JavaScript is disabled in your browser. Please enable JavaScript to view this website.
AB207299

Anti-MMP7 antibody [EPR17888-71]

Be the first to review this product! Submit a review

|

(41 Publications)

Anti-MMP7 antibody [EPR17888-71] (ab207299) is a rabbit monoclonal antibody detecting MMP7 in Western Blot, IHC-P, ICC/IF. Suitable for Human.

- Biophysical QC for unrivalled batch-batch consistency
- Over 20 publications

View Alternative Names

MPSL1, PUMP1, MMP7, Matrilysin, Matrin, Matrix metalloproteinase-7, Pump-1 protease, Uterine metalloproteinase, MMP-7

7 Images
Immunocytochemistry/ Immunofluorescence - Anti-MMP7 antibody [EPR17888-71] (AB207299)
  • ICC/IF

Supplier Data

Immunocytochemistry/ Immunofluorescence - Anti-MMP7 antibody [EPR17888-71] (AB207299)

Immunofluorescent analysis of 4% paraformaldehyde-fixed 0.1% Triton X-100 permeabilized PC-3 (Human prostate adenocarcinoma cell line) cells labeling MMP7 with ab207299 at 1/300 dilution followed by Goat anti-rabbit IgG (Alexa Fluor® 488) (ab150077) secondary antibody at 1/1000 dilution (green).

Confocal image showing cytoplasmic staining on PC-3 cell line.

The nuclear counterstain is DAPI (blue).

Tubulin is detected with ab7291 (anti-Tubulin mouse mAb) at 1/1000 dilution and ab150120 (AlexaFluor®594 Goat anti-Mouse secondary) at 1/1000 dilution (red).

The negative controls are as follows : -

-ve control 1 : ab207299 at 1/300 dilution followed by ab150120 (AlexaFluor®594 Goat anti-Mouse secondary) at 1/1000 dilution.

-ve control 2 : ab7291 (anti-Tubulin mouse mAb) at 1/1000 dilution followed by ab150077 (Alexa Fluor®488 Goat Anti-Rabbit IgG H&L) at 1/1000 dilution.

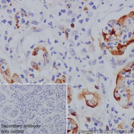
Immunohistochemistry (Formalin/PFA-fixed paraffin-embedded sections) - Anti-MMP7 antibody [EPR17888-71] (AB207299)
  • IHC-P

Supplier Data

Immunohistochemistry (Formalin/PFA-fixed paraffin-embedded sections) - Anti-MMP7 antibody [EPR17888-71] (AB207299)

Immunohistochemical analysis of paraffin-embedded Human endometrial cancer tissue labeling MMP7 with ab207299 at 1/4000 dilution followed by Goat Anti-Rabbit IgG H&L (HRP) (ab97051) at 1/500 dilution.

Cytoplasm staining on Human endometrial cancer is observed.

Counter stained with Hematoxylin.

Secondary antibody only control : Used PBS instead of primary antibody secondary antibody is Goat Anti-Rabbit IgG H&L (HRP) (ab97051) at 1/500 dilution.

Perform heat mediated antigen retrieval with Tris/EDTA buffer pH 9.0 before commencing with IHC staining protocol.

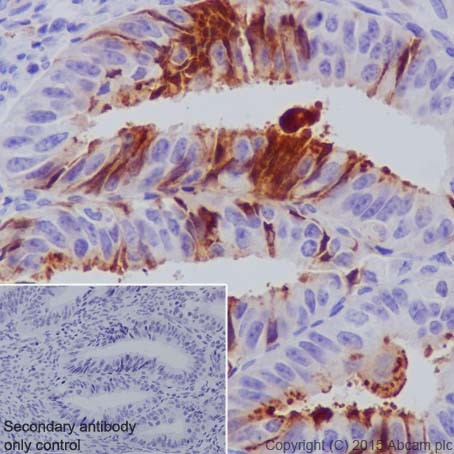
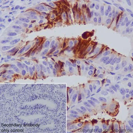
Immunohistochemistry (Formalin/PFA-fixed paraffin-embedded sections) - Anti-MMP7 antibody [EPR17888-71] (AB207299)
  • IHC-P

Supplier Data

Immunohistochemistry (Formalin/PFA-fixed paraffin-embedded sections) - Anti-MMP7 antibody [EPR17888-71] (AB207299)

Immunohistochemical analysis of paraffin-embedded Human breast cancer tissue labeling MMP7 with ab207299 at 1/4000 dilution followed by Goat Anti-Rabbit IgG H&L (HRP) (ab97051) at 1/500 dilution.

Cytoplasm staining on cancer cells of breast cancer is observed.

Counter stained with Hematoxylin.

Secondary antibody only control : Used PBS instead of primary antibody secondary antibody is Goat Anti-Rabbit IgG H&L (HRP) (ab97051) at 1/500 dilution.

Perform heat mediated antigen retrieval with Tris/EDTA buffer pH 9.0 before commencing with IHC staining protocol.

Immunocytochemistry/ Immunofluorescence - Anti-MMP7 antibody [EPR17888-71] (AB207299)
  • ICC/IF

Supplier Data

Immunocytochemistry/ Immunofluorescence - Anti-MMP7 antibody [EPR17888-71] (AB207299)

Immunofluorescent analysis of 4% paraformaldehyde-fixed 0.1% Triton X-100 permeabilized HT-29 (Human colorectal adenocarcinoma cell line) cells labeling MMP7 with ab207299 at 1/300 dilution followed by Goat anti-rabbit IgG (Alexa Fluor® 488) (ab150077) secondary antibody at 1/1000 dilution (green).

Confocal image showing cytoplasmic staining on HT-29 cell line.

The nuclear counterstain is DAPI (blue).

Tubulin is detected with ab7291 (anti-Tubulin mouse mAb) at 1/1000 dilution and ab150120 (AlexaFluor®594 Goat anti-Mouse secondary) at 1/1000 dilution (red).

The negative controls are as follows : -

-ve control 1 : ab207299 at 1/300 dilution followed by ab150120 (AlexaFluor®594 Goat anti-Mouse secondary) at 1/1000 dilution.

-ve control 2 : ab7291 (anti-Tubulin mouse mAb) at 1/1000 dilution followed by ab150077 (Alexa Fluor®488 Goat Anti-Rabbit IgG H&L) at 1/1000 dilution.

Western blot - Anti-MMP7 antibody [EPR17888-71] (AB207299)
  • WB

Supplier Data

Western blot - Anti-MMP7 antibody [EPR17888-71] (AB207299)

5% NFDM/TBST : Blocking and dilution buffer.

All lanes:

Western blot - Anti-MMP7 antibody [EPR17888-71] (ab207299) at 1/1000 dilution

All lanes:

Human colon cancer lysate at 20 µg

Secondary

All lanes:

Goat Anti-Rabbit IgG Peroxidase Conjugate, specific to the non-reduced form of IgG at 1/10000 dilution

Predicted band size: 29 kDa

Observed band size: 30 kDa

false

Exposure time: 3min

Western blot - Anti-MMP7 antibody [EPR17888-71] (AB207299)
  • WB

Collaborator

Western blot - Anti-MMP7 antibody [EPR17888-71] (AB207299)

ab207299 was shown to react with MMP7 in wild-type A549 cells in Western blot with loss of signal observed in a MMP7 knockout cell line. Wild-type A549 and MMP7 knockout cell lysates were subjected to SDS-PAGE. Membranes were blocked in 5% milk in TBST for 1 hr before incubation with ab207299 overnight at 4 °C at a 1/1000 dilution. Blots were incubated with secondary antibodies at 0.2 µg/mL before imaging.

This data was provided by YCharOS Inc., an open science company with the mission of characterizing commercially available antibody reagents for all human proteins. Abcam and YCharOS are working together to help address the reproducibility crisis by enabling the life science community to better evaluate commercially available antibodies.

All lanes:

Western blot - Anti-MMP7 antibody [EPR17888-71] (ab207299) at 1/1000 dilution

Lane 1:

Wild-type A549 lysate at 30 µg

Lane 2:

MMP7 knock-out A549 lysate at 30 µg

false

Western blot - Anti-MMP7 antibody [EPR17888-71] (AB207299)
  • WB

Supplier Data

Western blot - Anti-MMP7 antibody [EPR17888-71] (AB207299)

5% NFDM/TBST : Blocking and dilution buffer.

All lanes:

Western blot - Anti-MMP7 antibody [EPR17888-71] (ab207299) at 1/2000 dilution

Lane 1:

A549 (Human lung carcinoma cell line) whole cell lysate at 20 µg

Lane 2:

BxPC-3 (Human pancreas adenocarcinoma cell line) whole cell lysate at 20 µg

Secondary

All lanes:

Western blot - Goat Anti-Rabbit IgG H&L (HRP) (<a href='/en-us/products/secondary-antibodies/goat-rabbit-igg-h-l-hrp-ab97051'>ab97051</a>) at 1/100000 dilution

Predicted band size: 29 kDa

Observed band size: 30 kDa

false

Exposure time: 3min

  • Carrier free

    Anti-MMP7 antibody [EPR17888-71] - BSA and Azide free

  • Carrier free

    Anti-MMP7 antibody [EPR17888-71] - Low endotoxin, Azide free

Key facts

Host species

Rabbit

Clonality

Monoclonal

Clone number

EPR17888-71

Isotype

IgG

Carrier free

No

Reacts with

Human

Applications

ICC/IF, IHC-P, WB

applications

Immunogen

The exact immunogen used to generate this antibody is proprietary information.

Reactivity data

{ "title": "Reactivity Data", "filters": { "stats": ["", "Species", "Dilution Info", "Notes"], "tabs": { "all-applications": {"fullname" : "All Applications", "shortname": "All Applications"}, "WB" : {"fullname" : "Western blot", "shortname":"WB"}, "ICCIF" : {"fullname" : "Immunocytochemistry/ Immunofluorescence", "shortname":"ICC/IF"}, "IHCP" : {"fullname" : "Immunohistochemistry (Formalin/PFA-fixed paraffin-embedded sections)", "shortname":"IHC-P"} }, "product-promise": { "all": "all", "testedAndGuaranteed": "tested", "guaranteed": "expected", "predicted": "predicted", "notRecommended": "not-recommended" } }, "values": { "Human": { "WB-species-checked": "testedAndGuaranteed", "WB-species-dilution-info": "1/1000", "WB-species-notes": "<p></p>", "ICCIF-species-checked": "testedAndGuaranteed", "ICCIF-species-dilution-info": "1/300", "ICCIF-species-notes": "<p></p>", "IHCP-species-checked": "testedAndGuaranteed", "IHCP-species-dilution-info": "1/4000", "IHCP-species-notes": "<p></p>" } } }

Product details

What is this antibody validated in?
Anti-MMP7 antibody [EPR17888-71] (ab207299) is a rabbit recombinant monoclonal antibody and is validated for use in Western Blot (WB), Immunohistochemistry (IHC-P), Immunocytochemistry/immunofluorescence (ICC/IF) in Human samples.

What is the molecular weight of MMP7?
Anti-MMP7 [EPR17888-71] (ab207299) specifically detects a band for MMP7 (UniProt: P09237) at a molecular weight of 30kDa.

Trusted by the scientific community
Anti-MMP7 [EPR17888-71] (ab207299) was first used in a scientific publication in 2016 and has been cited over 20 times in peer-reviewed journals.

Trial sizes available!
Test your antibody or perform pre-screening before committing to a larger quantity. Sold in 10µl. Discover our selection of trial-size antibodies.

Other related products
We have a range of other formats of antibody clone [EPR17888-71] also available for your convenience: ab207299, Carrier free - ab226005, Carrier free - ab271977

Patented technology
Our RabMAb® technology is a patented hybridoma-based technology for making rabbit monoclonal antibodies. For details on our patents, please refer to RabMAb® patents.

What are the advantages of a recombinant monoclonal antibody?
This product is a recombinant monoclonal antibody, which offers several advantages including:

  • - High batch-to-batch consistency and reproducibility
  • - Improved sensitivity and specificity
  • - Long-term security of supply
  • - Animal-free batch production

For more information, read more on recombinant antibodies.

Properties and storage information

Form
Liquid
Purification technique
Affinity purification Protein A
Storage buffer
pH: 7.2 - 7.4 Preservative: 0.01% Sodium azide Constituents: PBS, 40% Glycerol (glycerin, glycerine), 0.05% BSA
Shipped at conditions
Blue Ice
Appropriate short-term storage duration
1-2 weeks
Appropriate short-term storage conditions
+4°C
Appropriate long-term storage conditions
-20°C
Aliquoting information
Upon delivery aliquot
Storage information
Avoid freeze / thaw cycle

Supplementary information

This supplementary information is collated from multiple sources and compiled automatically.

MMP7 also known as matrilysin is a member of the matrix metalloproteinase family and has a molecular weight of approximately 28 kDa. Mechanically MMP7 participates in the breakdown of extracellular matrix components such as elastin casein and various collagens. It is important in tissue remodeling processes. MMP7 is expressed in multiple tissues including the glandular epithelia of the breast prostate and lung.
Biological function summary

MMP7 participates in wound healing embryonic development and tissue invasion processes. It does not typically form large complexes but can interact with other ECM components and inhibitors like TIMPs (tissue inhibitors of metalloproteinases). MMP7 has specific roles in regulating cellular environments by modifying the ECM and influencing the bioavailability of growth factors.

Pathways

MMP7 plays significant roles in pathways like the Wnt and MAPK signaling pathways. In the Wnt pathway MMP7 modulates the availability of bound matrix proteins influencing signaling dynamics. It interacts with proteins such as B-catenin and influences downstream gene expression. In the context of MAPK pathways MMP7 activity can lead to signal transduction changes that impact cell proliferation and migration.

MMP7 has associations with cancer progression and fibrosis. In colorectal cancer for example MMP7 expression levels correlate with tumor invasion and metastasis. It interacts with proteins like E-cadherin which affects cell adhesion properties and promotes disease advancement. In pulmonary fibrosis excessive MMP7 activity contributes to matrix degradation and aberrant tissue repair highlighting its relevance in pathological conditions.

Product protocols

For this product, it's our understanding that no specific protocols are required. You can visit:

Target data

Degrades casein, gelatins of types I, III, IV, and V, and fibronectin. Activates procollagenase.
See full target information MMP7

Publications (41)

Recent publications for all applications. Explore the full list and refine your search

Hepatology research : the official journal of the Japan Society of Hepatology 55:1296-1306 PubMed40515742

2025

CXCL6 Is a Novel Biliary Marker and a Downstream Target of MMP7 in Biliary Atresia.

Applications

Unspecified application

Species

Unspecified reactive species

Fanyang Kong,Jingying Jiang,Min Du,Rui Dong,Gong Chen,Shan Zheng,Junfeng Wang

Hepatology communications 9: PubMed40366121

2025

Single-cell transcription reveals hepatocyte-to-cholangiocyte reprogramming and biliary gene profile in biliary atresia.

Applications

Unspecified application

Species

Unspecified reactive species

Lingdu Meng,Min Du,Haodong Li,Fanyang Kong,Jiajian Yang,Rui Dong,Shan Zheng,Gong Chen,Zhen Shen,Junfeng Wang

APL bioengineering 9:026111 PubMed40290725

2025

Hsa_circ_0000467 promotes colorectal cancer proliferation and stem cell characteristics by activating the TCF4/Wnt/β-catenin pathway via sponging miR-520g.

Applications

Unspecified application

Species

Unspecified reactive species

Fanggen Xu,Yujing Wang,Rongzhou Liang,Sicong Jiang

Nature medicine 31:502-513 PubMed39775038

2025

Multi-omics-based mapping of decidualization resistance in patients with a history of severe preeclampsia.

Applications

Unspecified application

Species

Unspecified reactive species

Irene Muñoz-Blat,Raúl Pérez-Moraga,Nerea Castillo-Marco,Teresa Cordero,Ana Ochando,Sheila Ortega-Sanchís,Marcos Parras-Moltó,Rogelio Monfort-Ortiz,Elena Satorres-Perez,Blanca Novillo,Alfredo Perales,Matthew Gormley,Sofia Granados-Aparici,Rosa Noguera,Beatriz Roson,Susan J Fisher,Carlos Simón,Tamara Garrido-Gómez

Clinical and translational medicine 14:e70009 PubMed39187937

2024

The co-location of CD14+APOE+ cells and MMP7+ tumour cells contributed to worse immunotherapy response in non-small cell lung cancer.

Applications

Unspecified application

Species

Unspecified reactive species

Guangyu Fan,Tongji Xie,Le Tang,Lin Li,Xiaohong Han,Yuankai Shi

The journal of pathology. Clinical research 10:e12387 PubMed38860888

2024

Clinicopathological features and cancer transcriptomic profiling of poorly cohesive gastric carcinoma subtypes.

Applications

Unspecified application

Species

Unspecified reactive species

Hung-Hsuan Yen,Pin-Yu Chen,Ruby Yun-Ju Huang,Jung-Ming Jeng,I-Rue Lai

ACS omega 9:7782-7792 PubMed38405482

2024

BIRC6 Modulates the Protein Stability of Axin to Regulate the Growth, Stemness, and Resistance of Renal Cancer Cells via the β-Catenin Pathway.

Applications

Unspecified application

Species

Unspecified reactive species

Kaihua Zhong,Xiaohong Wang,Heyuan Zhang,Nanhui Chen,Yang Mai,Sipin Dai,Lawei Yang,Dong Chen,Weifeng Zhong

Experimental and therapeutic medicine 25:277 PubMed37206547

2023

SPTBN2 regulates endometroid ovarian cancer cell proliferation, invasion and migration via ITGB4‑mediated focal adhesion and ECM receptor signalling pathway.

Applications

Unspecified application

Species

Unspecified reactive species

La Yang,Yuanyuan Gu

The American journal of pathology 193:380-391 PubMed37003622

2023

Inflammation-Associated Lung Tissue Remodeling and Fibrosis in Morphine-Dependent SIV-Infected Macaques.

Applications

Unspecified application

Species

Unspecified reactive species

Divya T Chemparathy,Susmita Sil,Shannon Callen,Hitendra S Chand,Mohan Sopori,Todd A Wyatt,Arpan Acharya,Siddappa N Byrareddy,Howard S Fox,Shilpa Buch

Urologia internationalis 107:632-645 PubMed36958293

2023

Hsa_circ_0008035 Knockdown Inhibits Bladder Cancer Progression through miR-1184/RAP2B Axis.

Applications

Unspecified application

Species

Unspecified reactive species

Yang Fu,Kun Liu,Xi Jiang,Lun Zhao,Tianwei Wang
View all publications

Product promise

We are committed to supporting your work with high-quality reagents, and we're here for you every step of the way. In the unlikely event that one of our products does not perform as expected, you're protected by our Product Promise.
For full details, please see our Terms & Conditions

Please note: All products are 'FOR RESEARCH USE ONLY. NOT FOR USE IN DIAGNOSTIC OR THERAPEUTIC PROCEDURES'.

For licensing inquiries, please contact partnerships@abcam.com