubMed : 1371271). Once released into the extracellular matrix (ECM), the inactive pro-enzyme is activated by the plasmin cascade signaling pathway (PubMed : 2383557). Acts also intracellularly (PubMed : 22265821). For example, in dopaminergic neurons, gets activated by the serine protease HTRA2 upon stress and plays a pivotal role in DA neuronal degeneration by mediating microglial activation and alpha-synuclein/SNCA cleavage (PubMed : 21330369). In addition, plays a role in immune response and possesses antiviral activity against various viruses such as vesicular stomatitis virus, influenza A virus (H1N1) and human herpes virus 1 (PubMed : 35940311). Mechanistically, translocates from the cytoplasm into the cell nucleus upon virus infection to influence NF-kappa-B activities (PubMed : 35940311).
See full target information MMP3

Publications (1)

Recent publications for all applications. Explore the full list and refine your search

International journal of biological sciences 20:1004-1023 PubMed38250155

2024

Inactivation of MST1/2 Controls Macrophage Polarization to Affect Macrophage-Related Disease via YAP and Non-YAP Mechanisms.

Applications

Unspecified application

Species

Unspecified reactive species

Yina An,Shuyu Tan,Pu Zhang,Jingjing Yang,Kezhi Wang,Ruicheng Zheng,Lu Qiao,Yang Wang,Yanjun Dong
View all publications

Product promise

We are committed to supporting your work with high-quality reagents, and we're here for you every step of the way. In the unlikely event that one of our products does not perform as expected, you're protected by our Product Promise.
For full details, please see our Terms & Conditions

Please note: All products are 'FOR RESEARCH USE ONLY. NOT FOR USE IN DIAGNOSTIC OR THERAPEUTIC PROCEDURES'.

For licensing inquiries, please contact partnerships@abcam.com